SDHA Antibody
-
中文名稱:SDHA兔多克隆抗體
-
貨號:CSB-PA107310
-
規格:¥1100
-
圖片:
-
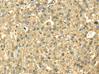
The image on the left is immunohistochemistry of paraffin-embedded Human breast cancer tissue using CSB-PA107310(SDHA Antibody) at dilution 1/40, on the right is treated with fusion protein. (Original magnification: ×200)
-
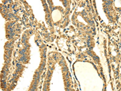
The image on the left is immunohistochemistry of paraffin-embedded Human thyroid cancer tissue using CSB-PA107310(SDHA Antibody) at dilution 1/40, on the right is treated with fusion protein. (Original magnification: ×200)
-
Gel: 8%SDS-PAGE,Lysate: 40 μg,Lane 1-4: Mouse brain tissue, Hela cells, Jurkat cells, Mouse heart tissue,Primary antibody: CSB-PA107310(SDHA Antibody) at dilution 1/600 dilution,Secondary antibody: Goat anti rabbit IgG at 1/8000 dilution,Exposure time: 5 seconds
-
-
其他:
產品詳情
-
Uniprot No.:
-
基因名:
-
別名:CMD1GG antibody; DHSA_HUMAN antibody; Flavoprotein subunit of complex II antibody; Fp antibody; PGL5 antibody; SDH 2 antibody; SDH1 antibody; SDH2 antibody; SDHA antibody; SDHF antibody; Succinate dehydrogenase [ubiquinone] flavoprotein subunit antibody; Succinate dehydrogenase [ubiquinone] flavoprotein subunit mitochondrial antibody; Succinate dehydrogenase [ubiquinone] flavoprotein subunit, mitochondrial antibody; Succinate dehydrogenase complex flavoprotein subunit A antibody; Succinate dehydrogenase complex flavoprotein subunit antibody; Succinate dehydrogenase complex flavoprotein subunit precursor antibody; Succinate dehydrogenase complex subunit A antibody; Succinate dehydrogenase complex subunit A flavoprotein (Fp) antibody; Succinate dehydrogenase complex subunit A flavoprotein antibody
-
宿主:Rabbit
-
反應種屬:Human,Mouse,Rat
-
免疫原:Fusion protein of Human SDHA
-
免疫原種屬:Homo sapiens (Human)
-
標記方式:Non-conjugated
-
抗體亞型:IgG
-
純化方式:Antigen affinity purification
-
濃度:It differs from different batches. Please contact us to confirm it.
-
保存緩沖液:-20°C, pH7.4 PBS, 0.05% NaN3, 40% Glycerol
-
產品提供形式:Liquid
-
應用范圍:ELISA,WB,IHC
-
推薦稀釋比:
Application Recommended Dilution ELISA 1:2000-1:5000 WB 1:500-1:2000 IHC 1:30-1:150 -
Protocols:
-
儲存條件:Upon receipt, store at -20°C or -80°C. Avoid repeated freeze.
-
貨期:Basically, we can dispatch the products out in 1-3 working days after receiving your orders. Delivery time maybe differs from different purchasing way or location, please kindly consult your local distributors for specific delivery time.
-
用途:For Research Use Only. Not for use in diagnostic or therapeutic procedures.
相關產品
靶點詳情
-
功能:Flavoprotein (FP) subunit of succinate dehydrogenase (SDH) that is involved in complex II of the mitochondrial electron transport chain and is responsible for transferring electrons from succinate to ubiquinone (coenzyme Q). Can act as a tumor suppressor.
