SFTPD Antibody
-
中文名稱:SFTPD兔多克隆抗體
-
貨號:CSB-PA820032
-
規格:¥1100
-
圖片:
-
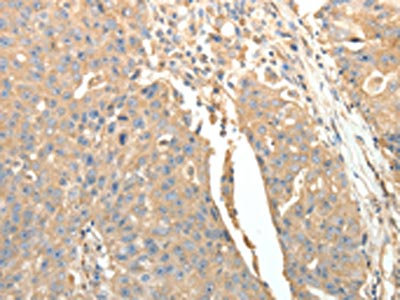
The image on the left is immunohistochemistry of paraffin-embedded Human ovarian cancer tissue using CSB-PA820032(SFTPD Antibody) at dilution 1/30, on the right is treated with fusion protein. (Original magnification: ×200)
-
The image on the left is immunohistochemistry of paraffin-embedded Human cervical cancer tissue using CSB-PA820032(SFTPD Antibody) at dilution 1/30, on the right is treated with fusion protein. (Original magnification: ×200)
-
-
其他:
產品詳情
-
Uniprot No.:
-
基因名:
-
別名:COLEC 7 antibody; COLEC7 antibody; Collectin-7 antibody; Collectin7 antibody; Lung surfactant protein D antibody; PSP D antibody; PSP-D antibody; PSP-D Surfactant protein D antibody; PSPD antibody; Pulmonary surfactant apoprotein antibody; Pulmonary surfactant associated protein D antibody; Pulmonary surfactant associated protein PSP-D antibody; Pulmonary surfactant-associated protein D antibody; SFTP 4 antibody; SFTP4 antibody; SFTPD antibody; SFTPD_HUMAN antibody; SP D antibody; SP-D antibody; Surfactant associated protein pulmonary 4 antibody; Surfactant protein D antibody; Surfactant pulmonary associated protein D antibody
-
宿主:Rabbit
-
反應種屬:Human
-
免疫原:Fusion protein of Human SFTPD
-
免疫原種屬:Homo sapiens (Human)
-
標記方式:Non-conjugated
-
抗體亞型:IgG
-
純化方式:Antigen affinity purification
-
濃度:It differs from different batches. Please contact us to confirm it.
-
保存緩沖液:-20°C, pH7.4 PBS, 0.05% NaN3, 40% Glycerol
-
產品提供形式:Liquid
-
應用范圍:ELISA,IHC
-
推薦稀釋比:
Application Recommended Dilution ELISA 1:1000-1:5000 IHC 1:25-1:100 -
Protocols:
-
儲存條件:Upon receipt, store at -20°C or -80°C. Avoid repeated freeze.
-
貨期:Basically, we can dispatch the products out in 1-3 working days after receiving your orders. Delivery time maybe differs from different purchasing way or location, please kindly consult your local distributors for specific delivery time.
-
用途:For Research Use Only. Not for use in diagnostic or therapeutic procedures.
相關產品
靶點詳情
-
功能:Contributes to the lung's defense against inhaled microorganisms, organic antigens and toxins. Interacts with compounds such as bacterial lipopolysaccharides, oligosaccharides and fatty acids and modulates leukocyte action in immune response. May participate in the extracellular reorganization or turnover of pulmonary surfactant. Binds strongly maltose residues and to a lesser extent other alpha-glucosyl moieties.
