RAN Antibody
-
中文名稱:RAN兔多克隆抗體
-
貨號:CSB-PA122817
-
規格:¥1100
-
圖片:
-
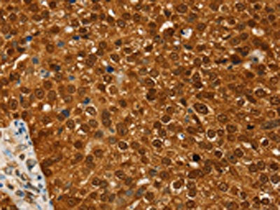
The image on the left is immunohistochemistry of paraffin-embedded Human breast cancer tissue using CSB-PA122817(RAN Antibody) at dilution 1/20, on the right is treated with fusion protein. (Original magnification: ×200)
-
The image on the left is immunohistochemistry of paraffin-embedded Human ovarian cancer tissue using CSB-PA122817(RAN Antibody) at dilution 1/20, on the right is treated with fusion protein. (Original magnification: ×200)
-
Gel: 12%SDS-PAGE,Lysate: 40 μg,Lane 1-3: Hela cells, Jurkat cells, Mouse kidney tissue,Primary antibody: CSB-PA122817(RAN Antibody) at dilution 1/200 dilution,Secondary antibody: Goat anti rabbit IgG at 1/8000 dilution,Exposure time: 30 seconds
-
-
其他:
產品詳情
-
Uniprot No.:
-
基因名:RAN
-
別名:Androgen receptor associated protein 24 antibody; Androgen receptor-associated protein 24 antibody; ARA 24 antibody; ARA24 antibody; Gsp1 antibody; GTP binding nuclear protein RAN antibody; GTP-binding nuclear protein Ran antibody; GTPase Ran antibody; Guanosine triphosphatase Ran antibody; LPS antibody; OK/SW-cl.81 antibody; ran antibody; RAN member RAS oncogene family antibody; RAN_HUMAN antibody; RanGTPase antibody; Ras like protein TC4 antibody; Ras related nuclear protein antibody; Ras-like protein TC4 antibody; Ras-related nuclear protein antibody; RASL2 8 antibody; TC 4 antibody; TC4 antibody
-
宿主:Rabbit
-
反應種屬:Human,Mouse,Rat
-
免疫原:Full length fusion protein
-
免疫原種屬:Homo sapiens (Human)
-
標記方式:Non-conjugated
-
抗體亞型:IgG
-
純化方式:Antigen affinity purification
-
濃度:It differs from different batches. Please contact us to confirm it.
-
保存緩沖液:-20°C, pH7.4 PBS, 0.05% NaN3, 40% Glycerol
-
產品提供形式:Liquid
-
應用范圍:ELISA,WB,IHC
-
推薦稀釋比:
Application Recommended Dilution ELISA 1:2000-1:5000 WB 1:500-1:2000 IHC 1:30-1:150 -
Protocols:
-
儲存條件:Upon receipt, store at -20°C or -80°C. Avoid repeated freeze.
-
貨期:Basically, we can dispatch the products out in 1-3 working days after receiving your orders. Delivery time maybe differs from different purchasing way or location, please kindly consult your local distributors for specific delivery time.
-
用途:For Research Use Only. Not for use in diagnostic or therapeutic procedures.
相關產品
靶點詳情
-
功能:GTPase involved in nucleocytoplasmic transport, participating both to the import and the export from the nucleus of proteins and RNAs. Switches between a cytoplasmic GDP- and a nuclear GTP-bound state by nucleotide exchange and GTP hydrolysis. Nuclear import receptors such as importin beta bind their substrates only in the absence of GTP-bound RAN and release them upon direct interaction with GTP-bound RAN, while export receptors behave in the opposite way. Thereby, RAN controls cargo loading and release by transport receptors in the proper compartment and ensures the directionality of the transport. Interaction with RANBP1 induces a conformation change in the complex formed by XPO1 and RAN that triggers the release of the nuclear export signal of cargo proteins. RAN (GTP-bound form) triggers microtubule assembly at mitotic chromosomes and is required for normal mitotic spindle assembly and chromosome segregation. Required for normal progress through mitosis. The complex with BIRC5/survivin plays a role in mitotic spindle formation by serving as a physical scaffold to help deliver the RAN effector molecule TPX2 to microtubules. Acts as a negative regulator of the kinase activity of VRK1 and VRK2. Enhances AR-mediated transactivation. Transactivation decreases as the poly-Gln length within AR increases.
