Phospho-EFNB1/EFNB2/EFNB3 (Tyr324) Antibody
-
中文名稱:磷酸化-EFNB1/EFNB2/EFNB3 (Tyr324)兔多克隆抗體
-
貨號:CSB-PA142593
-
規格:¥2454
-
圖片:
-
Western blot analysis of extracts from K562 cells treated with serum using Ephrin B1/B2/B3 (Phospho-Tyr324) Antibody.The lane on the right is treated with the antigen-specific peptide.
-
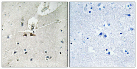
Immunohistochemical analysis of paraffin-embedded human brain tissue using Ephrin B1/B2/B3 (Phospho-Tyr324) antibody (left)or the same antibody preincubated with blocking peptide (right).
-
-
其他:
產品詳情
-
Uniprot No.:
-
宿主:Rabbit
-
反應種屬:Human,Mouse,Rat
-
免疫原:Peptide sequence around phosphorylation site of tyrosine 324 (G-D-Y(p)-G-H) derived from Human Ephrin B1/B2/B3 .
-
免疫原種屬:Homo sapiens (Human)
-
克隆類型:Polyclonal
-
純化方式:Antibodies were produced by immunizing rabbits with synthetic phosphopeptide and KLH conjugates. Antibodies were purified by affinity-chromatography using epitope-specific phosphopeptide. Non-phospho specific antibodies were removed by chromatogramphy usi
-
濃度:It differs from different batches. Please contact us to confirm it.
-
產品提供形式:Liquid
-
應用范圍:ELISA,WB,IHC
-
推薦稀釋比:
Application Recommended Dilution WB 1:500-1:1000 IHC 1:50-1:100 -
Protocols:
-
儲存條件:Upon receipt, store at -20°C or -80°C. Avoid repeated freeze.
-
貨期:Basically, we can dispatch the products out in 1-3 working days after receiving your orders. Delivery time maybe differs from different purchasing way or location, please kindly consult your local distributors for specific delivery time.
-
用途:For Research Use Only. Not for use in diagnostic or therapeutic procedures.
相關產品
Most popular with customers
-
-
YWHAB Recombinant Monoclonal Antibody
Applications: ELISA, WB, IHC, IF, FC
Species Reactivity: Human, Mouse, Rat
-
Phospho-YAP1 (S127) Recombinant Monoclonal Antibody
Applications: ELISA, WB, IHC
Species Reactivity: Human
-
-
-
-
-















