SMARCA4 Antibody
-
中文名稱:SMARCA4兔多克隆抗體
-
貨號:CSB-PA843993
-
規格:¥1100
-
圖片:
-
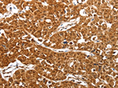
The image on the left is immunohistochemistry of paraffin-embedded Human thyroid cancer tissue using CSB-PA843993(SMARCA4 Antibody) at dilution 1/50, on the right is treated with synthetic peptide. (Original magnification: ×200)
-
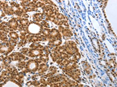
The image on the left is immunohistochemistry of paraffin-embedded Human lung cancer tissue using CSB-PA843993(SMARCA4 Antibody) at dilution 1/50, on the right is treated with synthetic peptide. (Original magnification: ×200)
-
Gel: 8%SDS-PAGE, Lysate: 50 μg, Lane 1-3: K562 cells, 293T cells, hepG2 cells, Primary antibody: CSB-PA843993(SMARCA4 Antibody) at dilution 1/300, Secondary antibody: Goat anti rabbit IgG at 1/8000 dilution, Exposure time: 1 minute
-
-
其他:
產品詳情
-
Uniprot No.:
-
基因名:
-
別名:ATP dependent helicase SMARCA4 antibody; ATP-dependent helicase SMARCA4 antibody; BAF 190 antibody; BAF190 antibody; BAF190A antibody; Brahma protein like 1 antibody; BRG1 antibody; BRG1 associated factor 190A antibody; BRG1 protein antibody; BRG1-associated factor 190A antibody; BRM/SWI2 related gene 1 antibody; Global transcription activator homologous sequence antibody; global transcription activator snf2l4 antibody; Homeotic gene regulator antibody; hSNF2b antibody; Mitotic growth and transcription activator antibody; MRD16 antibody; Nuclear protein GRB1 antibody; Protein brahma homolog 1 antibody; Protein BRG-1 antibody; Protein BRG1 antibody; RTPS2 antibody; SMARC A4 antibody; SMARCA4 antibody; SMCA4_HUMAN antibody; SNF2 antibody; SNF2 beta antibody; SNF2 like 4 antibody; SNF2-beta antibody; SNF2B antibody; SNF2L4 antibody; SNF2LB antibody; Sucrose nonfermenting like 4 antibody; SWI/SNF related matrix associated actin dependent regulator of chromatin subfamily A member 4 antibody; SWI/SNF related, matrix associated, actin dependent regulator of chromatin, subfamily a, member 4 antibody; SWI/SNF-related matrix-associated actin-dependent regulator of chromatin subfamily A member 4 antibody; SWI2 antibody; Transcription activator BRG1 antibody
-
宿主:Rabbit
-
反應種屬:Human,Mouse,Rat
-
免疫原:Synthetic peptide of Human SMARCA4
-
免疫原種屬:Homo sapiens (Human)
-
標記方式:Non-conjugated
-
抗體亞型:IgG
-
純化方式:Antigen affinity purification
-
濃度:It differs from different batches. Please contact us to confirm it.
-
保存緩沖液:-20°C, pH7.4 PBS, 0.05% NaN3, 40% Glycerol
-
產品提供形式:Liquid
-
應用范圍:ELISA,WB,IHC
-
推薦稀釋比:
Application Recommended Dilution ELISA 1:1000-1:5000 WB 1:200-1:1000 IHC 1:50-1:200 -
Protocols:
-
儲存條件:Upon receipt, store at -20°C or -80°C. Avoid repeated freeze.
-
貨期:Basically, we can dispatch the products out in 1-3 working days after receiving your orders. Delivery time maybe differs from different purchasing way or location, please kindly consult your local distributors for specific delivery time.
-
用途:For Research Use Only. Not for use in diagnostic or therapeutic procedures.
