SCN11A Antibody
-
中文名稱:SCN11A兔多克隆抗體
-
貨號:CSB-PA883417LA01HU
-
規格:¥440
-
圖片:
-
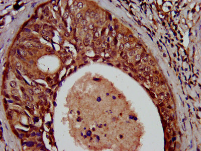
IHC image of CSB-PA883417LA01HU diluted at 1:500 and staining in paraffin-embedded human cervical cancer performed on a Leica BondTM system. After dewaxing and hydration, antigen retrieval was mediated by high pressure in a citrate buffer (pH 6.0). Section was blocked with 10% normal goat serum 30min at RT. Then primary antibody (1% BSA) was incubated at 4°C overnight. The primary is detected by a biotinylated secondary antibody and visualized using an HRP conjugated SP system.
-
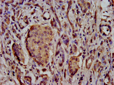
IHC image of CSB-PA883417LA01HU diluted at 1:500 and staining in paraffin-embedded human pancreatic cancer performed on a Leica BondTM system. After dewaxing and hydration, antigen retrieval was mediated by high pressure in a citrate buffer (pH 6.0). Section was blocked with 10% normal goat serum 30min at RT. Then primary antibody (1% BSA) was incubated at 4°C overnight. The primary is detected by a biotinylated secondary antibody and visualized using an HRP conjugated SP system.
-
Immunofluorescence staining of HepG2 cells with CSB-PA883417LA01HU at 1:166, counter-stained with DAPI. The cells were fixed in 4% formaldehyde, permeabilized using 0.2% Triton X-100 and blocked in 10% normal Goat Serum. The cells were then incubated with the antibody overnight at 4°C. The secondary antibody was Alexa Fluor 488-congugated AffiniPure Goat Anti-Rabbit IgG(H+L).
-
-
其他:
產品詳情
-
產品名稱:Rabbit anti-Homo sapiens (Human) SCN11A Polyclonal antibody
-
Uniprot No.:
-
基因名:
-
別名:hNaN antibody; NaN antibody; NAV1.9 antibody; Peripheral nerve sodium channel 5 antibody; PN 5 antibody; PN5 antibody; SCN 11A antibody; SCN 12A antibody; Scn11a antibody; SCN12A antibody; SCNBA_HUMAN antibody; Sensory neuron sodium channel 2 antibody; SNS 2 antibody; SNS2 antibody; Sodium channel protein type 11 subunit alpha antibody; Sodium channel protein type XI subunit alpha antibody; Sodium channel voltage gated type XI alpha antibody; Sodium channel voltage gated type XI alpha polypeptide antibody; Sodium channel voltage gated type XI alpha subunit antibody; Sodium channel voltage gated type XII alpha polypeptide antibody; Voltage gated sodium channel Nav1.9 antibody; Voltage gated sodium channel subunit alpha Nav1.9 antibody; Voltage-gated sodium channel subunit alpha Nav1.9 antibody
-
宿主:Rabbit
-
反應種屬:Human
-
免疫原:Recombinant Human Sodium channel protein type 11 subunit alpha protein (403-551AA)
-
免疫原種屬:Homo sapiens (Human)
-
標記方式:Non-conjugated
本頁面中的產品,SCN11A Antibody (CSB-PA883417LA01HU),的標記方式是Non-conjugated。對于SCN11A Antibody,我們還提供其他標記。見下表:
-
克隆類型:Polyclonal
-
抗體亞型:IgG
-
純化方式:>95%, Protein G purified
-
濃度:It differs from different batches. Please contact us to confirm it.
-
保存緩沖液:Preservative: 0.03% Proclin 300
Constituents: 50% Glycerol, 0.01M PBS, pH 7.4 -
產品提供形式:Liquid
-
應用范圍:ELISA, IHC, IF
-
推薦稀釋比:
Application Recommended Dilution IHC 1:500-1:1000 IF 1:50-1:200 -
Protocols:
-
儲存條件:Upon receipt, store at -20°C or -80°C. Avoid repeated freeze.
-
貨期:Basically, we can dispatch the products out in 1-3 working days after receiving your orders. Delivery time maybe differs from different purchasing way or location, please kindly consult your local distributors for specific delivery time.
