SERPINB2 Antibody
-
中文名稱:SERPINB2兔多克隆抗體
-
貨號:CSB-PA021070LA01HU
-
規格:¥440
-
圖片:
-
Western Blot
Positive WB detected in: LO2 whole cell lysate, HepG2 whole cell lysate, Raji whole cell lysate
All lanes: SERPINB2 antibody at 3.4µg/ml
Secondary
Goat polyclonal to rabbit IgG at 1/50000 dilution
Predicted band size: 47 kDa
Observed band size: 47 kDa -
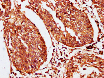
IHC image of CSB-PA021070LA01HU diluted at 1:200 and staining in paraffin-embedded human cervical cancer performed on a Leica BondTM system. After dewaxing and hydration, antigen retrieval was mediated by high pressure in a citrate buffer (pH 6.0). Section was blocked with 10% normal goat serum 30min at RT. Then primary antibody (1% BSA) was incubated at 4°C overnight. The primary is detected by a biotinylated secondary antibody and visualized using an HRP conjugated SP system.
-
-
其他:
產品詳情
-
產品名稱:Rabbit anti-Homo sapiens (Human) SERPINB2 Polyclonal antibody
-
Uniprot No.:
-
基因名:
-
別名:HsT1201 antibody; Monocyte Arg serpin antibody; Monocyte Arg-serpin antibody; Monocyte Arginine-serpin antibody; Monocyte-derived plasminogen activator inhibitor antibody; PAI antibody; PAI-2 antibody; PAI2 antibody; PAI2_HUMAN antibody; Placental plasminogen activator inhibitor antibody; PLANH2 antibody; Plasminogen activator inhibitor 2 antibody; plasminogen activator inhibitor; type 2 antibody; plasminogen activator inhibitor; type II (arginine-serpin) antibody; serine (or cysteine) proteinase inhibitor; clade B (ovalbumin); member 2 antibody; Serpin B2 antibody; serpin peptidase inhibitor; clade B (ovalbumin); member 2 antibody; Serpinb2 antibody; Urokinase inhibitor antibody
-
宿主:Rabbit
-
反應種屬:Human
-
免疫原:Recombinant Human Plasminogen activator inhibitor 2 protein (293-389AA)
-
免疫原種屬:Homo sapiens (Human)
-
標記方式:Non-conjugated
本頁面中的產品,SERPINB2 Antibody (CSB-PA021070LA01HU),的標記方式是Non-conjugated。對于SERPINB2 Antibody,我們還提供其他標記。見下表:
-
克隆類型:Polyclonal
-
抗體亞型:IgG
-
純化方式:>95%, Protein G purified
-
濃度:It differs from different batches. Please contact us to confirm it.
-
保存緩沖液:Preservative: 0.03% Proclin 300
Constituents: 50% Glycerol, 0.01M PBS, pH 7.4 -
產品提供形式:Liquid
-
應用范圍:ELISA, WB, IHC
-
推薦稀釋比:
Application Recommended Dilution WB 1:500-1:5000 IHC 1:200-1:500 -
Protocols:
-
儲存條件:Upon receipt, store at -20°C or -80°C. Avoid repeated freeze.
-
貨期:Basically, we can dispatch the products out in 1-3 working days after receiving your orders. Delivery time maybe differs from different purchasing way or location, please kindly consult your local distributors for specific delivery time.
-
用途:For Research Use Only. Not for use in diagnostic or therapeutic procedures.
相關產品
靶點詳情
-
功能:Inhibits urokinase-type plasminogen activator. The monocyte derived PAI-2 is distinct from the endothelial cell-derived PAI-1.
