Phospho-NFKBIB (Ser23) Antibody
-
中文名稱:磷酸化-NFKBIB (Ser23)兔多克隆抗體
-
貨號:CSB-PA292098
-
規格:¥2454
-
圖片:
-
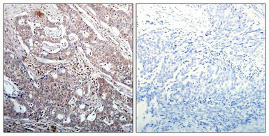
Immunohistochemical analysis of paraffin-embedded human breast carcinoma tissue using IkB-b(Phospho-Ser23) Antibody(left) or the same antibody preincubated with blocking peptide(right).
-
Western blot analysis of extracts from HT29 cells, treated with CA or calf intestinal phosphatase (CIP), using IκB-β (Phospho-Ser23) Antibody.
-
-
其他:
產品詳情
-
產品名稱:Rabbit anti-Homo sapiens (Human) NFKBIB Polyclonal antibody
-
Uniprot No.:
-
基因名:
-
宿主:Rabbit
-
反應種屬:Human,Mouse,Rat
-
免疫原:Peptide sequence around phosphorylation site of serine 23 (L-G-S(p)-L-G) derived from Human IkB-b.
-
免疫原種屬:Homo sapiens (Human)
-
克隆類型:Polyclonal
-
純化方式:Antibodies were produced by immunizing rabbits with synthetic phosphopeptide and KLH conjugates. Antibodies were purified by affinity-chromatography using epitope-specific phosphopeptide. Non-phospho specific antibodies were removed by chromatogramphy usi
-
濃度:It differs from different batches. Please contact us to confirm it.
-
產品提供形式:Liquid
-
應用范圍:ELISA,WB,IHC
-
推薦稀釋比:
Application Recommended Dilution WB 1:500-1:1000 IHC 1:50-1:100 -
Protocols:
-
儲存條件:Upon receipt, store at -20°C or -80°C. Avoid repeated freeze.
-
貨期:Basically, we can dispatch the products out in 1-3 working days after receiving your orders. Delivery time maybe differs from different purchasing way or location, please kindly consult your local distributors for specific delivery time.
-
用途:For Research Use Only. Not for use in diagnostic or therapeutic procedures.
相關產品
靶點詳情
-
功能:Inhibits NF-kappa-B by complexing with and trapping it in the cytoplasm. However, the unphosphorylated form resynthesized after cell stimulation is able to bind NF-kappa-B allowing its transport to the nucleus and protecting it to further NFKBIA-dependent inactivation. Association with inhibitor kappa B-interacting NKIRAS1 and NKIRAS2 prevent its phosphorylation rendering it more resistant to degradation, explaining its slower degradation.
-
基因功能參考文獻:
- The subcellular distributions of IkappaB and NFkappaB are indicative of carcinogenesis. Inhibition of XPO1 results in intranuclear retention of IkappaB, which inhibits NFkappaB and thereby provides a novel mechanism for drug therapy in sarcoma. This effect can be further enhanced in relatively selinexor-resistant sarcoma cell lines by pretreatment with the proteasome inhibitor carfilzomib. PMID: 28314790
- data suggest that miRNA-4776 modulates Influenza A virus production in infected cells through NFKBIB expression, possibly through the modulation of NF-kappaB. PMID: 28448456
- our data establish the importance of a novel tumor suppressive IKBB gene in abrogating angiogenesis in NPC via the NF-kappaB signalling pathway. PMID: 26227166
- NFKBIBrs3136641TT single nucleotide polymorphism was associated with a significantly decreased risk of developing wheezing. PMID: 25326706
- IkappaBbeta may be a novel target for transcription factors of the HMG-box SRY/Sox family and imply a potential role for NF-kappaB/IkappaBbeta in spermatogenesis PMID: 12475944
- VEGF increased Mn-superoxide dismutase promoter activity, an effect that was dependent on a second intronic NF-kappaB consensus motif. PMID: 15308628
- data indicate that inhibition of NFkappa-B activity by the hepatitis C virus core protein might be related to its physical interaction with and interrupted nuclear localization of IKKbeta PMID: 15919917
- None of the NFKBIB SNPs are associated with pneumococcal susceptibility. PMID: 17463416
- increased I-kappaBbeta expression reversed NF-kappaB activation in cancer cells, compensating for the loss of I-kappaBalpha via TGase 2 polymerization. PMID: 18950638
顯示更多
收起更多
-
亞細胞定位:Cytoplasm. Nucleus.
-
蛋白家族:NF-kappa-B inhibitor family
-
組織特異性:Expressed in all tissues examined.
-
數據庫鏈接:
Most popular with customers
-
-
YWHAB Recombinant Monoclonal Antibody
Applications: ELISA, WB, IHC, IF, FC
Species Reactivity: Human, Mouse, Rat
-
Phospho-YAP1 (S127) Recombinant Monoclonal Antibody
Applications: ELISA, WB, IHC
Species Reactivity: Human
-
-
-
-
-















