SHANK2 Antibody
-
中文名稱:SHANK2兔多克隆抗體
-
貨號:CSB-PA892492LA01HU
-
規格:¥440
-
圖片:
-
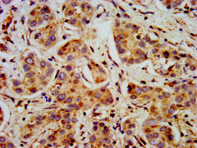
IHC image of CSB-PA892492LA01HU diluted at 1:400 and staining in paraffin-embedded human cervical cancer performed on a Leica BondTM system. After dewaxing and hydration, antigen retrieval was mediated by high pressure in a citrate buffer (pH 6.0). Section was blocked with 10% normal goat serum 30min at RT. Then primary antibody (1% BSA) was incubated at 4°C overnight. The primary is detected by a biotinylated secondary antibody and visualized using an HRP conjugated SP system.
-
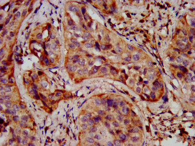
IHC image of CSB-PA892492LA01HU diluted at 1:400 and staining in paraffin-embedded human liver cancer performed on a Leica BondTM system. After dewaxing and hydration, antigen retrieval was mediated by high pressure in a citrate buffer (pH 6.0). Section was blocked with 10% normal goat serum 30min at RT. Then primary antibody (1% BSA) was incubated at 4°C overnight. The primary is detected by a biotinylated secondary antibody and visualized using an HRP conjugated SP system.
-
-
其他:
產品詳情
-
產品名稱:Rabbit anti-Homo sapiens (Human) SHANK2 Polyclonal antibody
-
Uniprot No.:
-
基因名:
-
別名:SHANK2 antibody; CORTBP1 antibody; KIAA1022 antibody; PROSAP1 antibody; SH3 and multiple ankyrin repeat domains protein 2 antibody; Shank2 antibody; Cortactin-binding protein 1 antibody; CortBP1 antibody; Proline-rich synapse-associated protein 1 antibody
-
宿主:Rabbit
-
反應種屬:Human
-
免疫原:Recombinant Human SH3 and multiple ankyrin repeat domains protein 2 protein (728-822AA)
-
免疫原種屬:Homo sapiens (Human)
-
標記方式:Non-conjugated
本頁面中的產品,SHANK2 Antibody (CSB-PA892492LA01HU),的標記方式是Non-conjugated。對于SHANK2 Antibody,我們還提供其他標記。見下表:
-
克隆類型:Polyclonal
-
抗體亞型:IgG
-
純化方式:>95%, Protein G purified
-
濃度:It differs from different batches. Please contact us to confirm it.
-
保存緩沖液:Preservative: 0.03% Proclin 300
Constituents: 50% Glycerol, 0.01M PBS, pH 7.4 -
產品提供形式:Liquid
-
應用范圍:ELISA, IHC
-
推薦稀釋比:
Application Recommended Dilution IHC 1:200-1:500 -
Protocols:
-
儲存條件:Upon receipt, store at -20°C or -80°C. Avoid repeated freeze.
-
貨期:Basically, we can dispatch the products out in 1-3 working days after receiving your orders. Delivery time maybe differs from different purchasing way or location, please kindly consult your local distributors for specific delivery time.
-
用途:For Research Use Only. Not for use in diagnostic or therapeutic procedures.
相關產品
靶點詳情
-
功能:Seems to be an adapter protein in the postsynaptic density (PSD) of excitatory synapses that interconnects receptors of the postsynaptic membrane including NMDA-type and metabotropic glutamate receptors, and the actin-based cytoskeleton. May play a role in the structural and functional organization of the dendritic spine and synaptic junction.
-
基因功能參考文獻:
- We report a deletion including the SHANK2 gene in a female child with dysmorphic features, microcephaly, and global developmental delay, providing additional evidence for SHANK2 involvement in intellectual disability PMID: 28211979
- In one family, seven siblings with schizophrenia spectrum disorders each carry a novel private missense variant within the SHANK2 gene. PMID: 27001614
- The present study demonstrated that depletion of SHANK2 inhibited the osteo/dentinogenic differentiation potentials in human stem cells from apical papilla PMID: 27641545
- variants in the SHANK2 gene in a schizophrenia patient cohort PMID: 25560758
- Knockdown of endogenous Shank2E or overexpression of a dominant-negative Shank2E mutant inhibited the glucocorticoid-mediated increase in CFTR. PMID: 24811177
- syndapin I functions reflected direct, SH3 domain-mediated associations and functional interactions with ProSAP1/Shank2. PMID: 24751538
- Lack of association between NLGN3, NLGN4, SHANK2 and SHANK3 gene variants and autism spectrum disorder in a Chinese population. PMID: 23468870
- deletion of ProSAP1/Shank2 results in an early, brain-region-specific upregulation of ionotropic glutamate receptors at the synapse and increased levels of ProSAP2/Shank3 PMID: 22699619
- we confirmed that de novo SHANK2 deletions are present in patients with ASD and showed that several SHANK2 variants reduce the number of synapses in vitro PMID: 22346768
- dominant negative effect translates into dose-dependent altered cognitive behavior of SHANK2-R462X-expressing mice, with an impact on the penetrance of ASD PMID: 21994763
- we identified de novo copy number variations in the SHANK2 synaptic scaffolding gene in two unrelated individuals with autism-spectrum disorder (ASD) and mental retardation PMID: 20473310
- betaPix up-regulates NHE3 membrane expression and activity by Shank2-mediated protein-protein interaction and by activating Rho GTPases in the apical regions of epithelial cells PMID: 20080968
- Shank2 increased the membrane expression and basal activity of NHE3 and attenuated the cAMP-dependent inhibition of NHE3 activity. PMID: 16293618
顯示更多
收起更多
-
相關疾病:Autism 17 (AUTS17)
-
亞細胞定位:Apical cell membrane. Cytoplasm. Cell junction, synapse. Cell junction, synapse, postsynaptic density. Cell projection, growth cone. Cell projection, dendritic spine.
-
蛋白家族:SHANK family
-
組織特異性:Isoform 3 is present in epithelial colonic cells (at protein level).
-
數據庫鏈接:
Most popular with customers
-
YWHAB Recombinant Monoclonal Antibody
Applications: ELISA, WB, IHC, IF, FC
Species Reactivity: Human, Mouse, Rat
-
Phospho-YAP1 (S127) Recombinant Monoclonal Antibody
Applications: ELISA, WB, IHC
Species Reactivity: Human
-
-
-
-
-
-















