-
中文名稱:SIGMAR1兔多克隆抗體
-
貨號:CSB-PA209031
-
規格:¥1100
-
圖片:
-
The image is immunohistochemistry of paraffin-embedded Human gastic cancer tissue using CSB-PA209031(SIGMAR1 Antibody) at dilution 1/50. (Original magnification: ×200)
-
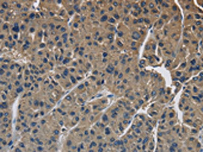
The image is immunohistochemistry of paraffin-embedded Human liver cancer tissue using CSB-PA209031(SIGMAR1 Antibody) at dilution 1/50. (Original magnification: ×200)
-
Gel: 10%SDS-PAGE, Lysate: 40 μg, Lane 1-6: Mouse liver tissue, Mouse brain tissue, 293T cells, A549 cells, A431 cells, PC3 cells, Primary antibody: CSB-PA209031(SIGMAR1 Antibody) at dilution 1/310, Secondary antibody: Goat anti rabbit IgG at 1/8000 dilution, Exposure time: 1 second
-
-
其他:
產品詳情
-
Uniprot No.:
-
基因名:
-
別名:Aging associated gene 8 protein antibody; Aging-associated gene 8 protein antibody; AL024364 antibody; hSigmaR1 antibody; mSigmaR1 antibody; opioid receptor, sigma 1 antibody; opioid receptor, sigma 1 isoform 1 antibody; RP23 167I12.6 antibody; SGMR1_HUMAN antibody; SIG 1R antibody; SIG-1R antibody; Sigma 1-type opioid receptor antibody; Sigma non-opioid intracellular receptor 1 antibody; sigma1 receptor antibody; Sigma1-receptor antibody; Sigma1R antibody; Sigmar1 antibody; SR BP antibody; SR-BP antibody; SR31747 binding protein antibody; SR31747-binding protein antibody; SRBP antibody
-
宿主:Rabbit
-
反應種屬:Human,Mouse,Rat
-
免疫原:Fusion protein of Human SIGMAR1
-
免疫原種屬:Homo sapiens (Human)
-
標記方式:Non-conjugated
-
抗體亞型:IgG
-
純化方式:Antigen affinity purification
-
濃度:It differs from different batches. Please contact us to confirm it.
-
保存緩沖液:-20°C, pH7.4 PBS, 0.05% NaN3, 40% Glycerol
-
產品提供形式:Liquid
-
應用范圍:ELISA,WB,IHC
-
推薦稀釋比:
Application Recommended Dilution ELISA 1:2000-1:5000 WB 1:500-1:2000 IHC 1:100-1:300 -
Protocols:
-
儲存條件:Upon receipt, store at -20°C or -80°C. Avoid repeated freeze.
-
貨期:Basically, we can dispatch the products out in 1-3 working days after receiving your orders. Delivery time maybe differs from different purchasing way or location, please kindly consult your local distributors for specific delivery time.
-
用途:For Research Use Only. Not for use in diagnostic or therapeutic procedures.
引用文獻
- Identification and verification of a polyamine metabolism-related gene signature for predicting prognosis and immune infiltration in osteosarcoma S Qiu, C Tan, D Cheng, Q Yang,Journal of Orthopaedic Surgery and Research,2025
相關產品
靶點詳情
-
功能:Functions in lipid transport from the endoplasmic reticulum and is involved in a wide array of cellular functions probably through regulation of the biogenesis of lipid microdomains at the plasma membrane. Involved in the regulation of different receptors it plays a role in BDNF signaling and EGF signaling. Also regulates ion channels like the potassium channel and could modulate neurotransmitter release. Plays a role in calcium signaling through modulation together with ANK2 of the ITP3R-dependent calcium efflux at the endoplasmic reticulum. Plays a role in several other cell functions including proliferation, survival and death. Originally identified for its ability to bind various psychoactive drugs it is involved in learning processes, memory and mood alteration. Necessary for proper mitochondrial axonal transport in motor neurons, in particular the retrograde movement of mitochondria. Plays a role in protecting cells against oxidative stress-induced cell death via its interaction with RNF112.
