SIAH1 Antibody
-
中文名稱:SIAH1兔多克隆抗體
-
貨號:CSB-PA490759
-
規格:¥1100
-
圖片:
-
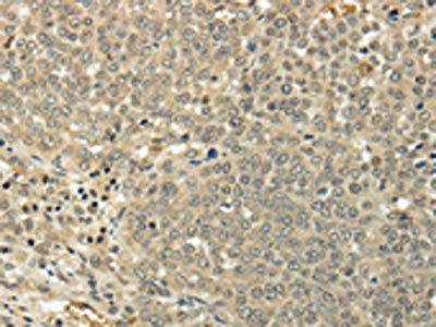
The image on the left is immunohistochemistry of paraffin-embedded Human ovarian cancer tissue using CSB-PA490759(SIAH1 Antibody) at dilution 1/35, on the right is treated with fusion protein. (Original magnification: ×200)
-
The image on the left is immunohistochemistry of paraffin-embedded Human breast cancer tissue using CSB-PA490759(SIAH1 Antibody) at dilution 1/35, on the right is treated with fusion protein. (Original magnification: ×200)
-
Gel: 12%SDS-PAGE, Lysate: 40 μg, Lane 1-4: Hela, Jurkat and hepg2 cell, human fetal liver tissue, Primary antibody: CSB-PA490759(SIAH1 Antibody) at dilution 1/300 dilution, Secondary antibody: Goat anti rabbit IgG at 1/8000 dilution, Exposure time: 1 minute
-
-
其他:
產品詳情
-
Uniprot No.:
-
基因名:
-
別名:E3 ubiquitin-protein ligase SIAH1 antibody; FLJ08065 antibody; hSIAH1 antibody; HUMSIAH antibody; Seven in absentia homolog 1 (Drosophila) antibody; Seven in absentia homolog 1 antibody; Siah 1 antibody; Siah 1a antibody; Siah E3 ubiquitin protein ligase 1 antibody; Siah-1 antibody; Siah-1a antibody; Siah1 antibody; SIAH1_HUMAN antibody; SIAH1A antibody; Ubiquitin ligase SIAH1 antibody
-
宿主:Rabbit
-
反應種屬:Human,Mouse,Rat
-
免疫原:Full length fusion protein
-
免疫原種屬:Homo sapiens (Human)
-
標記方式:Non-conjugated
-
抗體亞型:IgG
-
純化方式:Antigen affinity purification
-
濃度:It differs from different batches. Please contact us to confirm it.
-
保存緩沖液:-20°C, pH7.4 PBS, 0.05% NaN3, 40% Glycerol
-
產品提供形式:Liquid
-
應用范圍:ELISA,WB,IHC
-
推薦稀釋比:
Application Recommended Dilution ELISA 1:2000-1:5000 WB 1:500-1:2000 IHC 1:25-1:100 -
Protocols:
-
儲存條件:Upon receipt, store at -20°C or -80°C. Avoid repeated freeze.
-
貨期:Basically, we can dispatch the products out in 1-3 working days after receiving your orders. Delivery time maybe differs from different purchasing way or location, please kindly consult your local distributors for specific delivery time.
-
用途:For Research Use Only. Not for use in diagnostic or therapeutic procedures.
相關產品
靶點詳情
-
功能:E3 ubiquitin-protein ligase that mediates ubiquitination and subsequent proteasomal degradation of target proteins. E3 ubiquitin ligases accept ubiquitin from an E2 ubiquitin-conjugating enzyme in the form of a thioester and then directly transfers the ubiquitin to targeted substrates. Mediates E3 ubiquitin ligase activity either through direct binding to substrates or by functioning as the essential RING domain subunit of larger E3 complexes. Triggers the ubiquitin-mediated degradation of many substrates, including proteins involved in transcription regulation (ELL2, MYB, POU2AF1, PML and RBBP8), a cell surface receptor (DCC), the cell-surface receptor-type tyrosine kinase FLT3, the cytoplasmic signal transduction molecules (KLF10/TIEG1 and NUMB), an antiapoptotic protein (BAG1), a microtubule motor protein (KIF22), a protein involved in synaptic vesicle function in neurons (SYP), a structural protein (CTNNB1) and SNCAIP. Confers constitutive instability to HIPK2 through proteasomal degradation. It is thereby involved in many cellular processes such as apoptosis, tumor suppression, cell cycle, axon guidance, transcription regulation, spermatogenesis and TNF-alpha signaling. Has some overlapping function with SIAH2. Induces apoptosis in cooperation with PEG3. Upon nitric oxid (NO) generation that follows apoptotic stimulation, interacts with S-nitrosylated GAPDH, mediating the translocation of GAPDH to the nucleus. GAPDH acts as a stabilizer of SIAH1, facilitating the degradation of nuclear proteins. Mediates ubiquitination and degradation of EGLN2 and EGLN3 in response to the unfolded protein response (UPR), leading to their degradation and subsequent stabilization of ATF4.