-
用途:For Research Use Only. Not for use in diagnostic or therapeutic procedures.
相關產品
靶點詳情
-
功能:This protein mediates the voltage-dependent sodium ion permeability of excitable membranes. Assuming opened or closed conformations in response to the voltage difference across the membrane, the protein forms a sodium-selective channel through which sodium ions may pass in accordance with their electrochemical gradient. It is a tetrodotoxin-resistant sodium channel isoform. Also involved, with the contribution of the receptor tyrosine kinase NTRK2, in rapid BDNF-evoked neuronal depolarization.
-
基因功能參考文獻:
- We identified a missense mutation of p.Arg225Cys in SCN11A in a four-generation Chinese family with early-onset familial episodic pain and adult onset familial essential tremor syndrome. PMID: 28298626
- SCN11A single-nucleotide polymorphisms affect Postoperative pain sensitivity in Chinese Han women after Gynecological surgery. The SNP rs33985936 and rs13080116 may serve as novel predictors for Postoperative pain. PMID: 28953656
- a U-shaped relationship between the resting potential and the neuronal action potential threshold explains why NaV1.9 mutations that evoke small degrees of membrane depolarization cause hyperexcitability and familial episodic pain disorder or painful neuropathy, while mutations evoking larger membrane depolarizations cause hypoexcitability and insensitivity to pain. PMID: 28530638
- Recently Nav1.9, a voltage-gated sodium channel subtype, has been established as a genetic influence for certain peripheral pain syndromes. PMID: 27224030
- Results show the expression of Nav1.9 channels within the human colon for the first time. Furthermore, Nav1.9 channel expression is decreased in Hirschsprung's disease versus normal controls. PMID: 27297039
- autosomal dominant Congenital insensitivity to pain reflects the second gain-of-function mutation of SCN11A. PMID: 26746779
- A missense mutation (p.V1184A) in NaV1.9 leads to cold-aggravated peripheral pain. PMID: 26645915
- A G699R substitution in the Nav1.9 domain II S4-S5 linker renders dorsal root ganglion neurons hyperexcitable, via depolarized resting membrane potential, reduced current threshold and increased evoked firing in small-fiber neuropathy. PMID: 25791876
- missense mutations of Nav1.9 in individuals with painful peripheral neuropathy PMID: 24776970
- The results demonstrate that Nav1.8 and Nav1.9 are present in human lingual nerve neuromas, with significant correlations between the level of expression of Nav1.8 and symptoms of pain. PMID: 24144460
- we identified a specific de novo missense mutation in SCN11A in individuals with the congenital inability to experience pain who suffer from recurrent tissue damage and severe mutilations. PMID: 24036948
- Gain-of-function mutations in SCN11A can be causative of an autosomal-dominant episodic pain disorder. PMID: 24207120
- Results provide evidence that Nav1.9 plays a crucial role in the generation of heat and mechanical pain hypersensitivity, both in subacute and chronic inflammatory pain models. PMID: 21857998
- we demonstrate that the tetrodotoxin-insensitive sodium channel Na(V)1.9 underlies the neurotrophin-evoked excitation PMID: 12384689
顯示更多
收起更多
-
相關疾病:Neuropathy, hereditary sensory and autonomic, 7 (HSAN7); Episodic pain syndrome, familial, 3 (FEPS3)
-
亞細胞定位:Cell membrane; Multi-pass membrane protein.
-
蛋白家族:Sodium channel (TC 1.A.1.10) family, Nav1.9/SCN11A subfamily
-
組織特異性:Expressed in the dorsal root ganglia and trigeminal ganglia, olfactory bulb, hippocampus, cerebellar cortex, spinal cord, spleen, small intestine and placenta.
-
數據庫鏈接:
Most popular with customers
-
-
YWHAB Recombinant Monoclonal Antibody
Applications: ELISA, WB, IHC, IF, FC
Species Reactivity: Human, Mouse, Rat
-
Phospho-YAP1 (S127) Recombinant Monoclonal Antibody
Applications: ELISA, WB, IHC
Species Reactivity: Human
-
-
-
-
-