-
基因功能參考文獻:
- DICER rs3742330 AG+GG genotype was associated with more advanced T stage compared to AA genotype ( P=0.009). More patients with XPO5 rs2257082 CC genotype had poorly differentiated tumors compared with CT+TT genotype carriers..), carriers of RAN rs14035 CC genotype had higher three-year OS rate than carriers of CT+TT genotype (adjusted HR 3.174; 95% CI 1.010, 9.973; P=0.048). PMID: 29683064
- Taken together, the results provide strong in vitro evidence of the involvement of Ran in the progression of breast cancer and suggest that it could have high potential as a therapeutic target and/or marker of disease. PMID: 29750309
- Molecular structure of the exportin Xpo4 in complex with RanGTP and the hypusine-containing translation factor eIF5A has been reported. PMID: 27306458
- The mobility of Emerin depends on RanGTP. In cells overexpressing YFP-Emerin, the mobility of YFP-Emerin was higher in Samp1 knock out cells and lower in cells overexpressing Samp1, suggesting that Samp1 significantly attenuates the mobility of Emerin in the nuclear envelope.The affinity between Samp1 and Emerin is decreased in the presence of Ran, suggesting that Ran attenuates the interaction between Samp1 and Emerin. PMID: 29510091
- KPNB1 and Ran protein jointly mediated the nuclear import of NDV M protein, showing that KPNB1 protein interacted with NDV M protein to form binary complex and then entered into the nucleus with the assistance of Ran protein. PMID: 29746765
- Ran GTPase promotes cancer progression via Met recepto-rmediated downstream signaling PMID: 27716616
- Data show that the distribution of components of the ras-related nuclear protein (Ran) pathway that influence microtubule behaviors is determined by their interactions with microtubules, resulting in microtubule nucleators being localized by the microtubules whose formation they stimulate. PMID: 27439876
- The RAS-related nuclear protein ((P) ran), breast cancer metastasis suppressor 1 ((P) brms1) and minichromosome maintenance complex component 5 ((P) mcm5) promoters have the specificity and strength needed for cancer-specific expression-targeted gene therapy. PMID: 27140445
- Authors found that decreasing Ran-GTP levels or tethering active Ran to the equatorial membrane affects anillin's localization and causes cytokinesis phenotypes. PMID: 28931593
- lysine-acetylation regulates nearly all aspects of Ran-function such as RCC1 catalyzed nucleotide exchange, intrinsic nucleotide hydrolysis, its interaction with NTF2 and the formation of import- and export-complexes. PMID: 26507377
- These results showed that BLM enters the nucleus via the importin beta1, RanGDP and NTF2 dependent pathway, demonstrating for the first time the nuclear trafficking mechanism of a DNA helicase. PMID: 29017749
- RAN Translation Regulated by Muscleblind Proteins in Myotonic Dystrophy Type 2 PMID: 28910618
- we demonstrated that DICER (rs3742330) and RAN (rs14035) were associated with the survival of HCC patients PMID: 27611467
- RAN translation from antisense CCG repeats generates novel proteins that accumulate in ubiquitinated inclusions in Fragile X-associated tremor/ataxia syndrome patients. PMID: 27761921
- interaction of Samp1 and Ran in the inner nuclear membrane PMID: 27541860
- RAN role in cell cycle, DNA repair and DNA damage-induced cell senescence PMID: 26864624
- Binding of Ran to NTF2 is required for NTF2 to inhibit nuclear expansion and import of large cargo molecules. PMID: 26823604
- RAN is pivotal in linking spatiotemporal control of centrosome regulators to the cell cycle machinery. PMID: 26725228
- FGF2 nuclear translocation is regulated by Karyopherin-beta2 and Ran GTPase in human glioblastoma cells PMID: 26056081
- Enterovirus 71-induced downregulation of miR-197 expression increased the expression of RAN, which supported the nuclear transport of the essential viral proteins 3D/3CD and host protein hnRNP K for viral replication. PMID: 26581983
- Inter-cellular transport of ran GTPase PMID: 25894517
- Variations in RAN rs14035of Korean patients are significantly associated with their risk of colorectal cancer. PMID: 26147304
- Data show that RNA-binding protein LIN28B coordinates the expression of the oncogene RAN protein and aurora A kinase (AURKA) in neuroblastoma. PMID: 26481147
- Elevated metaphase RanGTP levels use Ubr5 to couple overall chromosome congression to SAC silencing. PMID: 26438829
- Data show that importin-beta (impbeta) alters the nuclear pore's permeability in a Ran-dependent manner, suggesting that impbeta is a functional component of the nuclear pore complex (NPC). PMID: 25748139
