PROKR2 Antibody
-
中文名稱:PROKR2兔多克隆抗體
-
貨號:CSB-PA018749YA01HU
-
規格:¥440
-
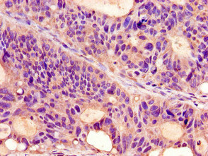
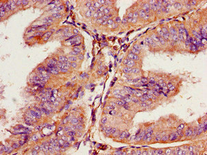
圖片:
-
其他:
產品詳情
-
產品名稱:Rabbit anti-Homo sapiens (Human) PROKR2 Polyclonal antibody
-
Uniprot No.:
-
基因名:
-
別名:PROKR2; GPR73L1; PKR2; Prokineticin receptor 2; PK-R2; G-protein coupled receptor 73-like 1; G-protein coupled receptor I5E; GPR73b; GPRg2
-
宿主:Rabbit
-
反應種屬:Human
-
免疫原:Recombinant Human Prokineticin receptor 2 protein (1-45AA)
-
免疫原種屬:Homo sapiens (Human)
-
標記方式:Non-conjugated
本頁面中的產品,PROKR2 Antibody (CSB-PA018749YA01HU),的標記方式是Non-conjugated。對于PROKR2 Antibody,我們還提供其他標記。見下表:
-
克隆類型:Polyclonal
-
抗體亞型:IgG
-
純化方式:>95%, Protein G purified
-
濃度:It differs from different batches. Please contact us to confirm it.
-
保存緩沖液:Preservative: 0.03% Proclin 300
Constituents: 50% Glycerol, 0.01M PBS, pH 7.4 -
產品提供形式:Liquid
-
應用范圍:ELISA, IHC
-
推薦稀釋比:
Application Recommended Dilution IHC 1:20-1:200 -
Protocols:
-
儲存條件:Upon receipt, store at -20°C or -80°C. Avoid repeated freeze.
-
貨期:Basically, we can dispatch the products out in 1-3 working days after receiving your orders. Delivery time maybe differs from different purchasing way or location, please kindly consult your local distributors for specific delivery time.
-
用途:For Research Use Only. Not for use in diagnostic or therapeutic procedures.
相關產品
靶點詳情
-
功能:Receptor for prokineticin 2. Exclusively coupled to the G(q) subclass of heteromeric G proteins. Activation leads to mobilization of calcium, stimulation of phosphoinositide turnover and activation of p44/p42 mitogen-activated protein kinase.
-
基因功能參考文獻:
- EG-VEGF and PROKR2 were highly expressed in colorectal primary lesions compared to positive controls. PROKR1 expression was lower and did not change in tumor specimens. PMID: 29226856
- The deletion contained 17 protein coding genes including PROKR2 and BMP2, both of which are expressed during embryological development of the pituitary gland. PROKR2 mutations have been associated with hypopituitarism but a heterozygous deletion of this gene with hypopituitarism is a novel observation. PMID: 28586151
- PROKR2 genetic mutation plays a role in the pathogenesis of pituitary stalk interruption syndrome. PMID: 28453858
- a significant association between PKR2 rs6053283 polymorphism and Recurrent pregnancy loss (RPL) (P=0.003), whereas no association was observed between PKR1 rs4627609 polymorphism and RPL (P=0.929) in the Chinese Han population. PMID: 26984842
- PROKR2 may play a role in susceptibility of pituitary stalk interruption syndrome PMID: 26956854
- PROKR2 expression in human fetal ovary remained unchanged throughout gestation. PMID: 26192875
- PKR2 protomers form type II dimers involving TMs 4 and 5, with a role for TM5 in modulation of PKR2 function. PMID: 25449422
- PK2-induced PKR2 endocytosis is GRK2- and clathrin-dependent, but beta-arrestin-independent. PMID: 24509228
- Wild-type PROKR2 activates different G-protein subtypes (Gq, Gs, and Gi/o) and recruits beta-arrestins. The effects of 9 missense mutations on these 2 processes showed that some mutations affected both or only one of them. PMID: 24830383
- Single PROKR2 missense allelic variants can either affect both cAMP and IP signaling pathways differently or selectively. PMID: 24276467
- Prokineticin (PK)1/PKR2-signalling pathway is involved in the regulation of the functional adequate capillarization in late pregnancy PMID: 23891065
- TSHZ1 is a key regulator of mammalian olfactory bulb development and function and controls the expression of PROKR2. PMID: 24487590
- V331M variant confers lower risk for recurrent miscarriage PMID: 23687280
