SMC1B Antibody
-
中文名稱:SMC1B兔多克隆抗體
-
貨號:CSB-PA854104LA01HU
-
規格:¥440
-
圖片:
-
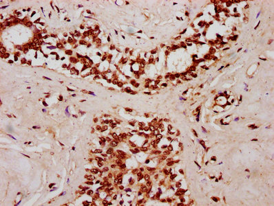
IHC image of CSB-PA854104LA01HU diluted at 1:400 and staining in paraffin-embedded human breast cancer performed on a Leica BondTM system. After dewaxing and hydration, antigen retrieval was mediated by high pressure in a citrate buffer (pH 6.0). Section was blocked with 10% normal goat serum 30min at RT. Then primary antibody (1% BSA) was incubated at 4°C overnight. The primary is detected by a biotinylated secondary antibody and visualized using an HRP conjugated SP system.
-
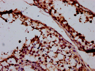
IHC image of CSB-PA854104LA01HU diluted at 1:400 and staining in paraffin-embedded human testis tissue performed on a Leica BondTM system. After dewaxing and hydration, antigen retrieval was mediated by high pressure in a citrate buffer (pH 6.0). Section was blocked with 10% normal goat serum 30min at RT. Then primary antibody (1% BSA) was incubated at 4°C overnight. The primary is detected by a biotinylated secondary antibody and visualized using an HRP conjugated SP system.
-
-
其他:
產品詳情
-
產品名稱:Rabbit anti-Homo sapiens (Human) SMC1B Polyclonal antibody
-
Uniprot No.:
-
基因名:
-
別名:bK268H5 antibody; SMC protein 1B antibody; SMC-1-beta antibody; SMC-1B antibody; SMC1 beta antibody; SMC1B antibody; SMC1B_HUMAN antibody; SMC1beta antibody; SMC1beta protein antibody; Smc1l2 antibody; Structural maintenance of chromosomes 1-like 2 antibody; Structural maintenance of chromosomes 1B antibody; Structural maintenance of chromosomes protein 1B antibody
-
宿主:Rabbit
-
反應種屬:Human
-
免疫原:Recombinant Human Structural maintenance of chromosomes protein 1B protein (954-1060AA)
-
免疫原種屬:Homo sapiens (Human)
-
標記方式:Non-conjugated
本頁面中的產品,SMC1B Antibody (CSB-PA854104LA01HU),的標記方式是Non-conjugated。對于SMC1B Antibody,我們還提供其他標記。見下表:
-
克隆類型:Polyclonal
-
抗體亞型:IgG
-
純化方式:>95%, Protein G purified
-
濃度:It differs from different batches. Please contact us to confirm it.
-
保存緩沖液:Preservative: 0.03% Proclin 300
Constituents: 50% Glycerol, 0.01M PBS, pH 7.4 -
產品提供形式:Liquid
-
應用范圍:ELISA, IHC
-
推薦稀釋比:
Application Recommended Dilution IHC 1:200-1:500 -
Protocols:
-
儲存條件:Upon receipt, store at -20°C or -80°C. Avoid repeated freeze.
-
貨期:Basically, we can dispatch the products out in 1-3 working days after receiving your orders. Delivery time maybe differs from different purchasing way or location, please kindly consult your local distributors for specific delivery time.
-
用途:For Research Use Only. Not for use in diagnostic or therapeutic procedures.
相關產品
靶點詳情
-
功能:Meiosis-specific component of cohesin complex. Required for the maintenance of meiotic cohesion, but not, or only to a minor extent, for its establishment. Contributes to axial element (AE) formation and the organization of chromatin loops along the AE. Plays a key role in synapsis, recombination and chromosome movements. The cohesin complex is required for the cohesion of sister chromatids after DNA replication. The cohesin complex apparently forms a large proteinaceous ring within which sister chromatids can be trapped. At anaphase, the complex is cleaved and dissociates from chromatin, allowing sister chromatids to segregate. The meiosis-specific cohesin complex probably replaces mitosis specific cohesin complex when it dissociates from chromatin during prophase I.
-
基因功能參考文獻:
- Through the translational regulation of novel RNA targets SMC1B and TEX11, DAZL may have a key role in regulating chromosome cohesion and DNA recombination; two processes fundamental in determining oocyte quality and whose establishment in foetal life may support lifelong fertility. PMID: 28364521
- Data show that structural maintenance of chromosomes protein 1B (SMC1B) is expressed in primary fibroblasts. PMID: 26673124
- High SMC1B expression is associated with pancreatic cancer. PMID: 25216700
-
亞細胞定位:Nucleus. Chromosome. Chromosome, centromere.
-
蛋白家族:SMC family, SMC1 subfamily
-
數據庫鏈接:
Most popular with customers
-
YWHAB Recombinant Monoclonal Antibody
Applications: ELISA, WB, IHC, IF, FC
Species Reactivity: Human, Mouse, Rat
-
Phospho-YAP1 (S127) Recombinant Monoclonal Antibody
Applications: ELISA, WB, IHC
Species Reactivity: Human
-
-
-
-
-
-















