SDC3 Antibody
-
中文名稱:SDC3兔多克隆抗體
-
貨號:CSB-PA925237
-
規格:¥1100
-
圖片:
-
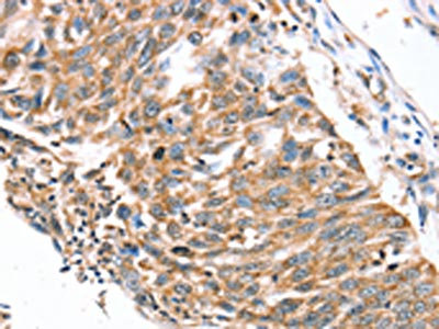
The image on the left is immunohistochemistry of paraffin-embedded Human liver cancer tissue using CSB-PA925237(SDC3 Antibody) at dilution 1/30, on the right is treated with synthetic peptide. (Original magnification: ×200)
-
The image on the left is immunohistochemistry of paraffin-embedded Human lung cancer tissue using CSB-PA925237(SDC3 Antibody) at dilution 1/30, on the right is treated with synthetic peptide. (Original magnification: ×200)
-
Gel: 8%SDS-PAGE, Lysate: 40 μg, Lane: Jurkat cells, Primary antibody: CSB-PA925237(SDC3 Antibody) at dilution 1/400, Secondary antibody: Goat anti rabbit IgG at 1/8000 dilution, Exposure time: 2 minutes
-
-
其他:
產品詳情
-
Uniprot No.:
-
基因名:
-
別名:SDC3; KIAA0468; Syndecan-3; SYND3
-
宿主:Rabbit
-
反應種屬:Human,Mouse,Rat
-
免疫原:Synthetic peptide of Human SDC3
-
免疫原種屬:Homo sapiens (Human)
-
標記方式:Non-conjugated
-
抗體亞型:IgG
-
純化方式:Antigen affinity purification
-
濃度:It differs from different batches. Please contact us to confirm it.
-
保存緩沖液:-20°C, pH7.4 PBS, 0.05% NaN3, 40% Glycerol
-
產品提供形式:Liquid
-
應用范圍:ELISA,WB,IHC
-
推薦稀釋比:
Application Recommended Dilution ELISA 1:1000-1:2000 WB 1:200-1:1000 IHC 1:25-1:100 -
Protocols:
-
儲存條件:Upon receipt, store at -20°C or -80°C. Avoid repeated freeze.
-
貨期:Basically, we can dispatch the products out in 1-3 working days after receiving your orders. Delivery time maybe differs from different purchasing way or location, please kindly consult your local distributors for specific delivery time.
-
用途:For Research Use Only. Not for use in diagnostic or therapeutic procedures.
相關產品
靶點詳情
-
功能:Cell surface proteoglycan that may bear heparan sulfate. May have a role in the organization of cell shape by affecting the actin cytoskeleton, possibly by transferring signals from the cell surface in a sugar-dependent mechanism.
-
基因功能參考文獻:
- High PTN and N-syndecan expression was closely associated with metastasis and poor prognosis, suggesting that they may promote tumor progression and perineural invasion in the orthotopic mouse model of pancreatic cancer. PMID: 28638231
- Syndecan-3 and TFPI colocalize on the surface of endothelial-, smooth muscle-, and cancer cells PMID: 25617766
- Data indicate that the extracellular and cytoplasmic domains of syndecans 1/2/3/4 are intrinsically disordered regions. PMID: 24956062
- frequently expressed in pancreatic cancer and associated with perineural invasion PMID: 24659893
- Syndecan-3 expression was not associated with disease progression and outcome in specific subtypes of mammary carcinoma. PMID: 23351331
- SDC3 is a target gene of the BACH1 transcription factor according to ChIP-seq analysis in HEK 293 cells. PMID: 21555518
- Syndecan-3 may directly transduce Glial cell line-derived neurotrophic factor (GDNF) family ligands (GFL) signals or serve as a coreceptor, presenting GFLs to the signaling receptor RET. PMID: 21200028
- These findings indicate that SDC3 polymorphisms could contribute to the link between female hyperandrogenism and obesity and suggest a novel potential role for SDC3 as a modulator of gonadal steroid function. PMID: 19820907
- Augmented synthesis and differential localization of heparan sulfate proteoglycans in Duchenne muscular dystrophy. PMID: 11968010
- Selective induction of CXCL8 binding site on endothelial syndecan-3 in rheumatoid arthritis(RA) synovium. This site may be involved in leukocyte trafficking into RA synovial tissue. PMID: 16052590
- The high expression of syndecan 3 and its localization to the smooth muscle bundles during normal labour, together with the significant reduction in prolonged labour, may indicate a role for this protein in the co-ordination of myometrial contractility. PMID: 16674815
- There are ethnic differences in the SDC3 polymorphisms, and the polymorphisms are strongly associated with obesity. PMID: 17018662
- Midkine, pleiotrophin (PTN), and their receptors syndecan-3 and receptor protein tyrosine phosphatase beta/zeta, were highly expressed in the striatum during developmen PMID: 17368428
- Syndecan-3 was identified as a major HIV-1 attachment receptor on DCs. PMID: 18040049
- syndecan TMD homodimerization and heterodimerization can be mediated by GxxxG motifs and modulated by sequence context PMID: 18093920
- pleiotrophin (PTN) and syndecan-2 and -3 as direct binding partners of Y-P30. PMID: 18599487
- found in 57.9% of pancreatic ductal carcinoma specimens PMID: 18716876
- Data report that the bFGF, FGFR1/2 and syndecan 1-4 expressions are altered in bladder tumours. PMID: 19822079
顯示更多
收起更多
-
亞細胞定位:Cell membrane; Single-pass type I membrane protein.
-
蛋白家族:Syndecan proteoglycan family
-
組織特異性:Expressed in the nervous system, the adrenal gland, and the spleen.
-
數據庫鏈接:
Most popular with customers
-
-
YWHAB Recombinant Monoclonal Antibody
Applications: ELISA, WB, IHC, IF, FC
Species Reactivity: Human, Mouse, Rat
-
Phospho-YAP1 (S127) Recombinant Monoclonal Antibody
Applications: ELISA, WB, IHC
Species Reactivity: Human
-
-
-
-
-















