Phospho-EIF4B (Ser422) Antibody
-
中文名稱:磷酸化-EIF4B (Ser422)兔多克隆抗體
-
貨號:CSB-PA696997
-
規格:¥2454
-
圖片:
-
Western blot analysis of extracts from Hela cells untreated or treated with EGF using eIF4B(phospho-Ser422) Antibody.
-
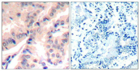
Immunohistochemical analysis of paraffin-embedded human lung carcinomatissue using eIF4B(Phospho-Ser422) Antibody(left) or the same antibody preincubated with blocking peptide(right).
-
-
其他:
產品詳情
-
產品名稱:Rabbit anti-Homo sapiens (Human) EIF4B Polyclonal antibody
-
Uniprot No.:
-
基因名:
-
宿主:Rabbit
-
反應種屬:Human,Mouse
-
免疫原:Peptide sequence around phosphorylation site of Serine 422 (T-G-S(p)-E-S) derived from Human eIF4B.
-
免疫原種屬:Homo sapiens (Human)
-
克隆類型:Polyclonal
-
純化方式:Antibodies were produced by immunizing rabbits with synthetic phosphopeptide and KLH conjugates. Antibodies were purified by affinity-chromatography using epitope-specific phosphopeptide. Non-phospho specific antibodies were removed by chromatogramphy usi
-
濃度:It differs from different batches. Please contact us to confirm it.
-
產品提供形式:Liquid
-
應用范圍:ELISA,WB,IHC
-
推薦稀釋比:
Application Recommended Dilution WB 1:500-1:1000 IHC 1:50-1:100 -
Protocols:
-
儲存條件:Upon receipt, store at -20°C or -80°C. Avoid repeated freeze.
-
貨期:Basically, we can dispatch the products out in 1-3 working days after receiving your orders. Delivery time maybe differs from different purchasing way or location, please kindly consult your local distributors for specific delivery time.
-
用途:For Research Use Only. Not for use in diagnostic or therapeutic procedures.
相關產品
靶點詳情
-
功能:Required for the binding of mRNA to ribosomes. Functions in close association with EIF4-F and EIF4-A. Binds near the 5'-terminal cap of mRNA in presence of EIF-4F and ATP. Promotes the ATPase activity and the ATP-dependent RNA unwinding activity of both EIF4-A and EIF4-F.
-
基因功能參考文獻:
- FASN-induced S6 kinase facilitates USP11-eIF4B complex formation for sustained oncogenic translation in diffuse large B-cell lymphoma. PMID: 29483509
- Synthesis of MCL1, an antiapoptotic protein known to play a role in cancer cell survival during cell division, depends on the function of MELK-elF4B signaling. PMID: 27528663
- Together, our data show that mAChRs modulate eIF4B phosphorylation via the ERK1/2 and PKC signaling pathways in SNU-407 colon cancer cells. PMID: 27773818
- Results indicate that eIF4B integrates the signals from Pim and PI3K/Akt/mTOR pathways in Abl-expressing leukemic cells. PMID: 26848623
- MicroRNA-216a inhibits the growth and metastasis of oral squamous cell carcinoma by targeting eIF4B. PMID: 25955794
- S6K1 enhances c-Myc translation efficiency by modulating the phosphorylation of eukaryotic initiation factor eIF4B, which is critical to unwind its structured 5' untranslated region. PMID: 25220053
- eIF4B is the RSK downstream effector responsible for elevated Lamgamma2 as well as MYC protein in neoplastic epithelial cells. PMID: 24205356
- The protein level of eukaryotic translation initiation factor 4B (eIF4B) was dramatically reduced in A549 cells as well as in the lung, spleen, and thymus of mice infected with influenza A virus. PMID: 24829357
- eIF4B-driven expression of these key survival proteins is directly correlated with patient outcome, and eIF4B, DAXX and ERCC5 are identified as novel prognostic markers for poor survival in DLBCL PMID: 24135829
- Report EIF4B binding within the IRES domain V of the coxsackie virus B3 mutant strain. PMID: 24063684
- Overexpression of pim-2 may inhibit the apoptosis of prostate cancer cells through phosphorylation of eIF4B, thus promoting tumorigenesis. PMID: 23813671
- our results identify eIF4B as a critical substrate of Pim kinases in mediating the activity of Abl oncogenes PMID: 23749639
- ORF45/RSK axis-induced eIF4B phosphorylation is involved in translational regulation and is required for optimal KSHV lytic replication. PMID: 21994950
- The solution structure of the eIF4B RNA recognition motif (RRM) domain is reported; the core RRM domain provides only a relative weak interaction with RNA targets and appears to require extensions at the N- and C-terminus for high-affinity binding. PMID: 12885229
- eIF4B may mediate some of the effects of the ribosomal protein S6 kinases on translation PMID: 15071500
- data indicate that eIF4B and 4H stimulate the nuclease activity of herpes simplex virus vhs, and they provide evidence that additional mammalian factors are required for targeting to the encephalomyocarditis virus IRES PMID: 15078951
- Phosphorylation of eIF4B on Ser422 by p90 ribosomal protein S6 kinase (RSK) and S6K is physiologically significant, as it increases the interaction of eIF4B with the eukaryotic translation initiation factor 3. PMID: 16763566
- Data show that reduced levels of eIF4B, eIF4H, or polyA-binding protein, also trigger SG formation. PMID: 19369421
顯示更多
收起更多
-
數據庫鏈接:
Most popular with customers
-
-
YWHAB Recombinant Monoclonal Antibody
Applications: ELISA, WB, IHC, IF, FC
Species Reactivity: Human, Mouse, Rat
-
-
-
-
-
-