相關產品
靶點詳情
-
功能:Involved in transcriptional activation and repression of select genes by chromatin remodeling (alteration of DNA-nucleosome topology). Component of SWI/SNF chromatin remodeling complexes that carry out key enzymatic activities, changing chromatin structure by altering DNA-histone contacts within a nucleosome in an ATP-dependent manner. Component of the CREST-BRG1 complex, a multiprotein complex that regulates promoter activation by orchestrating the calcium-dependent release of a repressor complex and the recruitment of an activator complex. In resting neurons, transcription of the c-FOS promoter is inhibited by SMARCA4-dependent recruitment of a phospho-RB1-HDAC repressor complex. Upon calcium influx, RB1 is dephosphorylated by calcineurin, which leads to release of the repressor complex. At the same time, there is increased recruitment of CREBBP to the promoter by a CREST-dependent mechanism, which leads to transcriptional activation. The CREST-BRG1 complex also binds to the NR2B promoter, and activity-dependent induction of NR2B expression involves the release of HDAC1 and recruitment of CREBBP. Belongs to the neural progenitors-specific chromatin remodeling complex (npBAF complex) and the neuron-specific chromatin remodeling complex (nBAF complex). During neural development, a switch from a stem/progenitor to a postmitotic chromatin remodeling mechanism occurs as neurons exit the cell cycle and become committed to their adult state. The transition from proliferating neural stem/progenitor cells to postmitotic neurons requires a switch in subunit composition of the npBAF and nBAF complexes. As neural progenitors exit mitosis and differentiate into neurons, npBAF complexes which contain ACTL6A/BAF53A and PHF10/BAF45A, are exchanged for homologous alternative ACTL6B/BAF53B and DPF1/BAF45B or DPF3/BAF45C subunits in neuron-specific complexes (nBAF). The npBAF complex is essential for the self-renewal/proliferative capacity of the multipotent neural stem cells. The nBAF complex along with CREST plays a role regulating the activity of genes essential for dendrite growth. SMARCA4/BAF190A may promote neural stem cell self-renewal/proliferation by enhancing Notch-dependent proliferative signals, while concurrently making the neural stem cell insensitive to SHH-dependent differentiating cues. Acts as a corepressor of ZEB1 to regulate E-cadherin transcription and is required for induction of epithelial-mesenchymal transition (EMT) by ZEB1. Binds via DLX1 to enhancers located in the intergenic region between DLX5 and DLX6 and this binding is stabilized by the long non-coding RNA (lncRNA) Evf2. Binds to RNA in a promiscuous manner. Binding to RNAs including lncRNA Evf2 leads to inhibition of SMARCA4 ATPase and chromatin remodeling activities.
-
基因功能參考文獻:
- BRG1, the essential ATPase subunit of the SWI/SNF chromatin-remodelling complex, is required for expression of Wilms' tumour 1 (Wt1), fetal epicardium-derived cell activation and subsequent differentiation into coronary smooth muscle, and restoration of Wt1 activity upon myocardial infarction. PMID: 28737171
- High expression of SMARCA4 is associated with aggressive tumors. PMID: 29391527
- This study showed that AURKA inhibitors may provide a therapeutic strategy for biomarker-driven clinical studies to treat the NSCLCs harbouring SMARCA4/BRG1-inactivating mutations. PMID: 28102363
- describe the approaches and methods used to identify SMARCA4 mutations, which drive development of the rare ovarian cancer, small cell carcinoma of the ovary, hypercalcemic type (SCCOHT), and point to the broader relevance of this paradigm for future research in rare cancers. PMID: 29423809
- Depletion of Brg1 improves the integrity of airway epithelium in asthma by regulating E-cadherin expression in lung epithelial cells. Knockdown of Brg1 increased the cell proliferation and migration by human bronchial epithelial 16HBE cells. PMID: 28801844
- High BRG1 expression is associated with leukemia and lymphoma. PMID: 28251496
- HDAC9, in cooperation with BRG1 and MALAT1, mediates a critical epigenetic pathway responsible for vascular smooth muscle cells dysfunction. PMID: 29520069
- SMARCA4-deficient thoracic sarcomas constitute a unique, highly lethal entity that requires full recognition and differentiation from other epithelioid malignancies involving the thoracic region. PMID: 28256572