-
基因功能參考文獻:
- Disruption of the association of Sig-1R with TRPV1 by synthetic or natural antagonists leads to degradation of TRPV1 protein and to decreased levels of the ion channel protein as well as to a decrease in TRPV1-associated pain. PMID: 29378958
- Findings indicate that sigma1R is decreased in hepatocellular carcinoma and is closely correlated with histological differentiation. PMID: 29399701
- mutation in Sigma receptor-1 leads to ER stress-mediated defects in protein homeostasis and dysregulation of RNA-binding proteins PMID: 28622300
- These findings indicate that a loss of Sig1R function is causative for juvenile amyotrophic lateral sclerosis (ALS16), and collapse of the mitochondria-associated membrane is a common pathomechanism in both Sig1R- and SOD1-linked ALS. PMID: 27821430
- Analyses of tissue microarray from colorectal cancer patients showed higher SigmaR1 expression levels in cancer samples and a correlation with tumor grade. Moreover, the exploration of a cohort of 4937 breast cancer patients indicated that high expression of SigmaR1 and Orai1 channels was significantly correlated to a lower overall survival. PMID: 28114279
- our data show that Sigma1 modulators can be used to suppress AR/ARV-driven prostate cancer cells via regulation of pharmacologically responsive Sigma1-AR/ARV interactions, both in vitro and in vivo PMID: 28235766
- Genetic variant within the encoding gene SIGMAR1 (rs1800866A>C) associated with Major Depressive Disorder and Bipolar Disorder. PMID: 28144920
- Data demonstrate the involvement of SIGMAR1 in motor neuron maintenance and survival by correlating mutations in this gene to distal motor dysfunction and highlight the chaperone activity of sigma-1R as a critical aspect in distal hereditary motor neuropathy pathology. PMID: 27402882
- Changes of Sig1R and SOD2 expression point to mitochondria as main organelle responsible for survival of tumor cells exposed to hypoxia or oxidative stress. Studied proteins are involved in intracellular response to stress related with different concentrations of oxygen. PMID: 27829319
- the sigma-1 receptor and the nNav1.5 channel formed a physical, functional complex PMID: 27160185
- Collectively, these studies define Sig1R as a key mediator of TRAIL induction of cancer-specific killing. PMID: 26792723
- crystal structures of the human sigma1 receptor in complex with two chemically divergent ligands, PD144418 and 4-IBP PMID: 27042935
- Expression of mutant Sig-1R protein reduces mitochondrial ATP production, inhibits proteasome activity and causes mitochondrial injury, aggravating ER stress-induced neuronal death. PMID: 25704016
- Recent studies indicate that sigma-1 receptors, partly in sake of its unique subcellular localization, regulate the mitochondria function that involves bioenergetics and free radical generation. PMID: 25704011
- Removal of the S1R gene in the Superoxide Dismutase-1 (SOD-1) mouse model of ALS exacerbated the neurodegenerative condition and resulted in a significantly reduced longevity. PMID: 25704013
- overview of the biological mechanisms frequently associated with neurodegeneration, and discuss how sigma-1 receptors may alter these mechanisms to preserve or restore neuronal function. PMID: 25704014
- mutations of the SIGMAR1 gene worsen outcome in Alzheimer's disease and myotrophic lateral sclerosis supporting a role of Sig-1R in neurodegenerative disease. PMID: 25704015
- examined blood samples from 3081 ischemic stroke (IS) patients and 1595 control subjects regarding 10 single nucleotide polymorphisms (SNPs) in the APOD and SIGMAR1 genes to find possible associations with IS risk, IS severity and recovery after IS PMID: 25261976
- Central and peripheral pharmacological blockade of Sig-1R could be an effective option to treat inflammatory pain--{REVIEW} PMID: 25902777
- Results suggest that the ubiquitin-proteasome pathway is implicated in nuclear inclusion formation, and that SIGMAR1 degrades aberrant proteins in the nucleus via the endoplasmic reticulum-related degradation machinery PMID: 25449906
- Homozygous c.151+1G>T mutation in SIGMAR1 caused a novel form of autosomal recessive distal hereditary motor neuropathy (dHMN) in a Chinese consanguineous family; endoplasmic reticulum stress may have a role in the pathogenesis of dHMN PMID: 26078401
- Patients with hilar cholangiocarcinoma overexpressed Sig1R and had an earlier recurrence and worse overall survival than those not overexpressing Sig1R. PMID: 25344871
- Data suggest that SIGMAR1 occurs in vivo (here, as recombinant fusion proteins expressed in COS-7 cells) in multiple monomeric/dimeric/oligomeric forms and that SIGMAR1 ligands alter distribution of SIGMAR1 in such structures/aggregates. PMID: 25510962
- SIGMAR1 is an alternative upstream STAT3 activator in addition to IL6/JAK signalling pathway. PMID: 24726897
