RBX1 Antibody
-
中文名稱:RBX1兔多克隆抗體
-
貨號:CSB-PA019496ESR2HU
-
規格:¥440
-
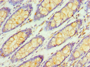
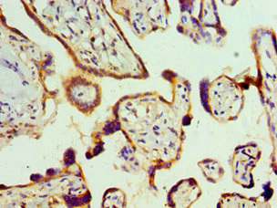
圖片:
-
其他:
產品詳情
-
產品名稱:Rabbit anti-Homo sapiens (Human) RBX1 Polyclonal antibody
-
Uniprot No.:
-
基因名:
-
別名:BA554C12.1 antibody; E3 ubiquitin-protein ligase RBX1 antibody; FLJ60363 antibody; MGC13357 antibody; MGC1481 antibody; OTTHUMP00000028983 antibody; Protein ZYP antibody; Rbx 1 antibody; Rbx1 antibody; RBX1_HUMAN antibody; Regulator of cullins 1 antibody; Ring box 1 antibody; Ring box 1 E3 ubiquitin protein ligase antibody; RING box protein 1 antibody; RING finger protein 75 antibody; RING finger protein antibody; RING-box protein 1 antibody; Ringbox protein 1 antibody; RNF 75 antibody; RNF75 antibody; ROC 1 antibody; ROC1 antibody; ZYP protein antibody
-
宿主:Rabbit
-
反應種屬:Human
-
免疫原:Recombinant Human E3 ubiquitin-protein ligase RBX1 protein (1-108AA)
-
免疫原種屬:Homo sapiens (Human)
-
標記方式:Non-conjugated
-
克隆類型:Polyclonal
-
抗體亞型:IgG
-
純化方式:Antigen Affinity Purified
-
濃度:It differs from different batches. Please contact us to confirm it.
-
保存緩沖液:PBS with 0.02% sodium azide, 50% glycerol, pH7.3.
-
產品提供形式:Liquid
-
應用范圍:ELISA, IHC
-
推薦稀釋比:
Application Recommended Dilution IHC 1:20-1:200 -
Protocols:
-
儲存條件:Upon receipt, store at -20°C or -80°C. Avoid repeated freeze.
-
貨期:Basically, we can dispatch the products out in 1-3 working days after receiving your orders. Delivery time maybe differs from different purchasing way or location, please kindly consult your local distributors for specific delivery time.
-
用途:For Research Use Only. Not for use in diagnostic or therapeutic procedures.
相關產品
靶點詳情
-
功能:E3 ubiquitin ligase component of multiple cullin-RING-based E3 ubiquitin-protein ligase (CRLs) complexes which mediate the ubiquitination and subsequent proteasomal degradation of target proteins, including proteins involved in cell cycle progression, signal transduction, transcription and transcription-coupled nucleotide excision repair. CRLs complexes and ARIH1 collaborate in tandem to mediate ubiquitination of target proteins, ARIH1 mediating addition of the first ubiquitin on CRLs targets. The functional specificity of the E3 ubiquitin-protein ligase complexes depends on the variable substrate recognition components. As a component of the CSA complex promotes the ubiquitination of ERCC6 resulting in proteasomal degradation. Recruits the E2 ubiquitin-conjugating enzyme CDC34 to the complex and brings it into close proximity to the substrate. Probably also stimulates CDC34 autoubiquitination. May be required for histone H3 and histone H4 ubiquitination in response to ultraviolet and for subsequent DNA repair. Promotes the neddylation of CUL1, CUL2, CUL4 and CUL4 via its interaction with UBE2M. Involved in the ubiquitination of KEAP1, ENC1 and KLHL41. In concert with ATF2 and CUL3, promotes degradation of KAT5 thereby attenuating its ability to acetylate and activate ATM.
