-
中文名稱:PYGL兔多克隆抗體
-
貨號:CSB-PA019122EA01HU
-
規格:¥440
-
圖片:
-
Western blot
All lanes: PYGL antibody at 2µg/ml
Lane 1: 293T whole cell lysate
Lane 2: HepG2 whole cell lysate
Secondary
Goat polyclonal to rabbit IgG at 1/10000 dilution
Predicted band size: 98, 94 kDa
Observed band size: 98 kDa -
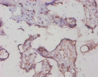
Immunohistochemistry of paraffin-embedded human placenta tissue using CSB-PA019122EA01HU at dilution of 1:20
-
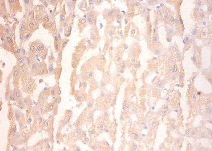
Immunohistochemistry of paraffin-embedded human liver tissue using CSB-PA019122EA01HU at dilution of 1:100
-
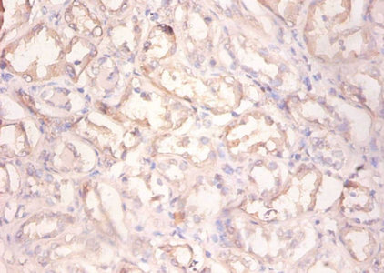
Immunohistochemistry of paraffin-embedded human kidney tissue using CSB-PA019122EA01HU at dilution of 1:100
-
-
其他:
產品詳情
-
產品名稱:Rabbit anti-Homo sapiens (Human) PYGL Polyclonal antibody
-
Uniprot No.:
-
基因名:
-
別名:Glycogen phosphorylase antibody; Glycogen phosphorylase L antibody; Glycogen phosphorylase liver antibody; Glycogen phosphorylase liver form antibody; GSD6 antibody; Hers disease; glycogen storage disease type VI antibody; liver form antibody; OTTHUMP00000233649 antibody; OTTHUMP00000233651 antibody; Phosphorylase glycogen liver antibody; Pygl antibody; PYGL_HUMAN antibody
-
宿主:Rabbit
-
反應種屬:Human
-
免疫原:Recombinant Human Glycogen phosphorylase, liver form protein (2-846AA)
-
免疫原種屬:Homo sapiens (Human)
-
標記方式:Non-conjugated
本頁面中的產品,PYGL Antibody (CSB-PA019122EA01HU),的標記方式是Non-conjugated。對于PYGL Antibody,我們還提供其他標記。見下表:
-
克隆類型:Polyclonal
-
抗體亞型:IgG
-
純化方式:>95%, Protein G purified
-
濃度:It differs from different batches. Please contact us to confirm it.
-
保存緩沖液:Preservative: 0.03% Proclin 300
Constituents: 50% Glycerol, 0.01M PBS, PH 7.4 -
產品提供形式:Liquid
-
應用范圍:ELISA, WB, IHC
-
推薦稀釋比:
Application Recommended Dilution WB 1:1000-1:5000 IHC 1:20-1:200 -
Protocols:
-
儲存條件:Upon receipt, store at -20°C or -80°C. Avoid repeated freeze.
-
貨期:Basically, we can dispatch the products out in 1-3 working days after receiving your orders. Delivery time maybe differs from different purchasing way or location, please kindly consult your local distributors for specific delivery time.
-
用途:For Research Use Only. Not for use in diagnostic or therapeutic procedures.
產品評價
實驗應用:WB
樣品信息:mouse
稀釋比:1:2000
產品評價: 我使用CSB-PA019122EA01HU抗體,進行WB檢測,檢測小鼠肝臟樣本,使用NP40裂解液,組織破碎儀破碎三分鐘,冰上裂解三十分鐘,離心取上清,30倍稀釋,BCA測定濃度,10%膠進行上樣,PVDF轉膜,5%脫脂奶粉封閉,洗膜孵育一抗(1:2000),4度過夜,孵育二抗,RT2h,ECL發光液顯影。該產品特異性很好,穩定的條帶,沒有背景雜帶,很滿意
By 楊老師
相關產品
靶點詳情
-
功能:Allosteric enzyme that catalyzes the rate-limiting step in glycogen catabolism, the phosphorolytic cleavage of glycogen to produce glucose-1-phosphate, and plays a central role in maintaining cellular and organismal glucose homeostasis.
-
基因功能參考文獻:
- Susceptibility to excessive liver glycogen storage in patients with type 1 diabetes. PMID: 15223230
- Deficiency of liver glycogen phosphorylase is predominantly the result of missense mutations affecting enzyme activity. There are no common mutations and the severity of clinical symptoms varies significantly. PMID: 17705025
-
相關疾病:Glycogen storage disease 6 (GSD6)
-
亞細胞定位:Cytoplasm, cytosol.
-
蛋白家族:Glycogen phosphorylase family
-
數據庫鏈接:
Most popular with customers
-
-
YWHAB Recombinant Monoclonal Antibody
Applications: ELISA, WB, IHC, IF, FC
Species Reactivity: Human, Mouse, Rat
-
Phospho-YAP1 (S127) Recombinant Monoclonal Antibody
Applications: ELISA, WB, IHC
Species Reactivity: Human
-
-
-
-
-















