ROR1 Antibody
-
中文名稱:ROR1兔多克隆抗體
-
貨號:CSB-PA993257
-
規格:¥1100
-
圖片:
-
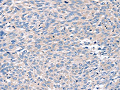
The image on the left is immunohistochemistry of paraffin-embedded Human lung cancer tissue using CSB-PA993257(ROR1 Antibody) at dilution 1/35, on the right is treated with synthetic peptide. (Original magnification: ×200)
-
The image on the left is immunohistochemistry of paraffin-embedded Human prostate cancer tissue using CSB-PA993257(ROR1 Antibody) at dilution 1/35, on the right is treated with synthetic peptide. (Original magnification: ×200)
-
-
其他:
產品詳情
-
Uniprot No.:
-
基因名:
-
別名:dJ537F10.1 antibody; Inactive tyrosine protein kinase transmembrane receptor ROR1 antibody; MGC99659 antibody; Neurotrophic tyrosine kinase antibody; Neurotrophic tyrosine kinase receptor related 1 antibody; Neurotrophic tyrosine kinase; receptor related 1 antibody; NTRKR1 antibody; OTTHUMP00000010573 antibody; OTTHUMP00000010574 antibody; OTTMUSP00000008344 antibody; Receptor tyrosine kinase like orphan receptor 1 antibody; receptor-related 1 antibody; RGD1559469 antibody; ROR 1 antibody; ROR1 antibody; ROR1_HUMAN antibody; RP11 24J23.1 antibody; Tyrosine kinase like orphan receptor 1 antibody; Tyrosine protein kinase transmembrane receptor ROR1 antibody; Tyrosine-protein kinase transmembrane receptor ROR1 antibody
-
宿主:Rabbit
-
反應種屬:Human,Mouse
-
免疫原:Synthetic peptide of Human ROR1
-
免疫原種屬:Homo sapiens (Human)
-
標記方式:Non-conjugated
-
抗體亞型:IgG
-
純化方式:Antigen affinity purification
-
濃度:It differs from different batches. Please contact us to confirm it.
-
保存緩沖液:-20°C, pH7.4 PBS, 0.05% NaN3, 40% Glycerol
-
產品提供形式:Liquid
-
應用范圍:ELISA,IHC
-
推薦稀釋比:
Application Recommended Dilution ELISA 1:2000-1:5000 IHC 1:25-1:100 -
Protocols:
-
儲存條件:Upon receipt, store at -20°C or -80°C. Avoid repeated freeze.
-
貨期:Basically, we can dispatch the products out in 1-3 working days after receiving your orders. Delivery time maybe differs from different purchasing way or location, please kindly consult your local distributors for specific delivery time.
-
用途:For Research Use Only. Not for use in diagnostic or therapeutic procedures.
相關產品
靶點詳情
-
功能:Has very low kinase activity in vitro and is unlikely to function as a tyrosine kinase in vivo. Receptor for ligand WNT5A which activate downstream NFkB signaling pathway and may result in the inhibition of WNT3A-mediated signaling. In inner ear, crucial for spiral ganglion neurons to innervate auditory hair cells.