-
基因功能參考文獻:
- Depletion of KDM3A coincided with the loss of SIAH1 induction and the accumulation of dimethylated H3K9 surrounding the SIAH1 promoter. Interestingly, KDM3A expression was also up-regulated by nutritional stress in a HIF-1alpha dependent manner. PMID: 28843785
- The crystallographic models provide structural insights into the substrate binding of the SIAH family E3 ubiquitin ligases that are critically involved in regulating cancer-related pathways. PMID: 27776223
- Results showed that SIAH1 and PTP4A1 expression was regulated by mir-944 in breast cancer cells. miR-944 binds directly the 3 UTR of their promotor region. PMID: 27377268
- Study identified SIAH1/2 (SIAH) as the E3 ligase mediating Wnt-induced Axin degradation. SIAH proteins promote the ubiquitination and proteasomal degradation of Axin through interacting with a VxP motif in the GSK3-binding domain of Axin, and this function of SIAH is counteracted by GSK3 binding to Axin. PMID: 28546513
- results suggest that CacyBP/SIP is involved in regulation of the Hsp90 chaperone machinery PMID: 27249023
- PINK1 disease mutants failed to recruit synphilin-1 and did not activate mitophagy, indicating that PINK1-synphilin-1-SIAH-1 represents a new parkin-independent mitophagy pathway. Drugs that activate this pathway will provide a novel strategy to promote the clearance of damaged mitochondria in Parkinson's disease. PMID: 27334109
- Results suggest that activated STAT3 regulates active beta-catenin protein levels via stabilization of SIAH-1 and the subsequent ubiquitin-dependent proteasomal degradation of beta-catenin in HEK293T cells. PMID: 27871173
- Siah-1 expression was observed in 41.4% of oral squamous cell carcinoma. Siah-1 was expressed in the cytoplasm and cell membranes, and partially in the nucleus . PMID: 27616748
- SIAH1 is associated with a tumor promoting role in breast cancer. PMID: 26654769
- In neuroblastoma cells, siRNA silencing of SIAH1 promoted cellular proliferation and suppressed apoptosis. Protein and mRNA expression of alpha-synuclein, LC3-II and p53 decreased after SIAH1 knockdown. E1 protein and mRNA levels increased after SIAH1 siRNA. PMID: 26722480
- Results demonstrated that miR-107 directly down-regulated SIAH1 expression in human breast cancer cells. An inverse correlation between the expression of miR-107 and SIAH1 was found in human breast cancer tissues and cell lines. PMID: 25851994
- Similar to TAp73, DNp73 is stabilized by hypoxia in a HIF-1a-dependent manner, which otherwise is degraded by Siah1. PMID: 26267146
- findings demonstrate that dissociation of the GAPDH/Siah1 pro-apoptotic complex can block high glucose-induced pericyte apoptosis, widely considered a hallmark feature of DR PMID: 26438826
- Data indicate that ubiquitin ligase Siah as a regulator of to Mesenchymal Transition (EMT) by controlling the abundance of the key transcription factor Zeb1, while Siah itself is subject to regulation by EMT-inducing factors. PMID: 25528765
- miRNA network regulates SIAH1 in in colorectal metastasis tissues. PMID: 26069251
- CDK2 up-regulates the protein level of KLF10 through reducing its association with SIAH1, a KLF10 E3-ubiqutin ligase involved in proteasomal degradation. PMID: 25728284
- molecular basis of Siah1 and Siah2 E3 ubiquitin ligase substrate specificity PMID: 25202994
- Siah1 is a substrate of ASK1 for activation of the GAPDH-Siah1 oxidative stress signaling cascade. PMID: 25391652
- SIAH-1 plays an essential role in beta-catenin degradation in HCT116 CRC cells and that CSN5 affects beta-catenin target gene expression in these cells. PMID: 24882689
- miR-135a/SIAH1/beta-catenin signaling is important in the transformation and progression of cervical carcinoma. PMID: 24503442
- The spatial orientation of one zinc-finger subdomain in Siah1 ubiquitin ligase differs with respect to the rest of the dimeric protein. PMID: 24316825
- the molecular mechanisms modulating ACK1 PMID: 23208506
- USP19 interacts with the ubiquitin ligases SIAH1 and SIAH2, which promote USP19 ubiquitylation and degradation by the proteasome. PMID: 23500468
