-
中文名稱:PRICKLE2兔多克隆抗體
-
貨號:CSB-PA773783ESR1HU
-
規格:¥440
-
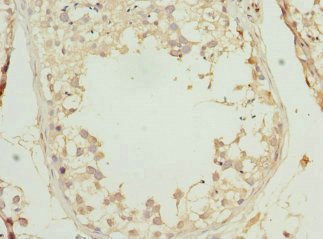
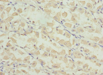
圖片:
-
其他:
產品詳情
-
產品名稱:Rabbit anti-Homo sapiens (Human) PRICKLE2 Polyclonal antibody
-
Uniprot No.:
-
基因名:
-
別名:EPM5 antibody; PRIC2 antibody; PRIC2_HUMAN antibody; Prickle homolog 2 (Drosophila) antibody; Prickle planar cell polarity protein 2 antibody; prickle-like 2 (Drosophila) antibody; prickle-like 2 antibody; Prickle-like protein 2 antibody; PRICKLE2 antibody
-
宿主:Rabbit
-
反應種屬:Human
-
免疫原:Recombinant Human Prickle-like protein 2 protein (615-844AA)
-
免疫原種屬:Homo sapiens (Human)
-
標記方式:Non-conjugated
-
克隆類型:Polyclonal
-
抗體亞型:IgG
-
純化方式:Antigen Affinity Purified
-
濃度:It differs from different batches. Please contact us to confirm it.
-
保存緩沖液:PBS with 0.02% sodium azide, 50% glycerol, pH7.3.
-
產品提供形式:Liquid
-
應用范圍:ELISA, IHC
-
推薦稀釋比:
Application Recommended Dilution IHC 1:20-1:200 -
Protocols:
-
儲存條件:Upon receipt, store at -20°C or -80°C. Avoid repeated freeze.
-
貨期:Basically, we can dispatch the products out in 1-3 working days after receiving your orders. Delivery time maybe differs from different purchasing way or location, please kindly consult your local distributors for specific delivery time.
-
用途:For Research Use Only. Not for use in diagnostic or therapeutic procedures.
引用文獻
- Nasal polyps show decreased mucociliary transport despite vigorous ciliary beating TN Nguyen,Brazilian journal of otorhinolaryngology,2024
- Mucociliary transport velocity is decreased in nasal polyp mucosae despite vigorous ciliary beating TN Nguyen,/,2022
相關產品
靶點詳情
-
基因功能參考文獻:
- 2 autism-spectrum-disorder patients had distinct, paternally inherited, heterozygous, non-synonymous PRICKLE2 variants (p.E8Q and p.V153I) shared by their affected siblings. These variants had deficits in morphological and electrophysiological assays. PMID: 23711981
-
相關疾病:PRICKLE2 mutations have been found in patients with myoclonic epilepsy but involvement of this gene in pathogenesis is under debate since some of the patients also carry POLG mutations.
-
亞細胞定位:Nucleus membrane.
-
蛋白家族:Prickle / espinas / testin family
-
組織特異性:Expressed in brain, eye and testis. Additionally in fetal brain, adult cartilage, pancreatic islet, gastric cancer and uterus tumors.
-
數據庫鏈接:
Most popular with customers
-
-
YWHAB Recombinant Monoclonal Antibody
Applications: ELISA, WB, IHC, IF, FC
Species Reactivity: Human, Mouse, Rat
-
Phospho-YAP1 (S127) Recombinant Monoclonal Antibody
Applications: ELISA, WB, IHC
Species Reactivity: Human
-
-
-
-
-















