Phospho-CDC25A (Ser76) Antibody
-
中文名稱:磷酸化-CDC25A (Ser76)兔多克隆抗體
-
貨號:CSB-PA236400
-
規格:¥2454
-
圖片:
-
Western blot analysis of extracts from Hela cells untreated or treated with TNF-a and CA using cdc25A(Phospho-Ser76) Antibody.
-
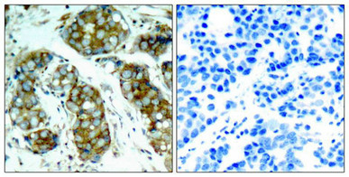
Immunohistochemical analysis of paraffin-embedded human breast carcinoma tissue using cdc25A(Phospho-Ser76) Antibody(left) or the same antibody preincubated with blocking peptide(right).
-
-
其他:
產品詳情
-
產品名稱:Rabbit anti-Homo sapiens (Human) CDC25A Polyclonal antibody
-
Uniprot No.:
-
基因名:
-
宿主:Rabbit
-
反應種屬:Human,Mouse,Rat
-
免疫原:Peptide sequence around phosphorylation site of serine 76 (M-G-S(p)-S-E) derived from Human cdc25A.
-
免疫原種屬:Homo sapiens (Human)
-
克隆類型:Polyclonal
-
純化方式:Antibodies were produced by immunizing rabbits with synthetic phosphopeptide and KLH conjugates. Antibodies were purified by affinity-chromatography using epitope-specific phosphopeptide. Non-phospho specific antibodies were removed by chromatogramphy usi
-
濃度:It differs from different batches. Please contact us to confirm it.
-
產品提供形式:Liquid
-
應用范圍:ELISA,WB,IHC
-
推薦稀釋比:
Application Recommended Dilution WB 1:500-1:1000 IHC 1:50-1:100 -
Protocols:
-
儲存條件:Upon receipt, store at -20°C or -80°C. Avoid repeated freeze.
-
貨期:Basically, we can dispatch the products out in 1-3 working days after receiving your orders. Delivery time maybe differs from different purchasing way or location, please kindly consult your local distributors for specific delivery time.
-
用途:For Research Use Only. Not for use in diagnostic or therapeutic procedures.
相關產品
靶點詳情
-
功能:Tyrosine protein phosphatase which functions as a dosage-dependent inducer of mitotic progression. Directly dephosphorylates CDK1 and stimulates its kinase activity. Also dephosphorylates CDK2 in complex with cyclin E, in vitro.
-
基因功能參考文獻:
- we uncovered the role of CDC25A in BRCA-mediated tumorigenesis, which can have implications in cancer treatment PMID: 29416040
- Cdc25A negatively regulates the antiviral immune response by inhibiting TBK1 activity. PMID: 30021902
- Study reveals that Cdc25A is elevated, activated and has an essential role in neuronal cell death evoked by apoptotic stimuli relevant to normal development and to AD. PMID: 28333146
- EGFR activation results in c-Src-mediated Cdc25A phosphorylation at Y59, which interacts with nuclear pyruvate kinase M2 (PKM2). PMID: 27485204
- our data also suggests the importance ofLIMD1 and CDC25A in conjunction with HPV for use as diagnostic and prognostic markers of HNSCC, whereas RBSP3 as a prognostic marker only. PMID: 29672635
- Inhibition of YBX1 suppressed lung cancer growth partly via the CDC25a pathway and high expression of YBX1/CDC25a predicts poor prognosis in human lung adenocarcinoma. PMID: 27384875
- MCPH1 interacts with and promotes the E3 ligase betaTrCP2 to degrade Cdc25A independent of DNA damage. Overexpression of betaTrCP2 or the knockdown of Cdc25A remedies the high mitotic index and rescues the premature differentiation of Mcph1-deficient neuroprogenitors in vivo MCPH1 itself is degraded by APC/CCdh1, but not APC/CCdc20, in late mitosis and G1 phase. PMID: 29150431
- The cytoplasmic relocalization of CDC25A in skin cancers results in acquisition of an antiapoptotic function for CDC25A. PMID: 28951130
- NPAS2 has a critical role in HCC cell survival and tumor growth, which is mainly mediated by transcriptional upregulation of CDC25A. PMID: 28333141
- Results identify cyclinD-CDK4/6 complexes as novel regulators of CDC25A stability during G1 phase, generating a negative feedback loop allowing control of the G1/S transition. PMID: 28192398
