-
中文名稱:磷酸化-TP53 (Ser15)兔多克隆抗體
-
貨號:CSB-PA157242
-
規格:¥2454
-
圖片:
-
Western blot analysis of extracts from 293 cells untreated or treated with UV using p53(Phospho-Ser15) Antibody.
-
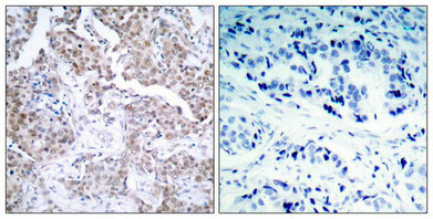
Immunohistochemical analysis of paraffin-embedded human breast carcinoma tissue using p53 (Phospho-Ser15) Antibody (left) or the same antibody preincubated with blocking peptide (right).
-
Immunofluorescence staining of methanol-fixed Hela cells using p53(Phospho-Ser15) Antibody.
-
Immunofluorescence staining of methanol-fixed Hela cells using p53 (Phospho-Ser15) Antibody.
-
-
其他:
產品詳情
-
產品名稱:Rabbit anti-Homo sapiens (Human) TP53 Polyclonal antibody
-
Uniprot No.:
-
基因名:
-
宿主:Rabbit
-
反應種屬:Human
-
免疫原:Peptide sequence around phosphorylation site of serine 15 (P-L-S(p)-Q-E) derived from Human p53.
-
免疫原種屬:Homo sapiens (Human)
-
克隆類型:Polyclonal
-
純化方式:Antibodies were produced by immunizing rabbits with synthetic phosphopeptide and KLH conjugates. Antibodies were purified by affinity-chromatography using epitope-specific phosphopeptide. Non-phospho specific antibodies were removed by chromatogramphy usi
-
濃度:It differs from different batches. Please contact us to confirm it.
-
產品提供形式:Liquid
-
應用范圍:ELISA,WB,IHC,IF
-
推薦稀釋比:
Application Recommended Dilution WB 1:500-1:1000 IHC 1:50-1:100 IF 1:100-1:200 -
Protocols:
-
儲存條件:Upon receipt, store at -20°C or -80°C. Avoid repeated freeze.
-
貨期:Basically, we can dispatch the products out in 1-3 working days after receiving your orders. Delivery time maybe differs from different purchasing way or location, please kindly consult your local distributors for specific delivery time.
-
用途:For Research Use Only. Not for use in diagnostic or therapeutic procedures.
引用文獻
相關產品
靶點詳情
-
功能:Acts as a tumor suppressor in many tumor types; induces growth arrest or apoptosis depending on the physiological circumstances and cell type. Involved in cell cycle regulation as a trans-activator that acts to negatively regulate cell division by controlling a set of genes required for this process. One of the activated genes is an inhibitor of cyclin-dependent kinases. Apoptosis induction seems to be mediated either by stimulation of BAX and FAS antigen expression, or by repression of Bcl-2 expression. Its pro-apoptotic activity is activated via its interaction with PPP1R13B/ASPP1 or TP53BP2/ASPP2. However, this activity is inhibited when the interaction with PPP1R13B/ASPP1 or TP53BP2/ASPP2 is displaced by PPP1R13L/iASPP. In cooperation with mitochondrial PPIF is involved in activating oxidative stress-induced necrosis; the function is largely independent of transcription. Induces the transcription of long intergenic non-coding RNA p21 (lincRNA-p21) and lincRNA-Mkln1. LincRNA-p21 participates in TP53-dependent transcriptional repression leading to apoptosis and seems to have an effect on cell-cycle regulation. Implicated in Notch signaling cross-over. Prevents CDK7 kinase activity when associated to CAK complex in response to DNA damage, thus stopping cell cycle progression. Isoform 2 enhances the transactivation activity of isoform 1 from some but not all TP53-inducible promoters. Isoform 4 suppresses transactivation activity and impairs growth suppression mediated by isoform 1. Isoform 7 inhibits isoform 1-mediated apoptosis. Regulates the circadian clock by repressing CLOCK-ARNTL/BMAL1-mediated transcriptional activation of PER2.
