POMC Antibody
-
中文名稱:POMC兔多克隆抗體
-
貨號:CSB-PA946193
-
規格:¥1100
-
圖片:
-
The image on the left is immunohistochemistry of paraffin-embedded Human brain tissue using CSB-PA946193(POMC Antibody) at dilution 1/30, on the right is treated with synthetic peptide. (Original magnification: ×200)
-
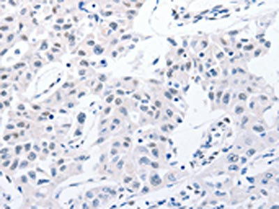
The image on the left is immunohistochemistry of paraffin-embedded Human lung cancer tissue using CSB-PA946193(POMC Antibody) at dilution 1/30, on the right is treated with synthetic peptide. (Original magnification: ×200)
-
Gel: 10%SDS-PAGE, Lysate: 40 μg, Lane: Human liver cancer tissue, Primary antibody: CSB-PA946193(POMC Antibody) at dilution 1/450, Secondary antibody: Goat anti rabbit IgG at 1/8000 dilution, Exposure time: 1 minute
-
-
其他:
產品詳情
-
Uniprot No.:
-
基因名:
-
別名:ACTH antibody; Adrenocorticotropic hormone antibody; Adrenocorticotropin antibody; alpha melanocyte stimulating hormone antibody; Alpha MSH antibody; Alpha-MSH antibody; beta endorphin antibody; Beta LPH antibody; beta melanocyte stimulating hormone antibody; Beta MSH antibody; Beta-LPH antibody; Beta-MSH antibody; CLIP antibody; COLI_HUMAN antibody; Corticotropin like intermediary peptide antibody; Corticotropin lipotropin antibody; Corticotropin-lipotropin antibody; Gamma MSH antibody; Gamma-LPH antibody; Gamma-MSH antibody; Lipotropin beta antibody; Lipotropin gamma antibody; LPH antibody; Melanotropin alpha antibody; Melanotropin antibody; Melanotropin beta antibody; Melanotropin gamma antibody; met enkephalin antibody; Met-enkephalin antibody; MSH antibody; NPP antibody; POC antibody; POMC antibody; pro ACTH endorphin antibody; Proopiomelanocortin antibody; Proopiomelanocortin preproprotein antibody
-
宿主:Rabbit
-
反應種屬:Human,Mouse
-
免疫原:Synthetic peptide of Human POMC
-
免疫原種屬:Homo sapiens (Human)
-
標記方式:Non-conjugated
-
抗體亞型:IgG
-
純化方式:Antigen affinity purification
-
濃度:It differs from different batches. Please contact us to confirm it.
-
保存緩沖液:-20°C, pH7.4 PBS, 0.05% NaN3, 40% Glycerol
-
產品提供形式:Liquid
-
應用范圍:ELISA,WB,IHC
-
推薦稀釋比:
Application Recommended Dilution ELISA 1:2000-1:10000 WB 1:1000-1:5000 IHC 1:15-1:50 -
Protocols:
-
儲存條件:Upon receipt, store at -20°C or -80°C. Avoid repeated freeze.
-
貨期:Basically, we can dispatch the products out in 1-3 working days after receiving your orders. Delivery time maybe differs from different purchasing way or location, please kindly consult your local distributors for specific delivery time.
-
用途:For Research Use Only. Not for use in diagnostic or therapeutic procedures.
相關產品
靶點詳情
-
功能:Stimulates the adrenal glands to release cortisol.; Anorexigenic peptide. Increases the pigmentation of skin by increasing melanin production in melanocytes.; Increases the pigmentation of skin by increasing melanin production in melanocytes.; Endogenous orexigenic opiate.; Endogenous opiate.