-
基因功能參考文獻:
- these findings indicate that the membrane-type surfactant protein D serve as an effective therapeutic strategy for inhibiting macrophage-mediated xenograft rejection in xenotransplantation PMID: 29425774
- Assays that can separate SP-D proteolytic breakdown products or modified forms from naturally occurring SP-D trimers may result in optimal disease markers for pulmonary inflammatory diseases PMID: 28960651
- the SPA and SPD levels in EBC were correlated with lung function, which contributed to COPD diagnosis. PMID: 28791362
- Studied predictive value of surfactant protein D (SP-D) in lung cancer patients with interstitial lung disease induced by anticancer agents (ILD-AA). Results suggest that SP-D level change was a risk factor for mortality in patients with ILD-AA, and that SP-D might be a predictive prognostic biomarker of ILD-AA. PMID: 28464801
- SP-D also delays FasL-induced death of primary human T cells. SP-D delaying the progression of the extrinsic pathway of apoptosis could have important implications in regulating immune cell homeostasis at mucosal surfaces PMID: 28168327
- Trimeric SP-D wildtype recognized larger LPS inner core oligosaccharides with slightly enhanced affinity than smaller compounds suggesting the involvement of stabilizing secondary interactions. PMID: 27350640
- rs2819096 in the surfactant protein D (SFTPD) gene was associated with a higher risk of COPD GOLD III + IV. PMID: 27078193
- SP-D increases the formation of nuclear and membrane blebs. Inhibition of caspase-8 confirms the effect of SP-D is unique to the caspase-8 pathway. PMID: 29107869
- Findings indicate serum pulmonary surfactant protein D (SP-D, SFTPD) level as a potential marker to estimate the efficacy of epidermal growth factor receptor (EGFR)-tyrosine kinase inhibitor (TKIs). PMID: 28745320
- Patients with SP-D 11Thr/Thr genotype were more susceptible to acute kidney injury (AKI). Compared with healthy controls, serum SP-D levels at day 1, 3 and 7 were significantly elevated in AKI patients. PMID: 28212617
- This review intends to provide a current overview of the genetics, structure and extra-pulmonary functions of the surfactant collectin proteins. PMID: 28351530
- Meta-analysis found that serum SP-A/D detection might be useful for differential diagnosis and prediction of survival in patients with idiopathic pulmonary fibrosis. PMID: 28591049
- The findings suggest that SP-D inhibits LPS-stimulated production of interleukin-12p40 via the SIRPalpha/ROCK/ERK signaling pathway. PMID: 28641719
- Efficient lipopolysaccharide recognition by SP-D requires multiple binding interactions utilizing the three major ligand-binding determinants in the SP-D binding pocket, with Ca-dependent binding of inner-core heptose accompanied by interaction of anhydro-Kdo (4,7-anhydro-3-deoxy-d-manno-oct-2-ulosonic acid) with Arg343 and Asp325. PMID: 26953329
- SP-D levels in bronchoalveolar lavage samples were significantly lower in severe asthma compared with healthy controls and mild asthma. Serum SP-D was significantly increased in severe asthma compared with healthy controls and mild asthma. PMID: 26836907
- Surfactant protein D levels differed among idiopathic pulmonary fibrosis, pulmonary sarcoidosis and chronic pulmonary obstructive disease. PMID: 27758987
- Elevated levels of SP-D are Associated with Idiopathic Pulmonary Fibrosis. PMID: 27293304
- Data do not support that pSP-D levels influence or reflect the development of subclinical atherosclerosis. However, the data support that SP-D plays a role in the etiology of atherosclerotic disease development. PMID: 26748346
- Human and murine data together indicate that SP-A, SP-D and MBL are synthesized in early gestational tissues, and may contribute to regulation of immune response at the feto-maternal interface during pregnancy. PMID: 26603976
- Serum SP-D may serve as a convenient medium to distinguish lung infection caused by M. pneumoniae. PMID: 26617840
- findings shed new light on the discovery and/or development of a useful biomarker based on glycosylation changes for diagnosing COPD. PMID: 26206179
- Quantitative real-time PCR experiments disclosed significantly increased leukocyte NOS2 and SFTPD mRNA levels in hyperglycemic gestational diabetes mellitus patients (P < 0.05). PMID: 26568332
- Serum SP-D was not significantly different between patients with connective tissue disease-interstitial lung disease, chronic fibrosing interstitial pneumonia patients and healthy controls. PMID: 26424433
- Letter: report higher serum SP-D levels in bird-related hypersensitivity pneumonitis during winter. PMID: 25591150
- The SP-D level showed positive correlations with carotid IMT and coronary artery calcification in patients on long-term hemodialysis. PMID: 27012038
