SERPINC1 Antibody
-
中文名稱:SERPINC1兔多克隆抗體
-
貨號:CSB-PA187673
-
規格:¥1100
-
圖片:
-
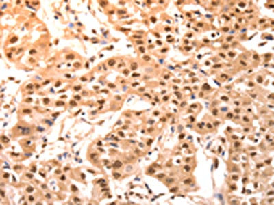
The image on the left is immunohistochemistry of paraffin-embedded Human thyroid cancer tissue using CSB-PA187673(SERPINC1 Antibody) at dilution 1/15, on the right is treated with fusion protein. (Original magnification: ×200)
-
The image on the left is immunohistochemistry of paraffin-embedded Human lung cancer tissue using CSB-PA187673(SERPINC1 Antibody) at dilution 1/15, on the right is treated with fusion protein. (Original magnification: ×200)
-
-
其他:
產品詳情
-
Uniprot No.:
-
基因名:
-
別名:ANT3_HUMAN antibody; Antithrombin antibody; Antithrombin III antibody; Antithrombin-III antibody; AntithrombinIII antibody; AT 3 antibody; AT III antibody; AT3 antibody; AT3D antibody; ATIII antibody; Heparin cofactor I antibody; MGC22579 antibody; Serine (or cysteine) proteinase inhibitor clade C (antithrombin) member 1 antibody; Serine cysteine proteinase inhibitor clade C member 1 antibody; Serine proteinase inhibitor clade C member 1 antibody; Serpin C1 antibody; Serpin family C member 1 antibody; Serpin peptidase inhibitor clade C (antithrombin) member 1 antibody; SERPINC1 antibody; THPH7 antibody
-
宿主:Rabbit
-
反應種屬:Human
-
免疫原:Fusion protein of Human SERPINC1
-
免疫原種屬:Homo sapiens (Human)
-
標記方式:Non-conjugated
-
抗體亞型:IgG
-
純化方式:Antigen affinity purification
-
濃度:It differs from different batches. Please contact us to confirm it.
-
保存緩沖液:-20°C, pH7.4 PBS, 0.05% NaN3, 40% Glycerol
-
產品提供形式:Liquid
-
應用范圍:ELISA,IHC
-
推薦稀釋比:
Application Recommended Dilution ELISA 1:1000-1:5000 IHC 1:25-1:100 -
Protocols:
-
儲存條件:Upon receipt, store at -20°C or -80°C. Avoid repeated freeze.
-
貨期:Basically, we can dispatch the products out in 1-3 working days after receiving your orders. Delivery time maybe differs from different purchasing way or location, please kindly consult your local distributors for specific delivery time.
-
用途:For Research Use Only. Not for use in diagnostic or therapeutic procedures.
相關產品
靶點詳情
-
功能:Most important serine protease inhibitor in plasma that regulates the blood coagulation cascade. AT-III inhibits thrombin, matriptase-3/TMPRSS7, as well as factors IXa, Xa and XIa. Its inhibitory activity is greatly enhanced in the presence of heparin.
