S100A9 Antibody
-
中文名稱:S100A9兔多克隆抗體
-
貨號:CSB-PA445651
-
規格:¥1100
-
圖片:
-
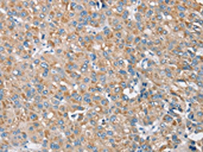
The image on the left is immunohistochemistry of paraffin-embedded Human liver cancer tissue using CSB-PA445651(S100A9 Antibody) at dilution 1/30, on the right is treated with synthetic peptide. (Original magnification: ×200)
-
The image on the left is immunohistochemistry of paraffin-embedded Human cervical cancer tissue using CSB-PA445651(S100A9 Antibody) at dilution 1/30, on the right is treated with synthetic peptide. (Original magnification: ×200)
-
-
其他:
產品詳情
-
Uniprot No.:
-
基因名:
-
別名:Leukocyte L1 complex heavy chain antibody; 60B8AG antibody; CAGB antibody; Calgranulin B antibody; Calgranulin-B antibody; Calprotectin L1H subunit antibody; CFAG antibody; CGLB antibody; Cystic fibrosis antigen B antibody; L1AG antibody; Leukocyte L1 complex heavy chain antibody; LIAG antibody; MAC387 antibody; MIF antibody; Migration inhibitory factor related protein 14 antibody; Migration inhibitory factor-related protein 14 antibody; MRP 14 antibody; MRP-14 antibody; MRP14 antibody; Myeloid-related protein 14 antibody; NIF antibody; OTTHUMP00000015331 antibody; p14 antibody; Protein S100-A9 antibody; S100 A9 antibody; S100 calcium binding protein A9 antibody; S100 calcium binding protein A9 calgranulin B antibody; S100 calcium-binding protein A9 antibody; S100A9 antibody; S10A9_HUMAN antibody
-
宿主:Rabbit
-
反應種屬:Human,Mouse,Rat
-
免疫原:Synthetic peptide of Human S100A9
-
免疫原種屬:Homo sapiens (Human)
-
標記方式:Non-conjugated
-
抗體亞型:IgG
-
純化方式:Antigen affinity purification
-
濃度:It differs from different batches. Please contact us to confirm it.
-
保存緩沖液:-20°C, pH7.4 PBS, 0.05% NaN3, 40% Glycerol
-
產品提供形式:Liquid
-
應用范圍:ELISA,IHC
-
推薦稀釋比:
Application Recommended Dilution ELISA 1:1000-1:2000 IHC 1:25-1:100 -
Protocols:
-
儲存條件:Upon receipt, store at -20°C or -80°C. Avoid repeated freeze.
-
貨期:Basically, we can dispatch the products out in 1-3 working days after receiving your orders. Delivery time maybe differs from different purchasing way or location, please kindly consult your local distributors for specific delivery time.
-
用途:For Research Use Only. Not for use in diagnostic or therapeutic procedures.