-
基因功能參考文獻:
- Study summarizes the different functions of p53 in adipocyte development and in adipose tissue homeostasis. Furthermore, It explores the manipulation of p53 levels in adipose tissue depots and the impact on systemic energy metabolism in the context of insulin resistance and obesity. [review] PMID: 30181511
- a USP15-dependent lysosomal pathway controls p53-R175H turnover in ovarian cancer cells PMID: 29593334
- Results indicate that the underlying mechanisms whereby etoposide and ellipticine regulate CYP1A1 expression must be different and may not be linked to p53 activation alone. PMID: 29471073
- Studied association of tumor protein p53 and drug metabolizing enzyme polymorphisms with clinical outcome in patients with advanced nonsmall cell lung cancer. PMID: 28425245
- POH1 knockdown induced cell apoptosis through increased expression of p53 and Bim. PMID: 29573636
- a heretofore unappreciated effect of chronic high fat diet on beta-cells, wherein continued DNA damage owing to persistent oxidative stress results in p53 activation and a resultant inhibition of mRNA translation. PMID: 28630491
- diffuse large B cell lymphoma lacking CD19 or PAX5 expression were more likely to have mutant TP53. PMID: 28484276
- that proliferation potential-related protein promotes esophageal cancer cell proliferation and migration, and suppresses apoptosis by mediating the expression of p53 and IL-17 PMID: 30223275
- Infection of HIV-1 and subsequent HIV-1 reverse transcription are inhibited in HCT116 p53(+/+) cells in comparison to HCT116 p53(-/-) cells. Tumor suppressor gene p53 expression is upregulated in non-cycling cells. The restrictions of HIV by p53 is associated with the suppression of ribonucleotide reductase R2 subunit expression and phosphorylation of SAMHD1 protein. PMID: 29587790
- It has been shown that MDM2 and MDMX are targetable vulnerabilities within TP53-wild-type T-cell lymphomas. PMID: 29789628
- A significant increase in the expression of p53 and Bax was observed in cells treated with alpha-spinasterol, while cdk4/6 were significantly down-regulated upon exposure to alpha-spinasterol. PMID: 29143969
- There was a significant correlation between telomere dysfunction indices, p53, oxidative stress indices, and malignant stages of GI cancer patients PMID: 29730783
- PGEA-AN modulates P53 system which further leads to the death of the neuroblastoma cells with no effect on renal system in vivo owing it to be a future prospect for development of anticancer moiety against neuroblastoma. PMID: 29644528
- these data indicate that activation of autophagy reduces expression of STMN1 and p53, and the migration and invasion of cancer cells contributes to the anti-cancer effects of the Halofuginone. These findings may provide new insight into breast cancer prevention and therapy. PMID: 29231257
- miR-150 suppresses cigarette smoke-induced lung inflammation and airway epithelial cell apoptosis, which is causally linked to repression of p53 expression and NF-kappaB activity. PMID: 29205062
- tumors harboring TP53 mutations, which can impair epithelial function, have a unique bacterial consortium that is higher in relative abundance in smoking-associated tumors. PMID: 30143034
- crosstalk among p53, lipid metabolism, insulin resistance, inflammation and oxidative stress has roles in Non-alcoholic fatty liver disease [review] PMID: 30473026
- Ubiquitin-conjugating enzyme E2S (UBE2S) enhanced the ubiquitination of p53 protein to facilitate its degradation in hepatocellular carcinoma (HCC) cells. PMID: 29928880
- p53 knockout compensates osteopenia in murine Mysm1 deficiency. PMID: 29203593
- SIRT1 had a pivotally protective role in the regulation of ADSCs aging and apoptosis induced by H2O2 PMID: 29803744
- 133p53 promotes tumour invasion via IL-6 by activation of the JAK-STAT and RhoA-ROCK pathways. PMID: 29343721
- mutant TP53 G245C and R273H can lead to more aggressive phenotypes and enhance cancer cell malignancy. PMID: 30126368
- PD-L1, Ki-67, and p53 staining individually had significant prognostic value for patients with stage II and III colorectal cancer PMID: 28782638
- This study of patients with ccRCC, pooled analysis and multivariable modeling demonstrated that three recurrently mutated genes, BAP1, SETD2, and TP53, have statistically significant associations with poor clinical outcomes. Important clinical confounders, mutations of TP53 and SETD2 were associated with decreased CSS and RFS, respectively. PMID: 28753773
- Study revealed that the Wnt/beta-catenin signaling pathway and its major downstream target, c-Myc increased the miR552 levels and miR552 directly targets p53 tumor suppressor. miR552 may serve as an important link between functional loss of APC, leading to abnormal Wnt signals, and the absence of p53 protein in colorectal cancer. PMID: 30066856
- High levels of glucose leads to endothelial dysfunction via TAF1-mediated p53 Thr55 phosphorylation and subsequent GPX1 inactivation. PMID: 28673515
- Although tumor protein p53 (p53) does not directly control the luminal fate, its loss facilitates acquisition of mammary stem cell (MaSC)-like properties by luminal cells and predisposes them to development of mammary tumors with loss of luminal identity. PMID: 28194015
- Fifty-two percent of patients diagnosed with glioma/glioblastoma with a positive TP53 mutation. PMID: 29454261