-
基因功能參考文獻:
- this study found that in scid hu mice, ROR1 was highly expressed in a proportion of bone marrow, spleen, and blood B cells, which were mostly immature B cells PMID: 29850623
- Results find ROR1 as the direct target of miR30a, and show that ROR1 contributes to mir30amediated suppression of TNBC (triple negative breast cancer) cell invasion and migration. PMID: 29693179
- ROR1 and ROR2 play distinct roles in endometrial cancer. ROR1 may promote tumor progression, while ROR2 may act as a tumor suppressor in endometrioid endometrial cancer. PMID: 29395309
- ROR1 is a promising immunotherapeutic target in many epithelial tumors; however, high cell surface ROR1 expression in multiple normal tissues raises concerns for on-target off-tumor toxicities. Clinical translation of ROR1-targeted therapies warrants careful monitoring of toxicities to normal organs and may require strategies to ensure patient safety PMID: 27852699
- Report shows that ROR1 is highly expressed in colorectal cancer (CRC) tissues when compared with their adjacent normal tissues. The Kaplan-Meier curve indicated that the CRC patients with higher ROR1 expression had significantly shorter overall survival (OS), and those with lower ROR1 expression had longer OS. PMID: 28427197
- this study reveals that 14-3-3zeta plays a critical role in Wnt5a/ROR1 signaling, leading to enhanced CLL migration and proliferation. PMID: 28465528
- these studies indicate HS1 plays an important role in ROR1-dependent Wnt5a-enhanced chemokine-directed leukemia-cell migration. PMID: 28465529
- This study demonstrates expression of ROR1 and its putative ligand Wnt5a in Ewing sarcomas, and of an active ROR1 protein variant in cell lines. ROR1 silencing impaired cell migration in vitro. PMID: 26739507
- expression of ROR1 may promote leukemia-cell activation and survival and enhance disease progression in patients with chronic lymphocytic leukemia. PMID: 27815263
- the mechanistic regulation and linkage of the ROR1-HER3 and Hippo-YAP pathway in a cancer-specific context PMID: 28114269
- Data show that ROR1 contributes to melanoma progression by promoting cell growth and migration. PMID: 26509654
- High ROR1-DNAJC6 expression is associated with neoplasms. PMID: 27153396
- we aim to present an overview of the efforts and scientific achievements in targeting ROR family, particularly ROR-1, for the diagnosis and treatment of chronic lymphocytic leukemia --{REVIEW} PMID: 28160756
- that strong ROR1 expression might be an independent adverse prognostic factor in triple negative breast cancer PMID: 26874851
- Ror1 is crucial for spiral ganglion neurons to innervate auditory hair cells. Impairment of ROR1 function largely affects development of the inner ear and hearing in humans and mice. PMID: 27162350
- targeting ROR1 can induce differentiation of cancer stem cells and inhibit metastasis in glioblastoma; in addition, ROR1 may be used as a potential marker for glioblastoma stem cells as well as a potential target for glioblastoma stem cell therapy PMID: 26923195
- expression of ROR1 was significantly higher in colorectal carcinoma tissues than in tumor-adjacent tissues PMID: 27126945
- these findings revealed that miR382 inhibits migration and invision by targeting ROR1 through regulating EMT in ovarian cancer, and might serve as a tumor suppressor in ovarian cancer. PMID: 26575700
- Data show that silencing receptor tyrosine kinases (RTKs) ROR2 and ROR1 has a strong inhibitory effect on the ability of ovarian cancer cells to proliferate, migrate and invade. PMID: 26515598
- the b-catenin-independent WNT score correlated with reduced overall survival only in the metastasized situation . This is in line with the in vitro results of the alternative WNT receptors ROR1 and ROR2, which foster invasion PMID: 26862065
- The present findings thus support our notion that ROR1 sustains lung adenocarcinoma survival, at least in part, through direct physical interaction with ASK1 PMID: 26661061
- High expression of ROR1 (63%), pAkt (36%), and pCREB (20%) was observed in gastric adenocarcinomas, and expression of these proteins was well intercorrelated. PMID: 26245996
- This study identifies an interaction between ROR1 and ROR2 that is required for Wnt5a signaling that promotes leukemia chemotaxis and proliferation. PMID: 26690702
- miR-27b-3p suppresses cell proliferation through targeting receptor tyrosine kinase like orphan receptor 1 in gastric cancer PMID: 26576539
