RAC2 Antibody
-
中文名稱:RAC2兔多克隆抗體
-
貨號:CSB-PA019248LA01HU
-
規格:¥440
-
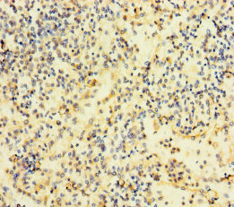
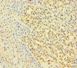
圖片:
-
其他:
產品詳情
-
產品名稱:Rabbit anti-Homo sapiens (Human) RAC2 Polyclonal antibody
-
Uniprot No.:
-
基因名:
-
別名:EN 7 antibody; EN-7 antibody; EN7 antibody; GX antibody; HSPC 022 antibody; HSPC022 antibody; p21 Rac 2 antibody; p21 Rac2 antibody; p21-Rac2 antibody; p21Rac2 antibody; RAC 2 antibody; Rac2 antibody; RAC2_HUMAN antibody; Ras related C3 botulinum toxin substrate 2 (rho family; small GTP binding protein Rac2 antibody; Ras related C3 botulinum toxin substrate 2 antibody; Ras related C3 botulinum toxin substrate 3 (rho family; small GTP binding protein Rac2) antibody; Ras related C3 botulinum toxin substrate 3 antibody; Ras-related C3 botulinum toxin substrate 2 antibody; Rho family small GTP binding protein Rac 2 antibody; Rho family small GTP binding protein Rac2 antibody; Small G protein antibody
-
宿主:Rabbit
-
反應種屬:Human
-
免疫原:Recombinant Human Ras-related C3 botulinum toxin substrate 2 protein (1-189AA)
-
免疫原種屬:Homo sapiens (Human)
-
標記方式:Non-conjugated
本頁面中的產品,RAC2 Antibody (CSB-PA019248LA01HU),的標記方式是Non-conjugated。對于RAC2 Antibody,我們還提供其他標記。見下表:
-
克隆類型:Polyclonal
-
抗體亞型:IgG
-
純化方式:>95%, Protein G purified
-
濃度:It differs from different batches. Please contact us to confirm it.
-
保存緩沖液:Preservative: 0.03% Proclin 300
Constituents: 50% Glycerol, 0.01M PBS, PH 7.4 -
產品提供形式:Liquid
-
應用范圍:ELISA, IHC
-
推薦稀釋比:
Application Recommended Dilution IHC 1:20-1:200 -
Protocols:
-
儲存條件:Upon receipt, store at -20°C or -80°C. Avoid repeated freeze.
-
貨期:Basically, we can dispatch the products out in 1-3 working days after receiving your orders. Delivery time maybe differs from different purchasing way or location, please kindly consult your local distributors for specific delivery time.
-
用途:For Research Use Only. Not for use in diagnostic or therapeutic procedures.
相關產品
靶點詳情
-
功能:Plasma membrane-associated small GTPase which cycles between an active GTP-bound and inactive GDP-bound state. In active state binds to a variety of effector proteins to regulate cellular responses, such as secretory processes, phagocytose of apoptotic cells and epithelial cell polarization. Augments the production of reactive oxygen species (ROS) by NADPH oxidase.
-
基因功能參考文獻:
- We found both the rs229527 allele within C1QTNF6 (odds ratio [OR] = 1.23, confidence interval [95% CI]: 1.12-1.33, pAllelic = 4.60 . 10-6) and the rs2284038 allele within RAC2 (OR = 1.10, 95% CI: 1.01-0.19, pAllelic = 3.00 . 10-2) showed significant associations with Graves' Disease susceptibility. PMID: 28665696
- P38 MAPK, phosphorylated P38 MAPK, and RAC2 regulated in mutual feedback and negative feedback regulatory pathways, resulting in the radioresistance of G0 cells. PMID: 27936335
- Rac2 to modulates the level of Rac1-dependent macrophage IL-1beta expression, which consequently determines extent of atherosclerotic calcification. PMID: 27834690
- R665W and L845F be referred to as allomorphic rather than hypermorphic mutations of PLCG2 Rerouting of the transmembrane signals emanating from BCR and converging on PLCgamma2 through Rac in ibrutinib-resistant CLL cells may provide novel drug treatment strategies to overcome ibrutinib resistance mediated by PLCG2 mutations or to prevent its development in ibrutinib-treated CLL patients. PMID: 27542411
- Study showed that RhoA/Rac2 participate in hepatocellular tumorigenesis through their upregulation by AFAP1-AS1. PMID: 26892468
- RAC2 specifically interacted with a set of mitochondrial proteins. PMID: 26016997
- our present analysis reinforces the involvement in ACT of the regulatory NADPH oxidase subunit RAC2 gene variant rs13058338 and, to a lesser extent of the CYBA gene variant rs4673. PMID: 25823784
- homozygous loss-of-function RAC2 mutation in 2 patients with early-onset and progressive hypogammaglobulinemia(novel homozygous nonsense mutation in codon 56 (W56X)of RAC2 gene) PMID: 25512081
- p47(phox) and Rac2 accumulate only transiently at the phagosome at the onset of NADPH activity and detach from the phagosome before the end of reactive oxygen species production. PMID: 23870057
- These studies imply functional importance of iNOS and its interaction with Rac2 in pathogen killing by the neutrophils. PMID: 23875749
- Mutations in hematopoiesis-specific Rho GTPases Rac2 and RhoH lead to a wide range of human blood disorders. (Review) PMID: 23850828
