Phospho-PTEN (Ser380/Thr382/Thr383) Antibody
-
中文名稱:磷酸化-PTEN (Ser380/Thr382/Thr383)兔多克隆抗體
-
貨號:CSB-PA909192
-
規格:¥2454
-
圖片:
-
Western blot analysis of extracts from Hela cells, treated with IFNa or calf intestinal phosphatase (CIP), using PTEN (Phospho-Ser380/Thr382/Thr383) Antibody.
-
Western blot analysis of extracts from Hela and C6 cells,treated with EGF or PMA, using PTEN(Phospho-Ser380/Thr382/Thr383) Antibody.
-
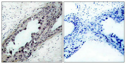
Immunohistochemical analysis of paraffin-embedded human breast carcinoma tissue, using PTEN(Phospho-Ser380/Thr382/Thr383) Antibody(left) or the same antibody preincubated with blocking peptide(right).
-
Immunofluorescence staining of methanol-fixed Hela cells using PTEN(Phospho-Ser380/Thr382/Thr383) Antibody.
-
Immunofluorescence staining of methanol-fixed MEFcells using PTEN (Phospho-Ser380/Thr382/Thr383)Antibody.
-
-
其他:
產品詳情
-
產品名稱:Rabbit anti-Homo sapiens (Human) PTEN Polyclonal antibody
-
Uniprot No.:
-
基因名:
-
宿主:Rabbit
-
反應種屬:Human,Mouse,Rat
-
免疫原:Peptide sequence around phosphorylation site of threonine 380/382/383 (R-Y-S(p)-D-T(p)-T(p)-D-S) derived from Human PTEN.
-
免疫原種屬:Homo sapiens (Human)
-
克隆類型:Polyclonal
-
純化方式:Antibodies were produced by immunizing rabbits with synthetic phosphopeptide and KLH conjugates. Antibodies were purified by affinity-chromatography using epitope-specific phosphopeptide. Non-phospho specific antibodies were removed by chromatogramphy usi
-
濃度:It differs from different batches. Please contact us to confirm it.
-
保存緩沖液:Liquid in PBS containing 50% glycerol, 0.5% BSA and 0.02% sodium azide.
-
產品提供形式:Liquid
-
應用范圍:ELISA,WB,IHC,IF
-
推薦稀釋比:
Application Recommended Dilution WB 1:500-1:1000 IHC 1:50-1:100 IF 1:100-1:200 -
Protocols:
-
儲存條件:Upon receipt, store at -20°C or -80°C. Avoid repeated freeze.
-
貨期:Basically, we can dispatch the products out in 1-3 working days after receiving your orders. Delivery time maybe differs from different purchasing way or location, please kindly consult your local distributors for specific delivery time.
-
用途:For Research Use Only. Not for use in diagnostic or therapeutic procedures.
相關產品
靶點詳情
-
功能:Tumor suppressor. Acts as a dual-specificity protein phosphatase, dephosphorylating tyrosine-, serine- and threonine-phosphorylated proteins. Also acts as a lipid phosphatase, removing the phosphate in the D3 position of the inositol ring from phosphatidylinositol 3,4,5-trisphosphate, phosphatidylinositol 3,4-diphosphate, phosphatidylinositol 3-phosphate and inositol 1,3,4,5-tetrakisphosphate with order of substrate preference in vitro PtdIns(3,4,5)P3 > PtdIns(3,4)P2 > PtdIns3P > Ins(1,3,4,5)P4. The lipid phosphatase activity is critical for its tumor suppressor function. Antagonizes the PI3K-AKT/PKB signaling pathway by dephosphorylating phosphoinositides and thereby modulating cell cycle progression and cell survival. The unphosphorylated form cooperates with MAGI2 to suppress AKT1 activation. Dephosphorylates tyrosine-phosphorylated focal adhesion kinase and inhibits cell migration and integrin-mediated cell spreading and focal adhesion formation. Plays a role as a key modulator of the AKT-mTOR signaling pathway controlling the tempo of the process of newborn neurons integration during adult neurogenesis, including correct neuron positioning, dendritic development and synapse formation. May be a negative regulator of insulin signaling and glucose metabolism in adipose tissue. The nuclear monoubiquitinated form possesses greater apoptotic potential, whereas the cytoplasmic nonubiquitinated form induces less tumor suppressive ability. In motile cells, suppresses the formation of lateral pseudopods and thereby promotes cell polarization and directed movement.; Functional kinase, like isoform 1 it antagonizes the PI3K-AKT/PKB signaling pathway. Plays a role in mitochondrial energetic metabolism by promoting COX activity and ATP production, via collaboration with isoform 1 in increasing protein levels of PINK1.
