Phospho-PRKCQ (Ser695) Antibody
-
中文名稱:磷酸化-PRKCQ (Ser695)兔多克隆抗體
-
貨號:CSB-PA160849
-
規格:¥2454
-
圖片:
-
Western blot analysis of extracts from 293 cells untreated or treated with PMA using PKCth(Phospho-Ser695) Antibody.
-
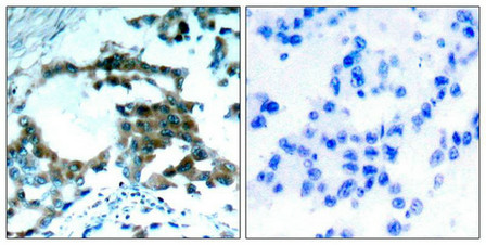
Immunohistochemical analysis of paraffin-embedded human lung carcinoma tissue using PKCth(Phospho-Ser695) Antibody(left) or the same antibody preincubated with blocking peptide(right).
-
-
其他:
產品詳情
-
產品名稱:Rabbit anti-Homo sapiens (Human) PRKCQ Polyclonal antibody
-
Uniprot No.:
-
基因名:
-
宿主:Rabbit
-
反應種屬:Human,Mouse,Rat
-
免疫原:Peptide sequence around phosphorylation site of serine 695 (N-F-S(p)-F-M) derived from Human PKCth.
-
免疫原種屬:Homo sapiens (Human)
-
克隆類型:Polyclonal
-
純化方式:Antibodies were produced by immunizing rabbits with synthetic phosphopeptide and KLH conjugates. Antibodies were purified by affinity-chromatography using epitope-specific phosphopeptide. Non-phospho specific antibodies were removed by chromatogramphy usi
-
濃度:It differs from different batches. Please contact us to confirm it.
-
產品提供形式:Liquid
-
應用范圍:ELISA,WB,IHC
-
推薦稀釋比:
Application Recommended Dilution WB 1:500-1:1000 IHC 1:50-1:100 -
Protocols:
-
儲存條件:Upon receipt, store at -20°C or -80°C. Avoid repeated freeze.
-
貨期:Basically, we can dispatch the products out in 1-3 working days after receiving your orders. Delivery time maybe differs from different purchasing way or location, please kindly consult your local distributors for specific delivery time.
-
用途:For Research Use Only. Not for use in diagnostic or therapeutic procedures.
相關產品
靶點詳情
-
功能:Calcium-independent, phospholipid- and diacylglycerol (DAG)-dependent serine/threonine-protein kinase that mediates non-redundant functions in T-cell receptor (TCR) signaling, including T-cells activation, proliferation, differentiation and survival, by mediating activation of multiple transcription factors such as NF-kappa-B, JUN, NFATC1 and NFATC2. In TCR-CD3/CD28-co-stimulated T-cells, is required for the activation of NF-kappa-B and JUN, which in turn are essential for IL2 production, and participates in the calcium-dependent NFATC1 and NFATC2 transactivation. Mediates the activation of the canonical NF-kappa-B pathway (NFKB1) by direct phosphorylation of CARD11 on several serine residues, inducing CARD11 association with lipid rafts and recruitment of the BCL10-MALT1 complex, which then activates IKK complex, resulting in nuclear translocation and activation of NFKB1. May also play an indirect role in activation of the non-canonical NF-kappa-B (NFKB2) pathway. In the signaling pathway leading to JUN activation, acts by phosphorylating the mediator STK39/SPAK and may not act through MAP kinases signaling. Plays a critical role in TCR/CD28-induced NFATC1 and NFATC2 transactivation by participating in the regulation of reduced inositol 1,4,5-trisphosphate generation and intracellular calcium mobilization. After costimulation of T-cells through CD28 can phosphorylate CBLB and is required for the ubiquitination and subsequent degradation of CBLB, which is a prerequisite for the activation of TCR. During T-cells differentiation, plays an important role in the development of T-helper 2 (Th2) cells following immune and inflammatory responses, and, in the development of inflammatory autoimmune diseases, is necessary for the activation of IL17-producing Th17 cells. May play a minor role in Th1 response. Upon TCR stimulation, mediates T-cell protective survival signal by phosphorylating BAD, thus protecting T-cells from BAD-induced apoptosis, and by up-regulating BCL-X(L)/BCL2L1 levels through NF-kappa-B and JUN pathways. In platelets, regulates signal transduction downstream of the ITGA2B, CD36/GP4, F2R/PAR1 and F2RL3/PAR4 receptors, playing a positive role in 'outside-in' signaling and granule secretion signal transduction. May relay signals from the activated ITGA2B receptor by regulating the uncoupling of WASP and WIPF1, thereby permitting the regulation of actin filament nucleation and branching activity of the Arp2/3 complex. May mediate inhibitory effects of free fatty acids on insulin signaling by phosphorylating IRS1, which in turn blocks IRS1 tyrosine phosphorylation and downstream activation of the PI3K/AKT pathway. Phosphorylates MSN (moesin) in the presence of phosphatidylglycerol or phosphatidylinositol. Phosphorylates PDPK1 at 'Ser-504' and 'Ser-532' and negatively regulates its ability to phosphorylate PKB/AKT1. Phosphorylates CCDC88A/GIV and inhibits its guanine nucleotide exchange factor activity.