相關產品
靶點詳情
-
功能:S100A9 is a calcium- and zinc-binding protein which plays a prominent role in the regulation of inflammatory processes and immune response. It can induce neutrophil chemotaxis, adhesion, can increase the bactericidal activity of neutrophils by promoting phagocytosis via activation of SYK, PI3K/AKT, and ERK1/2 and can induce degranulation of neutrophils by a MAPK-dependent mechanism. Predominantly found as calprotectin (S100A8/A9) which has a wide plethora of intra- and extracellular functions. The intracellular functions include: facilitating leukocyte arachidonic acid trafficking and metabolism, modulation of the tubulin-dependent cytoskeleton during migration of phagocytes and activation of the neutrophilic NADPH-oxidase. Activates NADPH-oxidase by facilitating the enzyme complex assembly at the cell membrane, transferring arachidonic acid, an essential cofactor, to the enzyme complex and S100A8 contributes to the enzyme assembly by directly binding to NCF2/P67PHOX. The extracellular functions involve proinflammatory, antimicrobial, oxidant-scavenging and apoptosis-inducing activities. Its proinflammatory activity includes recruitment of leukocytes, promotion of cytokine and chemokine production, and regulation of leukocyte adhesion and migration. Acts as an alarmin or a danger associated molecular pattern (DAMP) molecule and stimulates innate immune cells via binding to pattern recognition receptors such as Toll-like receptor 4 (TLR4) and receptor for advanced glycation endproducts (AGER). Binding to TLR4 and AGER activates the MAP-kinase and NF-kappa-B signaling pathways resulting in the amplification of the proinflammatory cascade. Has antimicrobial activity towards bacteria and fungi and exerts its antimicrobial activity probably via chelation of Zn(2+) which is essential for microbial growth. Can induce cell death via autophagy and apoptosis and this occurs through the cross-talk of mitochondria and lysosomes via reactive oxygen species (ROS) and the process involves BNIP3. Can regulate neutrophil number and apoptosis by an anti-apoptotic effect; regulates cell survival via ITGAM/ITGB and TLR4 and a signaling mechanism involving MEK-ERK. Its role as an oxidant scavenger has a protective role in preventing exaggerated tissue damage by scavenging oxidants. Can act as a potent amplifier of inflammation in autoimmunity as well as in cancer development and tumor spread. Has transnitrosylase activity; in oxidatively-modified low-densitity lipoprotein (LDL(ox))-induced S-nitrosylation of GAPDH on 'Cys-247' proposed to transfer the NO moiety from NOS2/iNOS to GAPDH via its own S-nitrosylated Cys-3. The iNOS-S100A8/A9 transnitrosylase complex is proposed to also direct selective inflammatory stimulus-dependent S-nitrosylation of multiple targets such as ANXA5, EZR, MSN and VIM by recognizing a [IL]-x-C-x-x-[DE] motif.
-
基因功能參考文獻:
- Acute exercise in children with juvenile idiopathic arthritis induced slightly musculoskeletal leg pain and transient increased plasma calprotectin levels but not IL-6 levels PMID: 30008613
- neither the inflammatory biomarker calprotectin, nor the tubular biomarkers NGAL and KIM-1, provide robust prognostic information on the loss of renal function in a heterogeneous CKD population. All of them, however, are candidate prognostic biomarkers in primarily inflammatory renal diseases. PMID: 30078006
- Serum levels of MRP8/MRP14 and MRP6 were up-regulated in patients with Graves' disease (GD) and Hashimoto's thyroiditis (HT). In addition, mRNA expression of MRP proteins in PBMCs and the thyroid gland was markedly elevated in these patients. PMID: 29656212
- High MRP14 expression is associated with Rheumatoid Arthritis PMID: 29530998
- upper limits for normal calprotectin values for neonatal, 6, 12 and 24 months old children, were determined. PMID: 29283308
- plasma calprotectin was investigated as a disease marker in patients with chronic RA treated with methotrexate (MTX) monotherapy and compared plasma calprotectin with C-reactive protein. PMID: 29228799
- Calprotectin measured in plasma showed the strongest associations with assessments of disease activity, and ethylenediaminetetraacetic acid-plasma should preferably be used when evaluating disease activity in rheumatoid arthritis patients. PMID: 29278951
- RAS is a very common inflammatory ulcerative condition of the oral cavity and its etiology is uncertain. Regarded as an inflammatory mechanism, releasing a high level of calprotectin in saliva has been suggested that it may play a role in pathogenesis of RAS. PMID: 29519972
