RALA Antibody
-
中文名稱:RALA兔多克隆抗體
-
貨號:CSB-PA230308
-
規格:¥1100
-
圖片:
-
The image on the left is immunohistochemistry of paraffin-embedded Human brain tissue using CSB-PA230308(RalA Antibody) at dilution 1/20, on the right is treated with synthetic peptide. (Original magnification: ×200)
-
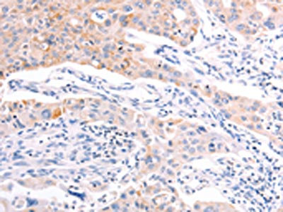
The image on the left is immunohistochemistry of paraffin-embedded Human lung cancer tissue using CSB-PA230308(RalA Antibody) at dilution 1/20, on the right is treated with synthetic peptide. (Original magnification: ×200)
-
Gel: 8%SDS-PAGE,Lysate: 40 μg,,Primary antibody: CSB-PA230308(RalA Antibody) at dilution 1/200 dilution,Secondary antibody: Goat anti rabbit IgG at 1/8000 dilution,Exposure time: 2 minutes
-
-
其他:
產品詳情
-
Uniprot No.:
-
基因名:
-
別名:MGC48949 antibody; Ral a antibody; Ral A protein antibody; RAL antibody; RALA antibody; RALA_HUMAN antibody; Ras family small GTP binding protein RALA antibody; RAS like protein A antibody; Ras related protein RalA antibody; Ras-related protein Ral-A antibody; v ral simian leukemia viral oncogene homolog A (ras related) antibody; v ral simian leukemia viral oncogene homolog A antibody
-
宿主:Rabbit
-
反應種屬:Human,Mouse,Rat
-
免疫原:Synthetic peptide of Human RalA
-
免疫原種屬:Homo sapiens (Human)
-
標記方式:Non-conjugated
-
抗體亞型:IgG
-
純化方式:Antigen affinity purification
-
濃度:It differs from different batches. Please contact us to confirm it.
-
保存緩沖液:-20°C, pH7.4 PBS, 0.05% NaN3, 40% Glycerol
-
產品提供形式:Liquid
-
應用范圍:ELISA,WB,IHC
-
推薦稀釋比:
Application Recommended Dilution ELISA 1:1000-1:2000 WB 1:200-1:1000 IHC 1:15-1:50 -
Protocols:
-
儲存條件:Upon receipt, store at -20°C or -80°C. Avoid repeated freeze.
-
貨期:Basically, we can dispatch the products out in 1-3 working days after receiving your orders. Delivery time maybe differs from different purchasing way or location, please kindly consult your local distributors for specific delivery time.
-
用途:For Research Use Only. Not for use in diagnostic or therapeutic procedures.
相關產品
靶點詳情
-
功能:Multifunctional GTPase involved in a variety of cellular processes including gene expression, cell migration, cell proliferation, oncogenic transformation and membrane trafficking. Accomplishes its multiple functions by interacting with distinct downstream effectors. Acts as a GTP sensor for GTP-dependent exocytosis of dense core vesicles. The RALA-exocyst complex regulates integrin-dependent membrane raft exocytosis and growth signaling. Key regulator of LPAR1 signaling and competes with GRK2 for binding to LPAR1 thus affecting the signaling properties of the receptor. Required for anchorage-independent proliferation of transformed cells. During mitosis, supports the stabilization and elongation of the intracellular bridge between dividing cells. Cooperates with EXOC2 to recruit other components of the exocyst to the early midbody. During mitosis, also controls mitochondrial fission by recruiting to the mitochondrion RALBP1, which mediates the phosphorylation and activation of DNM1L by the mitotic kinase cyclin B-CDK1.
