SERPINA7 Antibody
-
中文名稱:SERPINA7兔多克隆抗體
-
貨號:CSB-PA783838
-
規格:¥1100
-
圖片:
-
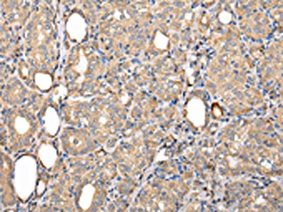
The image on the left is immunohistochemistry of paraffin-embedded Human thyroid cancer tissue using CSB-PA783838(SERPINA7 Antibody) at dilution 1/25, on the right is treated with fusion protein. (Original magnification: ×200)
-
The image on the left is immunohistochemistry of paraffin-embedded Human prostate cancer tissue using CSB-PA783838(SERPINA7 Antibody) at dilution 1/25, on the right is treated with fusion protein. (Original magnification: ×200)
-
-
其他:
產品詳情
-
Uniprot No.:
-
基因名:
-
別名:Serine (or cysteine) proteinase inhibitor clade A (alpha 1 antiproteinase antitrypsin) member 7 antibody; Serpin A7 antibody; Serpin peptidase inhibitor clade A (alpha 1 antiproteinase antitrypsin) member 7 antibody; Serpin peptidase inhibitor, clade A, member 7 antibody; Serpina7 antibody; T4 binding globulin antibody; TBG antibody; TBG, serum antibody; THBG_HUMAN antibody; Thyroxin binding globulin antibody; Thyroxine binding globulin antibody; Thyroxine-binding globulin antibody; Thyroxine-binding globulin od serum antibody
-
宿主:Rabbit
-
反應種屬:Human
-
免疫原:Full length fusion protein
-
免疫原種屬:Homo sapiens (Human)
-
標記方式:Non-conjugated
-
抗體亞型:IgG
-
純化方式:Antigen affinity purification
-
濃度:It differs from different batches. Please contact us to confirm it.
-
保存緩沖液:-20°C, pH7.4 PBS, 0.05% NaN3, 40% Glycerol
-
產品提供形式:Liquid
-
應用范圍:ELISA,IHC
-
推薦稀釋比:
Application Recommended Dilution ELISA 1:2000-1:5000 IHC 1:25-1:100 -
Protocols:
-
儲存條件:Upon receipt, store at -20°C or -80°C. Avoid repeated freeze.
-
貨期:Basically, we can dispatch the products out in 1-3 working days after receiving your orders. Delivery time maybe differs from different purchasing way or location, please kindly consult your local distributors for specific delivery time.
-
用途:For Research Use Only. Not for use in diagnostic or therapeutic procedures.
相關產品
靶點詳情
-
功能:Major thyroid hormone transport protein in serum.
-
基因功能參考文獻:
- A new SERPINA7 variant associated with thyroxine-binding globulin deficiency in three siblings. PMID: 29733970
- THBG is a potential plasma biomarker for COPD. PMID: 28579773
- mutation in a liver-specific enhancer region of the TBG gene caused inherited TBG deficiency. To our knowledge, the present study is the first report of an inherited endocrine disorder caused by a mutation in an enhancer region. PMID: 25361180
- TBG allosteric regulation is entropy driven. The presence of multiple S states may allow more efficient T4 release due to protease activity. PMID: 23458682
- the TBG promoter has a role in sustaining transgene expression in liver-specific pattern PMID: 22820390
- Allosteric modulation of hormone release from thyroxine and corticosteroid-binding globulins. PMID: 21325280
- Freshly isolated TBG-Chicago exists in loop expelled conformation. At 37C, the protein readily converts to a more stable loop inserted conformation with enhanced heat stability. PMID: 20429632
- an intragenic A/G polymorphism (125 bp upstream from exon 2) was identified. complete TBG deficiency was homozygous for the polymorphic TBG allele. PMID: 11889160
- Two novel variants in the thyroxine-binding globulin gene behind the diagnosis of TBG deficiency. homozygous. One involved codon 23 (TCA-->TAA) and the other, codon 223. PMID: 11916615
- Loop variants of the serpin thyroxine-binding globulin: implications for hormone release upon limited proteolysis. PMID: 11931635
- guanine deletion at position 1711, codon 201 (Asp) in exon 2 (GAC --> AC) led to a frame shift and premature termination at codon 206, causing a short TBG protein of 205 amino acids (AA) compared to 395 AA of the normal TBG. PMID: 17887925
- new serpina7 gene variant in three members of the same family results in the replacement of the normal asparagine 233 by isoleucine and, subsequently, in disruption of a glycosylation site PMID: 19415532
- The first exon (exon 0) is a short noncoding sequence located 1.62 kilobase pairs (kbp) upstream from exon 1. HNF-1 site (located 65 bp upstream of the TSS) is required for the hepatocyte specific expression of the hTBG gene. PMID: 8232304
顯示更多
收起更多
-
亞細胞定位:Secreted.
-
蛋白家族:Serpin family
-
組織特異性:Expressed by the liver and secreted in plasma.
-
數據庫鏈接:
Most popular with customers
-
-
YWHAB Recombinant Monoclonal Antibody
Applications: ELISA, WB, IHC, IF, FC
Species Reactivity: Human, Mouse, Rat
-
Phospho-YAP1 (S127) Recombinant Monoclonal Antibody
Applications: ELISA, WB, IHC
Species Reactivity: Human
-
-
-
-
-