- These results identify a new positive regulatory loop between Cdc25A and its CDK-cyclin substrates which contributes to accelerate entry into mitosis through the regulation of Cdc25A activity in G2. PMID: 27580187
- The expression level of Cdc25A was significantly increased (<0.05) after treatment with miR-675 mimics. PMID: 27644634
- miR-497 modulates the growth of chondrosarcoma cells by targeting Cdc25A. PMID: 27053344
- This study demonstrated that the cell cycle pathway and the cdc25a gene may be crucial in the pathogenesis and progression of hepatocellular carcinoma. PMID: 26647881
- Increased CDC25A is associated with invasiveness in Non-small Cell Lung Cancer. PMID: 25990966
- Data indicate that nine compounds were identified with Ki values for CDC25A, -B and -C ranging from 0.01 to 4.4 muM. PMID: 26474275
- Identify CDC25A as an early cell cycle transducer of FLT3-ITD oncogenic signaling, and as a promising target to inhibit proliferation and re-induce differentiation of FLT3-ITD acute myeloid leukemia cells. PMID: 26515730
- STK38-mediated phosphorylation of CDC25A at Ser-76 and the subsequent degradation of CDC25A are required to promote DNA damage-induced G2/M checkpoint activation. PMID: 25936524
- let-7c suppresses HCC progression, possibly by directly targeting the cell cycle regulator CDC25A and indirectly affecting its downstream target molecules. Let-7c may therefore be an effective therapeutic target for HCC. PMID: 25909324
- Results suggest that miR-449a may act as a tumor suppressor by targeting CDC25A in endometrial cancer. PMID: 24993091
- CDC25C seems important for the phenotype of AML cells at least for a subset of patients. Many of the identified CDC25 inhibitors show cross-reactivity among the three CDC25 isoforms. PMID: 25397735
- Our results suggest that expression of CDC25B may be used as a potential prognostic marker in the pathogenesis of retinoblastoma. PMID: 25326518
- These results suggest that Cdc25a promotes human cytomegalovirus replication and elevation of Cdc25a levels after human cytomegalovirus infection are due in part to human cytomegalovirus-mediated repression of miR-21. PMID: 25378484
- miR-424(322)/503-dependent posttranscriptional downregulation of CDC25A cooperates with transcriptional repression of the CDC25A promoter and proteasome-mediated degradation to reduce the levels of CDC25A expression and to induce cell cycle arrest. PMID: 25266660
- Findings suggest that inhibition of H19 long non-coding RNA (LncRNAH19) and miR-675 expression can promote migration and invasion of hepatocellular carcinoma (HCC) cells via AKT/GSK-3beta/Cdc25A signaling pathway. PMID: 24939300
- accelerated cholangiocyte cystogenesis is likely due to overexpression of Cdc25A PMID: 24211536
- CDC 25A dephosphorylates NFAT, resulting in translocation to nucleus and NFAT in co-operation with Smad2 promotes the tumor progression. PMID: 24269534
- RSK promotes G2/M transition in mammalian cells through activating phosphorylation of Cdc25A and Cdc25B PMID: 23708659
- Overexpression of CDC25A was associated with the decrease of overall survival rates and disease-free survival in breast cancer patients.CDC25a is a target of HER2 signaling in human breast cancer. PMID: 23730206
- Overexpression of EGFR in head and neck squamous cell carcinoma is associated with inactivation of SH3GL2 and CDC25A genes. PMID: 23675485
- Data indicate that protein phosphatase inhibitor RE142 binds to one of the residues Cys384-Tyr386 of CDC25A, within a pocket adjacent to the catalytic site. PMID: 23467652
