PTH Antibody
-
中文名稱:PTH兔多克隆抗體
-
貨號:CSB-PA09774A0Rb
-
規格:¥440
-
圖片:
-
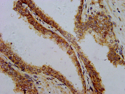
IHC image of CSB-PA09774A0Rb diluted at 1:700 and staining in paraffin-embedded human prostate cancer performed on a Leica BondTM system. After dewaxing and hydration, antigen retrieval was mediated by high pressure in a citrate buffer (pH 6.0). Section was blocked with 10% normal goat serum 30min at RT. Then primary antibody (1% BSA) was incubated at 4°C overnight. The primary is detected by a biotinylated secondary antibody and visualized using an HRP conjugated SP system.
-
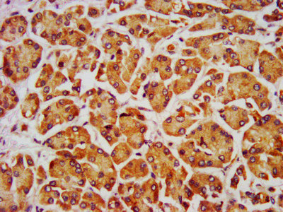
IHC image of CSB-PA09774A0Rb diluted at 1:700 and staining in paraffin-embedded human pancreatic tissue performed on a Leica BondTM system. After dewaxing and hydration, antigen retrieval was mediated by high pressure in a citrate buffer (pH 6.0). Section was blocked with 10% normal goat serum 30min at RT. Then primary antibody (1% BSA) was incubated at 4°C overnight. The primary is detected by a biotinylated secondary antibody and visualized using an HRP conjugated SP system.
-
-
其他:
產品詳情
-
產品名稱:Rabbit anti-Homo sapiens (Human) PTH Polyclonal antibody
-
Uniprot No.:
-
基因名:
-
別名:hPTH antibody; Parathormone antibody; Parathyrin antibody; Parathyroid hormone 1 antibody; Parathyroid hormone antibody; Prepro PTH antibody; Preproparathyroid hormone antibody; PTH antibody; PTH1 antibody; PTH1 receptor antibody; PTH1R antibody; PTHR antibody; PTHR1 antibody; PTHY_HUMAN antibody
-
宿主:Rabbit
-
反應種屬:Human
-
免疫原:Recombinant Human Parathyroid hormone protein (32-115AA)
-
免疫原種屬:Homo sapiens (Human)
-
標記方式:Non-conjugated
本頁面中的產品,PTH Antibody (CSB-PA09774A0Rb),的標記方式是Non-conjugated。對于PTH Antibody,我們還提供其他標記。見下表:
-
克隆類型:Polyclonal
-
抗體亞型:IgG
-
純化方式:>95%, Protein G purified
-
濃度:It differs from different batches. Please contact us to confirm it.
-
保存緩沖液:Preservative: 0.03% Proclin 300
Constituents: 50% Glycerol, 0.01M PBS, PH 7.4 -
產品提供形式:Liquid
-
應用范圍:ELISA, IHC
-
推薦稀釋比:
Application Recommended Dilution IHC 1:500-1:1000 -
Protocols:
-
儲存條件:Upon receipt, store at -20°C or -80°C. Avoid repeated freeze.
-
貨期:Basically, we can dispatch the products out in 1-3 working days after receiving your orders. Delivery time maybe differs from different purchasing way or location, please kindly consult your local distributors for specific delivery time.
-
用途:For Research Use Only. Not for use in diagnostic or therapeutic procedures.
相關產品
靶點詳情
-
功能:PTH elevates calcium level by dissolving the salts in bone and preventing their renal excretion. Stimulates [1-14C]-2-deoxy-D-glucose (2DG) transport and glycogen synthesis in osteoblastic cells.