-
基因功能參考文獻:
- The six index cases described here presented with a variety of clinical manifestations extending the known phenotypic spectrum in SDHA disease. PMID: 28500238
- Report left ventricular non-compaction associated with Barth Syndrome due to triple mutations in TAZ, DTNA, and SDHA genes in multiple members of one family. PMID: 29508483
- We used a yeast model to characterize 22 SDHA VUS. These data revealed 16 (73%) of SDHA VUS as loss of function (and therefore pathogenic), highlighting the importance of understanding such variants to provide better clinical recommendations for genetic counselors concerning family screening and early detection protocols. PMID: 28724664
- Germline SDHA mutations are relatively common (7.6%) in patients with genetically unexplained paraganglioma (PGL). Most index patients presented with apparently sporadic PGL. In this SDHA series, the largest assembled so far, we found the lowest penetrance of all major PGL predisposition genes. PMID: 29177515
- We found that microRNA 31 (miR-31) suppressed succinate dehydrogenase complex subunit A (SDHA) expression, vital for mitochondrial electron transport chain (ETC) complex II PMID: 27346679
- This is only the second report supporting the dominant nature of the SDHA c.1351C>T (p.Arg451Cys) mutation being causative for an autosomal dominantly inherited mitochondrial metabolic disorder expanding the phenotypic presentation to an earlier onset of disease with additional cardiac involvement. PMID: 27683074
- The SDHA, TMEM127, MAX, and SDHAF2 genes contribute to hereditary pheochromocytoma and paraganglioma. PMID: 28384794
- SDH-deficient gastrointestinal stromal tumors (GISTs) account for approximately 8% of gastric GISTs and are associated with a high rate of distant metastasis, regardless of conventional risk category. PMID: 27340750
- For classification, tumors were characterized by SDHA, B, C, or D (SDHX) mutations and other genetic and epigenetic alterations, including presence of mutations in germline PMID: 27011036
- data show that SDHA flavination is independent of SDHAF2 in breast cancer cells, employing an alternative mechanism. PMID: 27587393
- FAD interacts noncovalently with SDHA in the absence of SDH5 PMID: 27296776
- After indirect co-culture, OP was increased in the BxPc-3 and Panc-1 cells; correspondingly, succinate dehydrogenase, FH and MCT expression were increased. After the MCT1-specific inhibitor removed 'tumor-stromal' metabolic coupling, the migration and invasion abilities of the pancreatic cancer cells were decreased. PMID: 28260082
- Data suggest that succinate dehydrogenases SDHA and SDHB immunohistochemistry should be interpreted with caution, due to possible false-positive or false-negative results, and ideally in the setting of quality assurance provided by molecular testing. PMID: 28179334
- Combined blockade of CDK and SDH, both genetically and pharmaceutically, showed synergy and resulted in inhibited proliferation, migration, invasion and migration in A2780 cells Cyclin E-driven OvCa cells appeared addicted to glucose metabolism via TCA. Combined CDKi with modalities targeting TCA, like SDHA inhibition showed promising effects for this genotype. PMID: 26826064
- According to international guidelines, SDHB, SDHC, and SDHD genetic testing were performed in this patient, but not SDHA, which would have been prescribed only after surgery, in case of SDHA negative immunohistochemistry PMID: 26490314
- As a similar defect of succinate dehydrogenase is apparent in patient cell-derived cardiomyocytes, the authors conclude that these defects represent a molecular basis for the cardiac pathology in Barth syndrome. PMID: 26697888
- our findings provide further evidence that patients with KIT/PDGFRA wild-type SDH-deficient GIST harboring SDHA mutations experience good survival outcomes PMID: 25188872
- This study strengthens the etiological association of SDH genes with pituitary neoplasia, renal tumorigenesis, and gastric gastrointestinal stromal tumors. Also, pancreatic neuroendocrine tumor falls within the SDH-related tumor spectrum. PMID: 26259135
- Three novel mutations in SDHA were found in patients presenting Leigh syndrome (LS) and/or leukodystrophy. PMID: 24781757
- Overall, 9 of the 34 patients with KIT/PDGFRA wild-type GIST carried mutations in one of the four subunits of the SDH complex (six patients in SDHA, two in SDHB, one in SDHC PMID: 23612575
- SDH deficiency may promote tumorigenesis through accumulation of succinate and inhibition of dioxygenase enzymes. Inhibition of TET activity may, in turn, alter global DNA methylation and gene expression in SDH-deficient tumors. PMID: 23743927
- Data indicate that SDH5 is protected from mitochondrial LON protease (LONM)-mediated degradation in mitochondria by its stable interaction with SDHA, a state that is dysregulated in hereditary paraganglioma 2 (PGL2). PMID: 24414418
