RETN Antibody
-
中文名稱:RETN兔多克隆抗體
-
貨號:CSB-PA090129
-
規格:¥1100
-
圖片:
-
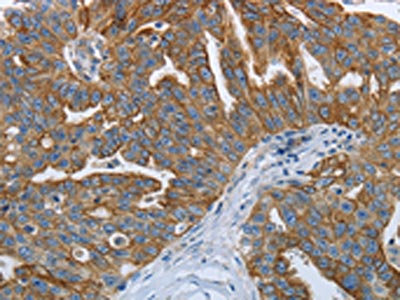
The image on the left is immunohistochemistry of paraffin-embedded Human ovarian cancer tissue using CSB-PA090129(RETN Antibody) at dilution 1/20, on the right is treated with fusion protein. (Original magnification: ×200)
-
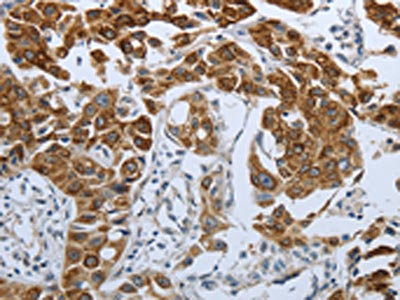
The image on the left is immunohistochemistry of paraffin-embedded Human lung cancer tissue using CSB-PA090129(RETN Antibody) at dilution 1/20, on the right is treated with fusion protein. (Original magnification: ×200)
-
-
其他:
產品詳情
-
Uniprot No.:
-
基因名:
-
別名:Adipose tissue specific secretory factor antibody; Adipose tissue-specific secretory factor antibody; ADSF antibody; C/EBP epsilon regulated myeloid specific secreted cysteine rich protein antibody; C/EBP epsilon regulated myeloid specific secreted cysteine rich protein precursor 1 antibody; C/EBP-epsilon-regulated myeloid-specific secreted cysteine-rich protein antibody; CG5403 antibody; Cysteine rich secreted protein A12 alpha like 2 antibody; Cysteine rich secreted protein FIZZ3 antibody; Cysteine-rich secreted protein A12-alpha-like 2 antibody; Cysteine-rich secreted protein FIZZ3 antibody; dri antibody; FIZZ 3 antibody; FIZZ3 antibody; Found in inflammatory zone 3 antibody; HXCP 1 antibody; HXCP1 antibody; MGC126603 antibody; MGC126609 antibody; PRO1199 antibody; Resistin antibody; Resistin delta2 antibody; RETN 1 antibody; RETN antibody; RETN_HUMAN antibody; RETN1 antibody; RSTN antibody; UNQ407 antibody; XCP 1 antibody; XCP1 antibody
-
宿主:Rabbit
-
反應種屬:Human
-
免疫原:Fusion protein of Human RETN
-
免疫原種屬:Homo sapiens (Human)
-
標記方式:Non-conjugated
-
抗體亞型:IgG
-
純化方式:Antigen affinity purification
-
濃度:It differs from different batches. Please contact us to confirm it.
-
保存緩沖液:-20°C, pH7.4 PBS, 0.05% NaN3, 40% Glycerol
-
產品提供形式:Liquid
-
應用范圍:ELISA,IHC
-
推薦稀釋比:
Application Recommended Dilution ELISA 1:1000-1:5000 IHC 1:25-1:100 -
Protocols:
-
儲存條件:Upon receipt, store at -20°C or -80°C. Avoid repeated freeze.
-
貨期:Basically, we can dispatch the products out in 1-3 working days after receiving your orders. Delivery time maybe differs from different purchasing way or location, please kindly consult your local distributors for specific delivery time.
-
用途:For Research Use Only. Not for use in diagnostic or therapeutic procedures.
相關產品
靶點詳情
-
功能:Hormone that seems to suppress insulin ability to stimulate glucose uptake into adipose cells. Potentially links obesity to diabetes. Promotes chemotaxis in myeloid cells.
