PPP2CA Antibody
-
中文名稱:PPP2CA兔多克隆抗體
-
貨號:CSB-PA114505
-
規格:¥1100
-
圖片:
-
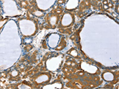
The image on the left is immunohistochemistry of paraffin-embedded Human thyroid cancer tissue using CSB-PA114505(PPP2CA Antibody) at dilution 1/35, on the right is treated with fusion protein. (Original magnification: ×200)
-
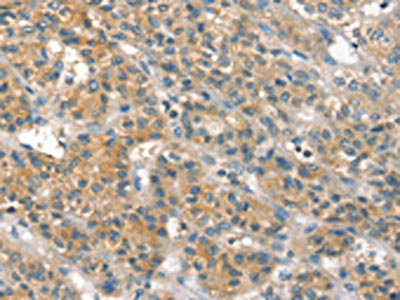
The image on the left is immunohistochemistry of paraffin-embedded Human liver cancer tissue using CSB-PA114505(PPP2CA Antibody) at dilution 1/35, on the right is treated with fusion protein. (Original magnification: ×200)
-
Gel: 10%SDS-PAGE, Lysate: 40 μg, Lane: Mouse brain tissue, Primary antibody: CSB-PA114505(PPP2CA Antibody) at dilution 1/450, Secondary antibody: Goat anti rabbit IgG at 1/8000 dilution, Exposure time: 20 seconds
-
-
其他:
產品詳情
-
Uniprot No.:
-
基因名:
-
別名:PP2A A antibody; PP2A alpha antibody; PP2A B antibody; PP2A beta antibody; PP2A-alpha antibody; PP2A-beta antibody; PP2AA_HUMAN antibody; PP2Aalpha antibody; PP2AB_HUMAN antibody; PP2Abeta antibody; PP2Ac antibody; PP2CA antibody; PP2Calpha antibody; PP2CB antibody; PPP2CA antibody; PPP2CB antibody; Protein phosphatase 2 catalytic subunit alpha isoform antibody; Protein phosphatase 2 catalytic subunit beta isoform antibody; Protein phosphatase type 2A catalytic subunit antibody; Replication protein C antibody; RP C antibody; RP-C antibody; RPC antibody; Serine/threonine protein phosphatase 2A catalytic subunit alpha isoform antibody; Serine/threonine protein phosphatase 2A catalytic subunit beta isoform antibody; Serine/threonine-protein phosphatase 2A catalytic subunit alpha isoform antibody
-
宿主:Rabbit
-
反應種屬:Human,Mouse,Rat
-
免疫原:Fusion protein of Human PPP2CA
-
免疫原種屬:Homo sapiens (Human)
-
標記方式:Non-conjugated
-
抗體亞型:IgG
-
純化方式:Antigen affinity purification
-
濃度:It differs from different batches. Please contact us to confirm it.
-
保存緩沖液:-20°C, pH7.4 PBS, 0.05% NaN3, 40% Glycerol
-
產品提供形式:Liquid
-
應用范圍:ELISA,WB,IHC
-
推薦稀釋比:
Application Recommended Dilution ELISA 1:2000-1:10000 WB 1:1000-1:5000 IHC 1:25-1:100 -
Protocols:
-
儲存條件:Upon receipt, store at -20°C or -80°C. Avoid repeated freeze.
-
貨期:Basically, we can dispatch the products out in 1-3 working days after receiving your orders. Delivery time maybe differs from different purchasing way or location, please kindly consult your local distributors for specific delivery time.
-
用途:For Research Use Only. Not for use in diagnostic or therapeutic procedures.
相關產品
靶點詳情
-
功能:PP2A is the major phosphatase for microtubule-associated proteins (MAPs). PP2A can modulate the activity of phosphorylase B kinase casein kinase 2, mitogen-stimulated S6 kinase, and MAP-2 kinase. Cooperates with SGO2 to protect centromeric cohesin from separase-mediated cleavage in oocytes specifically during meiosis I. Can dephosphorylate SV40 large T antigen and p53/TP53. Activates RAF1 by dephosphorylating it at 'Ser-259'. Mediates dephosphorylation of WEE1, preventing its ubiquitin-mediated proteolysis, increasing WEE1 protein levels, and promoting the G2/M checkpoint. Mediates dephosphorylation of MYC; promoting its ubiquitin-mediated proteolysis: interaction with AMBRA1 enhances interaction between PPP2CA and MYC. Mediates dephosphorylation of FOXO3; promoting its stabilization: interaction with AMBRA1 enhances interaction between PPP2CA and FOXO3.