-
基因功能參考文獻:
- miR-15a was identified as a downregulated miRNA in CCFs. Moreover, PAI-2 was identified as a novel target gene of miR-15a. PMID: 29347950
- Single nucleotide polymorphisms in ICAM1 (rs1799969) and SERPINB2 (rs6103) genes were found to be protective against thalidomide-induced peripheral neuropathy (TiPN). In children with inflammatory bowel disease, TiPN is common but mild and generally reversible. Cumulative dose seems to be the most relevant risk factor, whereas polymorphisms in genes involved in neuronal inflammation may be protective. PMID: 28817461
- serpinB2 bound to and stabilized p21 to mediate senescence in a proteasome-independent manner, indicating that serpinB2 has a direct role in senescence. Thus, this study reveals a unique mechanism by which serpinB2 maintains senescence through stabilization of p21 protein levels. PMID: 28794016
- findings demonstrate the prospective role of SerpinB2 as a novel biomarker for acquired gefitinib resistance and a potential target for non-small cell lung cancer treatment. PMID: 27558531
- SerpinB2 promotes miR-200c/141 cluster overexpression-induced breast cancer cell metastasis PMID: 28427146
- PAI-2 likely plays a key role in cardiovascular disease through multiple pathophysiologic processes including racial dependency, platelet clot initiation and propagation, oxidative stress, inflammation effects on HDL metabolism and coagulation PMID: 27174532
- This study is the first to associate enhancer RNAs with SERPINB2 and is the first demonstration of acquisition of NELF binding by enhancer RNAs on chromatin. PMID: 28578223
- This study establishes a novel role for SerpinB2 in the stromal compartment in pancreatic ductal adenocarcinoma invasion through regulation of stromal remodelling PMID: 28346421
- The variant of PAI-2 gene was associated with coronary artery disease and recurrent coronary event risk in Chinese Han population, in Xinjiang. PMID: 26573152
- SerpinB2 plays an important role in proteostas PMID: 26083412
- Polymorphisms in this fibrinolytic system gene are associated with recurrent spontaneous abortion in Sinhalese women, probably through impaired implantation. PMID: 25444509
- PAI-2 was up-regulated in tensioned keloid fibroblasts and normal fibroblasts, but more so in keloid cells. Knockdown of PAI2 reduced cell proliferation in fibroblasts under tension. PMID: 25046655
- Soluble guanylate cyclase activators might alleviate or reverse vascular remodeling in pulmonary hypertension through the up-regulation of PAI-2. PMID: 25704756
- We found no association between allele frequency and risk of multiples sclerosis for any single nucleotide polymorphism investigated for serpinb2 PMID: 23897640
- A role for SERPINB2 in patients with head and neck squamous cell carcinoma. PMID: 23661500
- Plasminogen activator inhibitor-2 polymorphism associates with recurrent coronary event risk in patients with high HDL and C-reactive protein levels. PMID: 23874812
- PSMB1 is part of the transcriptional machinery required for gastrin stimulated expression of PAI-2 and Reg1. PMID: 23544109
- SerpinB2 can be induced by lentiviral infection in vivo. PMID: 23460840
- Low expression of PAI-2 serves as a novel marker of portal vein tumor embolism and poor prognosis for hepatocellular cancer. PMID: 23188538
- Increased expression of SerpinB2 by an inflammatory stimulus is sufficient to generate structures that resemble secretory vesicles. PMID: 23474086
- PAI-2 expression may be negatively associated with the invasive potential of hepatocellular carcinoma (HCC). PMID: 23527801
- a model for the transcriptional control of the human PAI-2 gene PMID: 22334683
- Data suggests that PAI-2, in endothelial cells induced with inflammatory stimuli, can inhibit proteasome and thus tilt the balance favoring proapoptotic signaling. PMID: 21976669
- High PAI-2 expression is associated with poor treatment response in colorectal carcinoma. PMID: 21744990
- Plasminogen activator inhibitor-2 (PAI-2) secreted from activated mast cells induces alpha-smooth muscle actin (alpha-SMA) expression in dermal fibroblasts PMID: 21477997