- Our work provides novel insight into the underlying mechanisms by which FOXM1 controls the cell cycle through its association with CDC25A. PMID: 23240008
- destabilization of Cdc25A through inhibition of Hsp90 was boosted by the phosphorylation of Ser177 which tags Cdc25A to proteasomal degradation and this added up to the cell-cycle inhibitory effect PMID: 22843495
- A new role for Rock2 in modulation of Cdc25A ubiquitination has been revealed, indicating a novel mechanism of Cdc25A regulation and a potential function for Rock2 in the development of hepatocellular carcinoma. PMID: 22705122
- Widdrol breaks DNA directly in HT29 cells, resulting in checkpoint activation via Chk2-p53-Cdc25A-p21-MCM4 pathway and finally cells go to G1-phase cell cycle arrest and apoptosis. PMID: 22160829
- Cdc25A has an important physiological role in NF-kappaB activity regulation and it may be an important survival mechanism of cancer cells. PMID: 22417828
- CDC25A deregulation may be involved in hematopoietic cells expansion in JAK2(V617F) patients, making this protein an attracting potential therapeutic target. PMID: 22065597
- Cdc25A enhances Foxo1 stability by dephosphorylating Cdk2, and Foxo1 was shown to directly regulate transcription of the metastatic factor MMP1. PMID: 21670150
- High-frequency canonical Wnt activation in multiple sarcoma subtypes drives proliferation through a TCF/beta-catenin target gene, CDC25A. PMID: 21575861
- Cdc14A phosphatase prevents premature activation of Cdk1 regulating Cdc25A and Cdc25B at the entry into mitosis. PMID: 20956543
- This study demonistratef that the expression levels of CDC25s in human gliomas, and found that CDC25A is overexpressed, and significantly correlate with Ki-67 expression. PMID: 20217459
- Results reveal an unexpected role of Cdc25A down-regulation and the inhibitory phosphorylation of cdk2 T14 and Y15 in cell cycle quiescence during muscle differentiation and implicate miRNAs-322 and -503 in the process. PMID: 20462953
- 263C/T and -51C/G polymorphisms of CDC25A gene could be candidate markers for earlier diagnosis and targets for breast cancer therapy. PMID: 20614206
- results suggest TRB3 is a regulator for adjusting the expression level of Cdc25A both in a normal and a genotoxic conditions PMID: 20606298
- 14-3-3 protein gamma mediates the interaction between Checkpoint kinase 1 and Cdc25A. PMID: 20639859
- Casein kinase 1 functions as both penultimate and ultimate kinase in regulating Cdc25A destruction. PMID: 20348946
- NEK11 controls degradation of CDC25A by directly phosphorylating CDC25A on residues whose phosphorylation is required for beta-TrCP mediated CDC25A polyubiquitylation and degradation. PMID: 20090422
- As a major regulator of Cdc25A, Dub3 is an example of a transforming ubiquitin hydrolase that subverts a key component of the cell cycle machinery, promoting oncogenic transformation. PMID: 20228808
- The reduction in Cdc25A mRNA and protein was dependent on the cyclin-dependent kinase inhibitor p21 and miR-21, which were upregulated in HCT116 colon cancer cells during hypoxia. PMID: 19738433
- Results demonstrate by RNA interference that Sp1 regulating CDC25A and FAS expression and proliferation in cancer cells. PMID: 19621387
顯示更多
收起更多
-
蛋白家族:MPI phosphatase family
-
數據庫鏈接:
Most popular with customers
-
YWHAB Recombinant Monoclonal Antibody
Applications: ELISA, WB, IHC, IF, FC
Species Reactivity: Human, Mouse, Rat
-
Phospho-YAP1 (S127) Recombinant Monoclonal Antibody
Applications: ELISA, WB, IHC
Species Reactivity: Human
-
-
-
-
-
-















