PTCH1 Antibody
-
中文名稱:PTCH1兔多克隆抗體
-
貨號:CSB-PA179507
-
規格:¥1100
-
圖片:
-
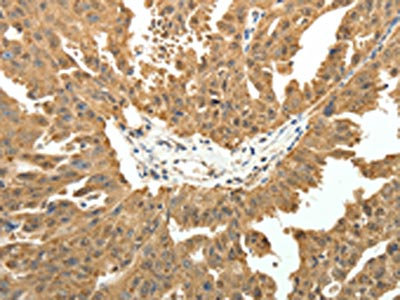
The image on the left is immunohistochemistry of paraffin-embedded Human ovarian cancer tissue using CSB-PA179507(PTCH1 Antibody) at dilution 1/50, on the right is treated with fusion protein. (Original magnification: ×200)
-
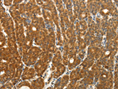
The image on the left is immunohistochemistry of paraffin-embedded Human thyroid cancer tissue using CSB-PA179507(PTCH1 Antibody) at dilution 1/50, on the right is treated with fusion protein. (Original magnification: ×200)
-
Gel: 8%SDS-PAGE, Lysate: 40 μg, Lane 1-2: Hela cells, mouse lung tissue, Primary antibody: CSB-PA179507(PTCH1 Antibody) at dilution 1/900, Secondary antibody: Goat anti rabbit IgG at 1/8000 dilution, Exposure time: 1 minute
-
-
其他:
產品詳情
-
Uniprot No.:
-
基因名:
-
別名:A230106A15Rik antibody; BCNS antibody; FLJ26746 antibody; FLJ42602 antibody; Holoprosencephaly 7 antibody; HPE7 antibody; mes antibody; NBCCS antibody; OTTHUMP00000021709 antibody; OTTHUMP00000021710 antibody; Patched antibody; Patched (Drosophila) homolog antibody; Patched 1 antibody; Patched homolog (Drosophila) antibody; Patched homolog 1 (Drosophila) antibody; Patched homolog 1 antibody; Patched protein homolog 1 antibody; Protein patched homolog 1 antibody; PTC antibody; PTC1 antibody; PTC1_HUMAN antibody; PTCH antibody; PTCH protein +12b antibody; PTCH protein +4' antibody; PTCH protein -10 antibody; PTCH protein antibody; ptch1 antibody; PTCH1 protein antibody; PTCH11 antibody; Ptch2 antibody
-
宿主:Rabbit
-
反應種屬:Human,Mouse
-
免疫原:Fusion protein of Human PTCH1
-
免疫原種屬:Homo sapiens (Human)
-
標記方式:Non-conjugated
-
抗體亞型:IgG
-
純化方式:Antigen affinity purification
-
濃度:It differs from different batches. Please contact us to confirm it.
-
保存緩沖液:-20°C, pH7.4 PBS, 0.05% NaN3, 40% Glycerol
-
產品提供形式:Liquid
-
應用范圍:ELISA,WB,IHC
-
推薦稀釋比:
Application Recommended Dilution ELISA 1:2000-1:5000 WB 1:500-1:2000 IHC 1:50-1:200 -
Protocols:
-
儲存條件:Upon receipt, store at -20°C or -80°C. Avoid repeated freeze.
-
貨期:Basically, we can dispatch the products out in 1-3 working days after receiving your orders. Delivery time maybe differs from different purchasing way or location, please kindly consult your local distributors for specific delivery time.
-
用途:For Research Use Only. Not for use in diagnostic or therapeutic procedures.
相關產品
靶點詳情
-
功能:Acts as a receptor for sonic hedgehog (SHH), indian hedgehog (IHH) and desert hedgehog (DHH). Associates with the smoothened protein (SMO) to transduce the hedgehog's proteins signal. Seems to have a tumor suppressor function, as inactivation of this protein is probably a necessary, if not sufficient step for tumorigenesis.