-
基因功能參考文獻:
- The E3 ubiquitin ligase and RNA-binding protein ZNF598 orchestrate ribosome quality control of premature polyadenylated mRNAs. PMID: 28685749
- SESN2 is critical to protect cells against detrimental effect of mitochondrial damage and RBX1 is a negative regulator of SESN2 which hampers its stabilization. PMID: 29294217
- RBX-1 overexpression in bladder UCC is associated with high tumor grade and advanced stage and represents biological potential of invasiveness and aggressive disease. PMID: 28946546
- The crystal structure of a pentameric CRL2(VHL) complex, composed of Cul2, Rbx1, Elongin B, Elongin C, and pVHL reveals how Rbx1 interacts with Cullin 2. PMID: 28591624
- Study demonstrated that ROC1 was overexpressed in esophageal squamous cell carcinomas, which was positive associated with poor prognosis of esophageal cancer patients. PMID: 28418860
- p97 negatively regulates NRF2 through the canonical pathway by extracting ubiquitylated NRF2 from the KEAP1-CUL3 E3 complex. PMID: 28115426
- Regulation of substrate ubiquitination and polyubiquitination takes place through Rbx1 rotations. PMID: 28082425
- High RBX1 expression was related to poor tumor differentiation, advanced TNM stage, and lymph node metastasis in non-small cell lung cancer. PMID: 27566015
- Data show that melanoma antigen, family C, 2 protein (MAGE-C2) binds with RING-box protein 1 (Rbx1) and Cullin 1, and regulates cyclin E stability in melanoma cells. PMID: 26540345
- ROC1 has an important role in the malignant progression of bladder transitional cell carcinoma via the mTOR/DEPTOR pathway. PMID: 26742010
- Nedd8(Q40E) cannot induce the same structural effect on Cul1-Rbx1 as wild-type Nedd8. PMID: 26632597
- RBX1 E3 ubiquitin protein expression responsible with multiple genetic mechanism in the development of head and neck cancer. PMID: 24596130
- This work sheds new light on the roles of NEDD8 lysines on neddylation cascades and provides a dominant negative mutant for the study of neddylation and its biological functions. PMID: 25918018
- These findings indicate that Rbx1 and Rbx2 can both activate Cul5-Vif E3 ligase in vitro, but they may undergo a more delicate selection mechanism in vivo. PMID: 25912140
- upregulation of miR-194 can inhibit proliferation, migration, and invasion of GC cells, possibly by targeting RBX1. Aberrant expression of miR-194 and RBX1 is correlated to GC patient survival time. PMID: 25412959
- RBX1 expression level was associated with the proliferation of gastric cancer. PMID: 24292229
- Studied the DNA-level mechanisms affecting KEAP1/CUL3/RBX1 E3-ubiquitin ligase complex as a regulator of NRF2 levels in ovarian cancer. PMID: 25114896
- eEF1A1 may mediate SAMHD1 turnover by targeting it to the proteosome for degradation through association with Cullin4A and Rbx1. PMID: 25423367
- data suggest a new paradigm for Hsp90-modulated assembly of a Cul3/DBC2 E3 ubiquitin ligase complex that may extend to other E3 ligase complexes. PMID: 24608665
- CUL4A-DDB1-Rbx1 E3 ligase controls the quality of the PTS2 receptor Pex7p. PMID: 24989250
- A genome-wide association study on a southern European population identified a new Crohn's disease susceptibility locus at RBX1-EP300. PMID: 22936669
- Overexpression of RBX1 protein contributes to tumor progression and poor prognosis of non-muscle-invasive bladder cancer (NMIBC). PMID: 23609182
- ROC1 knockdown significantly inhibited the growth of liver cancer cells by sequentially and independently inducing autophagy and p21-dependent cell senescence. PMID: 22935614
- a model by which N-terminal cleavage of RBX1 impairs its activity and promotes susceptibility to ER stress induction. PMID: 22822056
- Structural and biochemical analyses reveal that GLMN adopts a HEAT-like repeat fold that tightly binds the E2-interacting surface of RBX1, inhibiting CRL-mediated chain formation by the E2 CDC34. PMID: 22748924