- This variant reduced binding of the NCF2 gene product p67(phox) to RAC2. This study found a novel genetic association of RAC2 with Crohn's disease (CD) and replicated the previously reported association of NCF4 with ileal CD. PMID: 21900546
- Rac2 GTPase alters mitochondrial membrane potential and electron flow through the mitochondrial respiratory chain complex III, generating high levels of reactive oxygen species in chronic-phase CML stem cells and primitive leukemia progenitor cells. PMID: 22411871
- data reinforce recent evidences that susceptibility alleles/haplotypes are shared among multiple autoimmune disorders and support a causal role for RAC2 variants in the pathogenesis of autoimmune diseases. PMID: 21680873
- CNF1 modified Rac2, which then interacted with the innate immune adaptors IMD and Rip1-Rip2 in flies and mammalian cells, respectively, to drive an immune response PMID: 22018470
- activated cells PLD2 affects Rac2 in an initial positive feedback, but as Rac2-GTP accumulates in the cell, this constitutes a "termination signal" leading to PLD2 inactivation. PMID: 21378159
- Mutations in RAC2 GTPase have been found to cause a human disease, a severe phagocytic immunodeficiency characterized by lifethreatening infections in infancy. Review. PMID: 21178276
- Data show that activation of PLCbeta(2) by alpha(q) and beta1gamma2 differ from activation by Rac2 and from each other. PMID: 20007712
- Rac2 is activated via a T cell receptor/DOCK2 signal transduction pathway that activates IL-2 transcription in Jurkat cells PMID: 12176041
- dissociations of Rac1 and Rac2 from LyGDI enable the PI 3-kinase-dependent translocations of Rac GTPases to the plasma membrane PMID: 12676940
- Rac2 does not have the same role as Rac1 in the human NADPH oxidase complex PMID: 12912997
- in neutrophils, Rac2 and Cdc42 are involved in FcR- and CR3-induced activation and for properly functioning signal transduction involved in the generation of oxygen radicals. PMID: 12960248
- Our results showed a low frequency of mutation and no hot spots of mutation in Rac2 gene in brain tumors, suggesting a decreased possibility of Rac2 in the brain tumorigenesis. PMID: 15812594
- diminished rho family, small GTP-binding protein Rac2(Rac2) expression in cord blood neutrophils may contribute to the defects observed in cord blood neutrophil function PMID: 16582540
- Endogenous P-Rex1 translocates to areas of Rac2 and cytoskeletal activation at the leading edge in response to chemoattractant stimuli in human neutrophils and that this translocation can be negatively modulated by activation of PKA and by cell adhesion. PMID: 17227822
- RACK1 amd Rac2 are components of complexes involved in NK cell homotypic adhesion. PMID: 17269730
- These results provide evidence that the activation of Rac2 by angiotensin II is exerted through multiple signalling pathways, involving Ca(2)(+)/calcineurin and protein kinases. PMID: 17975262
- DOCK2 and DOCK9 specifically recognize Rac2 and Cdc42 through their switch 1 as well as beta2-beta3 regions and the mode of recognition via switch 1 appears to be conserved among diverse Rac-specific DHR-2 GEFs PMID: 18056264
- RAC2 is rarely mutated in gliomas PMID: 18217210
- PI3K and Src-ELMO-Dock2 pathways work in parallel to activate Rac2 and modulate chemotaxis in response to a CXCL8 gradient in neutrophils. PMID: 18662984
- important in T cell immunological synapse assembly PMID: 18723130
- Primary granule exocytosis in human neutrophils is regulated by Rac2-dependent actin remodeling. PMID: 18799653
- OAG-induced NOX2 activation was mediated by PKC and PI3K through the regulation of Rac2 activity PMID: 19118104
- Human neutrophils kill invading microbes while limiting oxidative damage to the adjacent surrounding healthy tissue through differential activation of Rac1 and Rac2 in response to different concentrations of chemoattractant. PMID: 19625648
顯示更多
收起更多
-
相關疾病:Neutrophil immunodeficiency syndrome (NEUID)
-
亞細胞定位:Cytoplasm. Note=Membrane-associated when activated.
-
蛋白家族:Small GTPase superfamily, Rho family
-
組織特異性:Hematopoietic specific.
-
數據庫鏈接:
Most popular with customers
-
YWHAB Recombinant Monoclonal Antibody
Applications: ELISA, WB, IHC, IF, FC
Species Reactivity: Human, Mouse, Rat
-
Phospho-YAP1 (S127) Recombinant Monoclonal Antibody
Applications: ELISA, WB, IHC
Species Reactivity: Human
-
-
-
-
-
-















