PPID Antibody
-
中文名稱:PPID兔多克隆抗體
-
貨號:CSB-PA018474ESR2HU
-
規格:¥440
-
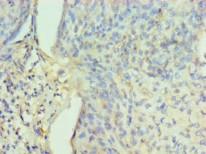
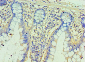
圖片:
-
其他:
產品詳情
-
產品名稱:Rabbit anti-Homo sapiens (Human) PPID Polyclonal antibody
-
Uniprot No.:
-
基因名:
-
別名:40 kDa peptidyl-prolyl cis-trans isomerase antibody; 40 kDa peptidyl-prolyl cis-trans isomerase D antibody; Cyclophilin related protein antibody; Cyclophilin-40 antibody; Cyclophilin-related protein antibody; CYP-40 antibody; CYP40 antibody; CYPD antibody; Estrogen receptor-binding cyclophilin antibody; Peptidyl-prolyl cis-trans isomerase D antibody; Peptidylprolyl isomerase D antibody; PPIase D antibody; Ppid antibody; PPID_HUMAN antibody; Rotamase antibody; Rotamase D antibody
-
宿主:Rabbit
-
反應種屬:Human
-
免疫原:Recombinant Human Peptidyl-prolyl cis-trans isomerase D protein (161-370AA)
-
免疫原種屬:Homo sapiens (Human)
-
標記方式:Non-conjugated
-
克隆類型:Polyclonal
-
抗體亞型:IgG
-
純化方式:Antigen Affinity Purified
-
濃度:It differs from different batches. Please contact us to confirm it.
-
保存緩沖液:PBS with 0.02% sodium azide, 50% glycerol, pH7.3.
-
產品提供形式:Liquid
-
應用范圍:ELISA, IHC
-
推薦稀釋比:
Application Recommended Dilution IHC 1:20-1:200 -
Protocols:
-
儲存條件:Upon receipt, store at -20°C or -80°C. Avoid repeated freeze.
-
貨期:Basically, we can dispatch the products out in 1-3 working days after receiving your orders. Delivery time maybe differs from different purchasing way or location, please kindly consult your local distributors for specific delivery time.
-
用途:For Research Use Only. Not for use in diagnostic or therapeutic procedures.
相關產品
靶點詳情
-
功能:PPIase that catalyzes the cis-trans isomerization of proline imidic peptide bonds in oligopeptides and may therefore assist protein folding. Proposed to act as a co-chaperone in HSP90 complexes such as in unligated steroid receptors heterocomplexes. Different co-chaperones seem to compete for association with HSP90 thus establishing distinct HSP90-co-chaperone-receptor complexes with the potential to exert tissue-specific receptor activity control. May have a preference for estrogen receptor complexes and is not found in glucocorticoid receptor complexes. May be involved in cytoplasmic dynein-dependent movement of the receptor from the cytoplasm to the nucleus. May regulate MYB by inhibiting its DNA-binding activity. Involved in regulation of AHR signaling by promoting the formation of the AHR:ARNT dimer; the function is independent of HSP90 but requires the chaperone activity. Involved in regulation of UV radiation-induced apoptosis. Promotes cell viability in anaplastic lymphoma kinase-positive anaplastic large-cell lymphoma (ALK+ ALCL) cell lines.; (Microbial infection) May be involved in hepatitis C virus (HCV) replication and release.