-
基因功能參考文獻:
- Nuclear phosphatase and tensin homologue on chromosome ten protein (PTEN) interacts with the splicing machinery, spliceosome, to regulate its assembly and pre-mRNA splicing. PMID: 29921876
- the expression of PTEN and miR-144 was inversely correlated in metastatic breast cancer cell lines. PMID: 30132256
- Disruption of PTEN proteinisoform PTENbeta (PTENbeta) alters rDNA transcription and promotes ribosomal biogenesis. PMID: 28332494
- Functionally, Ataxin-3 overexpression promoted cell proliferation, and Ataxin-3 knockdown inhibited cell proliferation in testicular cancer cell. In addition, up-regulation of Ataxin-3 inhibited the expression of PTEN and activated the AKT/mTOR pathway. PMID: 29902454
- a certain degree of mitochondrial oxidative activity, with some difference for PTEN-wild type SF767 cells respect to PTEN-deleted A172 and U87MG characterized by a loss-of-function point mutation of PTEN. PMID: 29209894
- We demonstrated that expression of PTEN and miR-718 were significantly correlated in patients with gastric cancer. Low expression of PTEN and high level of miR-718 were notably associated with a lower 5-year overall survival rate. Both PTEN and miR-718 were identified as prognostic factors of gastric cancer. PMID: 30131483
- The data indicate that diagnostic or therapeutic chest radiation may predispose patients with decreased stromal PTEN expression to secondary breast cancer, and that prophylactic EGFR inhibition may reduce this risk. PMID: 30018330
- findings indicated that shikonin inhibits proliferation and promotes apoptosis in human endometrioid endometrial cancer (EEC) cells by modulating the miR-106b/PTEN/AKT/mTOR signaling pathway, suggesting shikonin could act a potential therapeutic agent in the EEC treatment. PMID: 29449346
- SIRT6 inhibited proliferation, migration, and invasion of colon cancer cells by up-regulating PTEN expression and down-regulating AKT1 expression. PMID: 29957460
- Data show that phosphatase and tensin homolog (PTEN) interacts with death domain associated protein (DAXX) and, in turn PTEN directly regulates oncogene expression by modulating DAXX-histone H3.3 (H3.3) association on the chromatin. PMID: 28497778
- Study suggested that there may be a regulatory loop between miR21 and PTEN, and that miR21 inhibition affected the proliferative, invasive and apoptotic abilities of oral squamous cell carcinoma (OSCC) cells. miR-21 expression was observed in 80.0% OSCC tissues and in 30.0% of normal tissues. By contrast, PTEN expression exhibited an opposite trend in OSCC tissues 37.1%, and normal tissues 80.0%. PMID: 30132571
- MTSS1 is stabilized by the protein phosphatase activity of the tumor suppressor PTEN. Our data show that PTEN loss in PDAC cells results in both increased metastatic potential and decreased MTSS1 expression. Furthermore, we show that ectopic MTSS1 expression rescues this effect. PMID: 29175021
- Low PTEN mRNA expression was associated with down-regulation of a group of genes involved in immune responses and B-cell development. PMID: 29734016
- Results showed that MiR-374b was highly expressed, while PTEN was downregulated in the GIST tissues. The levels of miR-374b, PI3K, AKT and PTEN were related to tumor diameter and pathological stage. Additionally, miR-374b increased the mRNA and protein levels of PI3K, Akt, MMP2, MMP9, P53 and cyclinD1, suggesting that miR-374b activates PI3K/Akt signaling pathway in GIST-T1 cells. PMID: 29902839
- PTEN loss is associated with castration-resistant prostate cancer. PMID: 29302046
- Low PTEN expression is associated with thyroid cancer progression. PMID: 30015900
- we provide a review on current understandings of the regulation of PTEN by ncRNAs, which could contribute to the development of novel approaches to the diseases with abnormal expression of PTEN. PMID: 30217221