- Electron transport complex-II and manganese superoxide dismutase (MnSOD) enzyme activities were decreased in obese compared with non-obese pregnant women. PMID: 23956348
- A significant subset of bladder paragangliomas is SDH deficient PMID: 23797725
- SDHA immunohistochemistry on gastrointestinal stromal tumors can identify the presence of an SDHA germline mutation. PMID: 23174939
- In the paraganglioma of the proband, in addition to the germline mutation, a somatic mutation was observed (c.1865G>A, p.Trp622*). PMID: 23633203
- Studies indicate that mutations in the mitochondrial complex II structural subunit genes SDHB, SDHC and SDHD and the regulatory subunit gene SDHAF2 in many paraganglioma families. PMID: 23291190
- Loss of SDHA expression in gastrointestinal stromal tumor (GIST) reliably predicts the presence of SDHA mutations, which represent a relatively common cause of SDH-deficient GIST in adults. PMID: 22955521
- Studies indicate that the pH change leads to the dissociation of SDHA and SDHB subunits from the remaining membrane-anchored subunits and the consequent block of enzymatic succinate-ubiquinone reductase (SQR) activity. PMID: 23000077
- Studies indicate that an array of tumor syndromes caused by complex II-associated mutations in genes SDHA, SDHB, SDHC, SDHD, SDHAF1 and SDHAF2 have been identified over a decade. PMID: 23174333
- Studies indicate that the flavinylation factor Sdh5 (SDHAF2) provided insight into the possible mechanism associated with Sdh1 (SDHA) flavinylation. PMID: 23380393
- A germline p.Arg31X nonsense SDHA mutation was identified in one of the six wild-type gastrointestinal stromal tumors cases. An additional SDHA missense mutation was identified in the extended KIT/PDGFRA WT GIST patients cohort. PMID: 22974104
- Data indicate that SDHB-deficiency was tightly associated with overexpression of IGF1R protein and transcript, and Biallelic inactivation of the SDHA gene was identified in 5 of 11 SDHB-negative gastrointestinal stromal tumors. PMID: 23109135
- This report represents the first example of SDHB mutation as a cause of inherited mitochondrial respiratory chain disease and extends the SDHA mutation spectrum in patients with isolated complex II deficiency. PMID: 22972948
- Loss of SDHA expression identifies SDHA mutations in succinate dehydrogenase-deficient gastrointestinal stromal tumors. PMID: 23060355
- SDHA-negative gastrointestinal stromal tumors comprise approximately 30% of SDHB-negative/SDH-deficient gastrointestinal stromal tumors, and SDHA loss generally correlates with SDHA mutations. PMID: 23282968
- Tumor-derived FH and SDH mutations accumulate fumarate and succinate, leading to enzymatic inhibition of multiple alpha-KG-dependent dioxygenases and consequent alterations of genome-wide histone and DNA methylation. PMID: 22677546
- First report describing germline and somatic loss-of-function mutations in SDHA that are linked to the development of sporadic KIT/PDGFRA wild-type GISTs. PMID: 21505157
- Cells with Complex II defect may undergo a progressive mitochondrial dysfunction, characterized by Dcmit loss, Calcium overload and increased ROS, eventually leading to cell death. PMID: 20489732
- study presents the association of a mutation in the SDHA gene with recessive neonatal isolated dilated cardiomyopathy in 15 patients of two large consanguineous Bedouin families PMID: 20551992
- Decreased electron Transport Complex II activity is associated with ulcerative colitis. PMID: 20440543
- Mutations in electron Transport Complex II is associated with Leber hereditary optic neuropathy failing to compensate for impaired oxidative phosphorylation. PMID: 19836344
- Review. Succinate dehydrogenase catalyses a step in the Krebs tricarboxylic-acid cycle. Inherited heterozygous mutations in the gene encoding this enzyme causes a predisposition to inherited neoplasia syndromes. PMID: 12612654
- The SDHA variants that have increased in frequency during human evolution might, by influencing the regulation of cellular oxygen homeostasis, confer protection against certain environmental toxins or pathogens that are prevalent in Africa. PMID: 17376234
- Phosphorylation of flavoprotein subunit ofsuccinate-ubiquinone reductase might be important for maintaining mitochondrial energy metabolism within the tumor microenvironment. PMID: 19644226
顯示更多
收起更多
-
相關疾病:Mitochondrial complex II deficiency (MT-C2D); Leigh syndrome (LS); Cardiomyopathy, dilated 1GG (CMD1GG); Paragangliomas 5 (PGL5)
-
亞細胞定位:Mitochondrion inner membrane; Peripheral membrane protein; Matrix side.
-
蛋白家族:FAD-dependent oxidoreductase 2 family, FRD/SDH subfamily
-
數據庫鏈接:
Most popular with customers
-
-
YWHAB Recombinant Monoclonal Antibody
Applications: ELISA, WB, IHC, IF, FC
Species Reactivity: Human, Mouse, Rat
-
Phospho-YAP1 (S127) Recombinant Monoclonal Antibody
Applications: ELISA, WB, IHC
Species Reactivity: Human
-
-
-
-
-