- the expression of Ser216pCdc25C was also increased in the combined group, indicating that irinotecan likely radiosensitized the p53-mutant HT29 and SW620 cells through the ATM/Chk/Cdc25C/Cdc2 pathway. PMID: 30085332
- In the former, p53 binds to the CDH1 (encoding E-cadherin) locus to antagonize EZH2-mediated H3K27 trimethylation (H3K27me3) to maintain high levels of acetylation of H3K27 (H3K27ac). PMID: 29371630
- Among the hits, miR-596 was identified as a regulator of p53. The overexpression of miR-596 significantly increased p53 at the protein level, thereby inducing apoptosis. PMID: 28732184
- Apoptosis pathways are impaired in fibroblasts from patients with SSc, leading to chronic fibrosis. Nonetheless, PUMA/p53 pathway may not be involved in dysfunction of apoptosis mechanisms in fibroblasts of patients with SSc. PMID: 28905491
- Low TP53 expression is associated with drug resistance in colorectal cancer. PMID: 30106452
- The activation of p38 in response to low doses of ultraviolet radiation was postulated to be protective for p53-inactive cells. Therefore, MCPIP1 may favor the survival of p53-defective HaCaT cells by sustaining the activation of p38. PMID: 29103983
- TP53 missense mutations are associated with castration-resistant prostate cancer. PMID: 29302046
- P53 degradation is mediated by COP1 in the breast cancer. PMID: 29516369
- Combined inactivation of the XRCC4 non-homologous end-joining (NHEJ) DNA repair gene and p53 efficiently induces brain tumours with hallmark characteristics of human glioblastoma. PMID: 28094268
- A direct link between Y14 and p53 expression and suggests a function for Y14 in DNA damage signaling. PMID: 28361991
- TP53 Mutation is associated with Mouth Neoplasms. PMID: 30049200
- Cryo-Electron Microscopy studies on p53-bound RNA Polymerase II (Pol II) reveal that p53 structurally regulates Pol II to affect its DNA binding and elongation, providing new insights into p53-mediated transcriptional regulation. PMID: 28795863
- Increased nuclear p53 phosphorylation and PGC-1alpha protein content immediately following SIE but not CE suggests these may represent important early molecular events in the exercise-induced response to exercise PMID: 28281651
- E6/E7-p53-POU2F1-CTHRC1 axis promotes cervical cancer cell invasion and metastasis PMID: 28303973
- accumulated mutant-p53 protein suppresses the expression of SLC7A11, a component of the cystine/glutamate antiporter, system xC(-), through binding to the master antioxidant transcription factor NRF2. PMID: 28348409
- Consistently, forced expression of p53 significantly stimulated ACER2 transcription. Notably, p53-mediated autophagy and apoptosis were markedly enhanced by ACER2. Depletion of the essential autophagy gene ATG5 revealed that ACER2-induced autophagy facilitates its effect on apoptosis. PMID: 28294157
- results indicate that LGASC of the breast is a low-grade triple-negative breast cancer that harbours a basal-like phenotype with no androgen receptor expression, and shows a high rate of PIK3CA mutations but no TP53 mutations PMID: 29537649
- this study shows an inhibitory effect of wild-type P53 gene transfer on graft coronary artery disease in rat model PMID: 29425775
- Our results suggest that TP53 c.215G>C, p. (Arg72Pro) polymorphism may be considered as a genetic marker for predisposition to breast cancer in Moroccan population PMID: 29949804
- higher level of the p53 isoform, p53beta, predict better prognosis in patients with renal cell carcinoma through enhancing apoptosis in tumors. PMID: 29346503
- TP53 mutations are associated with colorectal liver metastases. PMID: 29937183
- High expression of TP53 is associated with oral epithelial dysplasia and oral squamous cell carcinoma. PMID: 29893337
顯示更多
收起更多
-
相關疾病:Esophageal cancer (ESCR); Li-Fraumeni syndrome (LFS); Squamous cell carcinoma of the head and neck (HNSCC); Lung cancer (LNCR); Papilloma of choroid plexus (CPP); Adrenocortical carcinoma (ADCC); Basal cell carcinoma 7 (BCC7)
-
亞細胞定位:Cytoplasm. Nucleus. Nucleus, PML body. Endoplasmic reticulum. Mitochondrion matrix. Cytoplasm, cytoskeleton, microtubule organizing center, centrosome.; [Isoform 1]: Nucleus. Cytoplasm. Note=Predominantly nuclear but localizes to the cytoplasm when expressed with isoform 4.; [Isoform 2]: Nucleus. Cytoplasm. Note=Localized mainly in the nucleus with minor staining in the cytoplasm.; [Isoform 3]: Nucleus. Cytoplasm. Note=Localized in the nucleus in most cells but found in the cytoplasm in some cells.; [Isoform 4]: Nucleus. Cytoplasm. Note=Predominantly nuclear but translocates to the cytoplasm following cell stress.; [Isoform 7]: Nucleus. Cytoplasm. Note=Localized mainly in the nucleus with minor staining in the cytoplasm.; [Isoform 8]: Nucleus. Cytoplasm. Note=Localized in both nucleus and cytoplasm in most cells. In some cells, forms foci in the nucleus that are different from nucleoli.; [Isoform 9]: Cytoplasm.
-
蛋白家族:P53 family
-
組織特異性:Ubiquitous. Isoforms are expressed in a wide range of normal tissues but in a tissue-dependent manner. Isoform 2 is expressed in most normal tissues but is not detected in brain, lung, prostate, muscle, fetal brain, spinal cord and fetal liver. Isoform 3
-
數據庫鏈接:
Most popular with customers
-
-
YWHAB Recombinant Monoclonal Antibody
Applications: ELISA, WB, IHC, IF, FC
Species Reactivity: Human, Mouse, Rat
-
Phospho-YAP1 (S127) Recombinant Monoclonal Antibody
Applications: ELISA, WB, IHC
Species Reactivity: Human
-
-
-
-
-