- The outcome following a diagnosis of any of these tumors is often poor, and the value of surveillance is unknown. International efforts to determine surveillance protocols are underway, and preliminary recommendations are made for carriers of SMARCB1 and SMARCA4 mutations. PMID: 28620006
- Study identified DNA methylation (DNAm) site, cg07786668 in ZFHX3 that is independently and significantly associated with myocardial infarction (MI) along with cg17218495 in SMARCA4. These results suggest that the development of MI might be influenced by changes in DNAm at these sites via a pathway that differs from that affected by cardiovascular disease-associated SNPs in these genes. PMID: 28515798
- Authors demonstrate that BRG1 upregulates de novo lipogenesis and that this is crucial for cancer cell proliferation. Knockdown of BRG1 attenuates lipid synthesis by impairing the transcription of enzymes catalyzing fatty acid and lipid synthesis. PMID: 27223259
- SMARCA4 SNPs are associated with coronary heart disease development in Chinese Han population. PMID: 28055962
- BRG1 may contribute to colon cancer progression through upregulating WNT3A expression. PMID: 27852072
- We report two new familial cases of SCCOHT. Affected members in both families and the associated tumours were found to carry SMARCA4 germline and somatic mutations PMID: 27866340
- Loss of BRG1 is associated with the loss of E-cadherin and up-regulation of Vimentin in primary tumors, which explains why BRG1 loss is associated with a poor prognosis in multiple tumor types. PMID: 27486753
- Low expression of SMARCA4/BRG1 is significantly associated with worse prognosis. PMID: 26671993
- Taken together, these findings provide a dynamic view of SMARCA4-dependent changes in higher-order chromatin organization and gene expression, identifying SMARCA4 as a novel component of chromatin organization. PMID: 27435934
- Of the 34 undifferentiated endometrial carcinomas examined, 17 (50%) exhibited SWI/SNF complex inactivation, with 11 tumors showing complete loss of both ARID1A and ARID1B, 5 showing complete loss of BRG1 and 1 showing complete loss of INI1. Ten of the remaining 17 undifferentiated carcinomas showed the following alterations: 5 tumors (15%) showed loss of ARID1A only with intact ARID1B, BRG1, and INI1 expression. PMID: 28863077
- Data suggest that the BRG1/STAT3/VEGFC in tumor-associated lymphangiogenesis might lead to the discovery of novel therapeutic targets in the treatment of cancers with BRG1 loss of function. PMID: 27145366
- Results suggest that targeting the enzymatic activity of BRG1 would be an effective adjuvant therapy for breast cancer. PMID: 27029062
- The vast majority of SCCOHT demonstrate genomic SMARCA4 loss with only rare co-occurring alterations. Data support a role for CGP in the diagnosis and management of SCCOHT and of other lesions with overlapping histological and clinical features, since identifying the former by genomic profile suggests benefit from an appropriate regimen and treatment decisions. PMID: 29102090
- BRG1 can promote VEGF-A expression and angiogenesis in colorectal cancer and BRG1 may be a novel drug target for the treatment of colorectal cancer. PMID: 28899659
- The BRG1/SIRT1/p53 signal axis is a novel mechanism of cell senescence in CRC. PMID: 28182012
- BRG1 and SMARCAL1, members of the ATP-dependent chromatin remodelling family, are shown to co-regulate the transcription of DROSHA, DGCR8, and DICER in response to double-strand DNA breaks. PMID: 28716689
- BRG1 was significantly increased in hepatocellular carcinoma. Overexpression of BRG1 increases cell growth and invasiveness in HCC. PMID: 28700662
- Case Report: SMARCA4 nonsense/frameshift mutations responsible for concomitant Coffin-Siris syndrome, microphthalmia and small-cell carcinoma of the ovary hypercalcaemic type. PMID: 28608987
- i-motif structures in long cytosine-rich sequences found upstream of the promoter region of the SMARCA4 gene PMID: 28619677
- Brg1 coordinates a genetic and epigenetic network that regulates the transcriptional program underlying the Shh-type medulloblastoma development. PMID: 27065321
- whole-genome transcriptome analysis revealed that BRG1 controls the expression of key elements of oncogenic pathways such as PI3K/AKT and BCL2, which offers a promising new combination therapy for high-risk Neuroblastoma (NB). PMID: 26996667
- A breakdown in a BRCA/FANCD2/BRG1/SNF-DeltaNP63-mediated DNA repair and differentiation maintenance process in mammary epithelial cells may contribute to sporadic breast cancer development. PMID: 27373334
