REEP1 Antibody
-
中文名稱:REEP1兔多克隆抗體
-
貨號:CSB-PA862045DSR1HU
-
規格:¥440
-
圖片:
-
Western blot
All lanes: REEP1 antibody at 5.84 μg/ml + Mouse gonadal tissue
Secondary
Goat polyclonal to rabbit IgG at 1/10000 dilution
Predicted band size: 23, 19, 17 kDa
Observed band size: 23, 80 kDa -
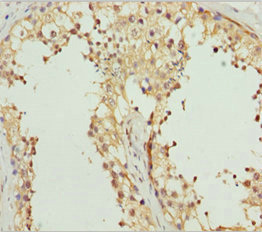
Immunohistochemistry of paraffin-embedded human?testis tissue using CSB-PA862045DSR1HU at dilution of 1:100
-
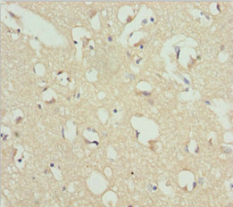
Immunohistochemistry of paraffin-embedded human brain tissue using CSB-PA862045DSR1HU at dilution of 1:100
-
-
其他:
產品詳情
-
產品名稱:Rabbit anti-Homo sapiens (Human) REEP1 Polyclonal antibody
-
Uniprot No.:
-
基因名:REEP1
-
別名:REEP1; C2orf23; SPG31; Receptor expression-enhancing protein 1; Spastic paraplegia 31 protein
-
宿主:Rabbit
-
反應種屬:Human, Mouse
-
免疫原:Recombinant Human Receptor expression-enhancing protein 1 protein (101-201AA)
-
免疫原種屬:Homo sapiens (Human)
-
標記方式:Non-conjugated
-
克隆類型:Polyclonal
-
抗體亞型:IgG
-
純化方式:Antigen Affinity Purified
-
濃度:It differs from different batches. Please contact us to confirm it.
-
保存緩沖液:PBS with 0.02% sodium azide, 50% glycerol, pH7.3.
-
產品提供形式:Liquid
-
應用范圍:ELISA, WB, IHC
-
推薦稀釋比:
Application Recommended Dilution WB 1:1000-1:5000 IHC 1:20-1:200 -
Protocols:
-
儲存條件:Upon receipt, store at -20°C or -80°C. Avoid repeated freeze.
-
貨期:Basically, we can dispatch the products out in 1-3 working days after receiving your orders. Delivery time maybe differs from different purchasing way or location, please kindly consult your local distributors for specific delivery time.
-
用途:For Research Use Only. Not for use in diagnostic or therapeutic procedures.
相關產品
靶點詳情
-
功能:Required for endoplasmic reticulum (ER) network formation, shaping and remodeling; it links ER tubules to the cytoskeleton. May also enhance the cell surface expression of odorant receptors. May play a role in long-term axonal maintenance.
-
基因功能參考文獻:
- This study demonstrated that REEP1 gene mutation associated with hereditary spastic paraplegias in group of Polish patients PMID: 26671083
- we show that REEP1 facilitates endoplasmic reticulum mitochondria interactions, a function diminished by disease-associated mutations. PMID: 26201691
- Nonsense variants in REEP1 causing haploinsufficiency/loss of function are responsible for autosomal dominant hereditary spastic paraplegia (HSP)-type SPG31. PMID: 24986827
- Functional mutation analysis reveal that distinct pathomechanisms are associated with REEP1 mutations and shed new light on its probable functions. PMID: 24478229
- Expression of the REEP1/REEP2 subfamily appears to be restricted to neuronal and neuronal-like exocytotic tissues, consistent with neuronally restricted symptoms of REEP1 genetic disorders. PMID: 24355597
- REEP1 is a neuron-specific, membrane-binding, and membrane curvature-inducing protein that resides in the endoplasmic reticulum. PMID: 24051375
- A novel REEP1 mutation is identified in a cohort of patients with upper motor neuron syndrome. PMID: 23108492
- Whole-exome sequencing of two affected individuals revealed a single candidate variant within the linking regions, i.e., a splice-site alteration in REEP1 PMID: 22703882
- Identification of 12 different heterozygous REEP1 mutations, including two exon deletions, associated with either a pure or a complex phenotype. PMID: 21618648
- previously unreported autosomal dominant mutations in the REEP1 gene in hereditary spastic paraplegia PMID: 20718791
- Hereditary spastic paraplegias(HSP) proteins atlastin-1, spastin, and REEP1 interact within the tubularER membrane in corticospinal neurons to coordinate ER shaping and microtubule dynamics. PMID: 20200447
- Receptor expression-enhancing protein 1 gene (SPG31) mutations are rare in Chinese Han patients with hereditary spastic paraplegia. PMID: 19781397
- RTP and REEP gene expression in human circumvallate papillae and testis, both of which are sites of taste receptor gene expression. PMID: 16720576
- REEP1 is widely expressed and localizes to mitochondria, which underlines the importance of mitochondrial function in neurodegenerative disease. PMID: 16826527
- Mutations in the receptor expression enhancing protein 1 (REEP1) have recently been reported to cause autosomal dominant hereditary spastic paraplegia type SPG31. We identified 13 novel and 2 known REEP1 mutations in 16 familial and sporadic patients. PMID: 18321925
- Our results confirm the previously observed mutation range of 3% to 6.5%, respectively, and they widen the spectrum of REEP1 mutations PMID: 18644145
- Results identify the frequency of REEP1 mutations in both autosomal dominant HSP (ADHSP) and sporadic spastic paraparesis (SSP) and analyse the genotype/phenotype correlation of mutations so far described in REEP1. PMID: 19034539
- A novel splice-site mutation (REEP1 c417+1g>a) was identified in chiease family of ADHSP. PMID: 19072839
顯示更多
收起更多
-
相關疾病:Spastic paraplegia 31, autosomal dominant (SPG31); Neuronopathy, distal hereditary motor, 5B (HMN5B)
-
亞細胞定位:Membrane. Mitochondrion membrane; Multi-pass membrane protein. Endoplasmic reticulum.
-
蛋白家族:DP1 family
-
組織特異性:Expressed in circumvallate papillae and testis.
-
數據庫鏈接:
Most popular with customers
-
-
YWHAB Recombinant Monoclonal Antibody
Applications: ELISA, WB, IHC, IF, FC
Species Reactivity: Human, Mouse, Rat
-
Phospho-YAP1 (S127) Recombinant Monoclonal Antibody
Applications: ELISA, WB, IHC
Species Reactivity: Human
-
-
-
-
-