-
基因功能參考文獻:
- Among subjects with preserved renal function, PTH levels were possibly associated with metabolic syndrome in females, whereas vitamin D levels exhibited a possible link to metabolic syndrome in males. PMID: 29348466
- Data suggest that, in pregnant women with largely sufficient calcium intakes (via diet and dietary supplements), serum 25-hydroxyvitamin D (total of 25[OH]D2 and 25[OH]D3) is important for maintaining normal serum PTH levels; this study was conducted in group of white-skinned women at northern latitudes in Ireland. PMID: 30018262
- In conclusion, Fetuin A, vitamin D, and intact PTH levels were all associated with sarcopenia in this geriatric population. Among them, intact PTH specifically indicates patients with sarcopenic left ventricular hypertrophy. PMID: 28112206
- Dkk-1 and PTH levels in psoriatic arthritis are lower than healthy female controls, in contrast with rheumatoid arthritis, in which they are increased PMID: 28634697
- Scientific evidence of genetic association of serum PTH level among individuals with different pathologic conditions remains deficient and published results provide weak evidence (review and meta-analysis). PMID: 29794776
- Clinical data on secondary hyperparathyroidism, mainly derived from patients with chronic kidney disease, indicate a potential inverse association between leptin (LEP) and parathyroid hormone (PTH) in some, but not all studies. [REVIEW] PMID: 28730419
- Parathyroid hormone controls bone and kidney homeostasis via GNAS and Gq-G11 heterotrimeric G proteins. (Review) PMID: 28363951
- Patients with chronic kidney disease undergoing parathyroidectomy for primary hyperparathyroidism have similar intraoperative parathyroid hormone degradation kinetics to those with normal kidney function. PMID: 29128188
- PTH levels are significantly higher in untreated sustained hypertension patients than white-coat hypertension patients and normotensive subjects. PMID: 29176783
- results revealed that PTH treatment on HCs, either continuous or pulsatile, does not exhibit any positive effect, and indicates that exogenous PTH administration after fracture has no effect on HCs. PTH may not have a positive effect at the fracture site during the early stage of fracture healing in which haematoma formation occurs. PMID: 24039091
- Pre-incubation of muscle fibers or myotubes with physiological concentrations of PTH, concentration-dependently reduced uptake of labelled 25-hydroxyvitamin D3. PMID: 28104493
- Baseline PTH level was not associated with changes in frailty status in men. PMID: 28609827
- Elevated PTH induces the transition of endothelial cells to chondrogenic cells via endothelial-mesenchymal transition, possibly mediated by the nuclear translocation of beta-catenin. PMID: 27582099
- Cys mutation at the 25th residue of hPTH(1-34) may result in a high bone mass phenotype. PMID: 27300576
- Common genetic variants located near genes involved in vitamin D metabolism and calcium and renal phosphate transport associated with differences in circulating parathyroid hormone concentrations PMID: 27927781
- PTH pretreatment prevented TGF-beta1 and high glucose-induced Smad2/3 phosphorylation and consequent upregulation of fibronectin and type IV collagen within 4 h. PMID: 27530924
- FGFR1c and PTHR signaling pathways converge on NHERF1 to inhibit PTH- and FGF23-sensitive phosphate transport and down-regulate NPT2A. PMID: 27432882
- The present study supports the independent pathogenic effect of rs6254GA polymorphism on the development and severity of bone mineral density complications in patients with asymptomatic but not normocalcemic hyperparathyroidism. PMID: 27756092
- In patients receiving dual antiplatelet therapy for coronary artery disease, higher PTH levels are associated with an increased ADP-mediated platelet reactivity and suboptimal response to clopidogrel. PMID: 27086085
- Parathyroid hormone gene rs6256 variants are not associated with susceptibility to colorectal cancer PMID: 25124570
- PTH levels were significantly higher in patients with aldosterone producing adenomas. PMID: 26304960
- Although there was a trend for a negative association in women, no statistically significant association was found between endogenous PTH and knee osteoarthritis. PMID: 25879737
- The purpose of this study was to investigate the prevalence of adenomatous colon polyps (ACP) as they occur in subjects with diabetes mellitus (DM) and chronic kidney disease. PMID: 27993873
- PTH [parathyroid hormone]together with other markers of heart failure may provide valuable information both in the diagnosis and staging of heart failure syndromes PMID: 27546695
- Patients with a serum PTH decrease to low values after 1 year of hemodialysis treatment are at high risk of short-term cardiovascular death. PMID: 26880460