-
基因功能參考文獻:
- Co-occurrence of mutations in FOXP1 and PTCH1 in a girl with extreme megalencephaly, callosal dysgenesis and profound intellectual disability. PMID: 30181650
- Combined heterozygous germline mutations in PTCH1 and PTCH2 were identified in a patient with embryonal rhabdomyosarcoma. PMID: 29230040
- report a patient with a novel, isoform 1b specific mutation in PTCH1 and thereby distinguish PTCH1 isoform 1b as the major transcript in the development of Basal cell nevus syndrome. PMID: 29930296
- Authors have established a locus-specific database for the PTCH1 gene using the Leiden Open Variation Database (LOVD). The database provides an open collection for both clinicians and researchers and is accessible online at http://www.lovd.nl/PTCH1. PMID: 29575684
- this study reports the structures of human Ptch1 alone and in complex with the N-terminal domain of human Sonic hedgehog (ShhN) at resolutions of 3.9 and 3.6 angstroms, respectively, as determined by cryo-electron microscopy. PMID: 29954986
- PVT1 epigenetically down-regulates PTCH1 expression via competitively binding miR-152, contributing to EMT process in liver fibrosis PMID: 27588491
- Study identified a novel frameshift mutation in exon 9 of the PTCH1 gene in a nevoid basal cell carcinoma syndrome case with medulloblastoma and the affected father. This frameshift mutation causes premature stop codon and is responsible for the clinical features. PMID: 29544218
- This is, to our knowledge, the first Gorlin syndrome-causing mutation that has been reported four independent times in distant geographical locations. Therefore, we propose the location of the described mutation as a potential hot spot for mutations in PTCH1. PMID: 29498494
- Patients with missense variants in PTCH1 were diagnosed later and less likely to have developed at least 10 basal cell carcinomas and jaw cysts. Patients with identified PTCH1 variants were more likely to be diagnosed earlier, have developed jaw cysts and have bifid ribs or any skeletal abnormality. PMID: 28596197
- The authors found 15 germline PTCH1 mutations, uniformly distributed across the PTCH1 gene among patients with Basaloid Follicular Hamartoma and Basal Cell Carcinoma. Therefore, Basaloid Follicular Hamartoma and Basal Cell Carcinoma may be the same genetic entity and not two distinctive syndromes. PMID: 29277811
- This study indicates that germline PTCH1 heterozygous mutations play a major role in bone metabolism in patients with NBCCS, in particular in those with PTCH1 protein truncation mutations. SPARC may represent an important downstream modulator of PTCH1 mediation of bone metabolism. PMID: 26890308
- Demonstrate altered cytoplasmic expression of Ptc1 and reduced number and length of primary cilia, where Ptc1 is located, in fibroblasts from Niemann-Pick type C patients. PMID: 28332184
- Nevoid basal cell carcinoma syndrome caused by splicing mutations in the PTCH1 gene. PMID: 27561271
- PTCH1 expression is a promising molecular marker for predicting the imatinib response in chronic myeloid leukemia patients in chronic phase. PMID: 28704552
- the significant increase of blunt-ended, double-stranded DNA breaks, but not other types of DNA breaks, in normal cells from patients with RET/PTC-driven tumors suggests that blunt-ended double-stranded DNA breaks are a preferred substrate for rearrangement formation, and implicate involvement of the non-homologous end joining pathway in the formation of RET/PTC rearrangements. PMID: 28069693
- Thus, our study clearly demonstrated the unique involvement of the two novel PTCH1 splice variants in HH signal transduction. PMID: 28390897
- These data reveal an interaction between the cytoplasmic domains of Ptch1 and that these domains modulate Ptch1 activity but are not essential for regulation of the Hh pathway. PMID: 27325696
- epigenetic silencing of PTCH is a mechanism contributing to chronic lymphocytic leukemia tumorigenesis PMID: 27630290
- PTCH1 mutations contribute to as much as 10% of ODA, identify the SHH signaling pathway as a novel effector of SOX2 activity during human ocular development, and indicate that ODA is likely the result of overactive SHH signaling in humans harboring mutations in either PTCH1 or SOX2. PMID: 26893459
- Naevoid basal cell carcinoma syndrome (NBCCS) is a rare autosomal dominantly inherited disorder with primary mutations in the Patched (PTCH1) gene PMID: 25600101
- This is the first report describing a GS-associated ovarian tumor carrying a second hit in the PTCH1 region. PMID: 26782978
- In Nigerian patients with ameloblastoma, moderate and strong expressions for PTCH in ameloblast and stellate reticulum were 78.6% and 60.7% respectively PMID: 27386018
- suggest that CUL2-based E3 ligase complex may play a role in Shh- and Ptc1-dependent signaling pathways PMID: 26885983