-
基因功能參考文獻:
- The results of this study indicated that resistin gene polymorphisms might affect the genetic predisposition of rheumatoid arthritis in Chinese population. PMID: 29978502
- It was demonstrated that high resistin expression was predominantly observed in lung adenocarcinoma tissues. It is associated with a more malignant clinicopathological status and poorer survival. Resistin could promote A549 and H1975 tumor cell proliferation, migration and invasion while inhibit their apoptosis in vitro. PMID: 30272365
- A multi-cytokine resistin pathway is operational in humans, and it plays a substantial role in cardiovascular events in high-risk individuals. PMID: 28290549
- An increase in resistin concentration expressed also as resistin/BMI, and resistin/adiponectin ratios, observed in children with cystic fibrosis may suggests that this adipokine is involved in the inflammatory process underlying the disease and is related to worse spirometric parameters describing airways obstruction. PMID: 29465158
- n T2 mice, the mRNA expression of Retn showed a moderate up-regulation (fold change=8.32; p=0.0019) in the adipose tissues. Iapp expression was also significantly up-regulated (fold change=9.78; p=0.012). Moreover, a 6.36-fold up-regulation for Drd5 was observed in the adipose tissues of T2 mice PMID: 29936463
- RETN and CAP1 polymorphisms and gene expression may be potential biomarkers for breast cancer risk PMID: 29641286
- resistin induced MUC5AC and MUC5B expression via activation of different signaling pathways in human airway epithelial cells. PMID: 29604272
- Study provides clear evidence that resistin is a clinically relevant endogenous ligand for TLR4, which promotes tumor progression via TLR4/NF-kappaB/STAT3 signaling. PMID: 28991224
- women with gestational diabetes showed significantly low adiponectin and high resistin levels when compared with control group. PMID: 29207892
- increased levels of resistin in erosive and non-erosive hand osteoarthritis PMID: 29105498
- Resistin promotes a shift from proliferation to apoptosis in vascular smooth muscle cells and macrophage co-culture systems with cellular composition similar to that found in vulnerable regions of plaques. PMID: 29361366
- The inverse association between serum resistin and n-3 PUFA intake was strongest in SNP-420 G/G genotype in the Japanese cohort. PMID: 29044636
- Our results do not support a relationship among resistin levels, obesity and insulin resistance in humans PMID: 29280648
- rs1862513 and rs3745368 in resistin genes are not associated with the presence of MetS in a Han Chinese population. PMID: 29386698
- For T2D, when the subjects were separated by resistin into tertiles, elevated resistin was associated with a benefit for the Castelli 1 index PMID: 28760596
- The -420C>G resistin gene polymorphism appears to be associated with more severe stroke and higher in-hospital mortality in patients with acute ischemic stroke. Higher leptin levels appear to be related to favorable functional outcome. PMID: 29217361
- Resistin contributes to the pathogenesis of rheumatoid arthritis by increasing chemokine production by fibroblast-like synoviocytes PMID: 29191223
- Studies identify a critical role for hRetn in blocking lipopolysaccharide function with important clinical significance in helminth-induced immunomodulation and sepsis. PMID: 29133417
- Plasma resistin did not show any association with the degree of vascular damage in non-hypersomnolent obstructive sleep apnoea patients. PMID: 27256793
- In anorexia nervosa subjects, GG genotype of RETN c.-180 was significantly more frequent than in control group. PMID: 28759190
- serum and follicular fluid resistin levels were significantly higher in the endometriosis group PMID: 29442466
- Our data suggest that adiponectin and resistin are altered in non-obese chronic migraineurs. PMID: 27553954
- Studied the association of resistin (RETN); single nucleotide polymorphisms (SNPs) and serum RETN levels in obese and non-obese Tunisians. PMID: 28393393
- This study has shown Resistin, and Visfatin synergistically increased gastric cancer cell proliferation and enhanced the telomerase gene expression, showing that these two hormones in gastric cancer tissue could cooperatively accelerate cancer cell growth PMID: 29228527
- resistin is differentially expressed in endometrial tissues from women with endometriosis and imply a role for resistin in endometriosis-associated pelvic inflammation PMID: 28681517
- Resistin, but not copeptin levels are higher in acute ischemic stroke patients early after the stroke onset, than in age and gender matched stroke-free controls. Moreover, higher copeptin concentrations are predictive of poor short term functional outcome after ischemic stroke PMID: 28845746
- Significant up-regulation of PBMCs CAP1, CD36 mRNA and plasma resistin found in significant coronary artery disease, as well as in nonsignificant coronary artery disease compared to control group, indicates that resistin could be able to exert its effects stronger on cells with up-regulated CAP1 mRNA thus contributing atherosclerosis development. PMID: 28707728