- The IRIS-driven metastatic mechanism results from IRIS-dependent suppression of phosphatase and tensin homolog (PTEN) transcription, which in turn perturbs the PI3K/AKT/GSK-3beta pathway leading to prolyl hydroxylase-independent HIF-1alpha stabilization and activation in a normoxic environment. PMID: 30254159
- In this study, we used the Ion Personal Genome Machine (PGM) and Ion Torrent Ampliseq Cancer panel to sequence hotspot regions from PIK3CA, AKT and PTEN genes to identify genetic mutations in 39 samples of TNBC subtype from Moroccan patients and to correlate the results with clinical-pathologic data PMID: 30227836
- Data indicate a significant prognostic role for assessing transcriptional regulator ERG (ERG) and phosphatase and tensin homolog protein (PTEN) in men with prostate cancer. PMID: 30101374
- Low PTEN expression is associated with multiple myeloma. PMID: 30015974
- The loss of Sirt3 triggered fatal mitochondrial fission by suppressing the Akt/PTEN pathway. PMID: 30021354
- Results showed that SIX1 was overexpressed in osteosarcoma tissues, blood samples and cell lines, whereas PTEN expression was reduced. PMID: 29807230
- miR23b3p and PTEN interfered with the viability and apoptosis of smooth muscle cells. PMID: 29845190
- PDCD4 and PTEN were the functional targets of miR-21. PMID: 30074182
- miR-205 functions as an oncogenic miRNA by directly binding to SMAD4 and PTEN, providing a novel target for the molecular treatment of ovarian cancer. PMID: 28145479
- Studies have indicated that in breast cancer, PTEN undergo mutations. There is a functional and mechanistic link between the BMI-1 oncoprotein and tumor suppressor PTEN in the development and progression of breast cancer. [review] PMID: 30096458
- When considered together (43 cases), 1/25 cases (4%) with a PIK3CA mutation and/or low PTEN expression levels had a pathologic complete response (pCR)compared to 7/18 cases (39%) with wild-type PI3KCA and high PTEN expression levels (p = 0.006). PMID: 29110152
- Taken together, the authors presented here a novel cross-talk between miR-181a and PTEN which was raised by hepatitis B virus X protein, and this shined a new line in hepatitis B virus-related hepato-carcinogenesis. PMID: 28053323
- Bioinformatics analysis demonstrated that the 3'UTR of PTEN mRNA was targeted by hsa-miR-142-5p which regulates its expression triggering cancer stem cell-like properties of cutaneous squamous cell carcinoma. PMID: 28857248
- PTEN lipid phosphatase inactivation abolished the MOB1-LATS1/2 interaction, decreased YAP phosphorylation and finally promoted YAP nuclear translocation, which enhanced the synergistic effect of YAP-TEAD, thus inducing cell proliferation and migration. PMID: 30134988
- TERT could induce thyroid carcinoma cell proliferation mainly through the PTEN/AKT signaling pathway. PMID: 29901196
- These results suggest that miR214 mediates vascular inflammation and apoptosis via PTEN expression. PMID: 29916551
- A novel information on the susceptibility of PTEN to the inflammatory oxidant HOCl and its effects on the structure and activity of the protein is provided. PMID: 29298524
- Study proposes a new mechanism by which loss of PTEN and consequent activation of the PI3K-AKT-mTORC1-S6K1 signalling pathway impairs DNA repair by downregulation of MRE11. PMID: 28967905
- In prostate tumor tissue microarrays, loss of PTEN phosphohydrolase (PTEN) correlates with increased tyrosine kinase 6 PTK6 tyrosine 342 (PY342) phosphorylation and poor outcome. PMID: 29142193
- in silico analysis revealed PTEN to be the downstream target of miR-21, which was further confirmed by expression analysis. PMID: 29807978
