-
中文名稱:SLC16A3兔多克隆抗體
-
貨號:CSB-PA021410LA01HU
-
規格:¥440
-
圖片:
-
Western Blot
Positive WB detected in: PC-3 whole cell lysate, MCF7 whole cell lysate
All lanes:SLC16A3 Antibody at 1:1000
Secondary
Goat polyclonal to rabbit IgG at 1/50000 dilution
Predicted band size:50 kDa
Observed band size:50 kDa -
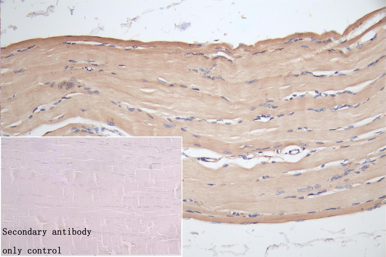
IHC image of CSB-PA021410LA01HU diluted at 1:300 and staining in paraffin-embedded human skeletal muscle tissue performed on a Leica BondTM system. After dewaxing and hydration, antigen retrieval was mediated by high pressure in a citrate buffer (pH 6.0). Section was blocked with 10% normal goat serum 30min at RT. Then primary antibody (1% BSA) was incubated at 4°C overnight. The primary is detected by a Goat anti-rabbit polymer IgG labeled by HRP and visualized using 0.05% DAB. Secondary antibody only control: uses 1% BSA instead of primary antibody
-
Immunofluorescence staining of HepG2 cell with CSB-PA021410LA01HU at 1:300, counter-stained with DAPI. The cells were fixed in 4% formaldehyde and blocked in 10% normal Goat Serum. The cells were then incubated with the antibody overnight at 4C. The secondary antibody was Alexa Fluor 488-congugated AffiniPure Goat Anti-Rabbit IgG(H+L).
-
Immunofluorescence staining of HepG2 cell with 5% goat serum, counter-stained with DAPI. The cells were fixed in 4% formaldehyde and blocked in 10% normal Goat Serum. The cells were then incubated with the antibody overnight at 4C. The secondary antibody was Alexa Fluor 488-congugated AffiniPure Goat Anti-Rabbit IgG(H+L).
-
-
其他:
產品詳情
-
產品描述:
The SLC16A3 antibody CSB-PA021410LA01HU was produced in the rabbit immunized by using the recombinant human MCT4 protein (406-465aa) as the immunogen. The target protein SLC16A3, also known as MCT4, mainly transports lactate and other monocarboxylates across the plasma membrane of cells, which is crucial for regulating cellular metabolism and maintaining extracellular pH.
This rabbit anti-human SLC16A3 polyclonal antibody was tested in the ELISA and WB applications. The non-conjugated IgG got purified by protein G and reached up to 95% in purity. It reacts with the SLC16A3 proteins from human and rat samples and may be used to detect the endogenous levels of SLC16A3 protein.
-
產品名稱:Rabbit anti-Homo sapiens (Human) SLC16A3 Polyclonal antibody
-
Uniprot No.:
-
基因名:SLC16A3
-
別名:MCT 4 antibody; MCT3 antibody; MCT4 antibody; Monocarboxylate transporter 3 antibody; Monocarboxylate transporter 4 antibody; MOT4_HUMAN antibody; SLC16A3 antibody; Solute carrier family 16 member 3 antibody
-
宿主:Rabbit
-
反應種屬:Human
-
免疫原:Recombinant Human Monocarboxylate transporter 4 protein (406-465AA)
-
免疫原種屬:Homo sapiens (Human)
-
標記方式:Non-conjugated
本頁面中的產品,SLC16A3 Antibody (CSB-PA021410LA01HU),的標記方式是Non-conjugated。對于SLC16A3 Antibody,我們還提供其他標記。見下表:
-
克隆類型:Polyclonal
-
抗體亞型:IgG
-
純化方式:>95%, Protein G purified
-
濃度:It differs from different batches. Please contact us to confirm it.
-
保存緩沖液:Preservative: 0.03% Proclin 300
Constituents: 50% Glycerol, 0.01M PBS, pH 7.4 -
產品提供形式:Liquid
-
應用范圍:ELISA, WB, IHC, IF
-
推薦稀釋比:
Application Recommended Dilution WB 1:1000-1:5000 IHC 1:20-1:200 IF 1:20-1:200 -
Protocols:
-
儲存條件:Upon receipt, store at -20°C or -80°C. Avoid repeated freeze.
-
貨期:Basically, we can dispatch the products out in 1-3 working days after receiving your orders. Delivery time maybe differs from different purchasing way or location, please kindly consult your local distributors for specific delivery time.
-
用途:For Research Use Only. Not for use in diagnostic or therapeutic procedures.
引用文獻
- Targeting metabolism by B-raf inhibitors and diclofenac restrains the viability of BRAF-mutated thyroid carcinomas with Hif-1α-mediated glycolytic phenotype M Aprile,British journal of cancer,2023
相關產品
靶點詳情
-
功能:Proton-linked monocarboxylate transporter. Catalyzes the rapid transport across the plasma membrane of many monocarboxylates such as lactate, pyruvate, branched-chain oxo acids derived from leucine, valine and isoleucine, and the ketone bodies acetoacetate, beta-hydroxybutyrate and acetate.
-
基因功能參考文獻:
- MCT1 may be acting as an uptake transporter and MCT4 as an efflux system across the basolateral membrane for ferulic acid, and that this process is stimulated by butyric acid. PMID: 26854723
- Ocular absorption of monocarboxylic acid drugs may be enhanced by MCT transporter SLC16A3, and the absorption route provided by the transporter may be utilized to improve the bioavailability of topically applied ophthalmic drugs. PMID: 20035863
- Gamma-hydroxybutyric acid (GHB) is a substrate for both MCT2 and MCT4. PMID: 17502341
-
亞細胞定位:Cell membrane; Multi-pass membrane protein.
-
蛋白家族:Major facilitator superfamily, Monocarboxylate porter (TC 2.A.1.13) family
-
組織特異性:Highly expressed in skeletal muscle.
-
數據庫鏈接:
Most popular with customers
-
-
YWHAB Recombinant Monoclonal Antibody
Applications: ELISA, WB, IHC, IF, FC
Species Reactivity: Human, Mouse, Rat
-
Phospho-YAP1 (S127) Recombinant Monoclonal Antibody
Applications: ELISA, WB, IHC
Species Reactivity: Human
-
-
-
-
-















