Phospho-JUND (Ser255) Antibody
-
中文名稱:磷酸化-JUND (Ser255)兔多克隆抗體
-
貨號:CSB-PA843368
-
規格:¥2454
-
圖片:
-
Western blot analysis of extracts from 293 cells using JunD(Phospho-Ser255) Antibody(Lane 2) and the same antibody preincubated with blocking peptide(Lane1).
-
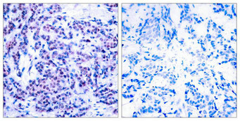
Immunohistochemical analysis of paraffin-embedded human breast carcinoma tissue using JunD(Phospho-Ser255) Antibody(left) or the same antibody preincubated with blocking peptide(right).
-
-
其他:
產品詳情
-
產品名稱:Rabbit anti-Homo sapiens (Human) JUND Polyclonal antibody
-
Uniprot No.:
-
基因名:
-
宿主:Rabbit
-
反應種屬:Human,Mouse,Rat
-
免疫原:Peptide sequence around phosphorylation site of serine 255 (G-E-S(p)-P-P) derived from Human JunD.
-
免疫原種屬:Homo sapiens (Human)
-
克隆類型:Polyclonal
-
純化方式:Antibodies were produced by immunizing rabbits with synthetic phosphopeptide and KLH conjugates. Antibodies were purified by affinity-chromatography using epitope-specific phosphopeptide. Non-phospho specific antibodies were removed by chromatogramphy usi
-
濃度:It differs from different batches. Please contact us to confirm it.
-
產品提供形式:Liquid
-
應用范圍:ELISA,WB,IHC
-
推薦稀釋比:
Application Recommended Dilution WB 1:500-1:1000 IHC 1:50-1:100 -
Protocols:
-
儲存條件:Upon receipt, store at -20°C or -80°C. Avoid repeated freeze.
-
貨期:Basically, we can dispatch the products out in 1-3 working days after receiving your orders. Delivery time maybe differs from different purchasing way or location, please kindly consult your local distributors for specific delivery time.
-
用途:For Research Use Only. Not for use in diagnostic or therapeutic procedures.
相關產品
靶點詳情
-
功能:Transcription factor binding AP-1 sites.
-
基因功能參考文獻:
- Data indicate the mechanism underlying redox-regulation of AP-1 Fos/Jun transcription factors and suggest structural insight for therapeutic interventions targeting AP-1 proteins. PMID: 28981703
- In T cells, after serum deprivation HBZ induces the expression of Delta JunD isoform. Unlike JunD, Delta JunD induces proliferation and transformation of cells. HBZ bypasses translational control of JunD uORF and favors the expression of Delta JunD. The truncated isoform Delta JunD has a central role in the oncogenic process leading to adult T-cell leukemia . PMID: 28260789
- MiR-663a suppresses proliferation and invasion by targeting AP-1 component JunD in non-small cell lung cancer cells. PMID: 27184257
- studies showed that down-regulation of JunD in response to TGF-beta treatment is mediated via the proteasomal degradation pathway. PMID: 27358408
- recombinant SERPINE2 induced a clear inhibition of MMP-13 expression in IL-1alpha-stimulated chondrocytes. This inhibitory effect is likely regulated through a pathway involving ERK 1/2, NF-kappaB and AP-1 PMID: 26305372
- miR-494 is a novel regulator of HNPC apoptosis induced by TNF-alpha PMID: 25906693
- JunD activates miR-29b by enhancing its transcription and processing, which contribute to the inhibitory effect of JunD PMID: 25788572
- Cells in contact with basement membrane undergo transient oscillations between two molecular states defined by their TGFBR3- JUND expression. PMID: 24658685
- BAG3 stabilized JunD mRNA. PMID: 24140207
- This genotype-phenotype correlation study confirmed the lack of direct genotype-phenotype correlations. However, patients with mutations affecting the JunD interacting domain had a higher risk of death secondary to a MEN1 tumor PMID: 23376981
- HTLV-1 bZIP factor(hbz) requires cellular JunD to upregulate HTLV-1 antisense transcription from the 3' long terminal repeat. PMID: 22696638
- results demonstrate the presence of a common oncogenic cascade initiated by FRA2/JUND in CCR4-expressing mature T-cell malignancies such as ATLL and CTCLs PMID: 22493372
- crystal structures of human menin in its free form and in complexes with MLL1 or with JUND, or with an MLL1-LEDGF heterodimer PMID: 22327296
- Apoptosis induction by dominant negative JunD is due to induction of growth arrest and DNA damage inducible proteins (GADD) 45 alpha and 45 gamma proteins. PMID: 21734453