- Numb regulates glioma stem cell fate and growth by altering epidermal growth factor receptor and Skp1-Cullin-F-box ubiquitin ligase activity PMID: 22553175
- Glomulin binds Rbx1 and regulates cullin-1 RING ligase-mediated turnover of Fbw7. PMID: 22405651
- the SCF complex (Skp1/Cul1/F-box protein/Roc1) intervenes in the surveillance of Cdh1 cellular abundance in S-phase PMID: 16123585
- Results indicate that FBW5-DDB1-CUL4-ROC1 is an E3 ubiquitin ligase regulating TSC2 protein stability and TSC complex turnover. PMID: 18381890
- Data show that REDD1 is subject to ubiquitin-mediated degradation mediated by the CUL4A-DDB1-ROC1-beta-TRCP E3 ligase complex and through the activity of glycogen synthase kinase 3beta. PMID: 19557001
- KLHL20-Cul3-ROC1 is an E3 ligase for DAPK ubiquitination PMID: 20389280
- A new conformation of RBX1 involved in the e2-to-substrate ubiquitin-like protein transfer is discussed. PMID: 21765416
- ROC1 expression is negatively correlated with cyclin D1 expression, demonstrating its importance in the degradation of cyclin D1 in melanomas. PMID: 21300445
- in human cancer cells, RBX1 silencing causes the accumulation of DNA replication licensing proteins CDT1 and ORC1, leading to DNA double-strand breaks, DDR, G(2) arrest, and, eventually, aneuploidy PMID: 21115485
- Data show that CRN7 interacted with Cullin1 and Roc1 to form a novel SCF-like E3 complex. PMID: 21130766
- Nrf2 regulates Cul3-Rbx1 by controlling regulation of expression and induction of Cul3-Rbx1 PMID: 20452971
- The data suggest that RBX1 could potentially be developed into biomarkers of resistance to acyl sulfonamide-based cancer drugs. This will require clinical validation in a series of patients treated with R3200. PMID: 19723642
- crystal structure of the Cul1-Rbx1-Skp1-F boxSkp2 SCF complex PMID: 11961546
- findings report that HIV-1 Vif interacts with cellular proteins Cul5, elongins B and C, and Rbx1 to form an Skp1-cullin-F-box (SCF)-like complex PMID: 14564014
- DET1 promotes ubiquitination and degradation of c-Jun by assembling a multisubunit ubiquitin ligase containing DNA Damage Binding Protein-1 (DDB1), cullin 4A (CUL4A), Regulator of Cullins-1 (ROC1), and constitutively photomorphogenic-1 PMID: 14739464
- Keap1 negatively regulates Nrf2 function in part by targeting Nrf2 for ubiquitination by the CUL3-ROC1 ligase and subsequent degradation by the proteasome PMID: 15601839
- This study uncovers CUL4-DDB-ROC1 as a histone ubiquitin ligase and demonstrate that histone H3 and H4 ubiquitylation participates in the cellular response to DNA damage. PMID: 16678110
- ROC1 protein binds to the proinactive form of pro-caspase 3 and shortens the half life of the enzyme. PMID: 17217622
- VprBP depletion abolished the in vivo interaction of Merlin and Roc1-Cullin4A-DDB1, which resulted in Merlin stabilization and inhibited ERK and Rac activation PMID: 18332868
- CUL1 ECTD (extreme C-terminal domain; spanning the C-terminal 50 amino acids), did not contribute to CUL1's stable association with ROC1. PMID: 18723677
- SCCRO recruits Ubc12 approximately NEDD8 to the CAND1-Cul1-ROC1 complex but that this is not sufficient to dissociate or overcome the inhibitory effects of CAND1 on cullin neddylation PMID: 18826954
- ROC1 silencing triggers multiple death and growth arrest pathways to effectively suppress tumor cell growth, suggesting that ROC1 may serve as a potential anticancer target PMID: 19509229
顯示更多
收起更多
-
亞細胞定位:Cytoplasm. Nucleus.
-
蛋白家族:RING-box family
-
組織特異性:Widely expressed.
-
數據庫鏈接:
Most popular with customers
-
-
YWHAB Recombinant Monoclonal Antibody
Applications: ELISA, WB, IHC, IF, FC
Species Reactivity: Human, Mouse, Rat
-
Phospho-YAP1 (S127) Recombinant Monoclonal Antibody
Applications: ELISA, WB, IHC
Species Reactivity: Human
-
-
-
-
-















