PON3 Antibody
-
中文名稱:PON3兔多克隆抗體
-
貨號:CSB-PA614883LA01HU
-
規格:¥440
-
圖片:
-
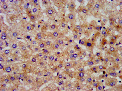
IHC image of CSB-PA614883LA01HU diluted at 1:200 and staining in paraffin-embedded human liver tissue performed on a Leica BondTM system. After dewaxing and hydration, antigen retrieval was mediated by high pressure in a citrate buffer (pH 6.0). Section was blocked with 10% normal goat serum 30min at RT. Then primary antibody (1% BSA) was incubated at 4°C overnight. The primary is detected by a biotinylated secondary antibody and visualized using an HRP conjugated SP system.
-
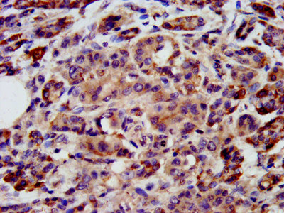
IHC image of CSB-PA614883LA01HU diluted at 1:200 and staining in paraffin-embedded human pancreatic cancer performed on a Leica BondTM system. After dewaxing and hydration, antigen retrieval was mediated by high pressure in a citrate buffer (pH 6.0). Section was blocked with 10% normal goat serum 30min at RT. Then primary antibody (1% BSA) was incubated at 4°C overnight. The primary is detected by a biotinylated secondary antibody and visualized using an HRP conjugated SP system.
-
-
其他:
產品詳情
-
產品名稱:Rabbit anti-Homo sapiens (Human) PON3 Polyclonal antibody
-
Uniprot No.:
-
基因名:PON3
-
別名:2810004E20 antibody; AI786302 antibody; MGC95026 antibody; Paraoxonase 3 antibody; Pon3 antibody; PON3_HUMAN antibody; Serum paraoxonase/lactonase 3 antibody
-
宿主:Rabbit
-
反應種屬:Human
-
免疫原:Recombinant Human Serum paraoxonase/lactonase 3 protein (269-335AA)
-
免疫原種屬:Homo sapiens (Human)
-
標記方式:Non-conjugated
本頁面中的產品,PON3 Antibody (CSB-PA614883LA01HU),的標記方式是Non-conjugated。對于PON3 Antibody,我們還提供其他標記。見下表:
-
克隆類型:Polyclonal
-
抗體亞型:IgG
-
純化方式:>95%, Protein G purified
-
濃度:It differs from different batches. Please contact us to confirm it.
-
保存緩沖液:Preservative: 0.03% Proclin 300
Constituents: 50% Glycerol, 0.01M PBS, pH 7.4 -
產品提供形式:Liquid
-
應用范圍:ELISA, IHC
-
推薦稀釋比:
Application Recommended Dilution IHC 1:200-1:500 -
Protocols:
-
儲存條件:Upon receipt, store at -20°C or -80°C. Avoid repeated freeze.
-
貨期:Basically, we can dispatch the products out in 1-3 working days after receiving your orders. Delivery time maybe differs from different purchasing way or location, please kindly consult your local distributors for specific delivery time.
-
用途:For Research Use Only. Not for use in diagnostic or therapeutic procedures.
相關產品
靶點詳情
-
功能:Has low activity towards the organophosphate paraxon and aromatic carboxylic acid esters. Rapidly hydrolyzes lactones such as statin prodrugs (e.g. lovastatin). Hydrolyzes aromatic lactones and 5- or 6-member ring lactones with aliphatic substituents but not simple lactones or those with polar substituents.