- SP-D is expressed differently in airways of asthmatics relative to that of non-asthmatics. PMID: 25848896
- Sputum and bronchoalveolar lavage fluid SFTPD were significantly higher in patients with severe asthma compared to mild-moderate asthma and healthy controls. PMID: 25728058
- We demonstrated for the first time in a Chinese population cohort that genetic polymorphisms of SP-D are not only associated with risk of COPD development, but also related to disease manifestation and that they predict outcomes. PMID: 25376584
- In chromium-exposed workers, blood levels of CC16, and CC16/SP-D were lower than in controls. Positive relationships were shown between CC16 or CC16/SP-D and indicators of lung function. PMID: 25851191
- In Sjogren's syndrome, high SP-D levels were found in patients with severe glandular involvement, hypergammaglobulinemia, leukopenia, extraglandular manifestations, and positive anti-Ro/La antibodies. PMID: 25362659
- Results revealed that higher circulating levels of SP-D are associated with higher mortality risk in critically ill A/H1N1 patients. PMID: 25537934
- In idiopathic pleuroparenchymal fibroelastosis SP-D was elevated, while KL-6 was within a normal range. PMID: 24880792
- These data suggest that SP-D reduces EGF binding to EGFR through the interaction between the carbohydrate recognition domain of SP-D and N-glycans of EGFR, and downregulates EGF signaling. PMID: 24608429
- the multi-faceted role of human SP-D against HIV-1 PMID: 25036364
- SFTPD polymorphism is associated with the risk of respiratory outcomes; it may be an essential factor affecting pulmonary adaptation in premature infants PMID: 25015576
- Results suggest that Smokers who are carriers of the SFTPD AG and AA polymorphic genotypes may be at a higher risk of developing Chronic obstructive pulmonary disease when compared with wild-type GG genotype carriers. PMID: 24504887
- Both mRNA and protein levels of gp340 were significantly higher in patients with biofilm associated chronic rhinosinusitis (CRS) than those with CRS and no biofilm and controls. PMID: 24121782
- In this review, we highlight the associations of eosinophilic lung diseases with SP-A and SP-D levels and functions. PMID: 24960334
- murine expression of human polymorphic variants does not significantly influence the severity of allergic airway inflammation PMID: 24712849
- Genetic disposition for low surfactant protein-D was not associated with rheumatoid arthritis but with erosive rheumatoid arthritis by interaction with smoking. PMID: 24264011
- SP-D levels were significantly higher in the sub-massive pulmonary embolism group overall. PMID: 25291941
- a novel pathway for the immunomodulatory functions of SP-D mediated via binding of its collagenous domains to LAIR-1. PMID: 24585933
- Human surfactant protein D alters oxidative stress and HMGA1 expression to induce p53 apoptotic pathway in eosinophil leukemic cell line. PMID: 24391984
- Surfactant protein D substitutions at the 325 and 343 positions (D325A+R343V) exhibit markedly increased antiviral activity for seasonal strains of influenza A virus. PMID: 24705721
- SFTPD single-nucleotide polymorphisms, rs1923536 and rs721917, and haplotypes, including these single-nucleotide polymorphisms or rs2243539, were inversely associated with expiratory lung function in interaction with smoking. PMID: 24610936
- Increases in serum KL-6 and SP-D levels during the first 4 weeks after starting therapy, but not their levels at any one time point, predict poor prognosis in patients with polymyositis/dermatomyositis. PMID: 22983659
- serum SP-D, but not SP-A, levels were significantly higher in the German than in the Japanese cohort PMID: 24400879
- Lower oligomeric form of surfactant protein D is associated with cystic fibrosis. PMID: 24120837
- Lung permeability biomakers [surfactant protein D (SP-D) and Clara cell secretory protein (CC16) in plasma] and forced expiratory volumes and flow were measured in swimmers in indoor swimming pool waters treated with different disinfection methods. PMID: 23874631
- In patients with systemic sclerosis-related interstitial lung disease, surfactant protein D was correlated with forced vital capacity. It was not a longterm prognostic indicator. PMID: 23588945
顯示更多
收起更多
-
亞細胞定位:Secreted, extracellular space, extracellular matrix. Secreted, extracellular space, surface film.
-
蛋白家族:SFTPD family
-
組織特異性:Expressed in lung, brain, pancreas and adipose tissue (mainly mature adipocytes).
-
數據庫鏈接:
Most popular with customers
-
-
YWHAB Recombinant Monoclonal Antibody
Applications: ELISA, WB, IHC, IF, FC
Species Reactivity: Human, Mouse, Rat
-
Phospho-YAP1 (S127) Recombinant Monoclonal Antibody
Applications: ELISA, WB, IHC
Species Reactivity: Human
-
-
-
-
-















