-
中文名稱:RAMP1兔多克隆抗體
-
貨號:CSB-PA995687
-
規格:¥1100
-
圖片:
-
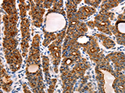
The image on the left is immunohistochemistry of paraffin-embedded Human thyroid cancer tissue using CSB-PA995687(RAMP1 Antibody) at dilution 1/10, on the right is treated with fusion protein. (Original magnification: ×200)
-
Gel: 12%SDS-PAGE, Lysate: 40 μg, Lane: Mouse testis tissue, Primary antibody: CSB-PA995687(RAMP1 Antibody) at dilution 1/200, Secondary antibody: Goat anti rabbit IgG at 1/8000 dilution, Exposure time: 10 minutes
-
-
其他:
產品詳情
-
Uniprot No.:
-
基因名:
-
別名:RAMP1; Receptor activity-modifying protein 1; Calcitonin-receptor-like receptor activity-modifying protein 1; CRLR activity-modifying protein 1
-
宿主:Rabbit
-
反應種屬:Human,Mouse
-
免疫原:Fusion protein of Human RAMP1
-
免疫原種屬:Homo sapiens (Human)
-
標記方式:Non-conjugated
-
抗體亞型:IgG
-
純化方式:Antigen affinity purification
-
濃度:It differs from different batches. Please contact us to confirm it.
-
保存緩沖液:-20°C, pH7.4 PBS, 0.05% NaN3, 40% Glycerol
-
產品提供形式:Liquid
-
應用范圍:ELISA,WB,IHC
-
推薦稀釋比:
Application Recommended Dilution ELISA 1:1000-1:2000 WB 1:200-1:1000 IHC 1:10-1:50 -
Protocols:
-
儲存條件:Upon receipt, store at -20°C or -80°C. Avoid repeated freeze.
-
貨期:Basically, we can dispatch the products out in 1-3 working days after receiving your orders. Delivery time maybe differs from different purchasing way or location, please kindly consult your local distributors for specific delivery time.
-
用途:For Research Use Only. Not for use in diagnostic or therapeutic procedures.
相關產品
靶點詳情
-
功能:Transports the calcitonin gene-related peptide type 1 receptor (CALCRL) to the plasma membrane. Acts as a receptor for calcitonin-gene-related peptide (CGRP) together with CALCRL.
-
基因功能參考文獻:
- T-A-T RAMP1 gene haplotype might have utility as a genetic marker for Essential Hypertension and that the RAMP1 gene may be associated with increased susceptibility to Essential Hypertension in a Japanese population. PMID: 28181496
- Evidence that DNA methylation at RAMP1 gene promoter plays a role in migraine was described. PMID: 26501962
- RAMP1 rs7590387 has a role in the transformation of episodic migraine into medication overuse headache. PMID: 25881990
- A novel functional role for RAMP1 in regulation of CaSR signalling in addition to its known role in receptor trafficking, is reported. PMID: 24454825
- multiple NKX3.1 binding sites were found in the RAMP1 locus in human prostate cancer cells and in the normal mouse prostate. PMID: 23867798
- RAMP1 overexpression enhances the promoting effect that exogenous CGRP has on osteogenic differentiation PMID: 22949393
- No significant association of the tested SNPs of the RAMP1 gene were found with migraine susceptibility. PMID: 23237777
- CLR and RAMP1 co-localize in the enteric nervous system of human stomach, ileum, and colon, and are in close proximity to their ligands CGRP and IMD PMID: 22484227
- The present finding demonstrated that RAMP1 immunoreactivity was localized in many neurons and phenopalatine ganglion. PMID: 22208649
- lower expression in bronchial biopsies from subjects with asthma PMID: 20933260
- The T-A-C haplotype is a genetic marker for cerebral infarction, and RAMP1 is associated with increased susceptibility to cerebral infarction. PMID: 19710695
- These data for the first time pinpoint a specific RAMP1 residue important for both antagonist and agonist potency and are consistent with the N-terminal domain of RAMP1 forming the binding pocket interface with calcitonin receptor-like receptor. PMID: 20188075
- RAMP1 overexpression attenuates Ang-II-induced hypertension and induces a protective change in cardiovascular autonomic regulation PMID: 20100989
- Co-expression of RAMP1 and CRLR reconstituted a CGRP receptor that was able to activate the pheromone-signaling pathway with pharmacological properties similar to those observed previously in mammalian cells. PMID: 11733510
- Receptor activity-modifying protein 1 determines the species selectivity of non-peptide CGRP receptor antagonists. PMID: 11847213
- The extracellular domain of receptor activity-modifying protein 1 is sufficient for calcitonin receptor-like receptor function PMID: 12574158
- identification of domains responsible for agonist binding specificity PMID: 12684503
- TNF-alpha induced time- and dose-dependent decreases in the expression of RAMP1 mRNA in cultured human coronary artery smooth muscle cells, thereby diminishing AM-evoked cAMP production PMID: 15245870
- calcitonin receptor-like receptor heterodimer with RAMP1 yields a calcitonin gene-related peptide receptor PMID: 15613468
- RAMP1 interacts with tubulin. PMID: 17493758
- Functional calcitonin gene-related peptide receptors are formed by the asymmetric assembly of a calcitonin receptor-like receptor and RAMP1. PMID: 17785463
- We did not observe any difference in mRNA for CL-R and RAMPs in arteries from patients with hemorrhagic stroke, arteriosclerosis and acute myocardial infarction when compared to patients without these diagnoses PMID: 18198792
- RAMP1 may be strongly considered as a candidate gene for migraine. PMID: 18240900
- Identification of RAMP1 residues important for calcitonin gene-related peptide are reported. PMID: 18593822
- the crystal structure of the extracellular domain of human RAMP1 at 2.4 A resolution was determined. PMID: 18725456
顯示更多
收起更多
-
亞細胞定位:Membrane; Single-pass type I membrane protein.
-
蛋白家族:RAMP family
-
組織特異性:Expressed in many tissues including the uterus, bladder, brain, pancreas and gastro-intestinal tract.
-
數據庫鏈接:
Most popular with customers
-
-
YWHAB Recombinant Monoclonal Antibody
Applications: ELISA, WB, IHC, IF, FC
Species Reactivity: Human, Mouse, Rat
-
Phospho-YAP1 (S127) Recombinant Monoclonal Antibody
Applications: ELISA, WB, IHC
Species Reactivity: Human
-
-
-
-
-