-
基因功能參考文獻:
- Molecular analysis may be the best method to identify antithrombin deficiency. Up to 80% of patients with antithrombin deficiency have SERPINC1 gene defects, mostly (90% of the 315 gene defects described so far) point mutations or small deletions or insertions affecting the 7 exons or flanking regions. [review] PMID: 30005274
- Laboratory tests and direct sequencing of PROC and SERPINC1 were conducted for the patient and his family members. Coagulation tests revealed that the patient presented type I antithrombin deficiency combined with decreased protein C activity resulting from a small insertion mutation c.848_849insGATGT in SERPINC1 and a short deletion variant c.572_574delAGA in PROC. PMID: 28861852
- Thirty-one members of a single family were included. Clinical data was collected regarding thrombotic history. The mutation was identified by direct sequencing of the SERPINC1 gene. HEK293 cells were transfected with wild type and mutant SERPINC1 plasmids. PMID: 28783511
- the first report of regulatory region polymorphisms in SERPINC1 gene in Indian population PMID: 27279637
- this study shows that risk for thrombosis is associated with the different SERPINC1 genotypes PMID: 28300866
- Report high levels of latent antithrombin in plasma from patients with antithrombin deficiency caused by mutations affecting the stability of the native conformation. PMID: 28229161
- Study identified one new small deletion within AT, which results in the loss of four amino acids (INEL) and is located at strand 3 of beta-sheet A, a region highly conserved in SERPINC1. This mutation leads to type I AT deficiency by promoting the intracellular retention of AT, which induces ER stress. PMID: 27708219
- It was our aim to identify mutations in SERPINC1 causing transient antithrombin deficiency. SERPINC1 was sequenced in 214 cases with a positive test for antithrombin deficiency, including 67 with no deficiency in the sample delivered to our laboratory. The p.Val30Glu mutation (Antithrombin Dublin) was identified in five out of these 67 cases, as well as in three out of 127 cases with other SERPINC1 mutations. PMID: 27098529
- different types of SERPINC1 mutations may play different roles in the development of VTE PMID: 27863268
- aberrant N-glycosylation causing a recessive or transient antithrombin deficiency is a new form of thrombophilia that does not have a SERPINC1 gene defect PMID: 27214821
- The results this study reveal several novel mutations to the already growing list of SERPINC1 mutations, thereby adding to our knowledge of the molecular background of antithrombin deficiency. PMID: 28317092
- Data indicate that all patients suffered from homozygous antithrombin (AT) deficiency caused by the mutation p.Leu131Phe in the AT gene (SERPINC1). PMID: 28361296
- Studies indicate that antithrombin III (ATIII) and its gene SerpinC1 may be related to many diseases, including hypertension and kidney diseases. PMID: 28424376
- The odds ratio of developing idiopathic fatal pulmonary embolism as a variant carrier for SERPINC1 is 144.2 (95% CI, 26.3-779.4; P = 1.7 x 10- 7). PMID: 28174134
- Nine patients (1.8%), [5% in arterial thrombosis and 0.8% in venous thrombosis] showed a missense variant in exon 5 i.e. p.Pro305His (c.1033 C > A); none of these patients showed the presence of any other variations in the gene. PMID: 27161325
- In Hungary, the founder mutation, ATBp3, is the most common Antithrombin deficiency PMID: 26748602
- Our studies of ATIII in-cell folding reveal a surprising, biased order of disulfide bond formation, with early formation of the C-terminal disulfide, before formation of the N-terminal disulfides, critical for folding to the active, metastable state PMID: 27222580
- Describe antibody specifically targeting a unique conformational epitope on antithrombin III beta conformation that blocks anticoagulation. PMID: 26581031
- This is the first case of pregnancy related stroke, associated with type-II heparin binding site antithrombin deficiency (c. 391C > T, p.Leu131Phe), that has been reported so far. A genetic analysis of the AT gene (SERPINC1) was performed. PMID: 26916305
- The present study highlights that AT physiological activities are strictly controlled not only by a core fucose at the reducing end but also by the high-mannose-type structures at the nonreducing end. The beta-form with the immature high-mannose type appears to function as a more potent anticoagulant than the AT typically found in human plasma, once it emerges in the blood. PMID: 26747427
- Elevated levels of circulating microparticles can play a role in carriers of mild and severe inherited thrombophilia resulting from antithrombin deficiency. PMID: 26354831
