SIPA1 Antibody
-
中文名稱:SIPA1兔多克隆抗體
-
貨號:CSB-PA429423
-
規格:¥1100
-
圖片:
-
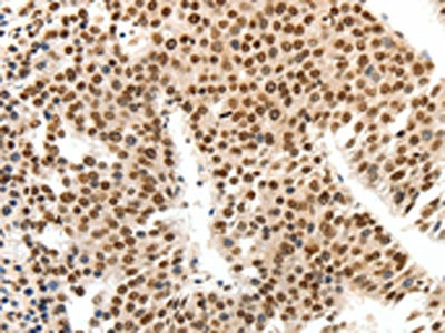
The image on the left is immunohistochemistry of paraffin-embedded Human liver cancer tissue using CSB-PA429423(SIPA1 Antibody) at dilution 1/30, on the right is treated with synthetic peptide. (Original magnification: ×200)
-
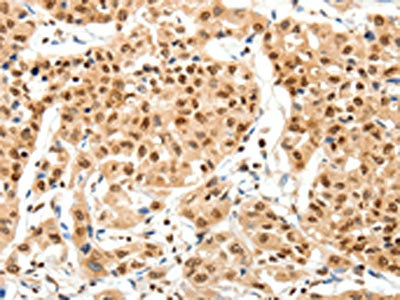
The image on the left is immunohistochemistry of paraffin-embedded Human lung cancer tissue using CSB-PA429423(SIPA1 Antibody) at dilution 1/30, on the right is treated with synthetic peptide. (Original magnification: ×200)
-
-
其他:
產品詳情
-
Uniprot No.:
-
基因名:
-
別名:GTPase activating protein Spa 1 antibody; GTPase-activating protein Spa-1 antibody; MGC102688 antibody; MGC17037 antibody; p130 SPA-1 antibody; p130 SPA1 antibody; Signal induced proliferation associated 1 antibody; Signal induced proliferation associated gene 1 antibody; Signal induced proliferation associated protein 1 antibody; Signal-induced proliferation-associated protein 1 antibody; SIPA 1 antibody; Sipa-1 antibody; Sipa1 antibody; SIPA1_HUMAN antibody; Spa1 antibody
-
宿主:Rabbit
-
反應種屬:Human
-
免疫原:Synthetic peptide of Human SIPA1
-
免疫原種屬:Homo sapiens (Human)
-
標記方式:Non-conjugated
-
抗體亞型:IgG
-
純化方式:Antigen affinity purification
-
濃度:It differs from different batches. Please contact us to confirm it.
-
保存緩沖液:-20°C, pH7.4 PBS, 0.05% NaN3, 40% Glycerol
-
產品提供形式:Liquid
-
應用范圍:ELISA,IHC
-
推薦稀釋比:
Application Recommended Dilution ELISA 1:1000-1:5000 IHC 1:25-1:100 -
Protocols:
-
儲存條件:Upon receipt, store at -20°C or -80°C. Avoid repeated freeze.
-
貨期:Basically, we can dispatch the products out in 1-3 working days after receiving your orders. Delivery time maybe differs from different purchasing way or location, please kindly consult your local distributors for specific delivery time.
-
用途:For Research Use Only. Not for use in diagnostic or therapeutic procedures.
相關產品
靶點詳情
-
功能:GTPase activator for the nuclear Ras-related regulatory proteins Rap1 and Rap2 in vitro, converting them to the putatively inactive GDP-bound state. Affects cell cycle progression.
-
基因功能參考文獻:
- SIPA1 promotes oral squamous cell carcinoma metastasis by regulating the ITGB1 and MMP7. PMID: 28237246
- Study shows that SIPA1 mRNA and protein expression are down-regulated in gastric cancer cells and correlate with tumor grading, invasion and lymph node metastasis as well as higher expression of VEGFA. Low SIPA1 levels in gastric cancer may then accelerate tumor development and progression by promoting VEGFA expression to increase vascular density. PMID: 28362978
- results suggest that SIPA1 and RRP1B germline polymorphisms are important for breast cancer prognosis PMID: 26901824
- Our results indicate, for the first time, that the SIPA1 -313A>G may have a prognostic role in unresected NSCLC making it a potential predictor of poor survival due to earlier progression. PMID: 25352027
- nuclear SIPA1 contributes to breast cancer cell invasion through the regulation of integrin beta1 signaling. PMID: 24704834
- BRD4 short isoform interacts with RRP1B, SIPA1 and components of the LINC complex at the inner face of the nuclear membrane. PMID: 24260471
- This meta-analysis suggests that rs746429 is associated with the risk of breast cancer. PMID: 24006220
- SIPA1 SNPs, rs746429 and rs2306364, were associated with decreased risk of triple-negative breast tumors. PMID: 23771732
- Polymorphism in Sipa1 promoter gene is associated with lung cancer. PMID: 23661532
- Patients with metastatic breast cancer with SIPA1 545 T/T genotype had a significantly worse overall survival than did patients with C/T or C/C genotype (50.0% vs. 62.9%, P = 0.042). PMID: 23358895
- SIPA1 expression is increased in human colorectal cancer. PMID: 22990111
- In this case-control study, SNPs in SIPA1 varied statistically in cervical cancer patients with and without nodal metastases and in MMP9 after controlling for stage and lymphvascular space invasion. PMID: 19906411
- Data identif a Rap GTPase-activating protein, signal-induced proliferation-associated protein 1 (SPA-1), as a factor that interacts with Brd4. PMID: 15456879
- SIPA1 germline polymorphisms are associated with aggressive disease behavior in breast cancer. PMID: 16563182
- SPA1 regulates the maintenance and differentiation of embryonic stem cells. PMID: 18033671
- it is unlikely that SIPA1 plays a pathogenetic role in the development of juvenile myelomonocytic leukemia PMID: 18492118
- Our results do not support a relationship between SIPA1 polymorphisms and breast cancer risk or subsequent survival PMID: 19089925
- SIPA1 SNP rs3741378 was associated with increased breast cancer incidence. PMID: 19765277
顯示更多
收起更多
-
亞細胞定位:Nucleus. Cytoplasm, perinuclear region. Endomembrane system; Peripheral membrane protein.
-
組織特異性:Expressed in fetal as well as in adult tissues. Expressed abundantly in the lymphoid tissues such as thymus, spleen and peripheral blood lymphocytes and also shows a significant expression in the spinal cord.
-
數據庫鏈接:
Most popular with customers
-
YWHAB Recombinant Monoclonal Antibody
Applications: ELISA, WB, IHC, IF, FC
Species Reactivity: Human, Mouse, Rat
-
Phospho-YAP1 (S127) Recombinant Monoclonal Antibody
Applications: ELISA, WB, IHC
Species Reactivity: Human
-
-
-
-
-
-