- Data show that the majority of chronic lymphocytic leukemia (CLL) patients had antibodies against receptor tyrosine kinase ROR1. PMID: 26562161
- This study reports an unanticipated function of ROR1 as a scaffold of cavin-1 and caveolin-1, two essential structural components of caveolae. PMID: 26725982
- Both IGF1R and ROR1 can be effectively targeted by SB modified CAR T cells. PMID: 26173023
- Significantly down-regulates the activity of the PI3K/AKT/mTOR signaling pathway. PMID: 25978653
- Human ROR1 and ROR2 are receptor tyrosine kinase-like pseudokinases. PMID: 25029443
- The newly developed OSU-2S delivery using ROR1-directed immunonanoparticles provide selective targeting of OSU-2S to MCL and other ROR1(+) malignancies, sparing normal B cells. PMID: 25937048
- ROR1 expression is correlated with malignant attributes of ovarian cancer and it may serve as a novel prognostic marker in ovarian cancer. PMID: 25056203
- Data indicate that shRNA silencing of type I receptor tyrosine kinase-like orphan receptor (ROR1) cells, or treatment with anti-ROR1 mAb UC-961 impaired the capacity of ovarian cancer cells to form spheroids or tumor xenografts. PMID: 25411317
- ROR1 is only detectable in embryonic tissue and generally absent in adult tissue, making the protein an ideal drug target for cancer therapy. [Review] PMID: 24752542
- CLL cells expressed different isoforms of ROR1. PMID: 24205204
- Data shows that ROR1 and ROR2 are inversely expressed in melanomas and negatively regulate each other. Also, hypoxia initiates a shift of ROR1-positive melanomas to a more invasive, ROR2-positive phenotype. PMID: 24104062
- ROR1 can interact with TCL1 and enhance leukemogenesis in Emu-TCL1 transgenic mice. PMID: 24379361
- Our results show that customizing spacer design and increasing affinity of ROR1-CARs enhances T-cell effector function and recognition of ROR1(+) tumors. PMID: 23620405
- ROR1 may play a role in the survival of melanoma cells PMID: 23593420
- Data indicate that type I receptor tyrosine kinase-like orphan receptor ROR1 may regulate EMT and metastasis and that antibodies targeting ROR1 can inhibit cancer progression and metastasis. PMID: 23771907
- that the receptor tyrosine kinase ROR1 was overexpressed in most patients with various hematological malignancies of both lymphoid and myeloid origins. PMID: 22988987
- cell surface expression in pediatric B-ALL along with its virtual absence from normal tissues and circulating cells makes ROR1 a promising target for mAb-based therapies. PMID: 23285131
- Many different human cancers express ROR1 and ROR1 may play a functional role in promoting tumor cell growth. PMID: 23041612
- t(1;19) Acute Lymphoblastic Leukemia cells universally exhibit expression of and dependence on the cell surface receptor ROR1. PMID: 23153538
- ROR1 was overexpressed in acute lymphoblastic leukemia PMID: 22369092
- ROR1 is expressed in human breast cancers and has biological and clinical significance PMID: 22403610
- nuclear-localized ROR1 may play an important role in cell migration and cytoskeleton remodeling PMID: 22199287
- Ror1 undergoes complex post-translational modifications by glycosylation and mono-ubiquitination. These modifications regulate Ror1 localization and signalling, and are highly variable among individual chronic lymphocytic leukemia patients. PMID: 21481194
- ROR1 is uniformly and highly expressed in all in chronic lymphocytic leukemia (CLL) cases at initial diagnosis and can serve as a diagnostic tool. PMID: 21531460
- ROR1 is expressed on hematogones (non-neoplastic human B-lymphocyte precursors) and a minority of precursor-B acute lymphoblastic leukemia. PMID: 21813176
- A panel of mAbs demonstrated high affinity and specificity for a diverse set of epitopes that involve all three extracellular domains of ROR1, are accessible on the cell surface, and mediate internalization PMID: 21698301
顯示更多
收起更多
-
相關疾病:Deafness, autosomal recessive, 108 (DFNB108)
-
亞細胞定位:Membrane; Single-pass type I membrane protein. Cell projection, axon.
-
蛋白家族:Protein kinase superfamily, Tyr protein kinase family, ROR subfamily
-
組織特異性:Expressed strongly in human heart, lung and kidney, but weakly in the CNS. Isoform Short is strongly expressed in fetal and adult CNS and in a variety of human cancers, including those originating from CNS or PNS neuroectoderm.
-
數據庫鏈接:
Most popular with customers
-
-
YWHAB Recombinant Monoclonal Antibody
Applications: ELISA, WB, IHC, IF, FC
Species Reactivity: Human, Mouse, Rat
-
-
-
-
-
-