-
基因功能參考文獻:
- The Pro(168) residue in the C1a domain of full length PKCtheta; plays a critical role in the ligand and membrane binding, while exchanging the residue (Lys(240)) at the same position in C1b domain of full length PKCtheta; only modestly reduced the membrane interaction. PMID: 29317197
- PKC-theta; is strongly and exclusively expressed in GISTs and interacts with intracellular mutant KIT to promote its stabilization by increased retention in the Golgi complex. PKC-theta; plays critical roles in the sustained activation of MT-KITs. Overexpression of PKC-theta; significantly correlates with several clinicopathological parameters PMID: 27440273
- PCR and transcriptome analysis suggest that the genes CD3D and PKRCQ together can be used as a model for differentiating between B-cell and T-cell acute lymphoblastic leukemia. PMID: 27494091
- PKC-theta; is a critical factor for type 2 innate lymphoid cells activation that contributes to TH2 cell differentiation, which is associated with IRF4 and NFAT1 expression in allergic lung inflammation. PMID: 27746240
- Enhanced PRKCQ/PKCtheta; expression can promote growth-factor-independent growth, anoikis resistance, and migration. PRKCQ critically regulates growth and survival of a subset of TNBC. PMID: 27663795
- Data suggest that, in T-lymphocytes, nitric oxide generated by eNOS S-nitrosylates Cys374 on ACTB and thus regulates activation/recruitment of PRKCQ at immune synapse; S-nitrosylation of beta-actin impairs actin binding to PFN1 and regulates protein transport in lamellipodia. (eNOS = nitric oxide synthase 3; ACTB = beta-actin; PRKCQ = protein kinase C-theta; PFN1 = profilin-1) PMID: 28394935
- PKCtheta;-induced phosphorylations control the ability of Fra-1 to stimulate gene expression and breast cancer cell migration. PMID: 27816489
- Within the nucleus, PKC-theta; catalytic activity maintains the Ser536 phosphorylation on the p65 subunit of NF-kappaB (also known as RelA) and can directly influence chromatin accessibility at transcriptional memory genes by regulating H2B deposition. PMID: 27149922
- Data show that tonantzitlolone (TZL) was able to induce protein kinase c theta (PKCtheta;)-dependent heat shock transcription factor 1 (HSF1)phosphorylation. PMID: 26298773
- The PRKCQ polymorphism is not associated with Behcet's Disease. PMID: 26784953
- Sumoylation of PKC-theta; was essential for T cell activation. Desumoylation did not affect the catalytic activity of PKC-theta; but inhibited the association of CD28 with PKC-theta; and filamin A and impaired the assembly of a mature immunological synapse. PMID: 26390157
- Together, these findings both in Jurkat T cells as well as in primary T cells indicate a regulatory role of Coro1A on PKCtheta; recruitment and function downstream of the TCR leading to NF-kappaB transactivation. PMID: 25889880
- PKCtheta; acts through the activation of p38 MAPK and autophagy induction. PKCtheta; acts through the activation of p38 MAPK and autophagy induction to induce the Epstein-Barr virus (EBV) lytic cycle. PMID: 25827954
- Data suggest that protein kinase C theta (PKCtheta;) inhibition alone may be sufficient to drive efficacy in chronic autoimmune and inflammatory diseases. PMID: 25000588
- responsive to chemokine induced migration and are defective in migration to lymph nodes. Our results reveal a novel role for PKCtheta; in regulating T cell migration PMID: 24250818
- protein kinase C-theta promotes Epithelial to mesenchymal transition by acting as a critical chromatin-anchored switch for inducible genes via transforming growth factor beta and the key inflammatory regulatory protein NF-kappaB. PMID: 24891615
- Diacylglycerol activation of protein kinase Ctheta; and subsequent impairment of insulin signaling plays a major role in the pathogenesis of muscle insulin resistance in humans. PMID: 24979806
- The results show that PKC-theta; has important diagnostic significance in gastrointestinal stromal tumors. PMID: 23862765
- Results show that T allele of rs500766 in PRKCQ was associated with a reduced risk of ACE inhibitor-associated angioedema in the Nashville/Marshfield sample and ONTARGET. PMID: 23838604
- This is the first study that shows that the activity of PKC-theta; is regulated by the intracellular redox state, and that PKC-theta; is recruited to the plasma membrane in an inactive form in naive T cells. PMID: 23436678
- PRKCQ is the only T cell-expressed protein kinase C that localizes selectively to center of immunological synapse following T cell antigen stimulation; this unique localization is essential for PRKCQ-mediated downstream signaling. [REVIEW] PMID: 23433459
- Protein kinase C-theta (PKCtheta;) phosphorylates and inhibits the guanine exchange factor, GIV/Girdin. PMID: 23509302
- The emerging role of protein kinase Ctheta; in cytoskeletal signaling. PMID: 23192428