-
基因功能參考文獻:
- In fact the overexpression of RalGPS2 or of its PH-domain increased markedly the number and the length of nanotubes, while the knock-down of RalGPS2 caused a strong reduction of these structures. Moreover, using a series of RalA mutants impaired in the interaction with different downstream components (Sec5, Exo84, RalBP1) we demonstrated that the interaction of RalA with Sec5 is required for TNTs formation PMID: 29208460
- Study explored the function of RalA in regulating the localization of AQP3 in androgenindependent prostate cancer and demonstrated that depletion of RalA led to the redistribution of AQP3 into the plasma membrane. PMID: 29532894
- Data show that ras related GTP binding protein A (Ral A) is necessary for 1-O-Hexadecyl-2-O-methyl-rac-glycerol (HMG)-mediated M phase arrest and induction of apoptosis in Nf1-deficient cells. PMID: 27741517
- High RalA expression is associated with chronic myelogenous leukemia. PMID: 26967392
- This study demonstrated that RalA is overactivated in medulloblastoma. PMID: 27566179
- Study shows the additional benefits of anti-RalA autoantibody as a potential serological biomarker for prostate cancer (PCa), particularly in patients with normal PSA, and further demonstrate the utility of biomarker combinations in the immunodiagnosis of PCa. PMID: 27286458
- This study identifies a novel regulatory crosstalk between Ral and Arf6 that controls Ral function in cells. PMID: 27269287
- Lowering the level of cellular FLNA caused an elevation in RalA activity and resulted in selective interference with the normal intracellular trafficking and signaling of the D2R and D3R, through GRK2 and beta-arrestins, respectively. Active RalA was found to interact with GRK2 to sequester it from D2R. Knockdown of FLNA or coexpression of active RalA prevented D3R from coupling with G protein. PMID: 27188791
- results suggest that the small GTPase RalA plays an important role in promoting invagination and trafficking of caveolae, not by potentiating the association between Cav-1 and FilA but by stimulating PLD2-mediated generation of phosphatidic acid. PMID: 27510034
- agonist-induced Gbetagamma-mediated conversion of RalA from the GTP-bound form to the GDP-bound form could be a mechanism to facilitate agonist-induced internalization of GPCRs. PMID: 26477566
- RCC2 exhibits guanine exchange factor activity, in vitro and in cells, for the small GTPase RalA. RCC2 and RalA apparently work together to contribute to the regulation of kinetochore-microtubule interactions in early mitosis. PMID: 26158537
- striking isoform-specific consequences of distinct CAAX-signaled posttranslational modifications that contribute to the divergent subcellular localization and activity of RalA and RalB. PMID: 26216878
- expression of K-Ras and RalB and possibly RalA proteins is critical for maintaining low levels of p53, and down-regulation of these GTPases reactivates p53 by significantly enhancing its stability, contributing to suppression of malignant transformation PMID: 25210032
- These results indicate that MLN8237 treatment may be effective for a subset of patients with PDAC independent of RalA S194 phosphorylation PMID: 24222664
- microRNA-140 targets RALA and regulates chondrogenic differentiation of human mesenchymal stem cells by translational enhancement of SOX9 and ACAN. PMID: 24063364
- RalA and RalB exhibit both distinct and redundant roles in tumorigenesis (Review). PMID: 23830877
- The study found upregulated RalA and RalB activation in colorectal cancer tumor cell lines and tumors. PMID: 22790202
- We identified interactions between RalA and its effectors sec5 and exo84 in the Exocyst complex as directly necessary for migration and invasion of prostate cancer tumor cells. PMID: 22761837
- the existence of an ubiquitination/de-ubiquitination cycle superimposed on the GDP/GTP cycle of RalA, involved in the regulation of RalA activity as well as in membrane raft trafficking. PMID: 22700969
- RalA and RalB differentially regulate development of epithelial tight junctions. PMID: 22013078
- This study detected RALA level in Chronic myelogenous leukemia cells, which is highly expressed and distributed mainly in the cytoplasm and/or partially in endomembrane. PMID: 22330069
- RalA is directly regulated by miR-181a and plays an important role in CML. PMID: 22442671
- Data show that disrupting either RALA or RALBP1 leads to a loss of mitochondrial fission at mitosis, improper segregation of mitochondria during cytokinesis and a decrease in ATP levels and cell number. PMID: 21822277
- Our results identify a role for RalA and RalB in cell-mediated cytotoxicity PMID: 21810610