-
基因功能參考文獻:
- These findings show that POMC methylation status in the blood of children is associated with metabolic profiles. Therefore, we suggest that the DNA methylation status might serve as a potential epigenetic biomarkers of metabolic syndrome. PMID: 29598821
- Herein, we summarise evidence supporting the potential candidacy in this light of alpha-melanocyte stimulatory hormone, an endogenous peptide hormone and a breakdown product of the neuropeptide pro-opiomelanocortin PMID: 29412826
- Data suggest that the stress of intermittent hypoxia up-regulates expression of mRNA and protein for POMC and CART in neuronal cell lines; GATA2 and GATA3 appear to be involved in these stress mechanisms. (POMC = proopiomelanocortin; CART = cocaine- and amphetamine-regulated transcript protein; GATA2 = endothelial transcription factor GATA-2; GATA3 = T-cell-specific transcription factor GATA-3) PMID: 29275211
- Mutation in POMC gene is associated with severe obesity, hypothyroidism, adrenal insufficiency and abnormal reddish hair pigmentation. PMID: 29858905
- In both melanoma cell lines, alphaMSH determined the reduction of proliferation through the PI(4,5)P2/PLC pathway, employing PPARgamma as an effector element. These evidence could offer perspectives for new therapeutic approaches for melanoma. PMID: 29020973
- The human beta-endorphin amyloid was studied in detail, exploiting solid-state NMR spectroscopy and TEM analyses. PMID: 28075583
- POMC and MC1R were significantly lower in vitiligo lesional skin than in non-lesional skin as well as in controls and they were significantly higher in non-lesional skin than in the skin of the controls. PMID: 26437741
- POMC has played an extraordinary role in the development of molecular endo-crinology and has clearly not yet given up all its secrets. PMID: 27273100
- E2F1-mediated hPOMC transcription is a potential target for suppressing ACTH production in ectopic Cushing's syndrome. PMID: 27935805
- Elevated ACTH secretion is associated with Cushing's syndrome. PMID: 28328532
- a novel p53/POMC/Galphas/SASH1 autoregulatory positive feedback loop is regulated by SASH1 mutations to induce pathological hyperpigmentation phenotype. PMID: 27885802
- Data suggest that alpha-MSH enhances cell adhesion to fibronectin in primary mixed synoviocytes obtained from osteoarthritis patients; alpha-MSH reduces secretion of cytokines (TNF, IL-6 and IL-8) in such synoviocyte cultures. PMID: 27396757
- Data suggest that the first screening step diagnosis for pituitary adenoma was determined based upon immunohistochemical (IHC) scores for Pit-1, SF-1, and ACTH. PMID: 27227698
- The aim of this survey is to evaluate the association of genetic variants of melanocortin-4-receptor (MC4R), pro-opiomelanocortin (POMC), apolipoprotein E (APOE) and agouti-related protein (AGRP) with obesity in the North Indian population. PMID: 26226973
- The expression of Pomc mRNA was stimulated in the arcuate nucleus after skin exposure to UVB. PMID: 26513428
- Low circulating plasma alpha-MSH levels are associated with obesity. PMID: 26758700
- hsa-miR-34a can regulate the CRH/CRHR1/POMC axis and may influence body mass index. PMID: 26940669
- ACTH was readily detected at significantly higher levels in regions of ACTH-secreting adenomas and in normal anterior adenohypophysis compared with non-secreting adenoma and neurohypophysis. PMID: 26084546
- the inhibitory effects of alpha-MSH on inflammation are dependent on MC-1 R PMID: 25898835
- the low circadian alpha-MSH levels observed in AN integrate the adaptive profile of appetite regulation of this disease PMID: 25798605
- CSF POMC was higher in lean vs. overweight/obese subjects. PMID: 26152765
- There was a non-linear association between leukocyte telomere length and plasma ACTH after laboratory stressor in elderly adults. PMID: 25622010
- Synovial fluid alpha-MSH levels showed an independent and negative correlation with articular cartilage degeneration in patients with knee ACL deficiency. PMID: 26427140
- This study suggest the involvement of genetic variants of POMC in the outcome of antidepressant treatment in patients with MDD, and indicate the possibility of an interaction of this association with stressful life events. PMID: 25448875
- Term infants born with meconium-stained amniotic fluid (MSAF) and who experienced respiratory distress had significantly lower levels of ACTH and cortisol at birth compared with well term infants born with MSAF or clear amniotic fluid. PMID: 25205705
- POMC-positive expression is a novel, independent poor prognostic marker. PMID: 25377161
