Phospho-RPS6KB1 (Ser424) Antibody
-
中文名稱:磷酸化-RPS6KB1 (Ser424)兔多克隆抗體
-
貨號:CSB-PA108937
-
規格:¥2454
-
圖片:
-
Western blot analysis of extracts from MCF cells untreated or treated with EGF using p70 S6 Kinase(Phospho-Ser424) Antibody.
-
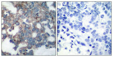
Immunohistochemical analysis of paraffin-embedded human breast carcinoma tissue using p70 S6 Kinase(Phospho-Ser424) Antibody(left) or the same antibody preincubated with blocking peptide(right).
-
Immunofluorescence staining of methanol-fixed Hela cells showing cytoplasmic, centrosomal and nuclear staining using p70 S6 Kinase(Phospho-Ser424) Antibody.
-
-
其他:
產品詳情
-
產品名稱:Rabbit anti-Homo sapiens (Human) RPS6KB1 Polyclonal antibody
-
Uniprot No.:
-
基因名:
-
宿主:Rabbit
-
反應種屬:Human,Mouse,Rat
-
免疫原:Peptide sequence around phosphorylation site of serine 424 (P-V-S(p)-P-V) derived from Human p70 S6 Kinase.
-
免疫原種屬:Homo sapiens (Human)
-
克隆類型:Polyclonal
-
純化方式:Antibodies were produced by immunizing rabbits with synthetic phosphopeptide and KLH conjugates. Antibodies were purified by affinity-chromatography using epitope-specific phosphopeptide. Non-phospho specific antibodies were removed by chromatogramphy usi
-
濃度:It differs from different batches. Please contact us to confirm it.
-
產品提供形式:Liquid
-
應用范圍:ELISA,WB,IHC,IF
-
推薦稀釋比:
Application Recommended Dilution WB 1:500-1:1000 IHC 1:50-1:100 IF 1:100-1:200 -
Protocols:
-
儲存條件:Upon receipt, store at -20°C or -80°C. Avoid repeated freeze.
-
貨期:Basically, we can dispatch the products out in 1-3 working days after receiving your orders. Delivery time maybe differs from different purchasing way or location, please kindly consult your local distributors for specific delivery time.
-
用途:For Research Use Only. Not for use in diagnostic or therapeutic procedures.
相關產品
靶點詳情
-
功能:Serine/threonine-protein kinase that acts downstream of mTOR signaling in response to growth factors and nutrients to promote cell proliferation, cell growth and cell cycle progression. Regulates protein synthesis through phosphorylation of EIF4B, RPS6 and EEF2K, and contributes to cell survival by repressing the pro-apoptotic function of BAD. Under conditions of nutrient depletion, the inactive form associates with the EIF3 translation initiation complex. Upon mitogenic stimulation, phosphorylation by the mammalian target of rapamycin complex 1 (mTORC1) leads to dissociation from the EIF3 complex and activation. The active form then phosphorylates and activates several substrates in the pre-initiation complex, including the EIF2B complex and the cap-binding complex component EIF4B. Also controls translation initiation by phosphorylating a negative regulator of EIF4A, PDCD4, targeting it for ubiquitination and subsequent proteolysis. Promotes initiation of the pioneer round of protein synthesis by phosphorylating POLDIP3/SKAR. In response to IGF1, activates translation elongation by phosphorylating EEF2 kinase (EEF2K), which leads to its inhibition and thus activation of EEF2. Also plays a role in feedback regulation of mTORC2 by mTORC1 by phosphorylating RICTOR, resulting in the inhibition of mTORC2 and AKT1 signaling. Mediates cell survival by phosphorylating the pro-apoptotic protein BAD and suppressing its pro-apoptotic function. Phosphorylates mitochondrial URI1 leading to dissociation of a URI1-PPP1CC complex. The free mitochondrial PPP1CC can then dephosphorylate RPS6KB1 at Thr-412, which is proposed to be a negative feedback mechanism for the RPS6KB1 anti-apoptotic function. Mediates TNF-alpha-induced insulin resistance by phosphorylating IRS1 at multiple serine residues, resulting in accelerated degradation of IRS1. In cells lacking functional TSC1-2 complex, constitutively phosphorylates and inhibits GSK3B. May be involved in cytoskeletal rearrangement through binding to neurabin. Phosphorylates and activates the pyrimidine biosynthesis enzyme CAD, downstream of MTOR. Following activation by mTORC1, phosphorylates EPRS and thereby plays a key role in fatty acid uptake by adipocytes and also most probably in interferon-gamma-induced translation inhibition.
