RAPGEF4 Antibody
-
中文名稱:RAPGEF4兔多克隆抗體
-
貨號:CSB-PA820189ESR1HU
-
規格:¥440
-
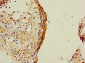
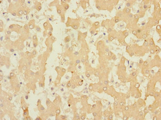
圖片:
-
其他:
產品詳情
-
產品名稱:Rabbit anti-Homo sapiens (Human) RAPGEF4 Polyclonal antibody
-
Uniprot No.:
-
基因名:
-
別名:CAMP GEFII antibody; cAMP regulated guanine nucleotide exchange factor II antibody; cAMP-GEFII antibody; cAMP-regulated guanine nucleotide exchange factor II antibody; CAMPGEFII antibody; CGEF 2 antibody; CGEF2 antibody; Epac 2 antibody; EPAC2 antibody; Exchange factor directly activated by cAMP 2 antibody; Exchange protein directly activated by cAMP 2 antibody; Nbla00496 antibody; Putative protein product of Nbla00496 antibody; Rap guanine nucleotide exchange factor (GEF) 4 antibody; Rap guanine nucleotide exchange factor 4 antibody; RAPGEF 4 antibody; Rapgef4 antibody; RPGF4_HUMAN antibody
-
宿主:Rabbit
-
反應種屬:Human
-
免疫原:Recombinant Human Rap guanine nucleotide exchange factor 4 protein (1-210AA)
-
免疫原種屬:Homo sapiens (Human)
-
標記方式:Non-conjugated
-
克隆類型:Polyclonal
-
抗體亞型:IgG
-
純化方式:Antigen Affinity Purified
-
濃度:It differs from different batches. Please contact us to confirm it.
-
保存緩沖液:PBS with 0.02% sodium azide, 50% glycerol, pH7.3.
-
產品提供形式:Liquid
-
應用范圍:ELISA, IHC
-
推薦稀釋比:
Application Recommended Dilution IHC 1:20-1:200 -
Protocols:
-
儲存條件:Upon receipt, store at -20°C or -80°C. Avoid repeated freeze.
-
貨期:Basically, we can dispatch the products out in 1-3 working days after receiving your orders. Delivery time maybe differs from different purchasing way or location, please kindly consult your local distributors for specific delivery time.
-
用途:For Research Use Only. Not for use in diagnostic or therapeutic procedures.
相關產品
靶點詳情
-
功能:Guanine nucleotide exchange factor (GEF) for RAP1A, RAP1B and RAP2A small GTPases that is activated by binding cAMP. Seems not to activate RAB3A. Involved in cAMP-dependent, PKA-independent exocytosis through interaction with RIMS2.
-
基因功能參考文獻:
- Study identifies Epac2-Rap1 signaling as a novel feedback mechanism in the heart, which controls mitochondrial reactive oxygen species production. PMID: 27649969
- rs17746510, one of the three single-nucleotide polymorphisms (SNPs) in RAPGEF4 associated with cognitive decline in Chinese Alzheimer's disease (AD) patients, was significantly correlated with apathy and mood disturbance PMID: 27598965
- Data show that Epac2 is activated by cAMP and changes its structure. It is involved in cAMP-mediated signal transduction through activation of the Ras-like small GTPase and is expressed mainly in brain, neuroendocrine and endocrine tissues. [review] PMID: 26390815
- CALR regulated by EPAC2 in endometrial glandular epithelial cells is critical for the expression of LIF and PTGS2-mediated production of PGE2 through cAMP signaling. PMID: 25378661
- Follow-up replication analyses in up to an additional 21,345 participants identified three new fasting plasma glucose loci reaching genome-wide significance in or near PDK1-RAPGEF4, KANK1, and IGF1R. PMID: 25187374
- EPAC2-mediated CRT expression is essential for the functional and morphological differentiation of endometrial stromal cells into decidual cells PMID: 24169561
- Mechanism of intracellular cAMP sensor Epac2 activation: cAMP-induced conformational changes identified by amide hydrogen/deuterium exchange mass spectrometry PMID: 21454623
- An important time-limited role is identified for hippocampal Epac2 signaling in cognition, opening new avenues to investigate the molecular mechanisms underlying memory retrieval. PMID: 19739231
- Epac2 & Epac1 signaling pathways may be associated with cAMP-mediated functional differentiation and syncytialization of trophoblasts. Expression of Epac2 & Epac 1 in placenta at different stages was investigated. PMID: 20663796
- Studies demonstrate the occurrence of the EPAC2 splicing variant EPAC2B in adrenocortical cancer cells and reveal the involvement of EPAC2B in cAMP-induced effects on cytoskeleton integrity and cell migration. PMID: 20233795
- Mutations in the hinge of Epac can uncouple cAMP binding from its exchange activity. PMID: 12469113
- variants were present in five families, where they segregate with the autistic phenotype. PMID: 14593429
- Epac2 signaling plays a stimulatory role in pancreatic and intestinal endocrine cells, including proglucagon transcription and glucagon and GLP-1 production. PMID: 18854429
- Substitution of the conserved phenylalanine 435 with glycine facilitates the hinge bending and leads to a constitutively active Epac2 capable of stimulating nucleotide exchange in the absence of cAMP. PMID: 19553663
顯示更多
收起更多
-
亞細胞定位:Cytoplasm. Membrane; Peripheral membrane protein.
-
組織特異性:Predominantly expressed in brain and adrenal gland. Isoform 2 is expressed in liver. Isoform 1 is expressed in liver at very low levels.
-
數據庫鏈接:
Most popular with customers
-
-
YWHAB Recombinant Monoclonal Antibody
Applications: ELISA, WB, IHC, IF, FC
Species Reactivity: Human, Mouse, Rat
-
Phospho-YAP1 (S127) Recombinant Monoclonal Antibody
Applications: ELISA, WB, IHC
Species Reactivity: Human
-
-
-
-
-