- the hypothalamic proopiomelanocortin neurons, have a key role in the control of food intake and energy metabolism. PMID: 24732669
- Report clinicopathological/immunohistochemical features of ACTH-secreting pancreatic neoplasms. PMID: 25353285
- This work shows that the AR and the POMC gene might functionally interact with each other and subsequently mediate craving in alcohol-dependent patients. PMID: 24271034
- Expanding upon previous observations of high POMC in ectopic ACTH syndrome, this study specifically demonstrates elevated POMC levels can identify occult ectopic tumors. PMID: 25013995
- 9-cis retinoic acid decreased the steady-state level of the ACTH precursor proopiomelanocortin. PMID: 24926820
- POMC SNPs (rs6713532, rs1047521, rs3754860) were not associated with antipsychotic-induced weight gain in schizophrenia patients. PMID: 24564533
- Data suggest that CLOCK proteins are involved in regulation of ACTH and cortisol secretion under non-stressful conditions to maintain homeostasis in the hypothalamic-pituitary-adrenal axis as well as in response to stressful conditions. [REVIEW] PMID: 23933687
- these results indicate that HDGF downregulation participates in POMC-induced suppression of metastasis and EMT in melanoma. PMID: 23468531
- ACTH induced cAMP production and increased AR nuclear labeling in immunocytochemical assays. PMID: 22842514
- Data suggest that optimistic attitude/psychological intervention helps cancer patients survive longer via increase in beta-endorphin neuronal suppression of stress hormone levels and activation of innate immune cells destroying tumor cells. [REVIEW] PMID: 23810011
- It can be concluded from this study that the basal plasma beta endorphin level was low in migraine patients PMID: 23314782
- human dermal fibroblasts express only truncated/alternatively spliced POMC mRNA variants PMID: 23218956
- Functional heterogeneity of hypothalamic arcuate nucleus (ARC) POMC neurons reveals distinct subpopulations of POMC cells activated by 5-HT2CRs and disinhibited by 5-HT1BRs. PMID: 23739976
- Finally, the results from our patient strongly suggest that the absence of red hair in non-European patients with early-onset obesity and ACTH deficiency does not exclude the occurrence of POMC-inactivating mutations. PMID: 22612534
- A POMC mutation, found in a patient with early-onset type 2 diabetes and central obesity, segregated in the family and was associated with overweight, type 2 diabetes, hypertension and coronary heart disease in the carriers. PMID: 22643178
- The expression of beta-endorphin is high in hypertrophic scars, it may play an important role in pruritus. PMID: 22792774
- POMC neurons regulate feeding and energy homeostasis by integrating long-term adiposity signals from the hypothalamus and short-term from the brainstem. PMID: 23426689
- Eexpression of alpha-MSH may markedly increase in the split-thickness grafted skin and correlate with its pigmentation after the skin graft. PMID: 15835810
- NCKX5, a natural regulator of human skin colour variation, regulates the expression of key pigment genes MC1R and alpha-MSH and alters cholesterol homeostasis in normal human melanocytes. PMID: 23224873
- Despite peripheral hyperleptinemia, positive energy balance is achieved during pregnancy by a relative decrease in central leptin concentrations and resistance to leptin's effects on target neuropeptides that regulate energy balance. PMID: 23118421
- Findings suggest that POMC exonic variants may influence risk for both substance dependence and elevated BMI, in a population-specific manner. PMID: 23028917
- POMC promoter-specific DNA methylation was not affected by diagnosis or nutritional status but significantly negatively associated with cigarette smoki PMID: 22398003
- This review summarizes the role of leptin and serotonin receptors in regulating the activity of POMC neurons, providing a model in which different melanocortin pathways regulate energy and glucose homeostasis. PMID: 22328135
- Genetic disruption of polysialic acid-mediated signaling limits behavioral and metabolic adaptation to the high-fat diet (HFD), as treated transgenic mice fail to normalize energy intake and show increased body weight gain after HFD challenge. PMID: 22933782
顯示更多
收起更多
-
相關疾病:Obesity (OBESITY); Pro-opiomelanocortinin deficiency (POMCD)
-
亞細胞定位:Secreted.
-
蛋白家族:POMC family
-
組織特異性:ACTH and MSH are produced by the pituitary gland.
-
數據庫鏈接:
Most popular with customers
-
-
YWHAB Recombinant Monoclonal Antibody
Applications: ELISA, WB, IHC, IF, FC
Species Reactivity: Human, Mouse, Rat
-
Phospho-YAP1 (S127) Recombinant Monoclonal Antibody
Applications: ELISA, WB, IHC
Species Reactivity: Human
-
-
-
-
-