- Pro-inflammatory proteins S100A9 and tumor necrosis factor-alpha suppress erythropoietin elaboration in myelodysplastic syndromes PMID: 28983059
- An immunohistochemical investigation revealed that patients with both UC and CD had higher neutrophil and monocyte/macrophage calprotectin-positive cell expression levels, compared with those in the normal controls. Fecal calprotectin was considered a reliable marker for disease activity, and the assessment of fecal calprotectin via POCT showed potential as a rapid and simple measurement in clinical settings. PMID: 29115397
- To examine the efficacy of faecal calprotectin (FC) and C-reactive protein (CRP) as predictors of small bowel capsule endoscopy SBCE findings in suspected and known Crohn's disease. PMID: 29466790
- S100A9, mainly produced by myeloid cells in the BM, is involved in the pathogenesis of MM. S100A9 attracted MM cells to the BM where it provided a survival niche by inducing the growth factors IL6 and IL10, as well as promoting angiogenesis. PMID: 28903971
- Study identified S100A9 protein to be up-regulated protein in hepatocellular carcinoma (HCC) and demonstrated its potentiality as a candidate for HCC diagnosis. PMID: 27216119
- In pediatric inflammatory bowel disease treatment groups, a significant inverse association was found between the quality of life and the levels of fecal calprotectin. PMID: 28169974
- Fecal calprotectin (FC) was elevated in two-thirds of stool specimens of patients with cystic fibrosis (CF). Increased FC was more common in patients with pancreatic insufficiency. Whether increased FC reflects intestinal inflammation in patients with CF remains to be determined. PMID: 28207476
- Authors found that downregulation of S100A9 significantly reduced the expression of NF-kappaB, phosphorylation of NF-kappaB and Bcl-2, as well as the expression of MMP7 and MMP2. Restoration of NF-kappaB expression sufficiently reversed the inhibitory effects on cell proliferation and invasion induced by S100A9 downregulation in vitro and in vivo. PMID: 28276321
- Urinary NGAL is a good predictor of mortality in established pediatric acute kidney injury (AKI) of heterogeneous etiology and outperforms calprotectin and KIM-1. Urinary calprotectin and KIM-1 predict renal replacement therapy requirement in pediatric AKI. PMID: 28409285
- Identify proteins that interact with calgranulin B to suppress the proliferation of colon cancer cells. PMID: 28036279
- This study demonstrated that S100A9 was detected in the serums of Alzheimer disease patients PMID: 27911324
- Expression levels of S100A9 and Tenascin-C were correlated with TNM stages and metastasis in colorectal cancer. PMID: 27191989
- In Guatemalan preschoolers, the median fecal calprotectin value was 58 mg/kg, with a mean of 98 +/- 136 mg/kg and a range from 10 to 950 mg/kg; 61% of values were above the manufacturer's cut-off for elevated concentration and 51% exceeded an age-adjusted criterion. The central tendency (mean or median) and distribution were generally shifted to the right in relation to comparable reports from children across the world. PMID: 27101538
- Low S100A9 expression is associated with head and neck neoplasms. PMID: 26883112
- Calprotectin had the highest association with ultrasound synovitis and predicted treatment response. It may thus be considered as a marker for evaluating inflammation and responsiveness in patients with rheumatoid arthritis on biologic disease-modifying anti-rheumatic drug treatment. PMID: 28081709
- Data support a role of S100A9 to initiate and amplify the neutrophilic inflammation in asthma, possibly via inducing IL-1beta, IL-17 and IFN-gamma. PMID: 28847516
- The median faecal calprotectin level was similar in cases with abdominal pain-related functional gastrointestinal disorders (7.8 mug/g, 95% CI: 7.8-8.4) including those with gastritis, and controls (9.1 mug/g, 95% CI: 7.8-11.3). Faecal calprotectin is not a predictor of gastritis and is similar in children with functional abdominal pain symptoms and in controls. PMID: 26913755
- S100A9 induces anti-apoptotic effect on normal and allergic neutrophils by increasing cytokine secretion of monocytes PMID: 27459393
- S100A9, a protein previously described to be involved in modulation of inflammatory response, was found to interact with schistosoma MEG-14. PMID: 27639541
- High calprotectin activity could be demonstrated within the lumen of vermiform appendix specimens following appendectomy for acute appendicitis. PMID: 27118309
- observations indicate a novel way in which S100A9 may contribute to the pathogenesis of gout, by priming neutrophils to respond to MSUs. PMID: 28550118