-
基因功能參考文獻:
- Binding of signal transducer and activator of transcription 3 (STAT3) to cyclophilin D (CypD) was important for reducing mitochondrial reactive oxygen species (ROS) production after oxidative stress. PMID: 28351946
- Data show that cyclophilin 40 (CyP40) interacts with and dissolves amyloids forming proteins tau and alpha-synuclein aggregates. PMID: 28654636
- This review discusses previous studies to provide comprehensive information on the physiological role of cyclophilin D as well as PTP opening in the cell that can be taken into consideration for the development of new PTP inhibitors. [review] PMID: 28378042
- The influx of unfolded p53 into the mitochondrial matrix in response to oxidative stress indirectly activates the normally inhibited CypD by displacing it from Trap1 complexes. This activates CypD's isomerase activity. Liberated CypD then isomerizes multiple proteins including p53 (causing p53 aggregation) and the structural components of the mPTP pore, inducing pore opening. PMID: 27515399
- The present study is to investigate the role of CypD in regulating the mitochondrial dynamics relevant to oxidative stress induced neuron dysfunctions. PMID: 27993675
- CyPD regulates mitochondrial metabolism, and likely cell survival, by promoting more efficient electrons flow through the respiratory chain via increased supercomplex formation PMID: 27916505
- cyclophilin D may modify mitochondrial features by inducing the translocation of molecules to the mitochondria through the mechanism associated with cellular energy metabolism PMID: 27864141
- The thermodynamics of binding of Cyp-40 to Hsp90 shows remarkable temperature sensitivity in the physiological temperature range. PMID: 26330616
- cyclophilin-D protein could increase oxidative stress and cause endothelial cell injury and apoptosis. cyclophilin-D protein is the key factor in reactive oxygen species-induced mitochondrial damage, leading to apoptosis of endothelial cells. PMID: 25966197
- Results show that CypD interacts with SPG7 and VDAC to form the mitochondrial permeability transition pore complex (PTP)and its CsA-binding region is necessary for PTP formation. PMID: 26387735
- molecular determinants necessary for Cyclophilin D activity regulation and binding to proposed pore constituents thereby regulating the mitochondrial permeability transition pore. PMID: 25445707
- Cyp-D silencing down-regulated mitochondrial transcripts initiated from the heavy strand promoter 2 [i.e., NADH dehydrogenase 1 (ND1) by 11-fold; cytochrome oxidase 1 (COX1) by 4-fold; and ATP synthase subunit 6 (ATP6) by 6.5-fold. PMID: 25837584
- Cyp40 binds to C2I in vitro and in intact cells, it also interacts with the enzyme components of iota toxin and CDT, suggesting a common principle for this toxin family. PMID: 25058685
- The Photorhabdus toxins TccC3 and TccC5 interacted with Hsp90, FKBP51, Cyp40 and CypA, suggesting a role of these host cell factors in translocation and/or refolding of the ADP-ribosyltransferases. PMID: 24138221
- The p53/Cyp-D mitochondrial complexation was prevented by CsA or Cyp-D silencing. PMID: 24343341
- In summary, the results of the present study provide mechanistic evidence that both apoptosis and programmed necrosis attribute to berberine's cytotoxicity in prostate cancer cells. PMID: 24946211
- cisplatin-induced non-apoptotic death requires mitochondria Cyp-D-p53 signaling in pancreatic cancer cells PMID: 23845906
- CypD directs mitochondria-to-nuclei inflammatory gene expression in normal and tumor cells PMID: 23303179
- These results suggest Cyp-D's critical role in UVB/oxidative stress-induced skin cell death. PMID: 22892127
- this is the first report establishing an important role for Cyp40 in lymphoma. PMID: 22681779
- Human coronavirus-induced neuronal programmed cell death required cyclophilin d but not caspase 3 caspase 9 activities. PMID: 22013052
- adult viable human brain and liver mitochondria possess an active CypD-sensitive mitochondrial permeability transition PMID: 21121808
- Data show that show that the molecular chaperone heat shock protein 60 (Hsp60) directly associates with cyclophilin D (CypD). PMID: 20978188
- Data show that disruption of FKBP51 and Cyp40 in AI C4-2 cells caused only a small reduction in proliferation. PMID: 20023700
- cyclophilin D suppresses apoptotic cell death via a mitochondrial hexokinase II-dependent mechanism in cancer cells PMID: 16551620
- CyP40 chaperone function then, is localized within the linker that forms a binding cleft with potential to accommodate non-native substrates PMID: 16650407
- Crystal structure of human cyclophilin D in complex with its inhibitor, cyclosporin A at 0.96-A resolution, using a K133I mutant of human CypD PMID: 18076075
- CyP40 is found in the cell nucleus after 3-methylchloranthrene treatment and appears to promote the dioxin response element binding form of the AhR/Arnt heterodimer. PMID: 18708059
- CypD-mediated mitochondrial permeability transition pore is directly linked to the cellular and synaptic perturbations observed in the pathogenesis of Alzheimer's disease. PMID: 18806802
- Cyclophilin D interacts with Bcl2 and exerts an anti-apoptotic effect PMID: 19228691
- Cyclophilin D may play a role as a redox sensor in mitochondria of mammalian cells transmitting information on the redox environment to target proteins. PMID: 19735641
顯示更多
收起更多
-
亞細胞定位:Cytoplasm. Nucleus, nucleolus. Nucleus, nucleoplasm.
-
蛋白家族:Cyclophilin-type PPIase family, PPIase D subfamily
-
組織特異性:Widely expressed.
-
數據庫鏈接:
Most popular with customers
-
-
YWHAB Recombinant Monoclonal Antibody
Applications: ELISA, WB, IHC, IF, FC
Species Reactivity: Human, Mouse, Rat
-
Phospho-YAP1 (S127) Recombinant Monoclonal Antibody
Applications: ELISA, WB, IHC
Species Reactivity: Human
-
-
-
-
-