- JunD mediates, whereas c-Jun modulates, prostaglandin E2 activation of aromatase promoters PMID: 21393445
- data indicate that JunD is an inhibitor of RHOH gene expression. PMID: 21473742
- These results suggest that the induction of MMP-7 by Tax is regulated by JunD and that MMP-7 could facilitate visceral invasion in adult T-cell leukemia . PMID: 21315773
- An alternative model of H ferritin promoter transactivation by c-Jun PMID: 11903046
- JunD activated by LHRH acts as a modulator of cell proliferation and cooperates with the anti-apoptotic and anti-mitogenic functions of LHRH. PMID: 12054733
- junD activation by ultraviolet rays plays a role in apoptosis in myeloblastic leukemia ML-1 cells PMID: 12082101
- Translation initiation from alternative AUG and non-AUG sites in human, mouse and rat. PMID: 12105216
- Constitutive activation of nuclear factor kappaB p50/p65 and Fra-1 and JunD is essential for deregulated interleukin 6 expression in prostate cancer. PMID: 12727841
- Menin is important for recruiting an mSin3A-histone deacetylase complex to repress JunD transcriptional activity. PMID: 14559791
- Data show that human T-cell leukemia virus type I (HTLV-I) bZIP factor can activate JunD-dependent transcription and that its amino-terminus is required. PMID: 15044019
- menin suppresses osteoblast maturation, in part, by inhibiting the differentiation actions of JunD PMID: 15563473
- JunD is another ARE regulatory protein for transcriptional activation of the human ferritin H gene and probably other antioxidant genes containing the conserved ARE sequences by which JunD may confer cytoprotection during oxidative stress PMID: 16007120
- JunD limits cardiomyocyte hypertrophy and protects the pressure-overloaded heart from cardiac apoptosis PMID: 16129800
- Menin's dynamic regulation of histone modifiers with JunD is responsible for PKC theta-synergistic effect on Nur77 expression in T cell PMID: 16264271
- Our data suggest that JUND and CLDN4 are critical mediators of the antiproliferative and antiviral effects of type I IFNs and further confirm the functional importance of the DNA-binding domain of Stat2. PMID: 17651017
- aberrantly expressed Fra-2 in association with JunD may play a major role in CCR4 expression and oncogenesis in adult t-cell leukemia. PMID: 18071306
- evidence is provided that HBZ/JunD heterodimers interact with Sp1 transcription factors and that activation of hTERT transcription by these heterodimers is mediated through binding sites for Sp1 present in the hTERT promoter. PMID: 18078517
- Damaging exercise induced the expression of capZalpha, MCIP1, CARP1, DNAJB2, c-myc, and junD, each of which are likely involved in skeletal muscle growth, remodeling, and stress management. PMID: 18321953
- JunD overexpression increases production of reactive oxygen species in LNCaP cells in a low androgen environment. PMID: 18386285
- JunD is a major determinant of macrophage activity and is associated with glomerulonephritis susceptibility. PMID: 18443593
- JunD activation reduces the proliferation of cancer cells. PMID: 18454173
- JunD is a biological suppressor of ZO-1 expression in intestinal epithelial cells and plays a critical role in maintaining epithelial barrier function PMID: 18562690
- Activated c-Jun is dimerized with JunD in response to adrenomedullin. PMID: 19166930
- Data suggest that TGF-beta1 up-regulates angiotensinogen transcription through a mechanism that requires both JunD and HIF-1alpha binding to the AGT core promoter, and that a molecular mechanism links hypoxia signaling and fibrogenic stimuli in the lung. PMID: 19211927
- Decreased Jun-D and myogenin expression in muscle wasting of human cachexia. PMID: 19470832
顯示更多
收起更多
-
亞細胞定位:Nucleus.
-
蛋白家族:BZIP family, Jun subfamily
-
數據庫鏈接:
Most popular with customers
-
-
YWHAB Recombinant Monoclonal Antibody
Applications: ELISA, WB, IHC, IF, FC
Species Reactivity: Human, Mouse, Rat
-
-
-
-
-
-