- These results reveal key functional roles for PKC-theta and ROS in T cell acute lymphoblastic leukemia and suggest that aggressive biological behavior in vivo could be limited by therapeutic strategies that promote PKC-theta expression or activity PMID: 23086478
- PKCtheta signalling as an important regulator of Fra-1 accumulation in estrogen receptor positive breast cancer cells. PMID: 22286759
- establish the C2 domain of PKCtheta; as a Tyr(P)-binding domain and suggest that the domain may play a major role in PKCtheta; activation via its Tyr(P) binding. PMID: 22787157
- alterations in nPKC location and increased expression of PKC theta observed is a result of modification of PKC-mediated signal transduction and cell function PMID: 22905394
- AMPK regulates expression of FASL and COX-2 via the protein kinase C theta - dependent pathway in activated Jurkat cells. PMID: 22330070
- Interleukin-1beta-induced decrease in transendothelial electrical resistance is prevented by small hairpin RNA silencing of PKC-Theta. PMID: 22403784
- TLR-dependent TRAF6-MKK3-p38 MAPK signaling pathway synergizes with PKCtheta;-MEK-ERK signaling pathway. CARMA1 plays a crucial role in mediating this synergistic effect via TRAF6. PMID: 22303480
- The most sensitive marker for gastrointestinal stromal tumors was CD117, followed by DOG-1 and PKCtheta. PMID: 22197035
- c-KIT, PKC-theta; and DOG-1 antigens are the most sensitive and specific immunomarkers for confirming EGISTs PMID: 22399613
- High nuclear protein kinase C theta expression may correlate with disease recurrence and poor survival in oral squamous cell carcinoma. PMID: 21840039
- Protein kinase C-theta in platelet activation PMID: 21944869
- both DOG1 and PKC-theta; can be used in the diagnosis of KIT-negative GISTs PMID: 21358619
- PRKCQ is regulated by RUNX1 in megakaryocytes and platelets, and provide an explanation for the decreased PKC-theta expression in RUNX1 haplodeficiency. PMID: 21252065
- Results provide a molecular explanation for the role of PKC-theta; not only in normal T cell function, but also in circumstances of its ectopic expression in cancer. PMID: 21419345
- In TRAIL costimulation, lipid raft recruitment of Lck tyrosine kinase integrates mitogenic NF-kappaB-dependent signals from the T cell receptor and TRAIL in T lymphocytes. PMID: 21160038
- Reduced expression of PKCtheta is well correlated with the grade of human hepatocellular carcinoma cancer cells PMID: 19949911
- Compared with CD117, DOG1 (using the K9 antibody) is a more specific marker, whereas PKC theta (using the clone 27 antibody) is a considerably less specific immunohistochemical marker for GIST. PMID: 20716167
- STudies indicate that in regulatory T cells, PKC-theta inhibits their function and, intriguingly, is sequestered from the activating cellular interface. PMID: 20664063
- ingenol 3-angelate inhibits T cell apoptosis by activating protein kinase Ctheta PMID: 20472553
- The protein kinase C theta transduction pathway is identified as a main regulator of the NKG2D-mediated costimulation of antitumor Vgamma9Vdelta2 cytolytic T cell responses. PMID: 20511557
- Protein kinase C-theta regulates KIT expression and proliferation in gastrointestinal stromal tumors. PMID: 18521081
- formation of immunological synapse(IS) induces altered signal pathways in Treg, characterized by reduced recruitment of Src kinases, PKC-theta & Carma-1 to the IS; in Treg, PKC-theta acts as a proinflammatory mediator & this effect is enhanced by TNFalpha PMID: 20339032
- Interaction of Bruton's tyrosine kinase and protein kinase Ctheta in platelets PMID: 11788586
- Translocation of PKC[theta] in T cells is mediated by a nonconventional, PI3-K- and Vav-dependent pathway, but does not absolutely require phospholipase C PMID: 11956228
- PKC theta functions as a positive modulator of calcineurin-regulated retinoid X receptor responsive element-dependent transcription during T cell activation. PMID: 12097375
- PKC theta is rapidly and persistently activated in gamma delta T cells by the mycobacterial phosphoantigen isopentenyl pyrophosphate, as determined by evidence of translocation and phosphorylation. PMID: 12421956
- T cell activation silences nuclear receptor-dependent transactivation in part through PKC theta-dependent enhancement of silencing mediator of retinoic acid and thyroid hormone receptors (SMRT)-receptor interaction. PMID: 12890684
顯示更多
收起更多
-
亞細胞定位:Cytoplasm. Cell membrane; Peripheral membrane protein. Note=In resting T-cells, mostly localized in cytoplasm. In response to TCR stimulation, associates with lipid rafts and then localizes in the immunological synapse.
-
蛋白家族:Protein kinase superfamily, AGC Ser/Thr protein kinase family, PKC subfamily
-
組織特異性:Expressed in skeletal muscle, T-cells, megakaryoblastic cells and platelets.
-
數據庫鏈接:
Most popular with customers
-
-
YWHAB Recombinant Monoclonal Antibody
Applications: ELISA, WB, IHC, IF, FC
Species Reactivity: Human, Mouse, Rat
-
-
-
-
-
-