- Results demonstrate an association between RETN gene variants and risk of rheumatoid arthritis disease. RETN SNPs were significantly associated with clinical therapies and C-reactive protein serum marker of rheumatoid arthritis in the Chinese Han population. PMID: 29561430
- Studied adiponectin (ADIPOQ), leptin (LEP), leptin receptor (LEPR), and resistin (RETN) single nucleotide polymorphisms and their association in obesity. Results showed that ADIPOQ 4522C
PMID: 28195351 - Results show that adiponectin, resistin and visfatin are present in osteophytes but have no direct influence on osteophyte development. Although these adipokines induce several inflammatory mediators, they do not affect osteoblast- or chondrocyte-related mechanisms of osteophyte development. PMID: 27884778
- Fine-tuned by RETN SNPs, intrahepatic, multi-cellular resistin reinforced IFNL3 in eliminating HCV via immunomodulation to counteract pro-inflammation. PMID: 27477870
- Dementia of vascular origin is characterized by elevated resistin levels. PMID: 28421328
- Resistin probably plays a role in the pathogenesis of hepatic insulin resistance and aggravates pathologic changes in the liver of patients with non-alcoholic fatty liver disease PMID: 29363914
- Resistin and NGAL correlate with expression of endothelial cell adhesion molecules in sepsis. PMID: 28424824
- the role of resistin (an adipokine) in the development of gestational diabetes mellitus PMID: 28685604
- high resistin levels are associated with increased obesity-related cancer risk [meta-analysis] PMID: 27509174
- Results showed that the RETN SNP rs3219175 with AG or at least 1 A allele was associated with a higher risk of lung cancer than wild-type (GG) carriers. Moreover, the RETN SNP rs3219175 with AG or AG + AA alleles was associated with a higher risk of distant metastasis than that in patients carrying GG alleles. PMID: 29384942
- Report decreased serum resistin level in Grave's disease patients. Suggest that serum resistin is primarily secreted from circulating neutrophils and down-regulated by excessive thyroid hormones in GD patients. PMID: 27637079
- Change in salivary resistin level was not significantly associated with periodontal outcomes. In obese Malaysians, NSPT significantly improved PS and GBI, and improved PPD and CAL for shallow and moderately deep pockets but not for deep pockets PMID: 28049964
- Therefore, rs1423096 and rs10401670, in addition to SNP-420 and SNP-358, were identified as possible functional variants affecting circulating resistin by the genome-wide search in the Japanese population. PMID: 27664181
- In this meta-analysis, serum resistin levels are associated with and increased risk of acute cerebral infarction in Asians, but not in Caucasians. PMID: 26899574
- the mutant genotype of two SNPs of the RETN gene (rs1862513 and rs10401670) was associated with a lack of change in resistin secondary to biliopancreatic diversion PMID: 27118275
- Serum resistin level was higher in CKD ( Chronic Kidney Diseases ) patients compared to control subjects. PMID: 25385911
- The present study suggests that the G/G genotype of RETN rs1862513 could be a predictor of the reduction of HOMA-IR, insulin, fasting glucose and LDL cholesterol secondary to a hypocaloric diet in obese subjects. PMID: 28064279
- The serum levels of IL-8, MIP-1 alpha, MIP-1 beta, MMP-8, Resistin, FLRG, and BCAM were significantly higher in breast cancer patients, but LAP and TSH-beta levels were lower. PMID: 26898119
- Results provide evidence that RETN SNPs were functional and associated with the levels of serum creatinine and cholesterol. PMID: 29101068
- Resistin-associated VSMC dysfunction and intimal hyperplasia are related to PKCepsilon-dependent Nox activation and ROS generation PMID: 27573736
- Adiponectin and resistin show an additive independent effect on all-cause mortality in patients with type 2 diabetes PMID: 27175608
- Amendment of the cytokine profile in macrophages subsequent to their interaction with smooth muscle cells: Differential modulation by fractalkine and resistin. PMID: 27180200
- The strongest OR was for CXCL8 (interleukin-8) in serum (96.8, 95% CI: 11.9-790.2). Of these 15 markers, 6 were also significantly elevated in serum from Chile (CCL20, C-reactive protein, CXCL8, CXCL10, resistin, serum amyloid A). PMID: 27173614
顯示更多
收起更多
-
亞細胞定位:Secreted.
-
蛋白家族:Resistin/FIZZ family
-
組織特異性:Expressed in white adipose tissue (at protein level). Widely expressed, with particularly strong expression in lung, bone marrow, breast and peripheral blood. Expressed strongly in bone marrow and at lower levels in lung, but not detected in other tissues
-
數據庫鏈接:
Most popular with customers
-
-
YWHAB Recombinant Monoclonal Antibody
Applications: ELISA, WB, IHC, IF, FC
Species Reactivity: Human, Mouse, Rat
-
Phospho-YAP1 (S127) Recombinant Monoclonal Antibody
Applications: ELISA, WB, IHC
Species Reactivity: Human
-
-
-
-
-