- Increased SHH, PTCH, and GLI1 protein correlated positively with tumor grade, tumor depth and lymph node metastasis in Peutz-Jeghers syndrome. PMID: 26997450
- The results do not support our hypothesis that common germline genetic variants in the PTCH1 genes is associated with the risk of developing medulloblastoma. PMID: 26290144
- after 20 years of the molecular and epidemiological research of RET/PTC in thyroid radiogenic carcinomas the comprehensive evidence of the dose-effect dependence existence indicating a real relationship between the studied parameters and radiation factor PMID: 27245001
- A genome-wide association study of bone mineral density (BMD) found a new BMD locus that harbors the PTCH1 gene, that associates with reduced spine BMD and the RSPO3 associates with increased spine BMD. PMID: 26733130
- The Cytoskeletal Protein Zyxin Interacts with the Hedgehog Receptor Patched PMID: 27125030
- results indicate that whereas ciliary localization of Patched is essential for suppression of Smoothened activation, the primary event enabling Smoothened activation PMID: 26038600
- Frequent inactivating PTCH1 mutations were found in oesophageal basaloid squamous cell carcinoma. These changes activate the Hedgehog pathway, which has been shown to cross-talk with the Wnt signalling pathway. PMID: 25395299
- Melittin induces PTCH1 expression by down-regulating MeCP2 and blocking Shh signaling in human hepatocellular carcinoma cells. PMID: 26189965
- PTCH1 expression is regulated by different 5' untranslated region cis-regulatory elements. PMID: 25826662
- Data indicate microRNA-9 (miR-9) as the target of patched protein 1 (PTCH1) in resistant glioblastoma multiforme (GBM) cells with concomitant activation of sonic hedgehog SHH signaling. PMID: 25595896
- Calcitriol represents a possible endogenous transmitter of Ptch/Smo interaction. PMID: 26126827
- germline single base deletion of PTCH1 (c.2613 delC) is a first hit and the LOH of the wild-type allele is a second hit, implying that all 16 BCCs detected in these NBCCS sisters fit the standard two-hit model PMID: 24942795
- results suggest that the PTCH1 gene plays a significant role in the pathogenesis of sporadic KCOTs, which is comparable to that observed in NBCCS patients PMID: 25458233
- The expression of PTCH1 in 50 human cholangiocellular carcinoma, cholangiocarcinoma cell line, and vivo growing tumors was measured by quantitative PCR PMID: 24733827
- High Ptch-1 expression is associated with lymph node metastasis in non-small cell lung cancers. PMID: 24710823
- Results show that XIAP binds to the C terminus of Ptch1 and mediates the death-dependent function of Ptch1. PMID: 25292199
- Ptc1-Gli1 signaling deregulation resulting in abnormal loss of glial precursor cells may contribute to a cognition decline in Alzheimer's disease brains. PMID: 25027328
- our data suggests that activation of the Hedgehog pathway due to PTCH1 inactivation along with HPV infection is important in cervical cancer development. PMID: 25330948
- Two altered PTCH1 transcripts were identified in patients with Gorlin syndrome PMID: 24659465
- In this study we presented two cases with Gorlin syndrome. Molecular analysis of the patients showed two frameshift and one nonsense mutations in PTCH1 gene (two germline and one somatic), all of them novel. PMID: 25727044
- Germline PTCH1 mutations are linked to nevoid basal cell carcinoma syndrome. PMID: 24517962
- suggest childhood brain magnetic resonance imaging surveillance is justified in SUFU-related, but not PTCH1-related, Gorlin syndrome PMID: 25403219
- our data suggest that the non-canonical Hh pathway mediated through ptch1 and cyclin B1 is involved in the pathogenesis of NBCCS-associated KCOTs. PMID: 24840883
- Results found that PTCH1 is highly expressed in hepatocellular carcinoma tissues. PMID: 24805933
- Serrated colorectal carcinoma as proposed to arise from serrated adenoma is characterized by down regulation of PTCH. PMID: 24612059
- The C-terminal domain of PTCH1 interacts with and is ubiquitylated on K1413 by the E3 ubiquitin-protein ligase Itchy homolog Itch. PMID: 25092867
- Authors report a loss-of-function mutation of PTCH1, a tumor suppressor in the Hh pathway, in a colorectal cancer that exhibits transcriptional upregulation of the downstream Hh gene GLI1. PMID: 24368541
顯示更多
收起更多
-
相關疾病:Basal cell nevus syndrome (BCNS); Basal cell carcinoma (BCC); Holoprosencephaly 7 (HPE7)
-
亞細胞定位:Cell membrane; Multi-pass membrane protein.
-
蛋白家族:Patched family
-
組織特異性:In the adult, expressed in brain, lung, liver, heart, placenta, skeletal muscle, pancreas and kidney. Expressed in tumor cells but not in normal skin.
-
數據庫鏈接:
Most popular with customers
-
-
YWHAB Recombinant Monoclonal Antibody
Applications: ELISA, WB, IHC, IF, FC
Species Reactivity: Human, Mouse, Rat
-
Phospho-YAP1 (S127) Recombinant Monoclonal Antibody
Applications: ELISA, WB, IHC
Species Reactivity: Human
-
-
-
-
-