- Combination of AAG8 antagonist and very low concentration of a MEK inhibitor synergistically restricts the growth of drug-resistant cells. PMID: 24634165
- results support the notion that loss of SigR1 function contributes to ALS pathology by causing abnormal ER morphology, lipid raft destabilization and defective endolysosomal pathways. PMID: 24922074
- sigma-1 receptor may bind to hERG in the endoplasmic reticulum, aiding its assembly and trafficking to the plasma membrane PMID: 25266722
- Causative mutation in the SIGMAR1 gene is rare in Korean patients with either familial or sporadic ALS. PMID: 24684794
- SIGMAR1 might shuttle between the nucleus and the cytoplasm PMID: 24313828
- Data indicate that the mitochondrion-associated ER membrane (MAM) regulates cellular survival via an MAM-residing ER chaperone the sigma-1 receptor (Sig-1R). PMID: 24204710
- SIGMAR1 is reported to be associated with juvenile amyotrophic sclerosis. A homozygous missense mutation, E102Q, in SIGMAR1 gene was identified in autosomal recessive FALS from Saudi Arabia. PMID: 24085347
- The non-opioid sigma-1 receptor (S1R) was identified as a novel effector of GAP activity of ELMOD1-3 proteins as its direct binding to either ELMOD1 or ELMOD2 resulted in loss of GAP activity. PMID: 24616099
- It is probably due to double nature of Sig1R action - in certain conditions it could act pro- or antiapoptotic. This action might depend on Sig1R activity resulting from its expression level. PMID: 23906352
- the possible pathways by which the sigma-1 receptor may reduce the excitability of motoneurons and thereby play a protective function during the progression of ALS. PMID: 24592734
- Sigma-1 receptor binds to the GluN1/GluN2A NMDA receptor specifically via the GluN1 subunit. PMID: 24227730
- unfolded protein response (UPR)and autophagy are engaged as primary and secondary cytoprotective responses, respectively, to Sigma1 ligand-induced disruption of cancer cell protein homeostasis. PMID: 24006496
- OPRS1 mediates IL-24-induced cancer-specific apoptosis. PMID: 23988449
- the chaperone domain of S1R interacts with full-length BiP. PMID: 23760505
- Data using recombinant proteins expressed in vascular endothelial cells suggest that SigmaR1 is not involved in regulation of calcium signaling via TRPC5/TRPM3 channels (transient receptor potential cation channels C5/M3). PMID: 23121507
- Sigma-1 receptor regulates early steps of hepatitis C viral RNA replication at the onset of infection. PMID: 23536676
- coding and noncoding variants located in the 3'-UTR region of the SIGMAR1 gene are not the cause of FTLD-MND in our cohort, and more than half of this targeted cohort is genetically explained by C9ORF72 repeat expansions. PMID: 22739338
- Sigma 1 receptor stimulation protects against oxidative damage through suppression of the ER stress responses in the human lens PMID: 23041531
- This study demonistrated that association between the SIGMAR1 Gln2Pro polymorphism and schizophrenia in our Japanese population. PMID: 22818711
- Each set of six transmembrane regions in Nav1.5 likely constitutes a Sig1R binding site, suggesting that the Sig1R interacts with the transmembrane regions of its binding partners. PMID: 22952230
- Sigma1R likely interacts with different domains of Kv ion channel family proteins resulting in distinct modulation of different channels. PMID: 22433979
- Our data demonstrates an association between the SIGMAR1 TT-P variant and the risk for developing Alzheimer's diseasE PMID: 22561649
- sigma1R may serve as a potential predictive factor for pTNM classification and tumor development in esophageal squamous cell carcinoma. PMID: 22511599
- The sigma-1 receptor plays an important role in modifying the function of transmembrane proteases. PMID: 22322890
- Sig1R protein regulates hERG channel expression through a post-translational mechanism in leukemic cells. PMID: 21680736
- SIGMAR1 and APOE interact to influence Alzheimer's disease severity across ethnic populations. PMID: 21605063
顯示更多
收起更多
-
相關疾病:Amyotrophic lateral sclerosis 16, juvenile (ALS16); Distal spinal muscular atrophy, autosomal recessive, 2 (DSMA2)
-
亞細胞定位:Nucleus inner membrane. Nucleus outer membrane. Nucleus envelope. Cytoplasmic vesicle. Endoplasmic reticulum membrane. Membrane; Single-pass membrane protein. Lipid droplet. Cell junction. Cell membrane. Cell projection, growth cone. Cell junction, synapse, postsynaptic density membrane.
-
蛋白家族:ERG2 family
-
組織特異性:Widely expressed with higher expression in liver, colon, prostate, placenta, small intestine, heart and pancreas. Expressed in the retina by retinal pigment epithelial cells. Expressed in alpha-motor neurons.
-
數據庫鏈接:
Most popular with customers
-
-
YWHAB Recombinant Monoclonal Antibody
Applications: ELISA, WB, IHC, IF, FC
Species Reactivity: Human, Mouse, Rat
-
Phospho-YAP1 (S127) Recombinant Monoclonal Antibody
Applications: ELISA, WB, IHC
Species Reactivity: Human
-
-
-
-
-