-
基因功能參考文獻:
- High PP2A expression is associated with Colorectal Cancer Cell Invasiveness. PMID: 30275201
- PP2A overexpression is associated with lung metastasis in colorectal cancer . PMID: 30144452
- Suspension survival mediated by PP2A-STAT3-Col XVII determines tumor initiation and metastasis in cancer stem cells. PMID: 27306323
- alpha-Syn bound to PP2A Calpha by the hydrophobic interaction and upregulated its activity. Blocking the hydrophobic domain of alpha-Syn or hydrophilic mutation on the residue I123 in PP2A Calpha all reduced PP2A activity upregulation by alpha-Syn. PMID: 29996119
- The results showed SNPs near PPP2CA were associated with decreased expression of PPP2CA mRNA in PBMCs from patients with SLE and suggested that the mRNA expression of the gene may be correlated with the pathogenesis of SLE. PMID: 28144936
- This study demonstrated an association of PPP2CA (rs10491322 and rs7704116) with systemic lupus erythematosus susceptibility in a Chinese Han population. Furthermore, the minor allele of PPP2CA rs10491322 as a risk factor was correlated with immunologic disorders for systemic lupus erythematosus. PMID: 29979448
- RAB9 competes with the catalytic subunit PPP2CA in binding to PPP2R1A. This competitive association has an important role in controlling the PP2A catalytic activity. PMID: 27611305
- Results show that miR-199b is a tumor suppressor emerges as a potential contributing mechanism to inhibit PP2A via PP2A inhibitor SET (SET) overexpression in metastatic colorectal cancer (mCRC). PMID: 27517624
- Data show that protein phosphatase-2A (PP2A) was upregulated in lung adenocarcinoma cell lines that were transfected with midline 1 E3 ubiquitin-protein ligase (MID1)-siRNA, suggesting MID1 negatively regulates PP2A in lung adenocarcinoma. PMID: 29450633
- B55alpha-PP2A mutations in acute myeloid leukemia have roles in leukemogenesis by promoting AKT T308 phosphorylation and sensitivity to AKT inhibitor-induced growth arrest PMID: 27531894
- This work has significantly advanced our understanding of the RACK1/PP2A complex and suggests a pro-carcinogenic role for the RACK1/PP2A interaction. This work suggests that approaches to target the RACK1/PP2A complex are a viable option to regulate PP2A activity and identifies a novel potential therapeutic target in the treatment of breast cancer. PMID: 27600565
- Moreover, PP2Acalpha2-overexpressed cells demonstrated increased expression of IGBP1, activated mTORC1 signaling to reduce basal autophagy and increased anchorage-independent growth. Our study provides new insights into the complex mechanisms of PP2A regulation. PMID: 29066346
- protein phosphatase 2A (PP2A)-mediated Raf-MEK-ERK signaling was involved in glutaminolysis in endothelial cells. PMID: 27612201
- Studies indicate that protein phosphatase methylesterase-1 (PME-1) negatively regulates protein phosphatase 2A (PP2A) activity by highly complex mechanisms. PMID: 27913678
- Binding of PP2A and Akt increased in response to cAMP or phosphatidic acid (PA), suggesting that their binding is directly responsible for the inactivation of Akt during decidualization. PMID: 27696687
- Knockdown of Alpha4 preferentially impacts the expression of PP4c and PP6c compared to expression levels of PP2Ac. PMID: 27169767
- these data support a role for the novel PP2Ac-CIN85 complex in supporting integrin-dependent platelet function by dampening the phosphatase activity. PMID: 27334924
- PP2Ac upregulation has a poor prognostic impact on the overall survival of hepatocellular carcinoma (HCC) patients and contributes to the aggressiveness of HCC. PP2Ac may represent a potential therapeutic target for HCC. PMID: 26618405
- Data show that downregulating proto-oncogene protein Akt (p-Akt) by inhibiting PP2A inhibitor SET-mediated protein phosphatase 2A (PP2A) inactivation determined the pro-apoptotic effects of EMQA and paclitaxel combination treatment. PMID: 26575017
- Data suggest a critical role for the I2PP2A protein (SET)-protein phosphatase-2A (PP2A) signaling axis in Pten protein (Pten) deficient castration resistant prostate cancer (CRPC) progression. PMID: 26563471
- that loss of glucocerebrosidase function may contribute to SNCA accumulation through inhibition of autophagy via PPP2A inactivation PMID: 26378614
- Data show that loss of epithelial membrane protein 2 (EMP2) is involved in sphingosylphosphorylcholine (SPC)-induced phosphorylation of keratin 8 (K8) via ubiquitination of protein phosphatase 2 (PP2A) through alpha4 phosphoprotein by caveolin-1 (cav-1). PMID: 26876307
- Data show that the protein phosphatase 2A (PP2A)/c-jun N-Terminal Kinase (JNK)/Sp1 transcription factor/CDK1 kinase pathway and the autophagy/cyclin kinase inhibitor p21 pathway participated in G2/M cell cycle arrest triggered by PP2A inhibitors. PMID: 26053095
- Data indicate that LB100 attenuates protein phosphatase 2A (PP2A) activity alone and following radiation. PMID: 25939762