-
基因功能參考文獻:
- Expression of miRNAs Targeting mTOR and S6K1 Genes of mTOR Signaling Pathway Including miR-96, miR-557, and miR-3182 in Triple-Negative Breast Cancer PMID: 29862445
- Studied human ribosomal protein S6 kinase B1 ribosomal protein (p70S6K) expression in pterygium and in normal conjunctival tissues, results show p70S6K activation promotes the transdifferentiation of pterygium fibroblasts to myofibroblasts. PMID: 29270715
- Akt and p70S6K signaling pathway was highly activated in estrogen receptor-negative (ER-) premalignant breast lesions and ER(-) breast cancer. In addition, p70S6K activation induced transformation of ER(-) human mammary epithelial cells (hMEC). PMID: 28877935
- ADAR1 contributes to gastric cancer development and progression via activating mTOR/p70S6K/S6 ribosomal protein signaling axis. PMID: 27863387
- PICT-1 triggers pro-death autophagy through inhibition of rRNA transcription and the inactivation of AKT/mTOR/p70S6K pathway in glioblastoma cells. PMID: 27729611
- Study found that p70S6K1 plays an important role in gemcitabine chemoresistence. MiR-145 is a tumor suppressor which directly targets p70S6K1 for inhibiting its expression in pancreatic adenocarcinoma. PMID: 27765914
- These findings suggested that fenofibrate indeed significantly inhibited the proliferation of PC-3cells via apoptotic action, which is associated with the inactivation of the mTOR/p70S6K-dependent cell survival pathway. PMID: 29305864
- modulation of rDNA transcription initiation, elongation and rRNA processing is an immediate, co-regulated response to altered amino acid abundance, dependent on both mTORC1 activation of S6K1 and MYC activity PMID: 27385002
- In summary, our data suggested that PYK2 via S6K1 activation modulated AR function and growth properties in prostate cancer cells. Thus, PYK2 and S6K1 may potentially serve as therapeutic targets for PCa treatment. PMID: 27492635
- Modulation of IL-2, IL-4, IFN-gamma and/or TNF-alpha levels, or inhibitors of Erk1/2 or S6K1 may be a new approach to prevent BAFF-induced aggressive B-cell malignancies. PMID: 27235588
- Overexpression of AIM2 in hepatocellular carcinoma (HCC) cells suppressed mammalian target of rapamycin (mTOR)-S6K1 pathway and further inhibited proliferation of HCC cells. PMID: 27167192
- Data show that ribosomal protein S6 kinases, 70-kDa (p70S6K) and interleukin-6 (IL-6) were upregulated in high-metastatic head and neck squamous cell carcinoma (HNSCC) cell lines that underwent epithelial-mesenchymal transition (EMT) when compared to paired low-metastatic cell lines. PMID: 27174914
- S6K plays a critical role in dopaminergic neuronal differentiation in human neural stem cells. PMID: 26143260
- Elevated levels of p-Mnk1, p-eIF4E and p-p70S6K proteins are associated with tumor recurrence and poor prognosis in astrocytomas. Overexpression of p-eIF4E and co-expression of p-Mnk1, p-eIF4E and p-p70S6K proteins could be used as novel independent poor prognostic biomarkers for patients with astrocytomas. PMID: 27900644
- ULK1 has a role in RPS6KB1-NCOR1 repression of NR1H/LXR-mediated Scd1 transcription and augments lipotoxicity in hepatic cells PMID: 27846372
- function mimicked by the viral protein kinase encoded by open reading frame 36 of Kaposi's sarcoma-associated herpesvirus PMID: 27342859
- our data suggest that RPS6KB1 is over-activated as p-RPS6KB1 in non-small cell lung cancer, rather than just the total protein overexpressing. The phosphorylation level of RPS6KB1 might be used as a novel prognostic marker for NSCLC patients. PMID: 28792981
- p54-S6K2 interactome is predominant to the nucleus, whereas p70-S6K1 is predominant to cytosol. PMID: 27493124
- S6K1 is involved in the regulation of mitochondria morphology and function in HeLa cells. PMID: 27634387
- S6K1 acts through multiple targets of the mTOR pathway to promote self-renewal and leukemia progression PMID: 27294524
- S6K1 is a promising tumor-specific target for the enhancement of NSCLC radiosensitivity and its effects may be mediated by increased expression of PDCD4. PMID: 28276898
- Spheroids showed relative lower activities in the AKT, mammalian target of rapamycin (mTOR) and S6K (also known as RPS6KB1) signaling pathway compared to cells cultured in two dimensions. PMID: 27663511
- S6K1 phosphorylation of H2B mediates EZH2 trimethylation of H3 early in adipogenesis, contributing to the promotion of obesity. PMID: 27151441
- Findings indicate that similar to overall cell size growth, Golgi growth is modulated by the "cell growth checkpoint" at late G1 phase through the activities of S6 kinase 1 (S6K1). PMID: 27325676
- these findings suggest that activation of S6K1 in an adjuvant trastuzumab setting may represent a reliable early tumor marker predicting patient response to trastuzumab, allowing clinicians to further stratify patients for personalized and effective therapy. PMID: 27993682