- conclude that the ability of hRgr to activate both Ral and Ras is responsible for its transformation-inducing phenotype and it could be an important contributor in the development of some T-cell malignancies PMID: 21441953
- The RalA was not only cytoprotective against multiple chemotherapeutic drugs, but also promigratory inducing stress fiber formation, which was accompanied by the activation of Akt and Erk pathways. PMID: 21645515
- RalA, the binding partner of PKC eta, is involved in not only the keratinocyte differentiation induced by PKCeta overexpression but also in normal keratinocyte differentiation induced by calcium and cholesterol sulfate. PMID: 21346190
- Correlation between RalA protein expression decrease and absence of regional metastases was revealed for squamous cell lung cancer. PMID: 21634118
- Ral is a critical regulator in PMN that specifically controls secondary granule release during PMN response to chemoattractant stimulation. PMID: 21282111
- studies suggest that the expression of RalBP1 is necessary for human cancer cell metastasis; show that the requirement for RalA expression for manifestation of this phenotype is not entirely dependent on a RalA-RalBP1 interaction PMID: 21170262
- RalA interaction with the Exo84 but not Sec5 exocyst component was necessary for supporting anchorage-independent growth, whereas RalB interaction with Sec5 but not Exo84 was necessary for inhibition of anchorage-independent growth PMID: 21199803
- RalA is activated by Salmonella infection in a SopE-dependent manner, and is required for exocyst assembly. PMID: 20579884
- Expression of the small GTPase RalA is required for angiotensin II type I receptor-stimulated inositol phosphate formation. PMID: 20018811
- Data show that conversion of Ras-expressing keratinocytes from a premalignant to malignant state induced by decreasing E-cadherin function was associated with and required an approximately two to threefold decrease in RalA expression. PMID: 19802010
- Aurora-A may converge upon oncogenic Ras signaling through RalA. PMID: 19901077
- differential binding of calmodulin by RalA and RalB PMID: 12034722
- RALA and RALB collaborate to maintain tumorigenicity through regulation of both proliferation and survival; RALA is dispensable for survival, but is required for anchorage-independent proliferation PMID: 12856001
- Protein kinase A-dependent activation of Ral regulates cAMP-mediated exocytosis of Weibel-Palade bodies in endothelial cells. PMID: 15130921
- crystal structure of Clostridium botulinum C3bot1 in complex with RalA (a GTPase of the Ras subfamily) and GDP at a resolution of 2.66 A PMID: 15809419
- the Ral-CaM complex defines a multifaceted regulatory mechanism for PLC-delta1 activation PMID: 15817490
- Activation of RalA signaling appears to be a critical step in Ras-induced transformation and tumorigenesis of human cells. PMID: 15950903
- androgen deprivation of human prostate carcinoma cells activates the small GTPase, RalA, a molecule important for human oncogenesis PMID: 16964283
- study concludes RalA function is critical to tumor initiation, while RalB is more important for tumor metastasis in the tested pancreatic carcinoma cell lines & argues for critical roles of Ral proteins during progression of Ras-driven pancreatic cancers PMID: 17174914
- Ral is activated upon BCR stimulation and mediates BCR-controlled activation of AP-1 and NFAT transcription factors. PMID: 17237388
- analysis of activation and differential expression of RalA and RalB in human bladder cancer PMID: 17606711
- These data extend understanding of the functional roles of the Ral pathway and begin to identify signaling pathways relevant for organ-specific metastasis. PMID: 17709381
- Data suggest that RalA and RalB are important, functionally distinct targets for GGTI-mediated tumor apoptosis and growth inhibition. PMID: 17875936
- RalA and RalB support mitotic progression through mobilization of the exocyst for two spatially and kinetically distinct steps of cytokinesis PMID: 18756269
- RalGDS and RalA act downstream of Rheb and RalA activation is a crucial step in nutrient-induced mTORC1 activation PMID: 18948269
- These results establish RalA and GRK2 as key regulators of LPA receptor signalling and demonstrate for the first time that LPA(1) activity facilitates the formation of a novel protein complex between these two proteins. PMID: 19306925
顯示更多
收起更多
-
亞細胞定位:Cell membrane; Lipid-anchor; Cytoplasmic side. Cleavage furrow. Midbody, Midbody ring. Mitochondrion.
-
蛋白家族:Small GTPase superfamily, Ras family
-
數據庫鏈接:
Most popular with customers
-
-
YWHAB Recombinant Monoclonal Antibody
Applications: ELISA, WB, IHC, IF, FC
Species Reactivity: Human, Mouse, Rat
-
Phospho-YAP1 (S127) Recombinant Monoclonal Antibody
Applications: ELISA, WB, IHC
Species Reactivity: Human
-
-
-
-
-