- Our results suggest that P. intermedia may contribute to periodontal tissue destruction by upregulating tPA and PAI-2 expression in hPDL cells via multiple signaling pathways. PMID: 21314733
- The decrease in plasma PAI-2 observed in preeclampsia does not precede the clinical onset of the disease. PMID: 20205627
- Results describe periodontal treatment effects on gingival crevicular fluid (GCF) interleukin-6 (IL-6), tissue-type plasminogen activator (tPA), plasminogen activator inhibitor-2 (PAI-2), albumin levels in type 2 diabetic patients. PMID: 20845058
- HPV-transformed CaSki cells express high levels of SerpinB2, with cellular distribution, glycosylation, secretion, cleavage, induction and urokinase binding similar to that for primary cells; SerpinB2 efficiently binds the proteasomal subunit member beta1 PMID: 20974129
- PAI-2 has a role in promoting the differentiation of human epidermal keratinocytes. PMID: 20494554
- It is feasible to detect fetal trisomy 18 non-invasively by maternal plasma SERPINB2 RNA-SNP analysis provided that sufficient quantities of plasma samples are used. PMID: 19650060
- regulator of monocyte proliferation and differentiation PMID: 11929770
- plasminogen activator inhibitor type 2: potential prognostic factor for endometrial carcinomas PMID: 11949838
- Identification of plasminogen activator inhibitor-2 as a gastrin-regulated gene PMID: 12105855
- post-transcriptional regulation of the PAI-2 gene is modulated by tristetrapolin PMID: 12578825
- Data suggest that the CD-loop functions as a redox-sensitive switch that converts plasminogen activator inhibitor type 2 (PAI-2) between an active stable monomeric and a polymerogenic conformation. PMID: 12682008
- These results indicate that PAI-2 may enhance Rb's tumor suppressor activity and suggest a potential therapeutic role for PAI-2 against HPV-transformed lesions. PMID: 12944478
- evidence that a polymorphism of the PAI-2 gene is associated with an increased risk of myocardial infarction PMID: 14653443
- PAI-2 has a role in scleroderma, as seen by its expression in fibroblasts PMID: 15500643
- PAI-2 expression has a potent suppressive effect on human papillomavirus type 18 oncogene transcription mediated by Rb and LIP, a finding with potential implications for prognosis and treatment of human papillomavirus-transformed lesions. PMID: 15767426
- PAI2 is present in normal conjunctiva. PMID: 15887231
- investigated the unique mousetrap inhibition mechanism of serpins through saturation mutagenesis of the P8 residue for PAI-2 PMID: 16214170
- the urokinase/PAI-2 complex is a new high affinity ligand for the endocytosis receptor low density lipoprotein receptor-related protein PMID: 16459332
- SerpinB2 is a potentially important inducible host factor that significantly promotes HIV-1 replication PMID: 16923810
- in patients with complex congenital malformations amniotic fluid levels of plasminogen activator inhibitor type 2(PAI2) PMID: 17141398
- Data indicate that this family did not follow the Mendelian inheritance pattern; the Ser(413)/Ser genotype in 60% of the affected members might increase the risk for autoimmune syndromes such as anti-phospholipid syndrome or systemic lupus erythematosus. PMID: 17657675
- PAI-2 is able to inhibit and clear urokinase plasminogen activator activity without initiating mitogenic signalling events through the very-low-density-lipoprotein receptor (VLDLr). PMID: 17696882
- Type 2 diabetes in this study seems not to increase gingival crevicular fluid levels of the evaluated inflammatory mediators PAI2. PMID: 18472001
- SerpinB2 is a cell survival factor that modulates Rb repression of proapoptotic signal transduction PMID: 18632617
- PAI-2 can inhibit cell-bound tPA activity in vitro and thus prevent plasmin formation PMID: 18690354
顯示更多
收起更多
-
亞細胞定位:Cytoplasm. Secreted, extracellular space.
-
蛋白家族:Serpin family, Ov-serpin subfamily
-
數據庫鏈接:
Most popular with customers
-
-
YWHAB Recombinant Monoclonal Antibody
Applications: ELISA, WB, IHC, IF, FC
Species Reactivity: Human, Mouse, Rat
-
Phospho-YAP1 (S127) Recombinant Monoclonal Antibody
Applications: ELISA, WB, IHC
Species Reactivity: Human
-
-
-
-
-