- The decreased PTEN was associated with poorer survival outcomes of patients with kidney cancer and PTEN acts as a tumor suppressor in tumorigeneses and progression in kidney cancer. PMID: 29408173
- MiR-221 together with proteins MDR1 and ABCG2 was upregulated in Cisplatin-resistant A549 lung cancer cells. Anti-miR-221 inhibits proliferation and induces senescence in lung cancer cells. PTEN/Akt pathway axis was identified as a target of drug resistance induced by miR-221. PMID: 29876362
- These results demonstrate that SPAG6 silencing induces PTEN expression to regulate apoptosis though the PI3K/AKT pathway, indicating that SPAG6 may be a potential therapeutic target for myelodysplastic syndromes. PMID: 29749435
- The inhibition of PTEN also reduced the cancer effects of CD4+ T cells on non-small cell lung cancer (NSCLC) cell lines following miR-142-5p downregulation. Therefore, our study demonstrated that miR-142-5p regulated CD4+ T cells in human NSCLC through PD-L1 expression via the PTEN pathway. PMID: 29767245
- a statistically significant association between PTEN loss and the triple negative breast cancers was found in African American women PMID: 29653745
- miR-130b was upregulated in the lupus nephritis group, compared with that in the control group. PTEN was identified as a virtual target of miR-130b, and there was a negative regulatory association between miR-130b and PTEN. miR-130b and PTEN interfered with the viability and apoptosis of mesangial cells. PMID: 29620214
- The results of the present study indicate that the expression of miRNA23a may regulate acute myocardial infarction (AMI) through targeting PTEN in patients and in vitro, and PTEN/miRNA23a may therefore be potential targets for the clinical treatment of AMI. PMID: 29488607
- TRPC1 regulated HIF1alpha levels in PTEN-deficient MDA-MB-468 and HCC1569 breast cancer cell lines. This regulation arises from effects on the constitutive translation of HIF1alpha under normoxic conditions via an Akt-dependent pathway. PMID: 28559303
- miR367 was revealed to bind directly to phosphatase and tensin homolog (PTEN) mRNA and regulate the expression of the PTEN protein PMID: 29512776
- The present study confirmed that pAURKA is important in the development of gastric adenocarcinoma and revealed a novel functional link between PTEN, AURKA and pAURKA activation PMID: 29512701
- study found that CKS2 knockdown induced PTEN up-regulation and may associate with P53 pathway activation PMID: 29487004
- Study showed for the first time that the suppression of rheumatiod arthritis fibroblast-like synoviocyte was mediated by phosphatase and tensin homolog involving survivin silencing. PMID: 28337018
- The overexpression of PTEN concomitant with Livin gene silencing was confirmed as a feasible and effective in vitro and in vivo gene modulation method, which may represent a potential therapeutic strategy for the treatment of Gastric Cancer. PMID: 29436592
顯示更多
收起更多
-
相關疾病:Cowden syndrome 1 (CWS1); Lhermitte-Duclos disease (LDD); Bannayan-Riley-Ruvalcaba syndrome (BRRS); Squamous cell carcinoma of the head and neck (HNSCC); Endometrial cancer (ENDMC); Glioma 2 (GLM2); VACTERL association with hydrocephalus (VACTERL-H); Prostate cancer (PC); Macrocephaly/autism syndrome (MCEPHAS)
-
亞細胞定位:Cytoplasm. Nucleus. Nucleus, PML body.; [Isoform alpha]: Secreted. Note=May be secreted via a classical signal peptide and reenter into cells with the help of a poly-Arg motif.
-
組織特異性:Expressed at a relatively high level in all adult tissues, including heart, brain, placenta, lung, liver, muscle, kidney and pancreas.
-
數據庫鏈接:
Most popular with customers
-
-
YWHAB Recombinant Monoclonal Antibody
Applications: ELISA, WB, IHC, IF, FC
Species Reactivity: Human, Mouse, Rat
-
Phospho-YAP1 (S127) Recombinant Monoclonal Antibody
Applications: ELISA, WB, IHC
Species Reactivity: Human
-
-
-
-
-















