RNF144B Antibody
-
中文名稱:RNF144B兔多克隆抗體
-
貨號:CSB-PA253689
-
規格:¥1100
-
圖片:
-
The image on the left is immunohistochemistry of paraffin-embedded Human lung cancer tissue using CSB-PA253689(RNF144B Antibody) at dilution 1/50, on the right is treated with fusion protein. (Original magnification: ×200)
-
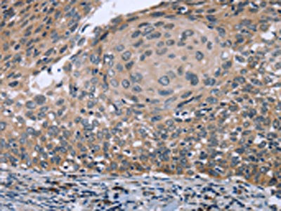
The image on the left is immunohistochemistry of paraffin-embedded Human cervical cancer tissue using CSB-PA253689(RNF144B Antibody) at dilution 1/50, on the right is treated with fusion protein. (Original magnification: ×200)
-
Gel: 8%SDS-PAGE, Lysate: 40 μg, Lane: TM4 cells, Primary antibody: CSB-PA253689(RNF144B Antibody) at dilution 1/400, Secondary antibody: Goat anti rabbit IgG at 1/8000 dilution, Exposure time: 3 minutes
-
-
其他:
產品詳情
-
Uniprot No.:
-
基因名:RNF144B
-
別名:RNF144B; IBRDC2; P53RFP; E3 ubiquitin-protein ligase RNF144B; IBR domain-containing protein 2; RING finger protein 144B; p53-inducible RING finger protein
-
宿主:Rabbit
-
反應種屬:Human,Mouse
-
免疫原:Fusion protein of Human RNF144B
-
免疫原種屬:Homo sapiens (Human)
-
標記方式:Non-conjugated
-
抗體亞型:IgG
-
純化方式:Antigen affinity purification
-
濃度:It differs from different batches. Please contact us to confirm it.
-
保存緩沖液:-20°C, pH7.4 PBS, 0.05% NaN3, 40% Glycerol
-
產品提供形式:Liquid
-
應用范圍:ELISA,WB,IHC
-
推薦稀釋比:
Application Recommended Dilution ELISA 1:2000-1:5000 WB 1:200-1:1000 IHC 1:50-1:200 -
Protocols:
-
儲存條件:Upon receipt, store at -20°C or -80°C. Avoid repeated freeze.
-
貨期:Basically, we can dispatch the products out in 1-3 working days after receiving your orders. Delivery time maybe differs from different purchasing way or location, please kindly consult your local distributors for specific delivery time.
-
用途:For Research Use Only. Not for use in diagnostic or therapeutic procedures.
相關產品
靶點詳情
-
功能:E3 ubiquitin-protein ligase which accepts ubiquitin from E2 ubiquitin-conjugating enzymes UBE2L3 and UBE2L6 in the form of a thioester and then directly transfers the ubiquitin to targeted substrates such as LCMT2, thereby promoting their degradation. Induces apoptosis via a p53/TP53-dependent but caspase-independent mechanism. However, its overexpression also produces a decrease of the ubiquitin-dependent stability of BAX, a pro-apoptotic protein, ultimately leading to protection of cell death; But, it is not an anti-apoptotic protein per se.
-
基因功能參考文獻:
- Low RNF144B expression is associated with gastric cancer. PMID: 27524417
- findings substantiate PIR2/Rnf144b as a potentially critical component of epithelial homeostasis, acting downstream of DeltaNp63alpha to regulate cellular levels of p21(WAF1/CIP1) and DeltaNp63alpha PMID: 23128396
- PIR2, by being induced by TAp73 and degrading DeltaNp73, differentially regulates TAp73/DeltaNp73 stability. PMID: 20615966
- PIR2/RNF144B/IBRDC2 regulates the stability of TAp73 and DNp73. PMID: 20615966
- Clinical trial of gene-disease association and gene-environment interaction. (HuGE Navigator) PMID: 20379614
- IBRDC2, an IBR-type RING-finger E3 ubiquitin ligase, regulates the levels of Bax and protects cells from unprompted Bax. activation and cell death. PMID: 20300062
- p53RFP, a p53-inducible RING-finger protein, regulates the stability of p21WAF1. PMID: 12853982
顯示更多
收起更多
-
亞細胞定位:Mitochondrion membrane; Single-pass membrane protein. Cytoplasm. Note=Mostly cytosololic, accumulates in submitochondrial domains specifically upon apoptosis induction, in synchrony with BAX activation.
-
蛋白家族:RBR family, RNF144 subfamily
-
組織特異性:Broadly expressed, with lowest levels in brain and thymus, and highest levels detectable in heart, ovary and testis.
-
數據庫鏈接:
Most popular with customers
-
-
YWHAB Recombinant Monoclonal Antibody
Applications: ELISA, WB, IHC, IF, FC
Species Reactivity: Human, Mouse, Rat
-
-
-
-
-
-