- The relevance of the vitamin D pathway on the regulation of SERPINC1 was confirmed in a cell model. PMID: 27003919
- The increased SERPINC1 SNP frequency among Han patients receiving heart surgery might contribute to the differences in their perioperative sensitivity to heparin PMID: 25361738
- Patients with low antithrombin III activities presented a higher risk of developing acute kidney injury after cardiac surgery. PMID: 26108065
- Letter/Case Report: novel antithrombin mutation resulting in antithrombin deficiency and arterial/venous thrombosis. PMID: 26177694
- Report antirhtombin III levels were negatively correlated with gestational age during third trimester of pregnancy, and fall further immediately after childbirth. PMID: 25087890
- This suggests that allosteric information propagation pathways are present even in the non-activated native form of antithrombin. PMID: 25483839
- analysis of mutations in SERPINC1 with a role in Hereditary antithrombin (AT) deficiency PMID: 25837307
- Polymorphisms in factor V and antithrombin III gene in recurrent pregnancy loss PMID: 25771983
- this is the first report of AT mutations in SERPINC1 gene in Indo-Aryan population where a novel point mutation p.T280A and a novel single nucleotide insertion g.13362_13363insA are reported. PMID: 25811371
- Selective disruption of exosite-mediated regulation of factor IX by heparin and antithrombin can be achieved with preserved or enhanced thrombin generation capacity. PMID: 25851619
- report of a large in-frame deletion causing antithrombin deficiency PMID: 25298121
- c.1058C>T variant in the SERPINC1 gene is pathogenic for antithrombin deficiency. PMID: 25522812
- We identified a novel hereditary mutation, g.1267G>A (p.A391T), in the AT gene, which reduces its heparin binding capacity and might be associated with resistance to heparin PMID: 25312341
- We posit that active site adduction is the mechanism of MGO-mediated inhibition of ATIII, and thus contributes to the underlying pathophysiology of the diabetic hypercoagulable state and complications thereof. PMID: 25307422
- prevalence of mutations in a cohort of pediatric patients with venous thromboembolism is reported PMID: 24966143
- AT-p.Ala416Pro mutation was responsible for type IIa AT deficiency in the family. PMID: 24583439
- genetic polymorphism affects endogenous thrombin potential among FV Leiden carriers PMID: 24226152
- The type of inherited AT defect modulates not only the risk of thromboembolism but also the localisation. PMID: 24196373
- data showed heterozygous mutations of c.2534C>T (R56C), c.13398C>A (A459D) and c.2703C>G (P112R) in the AT gene caused antithrombin (AT) deficiency in 3 unrelated Japanese pedigrees; findings suggest the A459D and P112R mutants are responsible for type I AT deficiency PMID: 23809926
- Mutation in SERPINC1 is associated with inherited homozygous antithrombin deficiency PMID: 24072242
- Rare double heterozygous mutations in antithrombin underlie hereditary thrombophilia in a Chinese family PMID: 23117546
- Data indicate that in patients on haemodialysis, thrombin-antithrombin (TAT) levels were increased and inversely correlated with primary assisted patency and secondary patency. PMID: 23844096
- The allosteric mechanism of activation of antithrombin as an inhibitor of factor IXa and factor Xa: heparin-independent full activation through mutations adjacent to helix D. PMID: 24068708
- Prevalence of inherited antithrombin mutations in thrombosis patients is higher than previously estimated. PMID: 23429250
- analysis of compound heterozygosty of SERPINC1 in antithrombin deficiency [case reports] PMID: 23329010
- A novel function for AT, which accelerates the modulation of FXa into the fibrinolytic form. PMID: 23416531
- Data suggest that plasma FVIIa-AT complex (coagulation factor VII-antithrombin III) is higher in portal vein thrombosis (PVT; without cirrhosis) than in healthy subjects; no difference in FVIIa-AT complex is observed in cirrhosis with/without PVT. PMID: 22958499
- A novel heterozygous mutation on exon 5 (c.1009C > T p.Q337X)of the SerpinC1 gene was identified in two half-siblings with neonatal cerebral sinus venous thrombosis. PMID: 22997155
- The serum ATIII level before hepatectomy in hepatocellular carcinoma is valuable to estimate the pathological background and predict postoperative liver failure/ dysfunction. PMID: 22353523
顯示更多
收起更多
-
相關疾病:Antithrombin III deficiency (AT3D)
-
亞細胞定位:Secreted, extracellular space.
-
蛋白家族:Serpin family
-
組織特異性:Found in plasma.
-
數據庫鏈接:
Most popular with customers
-
-
YWHAB Recombinant Monoclonal Antibody
Applications: ELISA, WB, IHC, IF, FC
Species Reactivity: Human, Mouse, Rat
-
Phospho-YAP1 (S127) Recombinant Monoclonal Antibody
Applications: ELISA, WB, IHC
Species Reactivity: Human
-
-
-
-
-