- a cell model of human dermal fibroblasts in order to investigate the functions of sclerostin, is reported. PMID: 26851122
- recombinant human klotho inhibits the expression of 1-OH by PTH both in vitro and in vivo. PMID: 26287968
- results suggest that NO-mediated vasorelaxation plays partly a role in the anabolic action of PTH on cortical bone PMID: 26834008
- In this large community-based cohort, PTH levels, overall, were not independently associated with the risk of hypertension. However, we found some evidence that PTH may be associated with hypertension in blacks. PMID: 26867053
- The objective of this article is to investigate the effect of renin-angiotensin system inhibitors (RASIs) on intact parathyroid hormone (iPTH) levels in continuous ambulatory peritoneal dialysis (CAPD) patients. PMID: 25271253
- PTH does not contribute to the occurrence of metabolic components of obesity, but there is a positive correlation between 25(OH)D and HDL-C. PMID: 26451492
- Data suggest that effects of PTH on bone remodeling are mediated not only by osteoblasts/osteocytes but also by T-lymphocytes in bone marrow; T-lymphocytes regulate differentiation/life span of stromal cells and their responsiveness to PTH. [REVIEW] PMID: 26662934
- Serum secreted i-PTH level might not be predictable by a total mass of parathyroid glands or by their blood supply. PMID: 26997379
- A Homozygous [Cys25]PTH(1-84) Mutation That Impairs PTH/PTHrP Receptor Activation Defines a Novel Form of Hypoparathyroidism. PMID: 25891861
- Study indicates significant association between specific PTH gene promoter region variants and altered levels of 25(OH)D and vitamin D deficiency among specific nationals. PMID: 26339419
- Elevation of PTH, unlike vitamin D, is independently associated with Chronic Obstructive Pulmonary Disease (COPD) severity, and may be a better biomarker for COPD. PMID: 26398210
- Abnormal diurnal patterns of PTH are associated with sustained mild hypercalcemia in nondialyzed chronic kidney disease patients. PMID: 27012036
- These data indicate that ephrinB2/EphB4 signaling within the osteoblast lineage is required for late stages of osteoblast differentiation. PMID: 23165727
- Serum 25(OH)D levels were inversely associated with serum PTH and bone mineral density. PMID: 23045165
- Elevated parathyroid hormone serum concentrations might have a role in colorectal cancer development as indicated by higher rates of adenomas, specifically with dysplasia, in women. PMID: 26021763
- the iPTH level in ESRD patients carrying VDR BsmI Bb genotype was higher than that in ESRD patients carrying bb genotype in overall populations and in Caucasians PMID: 25007156
- The identification of PTH and other hormonal resistances implies to look for the genetic disorder supporting the metabolic disorder--{REVIEW} PMID: 25913526
- Intraoperative PTH monitoring during parathyroidectomy to determine PTH clearance proved to be a feasible marker for adequacy and safety of surgery and "cure". PMID: 25241609
- Data suggest serum PTH level is independently associated with bone mineral density (BMD) in vitamin D-sufficient women and vitamin D-insufficient women; no association was found in men; high serum PTH is detrimental on BMD in postmenopausal women. PMID: 25242259
- In a racially/ethnically diverse population without prevalent cardiovascular disease, higher serum PTH concentration was associated with increased left ventricular mass and increased risk of incident heart failure. PMID: 25468653
- In a large community-based sample of elderly, calcium was independently associated with increased arterial stiffness, and PTH independently to intra-arterial peripheral and calculated central blood pressures. PMID: 25562577
- Suggest that measurement of iPTH may be useful for assessment of mineral bone disorder in patients with chronic kidney disease. PMID: 26299086
- A detailed characterization of in vitro generated amyloid fibrils from human parathyroid hormone (hPTH(1-84)). PMID: 25554227
- salt bridge between Arg-20 on parathyroid hormone (PTH) and Asp-137 on the PTH1 receptor is essential for full affinity. PMID: 25218037
- A panel of easily assessable determinants could account for both a substantial proportion of PTH variance and the occurrence of secondary hyperparathyroidism. PMID: 24202062
顯示更多
收起更多
-
相關疾病:Hypoparathyroidism, familial isolated (FIH)
-
亞細胞定位:Secreted.
-
蛋白家族:Parathyroid hormone family
-
數據庫鏈接:
Most popular with customers
-
-
YWHAB Recombinant Monoclonal Antibody
Applications: ELISA, WB, IHC, IF, FC
Species Reactivity: Human, Mouse, Rat
-
Phospho-YAP1 (S127) Recombinant Monoclonal Antibody
Applications: ELISA, WB, IHC
Species Reactivity: Human
-
-
-
-
-















