PPP3CC Antibody
-
中文名稱:PPP3CC兔多克隆抗體
-
貨號:CSB-PA018574ESR1HU
-
規格:¥440
-
圖片:
-
Western blot
All lanes: Serine/threonine-protein phosphatase 2B catalytic subunit gamma isoform antibody at 10μg/ml
Lane 1: Rat brain tissue
Lane 2: MCF-7 whole cell lysate
Lane 3: Rat skeletal muscle tissue
Secondary
Goat polyclonal to rabbit IgG at 1/10000 dilution
Predicted band size: 59, 58, 60 kDa
Observed band size: 59 kDa -
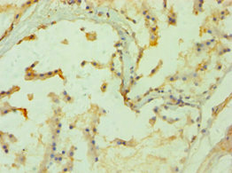
Immunohistochemistry of paraffin-embedded human prostate tissue using CSB-PA018574ESR1HU at dilution of 1:100
-
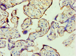
Immunohistochemistry of paraffin-embedded human placenta tissue using CSB-PA018574ESR1HU at dilution of 1:100
-
-
其他:
產品詳情
-
產品名稱:Rabbit anti-Homo sapiens (Human) PPP3CC Polyclonal antibody
-
Uniprot No.:
-
基因名:
-
別名:calcineurin A gamma antibody; CALCINEURIN A3 antibody; Calcineurin antibody; Calcineurin testis specific catalytic subunit antibody; Calmodulin dependent calcineurin A subunit gamma isoform antibody; Calmodulin-dependent calcineurin A subunit gamma isoform antibody; CALNA3 antibody; CAM PRP catalytic subunit antibody; CAM-PRP catalytic subunit antibody; CNA3 antibody; pp2b gamma Antibody antibody; PP2BC_HUMAN antibody; PP2Bgamma Antibody antibody; PPP3CC antibody; protein phosphatase 3 (formerly 2B) catalytic subunit gamma isoform (calcineurin A gamma) antibody; protein phosphatase 3 (formerly 2B) catalytic subunit gamma isoform antibody; Serine/threonine-protein phosphatase 2B catalytic subunit gamma isoform antibody; testis-specific catalytic subunit antibody
-
宿主:Rabbit
-
反應種屬:Human, Rat
-
免疫原:Recombinant Human Serine/threonine-protein phosphatase 2B catalytic subunit gamma isoform protein (373-512AA)
-
免疫原種屬:Homo sapiens (Human)
-
標記方式:Non-conjugated
-
克隆類型:Polyclonal
-
抗體亞型:IgG
-
純化方式:Antigen Affinity Purified
-
濃度:It differs from different batches. Please contact us to confirm it.
-
保存緩沖液:PBS with 0.02% sodium azide, 50% glycerol, pH7.3.
-
產品提供形式:Liquid
-
應用范圍:ELISA, WB, IHC
-
推薦稀釋比:
Application Recommended Dilution WB 1:200-1:1000 IHC 1:20-1:200 -
Protocols:
-
儲存條件:Upon receipt, store at -20°C or -80°C. Avoid repeated freeze.
-
貨期:Basically, we can dispatch the products out in 1-3 working days after receiving your orders. Delivery time maybe differs from different purchasing way or location, please kindly consult your local distributors for specific delivery time.
-
用途:For Research Use Only. Not for use in diagnostic or therapeutic procedures.
相關產品
靶點詳情
-
功能:Calcium-dependent, calmodulin-stimulated protein phosphatase which plays an essential role in the transduction of intracellular Ca(2+)-mediated signals. Dephosphorylates and activates transcription factor NFATC1. Dephosphorylates and inactivates transcription factor ELK1. Dephosphorylates DARPP32.
-
基因功能參考文獻:
- PPP3CC rs7431 may alter miRNA binding ability of miR-212 and miR-132, and thus decrease bladder cancer risk. PMID: 29275364
- These findings indicated that the down-regulation of PPP3CC by ZEB1 resulted in activation of NF-kappaB is a critical oncogenic event in gliomas. PMID: 29294030
- The rs2443504 AA genotype was associated with the Glasgow coma score at 3, 6, and 12 months following severe brain injury. PMID: 27225880
- Knockdown of CNAgamma leads to a disruption of synaptic vesicle cycling in hippocampal neurons. PMID: 26627835
- The PPP3CC involved in the regulation of immune system and synaptic plasticity, seems promising for further investigation. PMID: 24709691
- protein level of PPP3CC negatively correlates with the cellular level of IP3, suggesting a regulatory role of PPP3CC in the IP3-Ca2+ signaling pathway PMID: 23747857
- study suggests that NMDA receptor-mediated signalling genes, DAO, PPP3CC, DTNBP1 might be involved in schizophrenia pathogenic mechanisms related to gender PMID: 23497497
- This study demoistrated that PPP3CC are not genetic risk factors for schizophrenia in japanese. PMID: 20537399
- results identify PPP3CC, located at 8p21.3, as a potential schizophrenia susceptibility gene and support the proposal that alterations in calcineurin signaling contribute to schizophrenia pathogenesis PMID: 12851458
- Decreased hippocampal expression of the susceptibility gene PPP3CC in schizophrenia. PMID: 15820226
- PPP3CC may not play a major role in Japanese schizophrenia PMID: 15843870
- The results suggest that PPP3CC gene may be a true susceptibility gene for schizophrenia. PMID: 17339875
- The Polymorphism, Single Nucleotide of ppp3cc is assosciated with schizophrenia. PMID: 17895921
- No significant differences in calcineurin A gamma expression was observed between patients with schizophrenia and normal controls PMID: 18343007
- Data suggest that PPP3CC does not elevate the risk of methamphetamine-use disorder in the Japanese population. PMID: 18991849
顯示更多
收起更多
-
蛋白家族:PPP phosphatase family, PP-2B subfamily
-
組織特異性:Testis.
-
數據庫鏈接:
Most popular with customers
-
-
YWHAB Recombinant Monoclonal Antibody
Applications: ELISA, WB, IHC, IF, FC
Species Reactivity: Human, Mouse, Rat
-
Phospho-YAP1 (S127) Recombinant Monoclonal Antibody
Applications: ELISA, WB, IHC
Species Reactivity: Human
-
-
-
-
-