- both ABCB1 upregulation and doxorubicin resistance caused by SMARCB1 loss were dependent on the function of SMARCA4, a catalytic subunit of the SWI/SNF complex. PMID: 27503929
- BRG1 participates in gene repression by interacting with H1.2, facilitating its deposition and stabilizing nucleosome positioning around the transcription start site. PMID: 27390128
- Cdx members interact with the SWI-SNF complex and make direct contact with Brg1, a catalytic member of SWI-SNF. Both Cdx2 and Brg1 co-occupy a number of Cdx target genes, and both factors are necessary for transcriptional regulation of such targets. Finally, Cdx2 and Brg1 occupancy occurs coincident with chromatin remodeling at some of these loci. PMID: 28082674
- Small-cell carcinoma of the ovary of hypercalcemic type is characterized by deleterious germline or somatic mutations in SMARCA4. PMID: 27241105
- induce apoptosis and suppresses inflammation in MH7A rheumatoid fibroblast-like synoviocyte cells PMID: 28002318
- BRG1 is involved in the progression and metastasis of breast cancer and can serve as a novel biomarker predictive of distant metastasis and patient outcomes. PMID: 27630343
- Results provide evidence that BRG1 and SMARCAL1 regulate each other. BRG1 binds to the SMARCAL1 promoter, while SMARCAL1 binds to the brg1 promoter. During DNA damage, the occupancy of SMARCAL1 on the brg1 promoter increases coinciding with an increase in BRG1 occupancy on the SMARCAL1 promoter, leading to increased brg1 and SMARCAL1 transcripts respectively. PMID: 26843359
- The CRISPR/Cas9 system may control a pro-oncogenic splicing process through the exclusion of EDA exon from the FN gene, leading to inhibition of motility, invasion and proliferation of cancer cells. PMID: 25684411
- Knock down of BRG1 in resistant cells restored sensitivity to retinoic acid-mediated differentiation, from early gene expression to terminal functional capacity. PMID: 26997274
- Data indicate that SMARCA4 protein inactivation is the main cause of small cell carcinoma of the ovary, hypercalcemic type (SCCOHT). PMID: 26646792
- Activation of DPF3a upon hypertrophic stimuli in cardiac hypertrophy switches cardiac fetal gene expression from being silenced by HEY to being activated by BRG1. PMID: 26582913
- These results suggest that ARPE-19 cells possess an AHR-mediated transcription pathway with different target gene specificity, and that BRG1 is required for AHR-mediated transcription in ARPE-19 cells. PMID: 26966070
- Brg-1 inhibits the transcriptional activity of miR-550a-5p promoter, and decreased Brg-1 expression increased miR-550a-5p expression. PMID: 25961913
- these data uncover a direct regulatory relationship between miR-302 and the Brg1 chromatin remodeling complex that controls gene expression and cell fate decisions in hESCs and suggests that similar mechanisms are at play during early human development PMID: 26119756
- The results do not support our hypothesis that common germline genetic variants in the SMARCA4 genes is associated with the risk of developing medulloblastoma. PMID: 26290144
- Loss of SMARCA4 expression is sensitive/specific for the diagnosis of small cell carcinoma of ovary, hypercalcemic type. PMID: 26645725
- SMARCA4 is involved in the TOP1 recruitment to general chromatin, which suppresses transcription-associated genomic instability. PMID: 26842758
- BRG1 overexpression might promote the development of thoracic aortic dissection by increasing MMP2/MMP9 expression, inducing smooth apoptosis and the transition from contractile to synthetic phenotype. PMID: 25304030
- Case Report: small cell carcinoma of the ovary, hypercalcemic type (SCCOHT) with SMARCA4 germline mutations. PMID: 26230154
- High level of BRG1, the same E2F binding motifs were docking sites for BRG1, induced chromatin compaction without CpG methylation but with increased histone deacetylation, associated with the presence of HDAC1 on E2F binding sites. PMID: 25724006
顯示更多
收起更多
-
相關疾病:Rhabdoid tumor predisposition syndrome 2 (RTPS2); Coffin-Siris syndrome 4 (CSS4)
-
亞細胞定位:Nucleus.
-
蛋白家族:SNF2/RAD54 helicase family
-
組織特異性:Colocalizes with ZEB1 in E-cadherin-negative cells from established lines, and stroma of normal colon as well as in de-differentiated epithelial cells at the invasion front of colorectal carcinomas (at protein level).
-
數據庫鏈接:
Most popular with customers
-
-
YWHAB Recombinant Monoclonal Antibody
Applications: ELISA, WB, IHC, IF, FC
Species Reactivity: Human, Mouse, Rat
-
Phospho-YAP1 (S127) Recombinant Monoclonal Antibody
Applications: ELISA, WB, IHC
Species Reactivity: Human
-
-
-
-
-