- Concurrent mTORC1 inactivation and PP2A-B55alpha stimulation fuel ULK1-dependent autophagy. PMID: 26310906
- Data show that the biogical effect of inhibitor-2 of protein phosphatase-2A (SET) on proliferation and invasion was mediated by the inhibition of the protein phosphatase 2A (PP2A). PMID: 25945834
- Binding of calmodulin changes the calcineurin regulatory region to a less dynamic conformation. PMID: 25956027
- MID1 catalyzes the ubiquitination of protein phosphatase 2A and mutations within its Bbox1 domain disrupt polyubiquitination of alpha4 but not of PP2Ac in X-linked Opitz syndrome. PMID: 25207814
- Mutations in the structurally buried D38 residue of PP2Calpha (PPM1A) redefined the water-mediated hydrogen network in the active site and selectively disrupted M2 metal ion binding. PMID: 25708299
- possible role of an miR-155-PP2Ac loop in regulating IL-2 release PMID: 25253569
- Increased PP2A activity and reduced phosphorylation of PP2A were observed in alpha-synuclein overexpression primary cortex neurons. PMID: 25567480
- Idiopathic pulmonary fibrosis fibroblast interaction with polymerized type I collagen results in an aberrant PP2A/HDAC4 axis, which suppresses miR-29, causing a pathologic increase in type I collagen expression. PMID: 25612003
- Alterations affecting PP2A subunits together with the deregulation of endogenous PP2A inhibitors such as CIP2A and SET have been described as contributing mechanisms to inactivate PP2A in prostate cancer. PMID: 26234767
- GSK-3b and PP2A regulate each other and control tau phosphorylation both directly and indirectly through each other. PMID: 25219467
- Reduced expression of PP2A/PR65 in ameloblastoma compared with normal oral mucosa indicates that PP2A/PR65 is involved in the occurrence and development of ameloblastoma. PMID: 24054836
- HSP105 depletion disrupts the integration of protein phosphatase 2A into the beta-catenin degradation complex, favoring the hyperphosphorylation and degradation of beta-catenin. PMID: 25645927
- Data suggest that expression of PP2A (protein phosphatase 2 catalytic subunit alpha) and PTEN (phosphatase and tensin homolog) is down-regulated in adenomyosis as compared to normal endometrium; expression of survivin appears to be up-regulated. PMID: 25152517
- Studies indicate that oncoprotein CIP2A (KIAA1524) controls oncogenic cellular signals by suppressing protein phosphatase 2A (PP2A). PMID: 25015035
- Findings suggest the possible contribution of SET protein to the tumor progression and the utility of protein phosphatase 2A (PP2A) activator, FTY720 for treatment of alveolar soft part sarcoma (ASPS). PMID: 24621013
- this study suggests that the tightly linked regulatory loop comprised of the SIK2-PP2A and CaMKI and PME-1 networks may function in fine-tuning cell proliferation and stress response. PMID: 24841198
- These results suggest that the aberrant expression of PP2A in human clear cell renal cell carcinoma PMID: 24696731
- decreased eEF2 phosphorylation, mediated by increased PP2A activity, contributes to resistance to HER2 inhibition and may provide novel targets for therapeutic intervention in HER2 positive breast cancer which is resistant to HER2 targeted therapies. PMID: 24958351
- PPP2AC activity is required for SREBP-2 DNA binding. PMID: 24770487
- Phosphorylated PP2A is an alteration that determines poor outcome in metastatic colorectal cancer. PMID: 25003662
- the alpha4 N-terminus binding to endogenous PP2Ac and PABP, and the C-terminus to EDD, is reported. PMID: 24145130
- Our findings suggest that PPP2CA downregulation serves as a molecular link between gain of castration-resistance and aggressive PCa phenotype, and its restoration could be an effective preventive/therapeutic approach against the advanced disease. PMID: 24642616
- This result combined with a number of biophysical analyses provide evidence that the coiled coil domain of striatin 3 and the PP2A A subunit form a stable core complex with a 2:2 stoichiometry PMID: 24550388
- Inhibition of PP2A by okadaic acid curtailed the free fatty acids induced upregulation of SREBP1 expression, fatty acid synthase promoter transcriptional activity and lipid accumulation in HepG2 cells PMID: 23184344
- PP2A constitutively dephosphorylates dCK in cells and negatively regulates its activity. PMID: 24462681
- Data indicate that TCDD or omeprazole caused protein phosphatase 2A (PP2A)-mediated dephosphorylation of Sp1 transcription factor at Ser-59 and induced CYP1A1 transcription. PMID: 24382322
顯示更多
收起更多
-
亞細胞定位:Cytoplasm. Nucleus. Chromosome, centromere. Cytoplasm, cytoskeleton, spindle pole.
-
蛋白家族:PPP phosphatase family, PP-1 subfamily
-
數據庫鏈接:
Most popular with customers
-
-
YWHAB Recombinant Monoclonal Antibody
Applications: ELISA, WB, IHC, IF, FC
Species Reactivity: Human, Mouse, Rat
-
Phospho-YAP1 (S127) Recombinant Monoclonal Antibody
Applications: ELISA, WB, IHC
Species Reactivity: Human
-
-
-
-
-