- Data indicate YAP1 as a candidate marker to predict cell lines that were most sensitive to MSC2363318A, suggesting clinical development of a dual AKT/P70S6K inhibitor. PMID: 28376174
- RPS6KB1 single nucleotide polymorphism association with colorectal cancer patients survival PMID: 28138309
- These data suggest that S6K1-mediated PIPKIgamma90 phosphorylation regulates cell migration and invasion by controlling PIPKIgamma90 degradation. PMID: 27780861
- Notch3 and pS6 are significantly related to ovarian epithelial cancer development and prognosis, and their combination represents a potential biomarker and therapeutic target in ovarian tumor angiogenesis. PMID: 27445438
- Taken together, our data provide the first evidence that FXR suppresses proliferation of human liver cancer cells via the inhibition of the mTOR/S6K signaling pathway. FXR expression can be used as a biomarker of personalized mTOR inhibitor treatment assessment for liver cancer patients. PMID: 27109477
- These results indicated that p-p70S6K may participate in the invasion and metastasis in the development of ESCC and downregulation of the expression of p-p70S6K could improve the sensitivity of cells to rapamycin in ESCC. PMID: 27595116
- RPS6KB1 SNPs associated with susceptibility to multiple sclerosis in Iranian population. PMID: 28079472
- We found that S6K1 Iso-2 overexpression in cancer cells promoted cell growth and inhibited apoptosis, denotes its important role on NSCLC survival. PMID: 27460085
- S6K phosphorylation via the PI3K-PD1 pathway is involved in tau pathology in neurofibrillary tangles and abnormal neurites as well as actin pathology in Hirano bodies. PMID: 26582459
- These results indicate that the inhibitory effect of rapamycin may be due mainly to increased p14, p15, and p57 expression via promoter demethylation and decreased mTOR and p70S6K expression in ALL cell lines. PMID: 26362858
- The newly identified miR-195-RPS6KB1 axis partially illustrates the molecular mechanism of prostate cancer progression and represents a novel potential therapeutic target for prostate cancer treatment. PMID: 26080838
- eIF3 has a role in controlling cell size independently of S6K1-activity PMID: 26172298
- MiR-497 decreases cisplatin resistance in ovarian cancer cells by targeting mTOR/P70S6K1. PMID: 26238185
- This study report that protein levels of the p70 S6 kinase was increased in Progressive Supranuclear Palsy and Corticobasal Degeneration brains. PMID: 26818518
- Collectively, our findings suggested that both in vitro and in vivo differentiation of Th17 cells were positively regulated by p70(S6K1) PMID: 26514620
- Our results suggest that silencing of AT1R inhibits EMT induced by HG in HK-2 cells via inactivation of mTOR/p70S6K signaling pathway. PMID: 26626074
- Results suggest that blocking both the mTOR kinase downstream targets 4E-BP1 protein and p70 S6 kinase 1, but not p70 S6 kinase 1 alone, prevents the migration of retinal pigment epithelium (RPE) cells. PMID: 26427479
- Our study indicated that Microcystin-LR exposure promoted HL7702 cell proliferation and the main mechanism was the activation of Akt/S6K1 cascade. PMID: 26506538
- This is the first study highlighting the activation of S6K1 by palmitic acid as a common and novel mechanism by which its inhibition by oleic acid prevents endoplasmic reticulum stress, lipoapoptosis and insulin resistance in hepatocytes. PMID: 25846498
- These data suggest that S6K1 may represent a molecular link between aging and Alzheimer disease. PMID: 26468204
- The increased level of S6K1 is positively associated with obesity, insulin resistance and inflammation. PMID: 25118997
- mTORC1 regulates cell adhesion through S6K1 and 4E-BP1 pathways, but mTORC2 regulates cell adhesion via Akt-independent mechanism PMID: 25762619
- pS6 expression is associated with the characteristics of a high Ki-67 subset in ER+ and HER2- breast cancer whose proliferation seemed to be affected by activation possibly of the mTOR/S6 pathway. PMID: 25600244
- Data show that leucine alone stimulates mTORC1 signaling and ribosomal protein s6 kinase 1 (S6K1) phosphorylation. PMID: 26169935
- Inactivated Sendai virus induces apoptosis and autophagy via the PI3K/Akt/mTOR/p70S6K pathway in human non-small cell lung cancer cells. PMID: 26235873
顯示更多
收起更多
-
亞細胞定位:Cell junction, synapse, synaptosome. Mitochondrion outer membrane. Mitochondrion. Note=Colocalizes with URI1 at mitochondrion.; [Isoform Alpha I]: Nucleus. Cytoplasm.; [Isoform Alpha II]: Cytoplasm.
-
蛋白家族:Protein kinase superfamily, AGC Ser/Thr protein kinase family, S6 kinase subfamily
-
組織特異性:Widely expressed.
-
數據庫鏈接:
Most popular with customers
-
-
YWHAB Recombinant Monoclonal Antibody
Applications: ELISA, WB, IHC, IF, FC
Species Reactivity: Human, Mouse, Rat
-
Phospho-YAP1 (S127) Recombinant Monoclonal Antibody
Applications: ELISA, WB, IHC
Species Reactivity: Human
-
-
-
-
-