- An unexpectedly large prevalence of PROKR2 mutations was found in Kallmann syndrome patients from the Maghreb. PMID: 24031091
- the distal region of the IL3 region of PROKR2 may differentially influence receptor trafficking and G-protein coupling PMID: 23969157
- PROKR2 signaling does not directly affect Sertoli cell function in autosomal recessive Kallmann syndrome. PMID: 23200691
- The role of PROKR2 in the etiology of congenital hypopituitarism, septo-optic dysplasia, and Kallmann syndrome is uncertain. PMID: 23386640
- An ancient founder missense mutation in PROKR2 impairs human reproduction. PMID: 22773735
- The R80C mutant of PROKR2 exerts a dominant negative effect on wild type PROKR2 by interfering with wild type receptor expression. PMID: 22745195
- We report PROKR2 variants in congenital hypopituitarism with pituitary stalk interruption, suggesting a potential role of the prokineticin pathway in pituitary development. PMID: 22466334
- hCG increases EG-VEGF, PROKR1 and PROKR2 mRNA and protein expression in a dose- and time-dependent manner, demonstrating a new role for hCG in the regulation of EG-VEGF and its receptors PMID: 22138749
- genetic association studies in 103 patients from US and UK: Mutations in PROKR2, FGFR1, or FGF8 contributed to 7.8% of patients with combined pituitary hormone deficiency or septo-optic dysplasia. Data suggest genetic overlap with Kallmann syndrome. PMID: 22319038
- The results suggest an identical transmembrane-bundle binding site for hPKR1 and hPKR2. PMID: 22132188
- positive charges in the second intracellular loop mutations of the PKR2 receptor have roles in G-protein coupling and receptor trafficking PMID: 21454486
- ligation of tubal TLR2 and activation of NFkappaB by C. trachomatis leads to increased tubal PROKR2, thereby predisposing the tubal microenvironment to ectopic implantation. PMID: 21224062
- one tag SNP of PKR2 (rs6053283) was significantly associated with idiopathic recurrent pregnancy loss. PMID: 20847187
- Patients with this genetic form of Kallmann syndrome have been reported to have a possible increased prevalence of obesity and sleep disorders, which may be related to the role of PROKR2 in food intake and circadian rhythms (Review) PMID: 20389090
- PROKR2 may play a role in the pathophysiology of methamphetamine dependence in the Japanese population. PMID: 20576534
- The functional characteristics of coronary endothelial cells depend on the expression of PKR1 and PKR2 levels and the divergent signaling pathways used by these receptors. PMID: 20023120
- molecular cloning, amino acid sequence and expression in several human tissues PMID: 12427552
- Two Kallmann syndrome patients presented a heterozygous T-to-G transversion in exon 2 (c.518T>G). PMID: 18723471
- In Kallmann syndrome patients, ten different missense mutations have been identified in PROKR2. PMID: 18826963
- Results suggest that PROKR2 may play a role in the pathophysiology of mood disorders in the Japanese population. PMID: 19544013
顯示更多
收起更多
-
相關疾病:Hypogonadotropic hypogonadism 3 with or without anosmia (HH3)
-
亞細胞定位:Cell membrane; Multi-pass membrane protein.
-
蛋白家族:G-protein coupled receptor 1 family
-
組織特異性:Expressed in the ileocecum, thyroid gland, pituitary gland, salivary gland, adrenal gland, testis, ovary and brain.
-
數據庫鏈接:
Most popular with customers
-
-
YWHAB Recombinant Monoclonal Antibody
Applications: ELISA, WB, IHC, IF, FC
Species Reactivity: Human, Mouse, Rat
-
Phospho-YAP1 (S127) Recombinant Monoclonal Antibody
Applications: ELISA, WB, IHC
Species Reactivity: Human
-
-
-
-
-