- S100A9 was an ATRA-responsive gene, and PML/RARalpha was necessary for the ATRA-induced expression of S100A9 in acute promyelocytic leukemia (APL) cells. PML/RARalpha and PU.1 were necessary for the ATRA-induced expression of S100A9 in APL cells. Furthermore, S100A9 promoted apoptosis in APL cells and affected cell growth. PMID: 28063140
- Salivary S100A9 is a biomarker for oral squamous cell carcinoma in a Hungarian population. PMID: 28545132
- High S100A9 expression is associated with glioblastoma. PMID: 27006175
- Faecal calprotectin and CRP are predictive of symptomatic relapse and may be valuable in management of paediatric IBD in clinical remission PMID: 28138990
- These results suggest a preponderant role for the protein S100-A9 as an activator of the NF-kappa B pathway during Chronic lymphocytic leukemia progression and suggest that the leukemic clone can generate an autoactivation loop through S100-A9 expression, NF-kappa B activation, and exosome secretion. PMID: 28596424
- Fecal calprotectin levels were increased in pediatric subjects who showed signs of severe Clostridium difficile infection (CDI). Increased serum calprotectin levels were associated with increased disease severity in 48 adults with CDI PMID: 27668938
- High S100A9 expression is associated with lung metastasis in malignant melanoma. PMID: 27151304
- A significant positive correlation was found between the serum calprotectin and insulin resistance in polycystic ovary syndrome patients. PMID: 27217417
- these results indicate that CD14 is a co-receptor of TLR4 in the S100A9-induced cytokine response. PMID: 27228163
- Our data reveals that there is no significant correlation between serum calprotectin and Faecal calprotectin , nor between serum calprotectin and CRP in a large unselected cohort of GI patients. PMID: 28093196
- The present study demonstrates the potential of calprotectin to distinguish Rheumatoid Arthritis patients in both clinical and ultrasound-defined remission from patients in clinical remission but with residual subclinical disease activity. PMID: 27832086
- S100A9 and S100A12 may have a role in the pathogenesis of pneumonia: S100A9 and CXCL1 may contribute solely in mild pneumonia, and CCL5 and CXCL11 may contribute in severe pneumonia. PMID: 28381820
- patients with primary Sjogren's syndrome have a higher prevalence of carotid atherosclerosis, which is associated with higher serum calprotectin level independent of traditional cardiovascular risk factors. PMID: 27749218
- Serum calprotectin was significantly increased in inflammatory bowel disease compared with controls. PMID: 27596694
- Urinary calprotectin is a promising biomarker for the differentiation of prerenal and intrinsic acute renal allograft failure. PMID: 26901081
- Faecal biomarkers lactoferrin, calprotectin, and PMN-elastase were able to distinguish between ulcerative colitis patients with mucosal healing from clinical remission and mild disease, showed significant correlations with endoscopy, and were predictive of a flare. PMID: 26874351
- Blocking the interaction between S100A9 and RAGE V domain is a novel route to drug development against cell proliferation. PMID: 27524699
- The minor allele (T) of the S100A9 variant rs3014866 is associated with lower type 2 diabetes risk in 3 populations of different ancestries. PMID: 27440084
- fecal calprotectin can be used in management of patients with inflammatory bowel disease PMID: 27688663
- this paper shows that human gammadelta T cell-antigen-presenting cells stimulate CD4+ T cell responses distinct from those induced by myeloid antigen-presenting cells to promote local barrier defense via mucosal release of IL-22 and calprotectin PMID: 28330898
- The calprotectin levels in patients with atrial fibrillation were significantly higher than in healthy blood donors and were further increased after cardioversion. PMID: 28276729
顯示更多
收起更多
-
亞細胞定位:Secreted. Cytoplasm. Cytoplasm, cytoskeleton. Cell membrane; Peripheral membrane protein.
-
蛋白家族:S-100 family
-
組織特異性:Calprotectin (S100A8/9) is predominantly expressed in myeloid cells. Except for inflammatory conditions, the expression is restricted to a specific stage of myeloid differentiation since both proteins are expressed in circulating neutrophils and monocytes
-
數據庫鏈接:
Most popular with customers
-
-
YWHAB Recombinant Monoclonal Antibody
Applications: ELISA, WB, IHC, IF, FC
Species Reactivity: Human, Mouse, Rat
-
Phospho-YAP1 (S127) Recombinant Monoclonal Antibody
Applications: ELISA, WB, IHC
Species Reactivity: Human
-
-
-
-
-















