RUBCN Antibody
-
中文名稱:RUBCN兔多克隆抗體
-
貨號:CSB-PA856415LA01HU
-
規格:¥440
-
圖片:
-
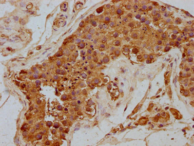
IHC image of CSB-PA856415LA01HU diluted at 1:300 and staining in paraffin-embedded human testis tissue performed on a Leica BondTM system. After dewaxing and hydration, antigen retrieval was mediated by high pressure in a citrate buffer (pH 6.0). Section was blocked with 10% normal goat serum 30min at RT. Then primary antibody (1% BSA) was incubated at 4°C overnight. The primary is detected by a biotinylated secondary antibody and visualized using an HRP conjugated SP system.
-
-
其他:
產品詳情
-
產品名稱:Rabbit anti-Homo sapiens (Human) RUBCN Polyclonal antibody
-
Uniprot No.:
-
基因名:
-
別名:Baron antibody; Beclin 1 associated RUN domain containing protein antibody; Beclin-1 associated RUN domain containing protein antibody; hypothetical protein LOC9711 antibody; Kiaa0226 antibody; OTTHUMP00000208021 antibody; OTTHUMP00000208023 antibody; OTTHUMP00000208024 antibody; RUBIC_HUMAN antibody; Rubicon antibody; RUN domain and cysteine rich domain containing, Beclin 1 interacting protein antibody; Run domain Beclin 1 interacting and cystein rich containing protein antibody; Run domain Beclin-1 interacting and cysteine-rich containing protein antibody; RUN domain protein as Beclin 1 interacting and cysteine rich containing antibody
-
宿主:Rabbit
-
反應種屬:Human
-
免疫原:Recombinant Human Run domain Beclin-1-interacting and cysteine-rich domain-containing protein (518-733AA)
-
免疫原種屬:Homo sapiens (Human)
-
標記方式:Non-conjugated
本頁面中的產品,RUBCN Antibody (CSB-PA856415LA01HU),的標記方式是Non-conjugated。對于RUBCN Antibody,我們還提供其他標記。見下表:
-
克隆類型:Polyclonal
-
抗體亞型:IgG
-
純化方式:>95%, Protein G purified
-
濃度:It differs from different batches. Please contact us to confirm it.
-
保存緩沖液:Preservative: 0.03% Proclin 300
Constituents: 50% Glycerol, 0.01M PBS, pH 7.4 -
產品提供形式:Liquid
-
應用范圍:ELISA, IHC
-
推薦稀釋比:
Application Recommended Dilution IHC 1:200-1:500 -
Protocols:
-
儲存條件:Upon receipt, store at -20°C or -80°C. Avoid repeated freeze.
-
貨期:Basically, we can dispatch the products out in 1-3 working days after receiving your orders. Delivery time maybe differs from different purchasing way or location, please kindly consult your local distributors for specific delivery time.
-
用途:For Research Use Only. Not for use in diagnostic or therapeutic procedures.
相關產品
靶點詳情
-
功能:Inhibits PIK3C3 activity; under basal conditions negatively regulates PI3K complex II (PI3KC3-C2) function in autophagy. Negatively regulates endosome maturation and degradative endocytic trafficking and impairs autophagosome maturation process. Can sequester UVRAG from association with a class C Vps complex (possibly the HOPS complex) and negatively regulates Rab7 activation.; Involved in regulation of pathogen-specific host defense of activated macrophages. Following bacterial infection promotes NADH oxidase activity by association with CYBA thereby affecting TLR2 signaling and probably other TLR-NOX pathways. Stabilizes the CYBA:CYBB NADPH oxidase heterodimer, increases its association with TLR2 and its phagosome trafficking to induce antimicrobial burst of ROS and production of inflammatory cytokines. Following fungal or viral infection (implicating CLEC7A (dectin-1)-mediated myeloid cell activation or DDX58/RIG-I-dependent sensing of RNA viruses) negatively regulates pro-inflammatory cytokine production by association with CARD9 and sequestering it from signaling complexes.
-
基因功能參考文獻:
- Rubicon thus functions as an important negative regulator of the innate immune response, enhances viral replication and may play a role in viral immune evasion. PMID: 28392573
- This study demonistrated that KIAA0226 mutation impairs Rubicon endosomal localization PMID: 23728897
- New DNA sequencing technologies are enabling us to investigate the whole or large targeted proportions of the genome in a rapid, affordable, and comprehensive way. Exome and targeted sequencing rundataxin genes causing ataxia. PMID: 22527681
- Rubicon may thus be pivotal to generating an optimal intracellular immune response against microbial infection. PMID: 22423966
- Rubicon differentially targets signaling complexes, depending on environmental stimuli, and may function to coordinate various immune responses against microbial infection. PMID: 22423967
- Rubicon and PLEKHM1 specifically and directly interact with Rab7 via their RH domain; this interaction is critical for their function; show Rubicon but not PLEKHM1 uniquely regulates membrane trafficking via simultaneously binding both Rab7 and PI3-kinase PMID: 20943950
- a critical role of the Rubicon RUN domain in PI3KC3 and autophagy regulation PMID: 21062745
- we report the identification of a family with three children affected with a new form of recessive ataxia, which we suggest naming 'Salih ataxia', and of a frameshift mutation of KIAA0226 (rundataxin) that segregates with the disease PMID: 20826435
顯示更多
收起更多
-
相關疾病:Spinocerebellar ataxia, autosomal recessive, 15 (SCAR15)
-
亞細胞定位:Late endosome. Lysosome. Early endosome. Note=Predominantly located in late endosomes/lysosomes, only partially detected in early endosome and not at all in the Golgi apparatus.
-
數據庫鏈接:
Most popular with customers
-
-
YWHAB Recombinant Monoclonal Antibody
Applications: ELISA, WB, IHC, IF, FC
Species Reactivity: Human, Mouse, Rat
-
Phospho-YAP1 (S127) Recombinant Monoclonal Antibody
Applications: ELISA, WB, IHC
Species Reactivity: Human
-
-
-
-
-