- RAN nucleo-cytoplasmic transport and mitotic spindle assembly partners XPO7 and TPX2 have roles in serous epithelial ovarian cancer PMID: 24625450
- comparison of the GTPase reaction of the slower hydrolyzing GTPase Ran with Ras PMID: 26272610
- Ran silencing did not affect the A375 invasive capability, while it was enhanced in 526 cells, suggesting that Ran knockdown, by AurkA down-regulation, resulted in a Ran-independent enhanced melanoma cell invasion. PMID: 25444926
- stress can disrupt the Ran gradients through RCC1-dependent and RCC1-independent mechanisms PMID: 25452301
- based on the new structures suggests LM phosphorylation status may mediate Ran's selection of exportin(s) and cargo(s), perverting these native trafficking elements into the lethal antihost Nup phosphorylation pathways. PMID: 25331866
- PI3Kbeta regulates the nuclear envelope through upstream regulation of RCC1 and Ran PMID: 25348717
- Towards understanding its molecular mechanism, a 2.9 A resolution crystal structure of human TRN-SR2 complexed with the small GTPase Ran has been determined PMID: 24915079
- Association between recurrent pregnancy loss development and the polymorphism of the miRNA machinery gene RAN and combined genotype of DROSHA/DICER. PMID: 24769857
- reducing the nuclear concentration of Ran is sufficient to induce reactive oxygen species irrespective of progerin. PMID: 24523287
- Our findings emphasize the important role of Ran in differentiation, disease stage, and metastasis in human colorectal cancer PMID: 22956174
- our data suggest a model for mitotic spindle positioning in which RanGTP and CLASP1 cooperate to align the spindle along the long axis of the dividing cell. PMID: 23783028
- Thioredoxin-like protein 2 is overexpressed in colon cancer and promotes cancer cell metastasis by interaction with ran. PMID: 23311631
- MiR-203 may act as novel tumor suppressor in esophageal cancer through down-regulating the expression of Ran and miR-21. PMID: 24001611
- Polymorphism in RAN gene is associated with HBV-related hepatocellular carcinoma PMID: 23868705
- a model wherein one monomer of TRN-SR2 is bound to one monomer of RanGTP. PMID: 23878195
- Overexpressed Ran in pancreatic cancer tissues was found highly correlated with the histological grade. Downregulation of Ran led to significant suppression of cell proliferation, cell cycle arrest at the G1/S phase and induction of apoptosis. PMID: 24076388
- Data show that five genes CKAP5, KPNB1, RAN, TPX2 and KIF11 were shown to be essential for tumor cell survival in both head and neck squamous cell carcinoma (HNSCC)and non-small cell lung cancer (NSCLC), but most particularly in HNSCC. PMID: 23444224
- Therefore, the Encephalomyocarditis virus leader protein:Ran GTPase binding, mediated by the linker-hinge, is a required step in the leader protein-induced nuclear transport inhibition. PMID: 23711384
- RCC1 facilitates a tight binding between the encephalomyocarditis virus leader and cellular Ran GTPase. PMID: 23536659
- Reduced RAN expression and disrupted transport between cytoplasm and nucleus are the key events in Alzheimer's disease pathophysiology. PMID: 23308199
- Reduction in Ran levels causes cytoplasmic decrease and nuclear accumulation of importin alpha leading to cellular senescence in normal cells. PMID: 23160023
- Results suggest that Ran is required for and is a potential therapeutic target of Myc-driven cancer progression in both breast and lung cancers. PMID: 23468463
- RanBPM loss of expression results in constitutive activation of the ERK pathway and promotes cellular events leading to cellular transformation and tumorigenesis. PMID: 23118896
- The increased expression of Ran in lung squamous cell carcinoma might be correlated with carcinogenesis. PMID: 21033436
- a novel connection between the hyper-activation of the small GTPase Ran and the matricellular protein SMOC-2 that has important consequences for oncogenic transformation. PMID: 22679017
顯示更多
收起更多
-
亞細胞定位:Nucleus. Nucleus envelope. Cytoplasm, cytosol. Cytoplasm. Melanosome.
-
蛋白家族:Small GTPase superfamily, Ran family
-
組織特異性:Expressed in a variety of tissues.
-
數據庫鏈接:
Most popular with customers
-
-
YWHAB Recombinant Monoclonal Antibody
Applications: ELISA, WB, IHC, IF, FC
Species Reactivity: Human, Mouse, Rat
-
Phospho-YAP1 (S127) Recombinant Monoclonal Antibody
Applications: ELISA, WB, IHC
Species Reactivity: Human
-
-
-
-
-