- High expression of seven-in-absentia homologue 1 is associated with nasopharyngeal carcinoma. PMID: 23228635
- Calmodulin-regulated Siah-1A binding to mGluR5 dynamically regulates mGluR5 trafficking PMID: 23152621
- Siah1 is the E3 ubiquitin ligase for ELL2 polyubiquitination and proteasomal degradation. PMID: 22483617
- In sharp contrast to SIAH1/SIAH2 and UBCH8, TRIAD1 binding to PML-RARalpha has no effect on its turnover. PMID: 22037423
- Taken together, our data suggest EFF1D functions as a novel negative regulator of SIAH-1. PMID: 21633900
- Siah-1 may play an important role in ubiquitin-dependent degradation of hepatitis B virus X protein and may be involved in suppressing the progression of hepatocellular carcinoma (HCC). PMID: 21878328
- infection of SIAH-1 knockdown cells with HSV, higher levels of ICP0 were produced, ICP0 was less ubiquitinated, and the half-life of this multifunctional viral regulatory protein was increased PMID: 21632771
- results suggest that hypoxia downregulates beta-catenin by increasing Siah-1 expression in a p53-dependent manner PMID: 21466614
- ARTS interacts with the E3 ligase Siah-1 (seven in absentia homolog 1) to induce ubiquitination and degradation of XIAP. PMID: 21185211
- Herp temporarily bound to E3 ligase SIAH1a during proteolytic stress but not during ER stress. PMID: 20604806
- Overexpression of Siah1L and Siah1 is associated with radiosensitivity of breast cancer. PMID: 20682032
- these results propose a novel role of SIAH-1 in regulating the expression level of HPH2 through the ubiquitin-proteasome pathway. PMID: 20471960
- Siah1 is a bona fide E2F1 target gene, which at least partly, mediates the suppression of beta-catenin/TCF signalling pathway PMID: 20187294
- Immunofluorescence microscopy shows that the intracellular distribution of SIAH-1 and Kid/KIF22 appears to be modified in human tumor tissues compared to normal controls PMID: 20144232
- increase of the function of SIAH1 to upregulate the expression of Bim may play an important role in the progression of breast cancer PMID: 20082325
- Direct ubiquitination of beta-catenin by Siah-1 and regulation by the exchange factor TBL1. PMID: 20181957
- JNK and ERK signaling pathways may play an important role in the SIAH1-dependent biological behavior of breast cancer. PMID: 19775288
- siah-1 Protein is necessary for high glucose-induced glyceraldehyde-3-phosphate dehydrogenase nuclear accumulation and cell death in Muller PMID: 19940145
- Siah proteins function as E3 ubiquitin-protein ligases PMID: 11786535
- The Siah-1 gene promoter was cloned and the basic structure of the Siah-1 gene was determined. PMID: 11852084
- genetic regulation in tumor reversion PMID: 12399545
- structural analysis and interaction with Siah-interacting protein PMID: 12421809
- SIAH1 has been identified as a putative tumor suppressor gene for human hepatocellular carcinomas, with a correlation between its suppressed expression and tumor size and differentiation. PMID: 12557228
- PEG10 protein associated with SIAH1, a mediator of apoptosis, and overexpression of PEG10 decreased the cell death mediated by SIAH1. PMID: 12810624
- Siah-1 was found to abrogate the inhibitory effects of synphilin-1 on dopamine release PMID: 14506261
- A p53-binding site was identified in the siah-1b promoter, located at nucleotides -2155/-2103 relative to the translational start site. PMID: 14985507
- SIAH-mediated down regulation of alternative splicing may be an important developmental difference between otherwise highly conserved T-STAR proteins. PMID: 15163637
顯示更多
收起更多
-
亞細胞定位:Cytoplasm. Nucleus. Note=Predominantly cytoplasmic. Partially nuclear.
-
蛋白家族:SINA (Seven in absentia) family
-
組織特異性:Widely expressed at a low level. Down-regulated in advanced hepatocellular carcinomas.
-
數據庫鏈接:
Most popular with customers
-
-
YWHAB Recombinant Monoclonal Antibody
Applications: ELISA, WB, IHC, IF, FC
Species Reactivity: Human, Mouse, Rat
-
-
-
-
-
-