-
基因功能參考文獻:
- PON3 suppressed cell proliferation in vivo and in vitro, which was attributed to its cell-cycle arrest effect. PMID: 27661119
- PON3 protein can be detected in plasma and resides in the high-density lipoprotein fraction and protects against Oxidative stress by hydrolyzing certain oxidized lipids in lipoproteins, macrophages and Atherosclerotic lesions. PMID: 29308836
- Although inappropriate promoter methylation was not invariantly associated with reduced transcript expression, a significant association was apparent for the ARHGEF4, PON3, STAT5a, and VAX2 gene transcripts (P<0.05). Herein, we present the first genome-wide DNA methylation analysis in a unique HG-NMIBC cohort, showing extensive and discrete methylation changes relative to normal bladder and low-intermediate-grade tumor PMID: 26929985
- Low PON3 expression is associated with hepatocellular carcinoma progression. PMID: 27553024
- This study showed that the PI3K/Akt pathway is up-regulated by the expression of PON3 in oral squamous cell carcinoma by AP-1. PMID: 27923688
- PON3 SNP rs13226149 was associated with intracerebral hemorrhage in log-additive and dominant models. The A allele of rs13226149 contributed to the decreased risk of ICH. SNP rs1053275 was not associated with ICH. PMID: 26227792
- Interaction of PON-3 and PON-1 and HDL are associated with the presence and severity of coronary artery disease in type 2 diabetes mellitus patients. PMID: 25964115
- PON3 in HDL may be an important protein in preventing atherosclerosis. PMID: 25723336
- PON3 is upregulated in cancer tissues and protects against mitochondrial superoxide-mediated cell death. PMID: 22441669
- Our results suggest that low serum paraoxonase activity is a risk factor for Alzheimer disease. Furthermore, multiple variants in PON influence serum paraoxonase activity and their effects may be synergistic. PMID: 20980077
- Increased serum paraoxonase-3 concentration is associated with insulin sensitivity in peripheral artery disease and with inflammation in coronary artery disease. PMID: 22153698
- This study reports for the first time an important increase in serum PON3 concentrations in HIV-infected patients that is associated with their oxidative status and their treatment with NNRTI. PMID: 22003209
- investigation of whether gene silencing of Pon3 causes oxidative stress in cell line: Data suggest that PON3 knockdown reduces cell proliferation and total antioxidant capacity at ambient oxygen levels. PMID: 21952037
- Serum PON3 concentrations showed a moderate influence (about 10% variation) by PON3 promoter polymorphisms. PMID: 21335322
- Paraoxonase-3, a putative circulating antioxidant, is systemically up-regulated in late gestation in the fetal rat, sheep, and human PMID: 20463093
- Decreased coronary heart disease risk associated with polymorphisms of paraoxonase 1. PMID: 12151850
- Organophosphates are hydrolyzed almost exclusively by PON1, lovastatin and spironolactone are hydrolyzed only by PON3. All three proteins hydrolyze and thereby inactivate N-acyl-homoserine lactones, which are quorum-sensing signals of pathogenic bacteria. PMID: 15772423
- The refolded recombinant PON3 exhibited similar antioxidant activity to that of PON3 purified from the soluble fraction of cell lysate and could effectively protect LDL from Cu2+ induced oxidation. PMID: 16139510
- Elevated human paraoxanase 3 protein expression significantly decreases atherosclerotic lesion formation and adiposity in male transgenic mice. PMID: 17379834
- The rates of hydrolysis of estrogen esters by the paraoxonases is PON3 > PON1 > PON2; diesters are better substrates for the PONs and are very efficiently hydrolyzed, particularly by PON3. PMID: 17412306
- Report protective effects of transgene expressed human PON3 against CCl4-induced subacute liver injury in mice. PMID: 19345057
- The directed evolution and characterization of recombinant variants of serum paraoxonase PON3, is described. PMID: 19492856
顯示更多
收起更多
-
亞細胞定位:Secreted, extracellular space.
-
蛋白家族:Paraoxonase family
-
數據庫鏈接:
Most popular with customers
-
YWHAB Recombinant Monoclonal Antibody
Applications: ELISA, WB, IHC, IF, FC
Species Reactivity: Human, Mouse, Rat
-
Phospho-YAP1 (S127) Recombinant Monoclonal Antibody
Applications: ELISA, WB, IHC
Species Reactivity: Human
-
-
-
-
-
-
VDAC1 Recombinant Monoclonal Antibody
Applications: ELISA, WB, IHC
Species Reactivity: Human, Mouse, Rat















