PLTP Antibody
-
中文名稱:PLTP兔多克隆抗體
-
貨號:CSB-PA018212EA01HU
-
規格:¥440
-
圖片:
-
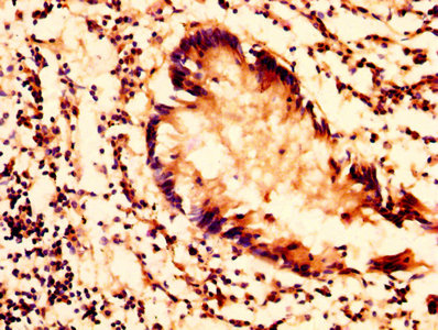
IHC image of CSB-PA018212EA01HU diluted at 1:200 and staining in paraffin-embedded human testis tissue performed on a Leica BondTM system. After dewaxing and hydration, antigen retrieval was mediated by high pressure in a citrate buffer (pH 6.0). Section was blocked with 10% normal goat serum 30min at RT. Then primary antibody (1% BSA) was incubated at 4°C overnight. The primary is detected by a biotinylated secondary antibody and visualized using an HRP conjugated SP system.
-
IHC image of CSB-PA018212EA01HU diluted at 1:200 and staining in paraffin-embedded human appendix tissue performed on a Leica BondTM system. After dewaxing and hydration, antigen retrieval was mediated by high pressure in a citrate buffer (pH 6.0). Section was blocked with 10% normal goat serum 30min at RT. Then primary antibody (1% BSA) was incubated at 4°C overnight. The primary is detected by a biotinylated secondary antibody and visualized using an HRP conjugated SP system.
-
-
其他:
產品詳情
-
產品名稱:Rabbit anti-Homo sapiens (Human) PLTP Polyclonal antibody
-
Uniprot No.:
-
基因名:
-
別名:BPI fold containing family E antibody; BPIFE antibody; HDLCQ9 antibody; High density lipoprotein cholesterol level quantitative trait locus 9; included antibody; Lipid transfer protein II antibody; OD107 antibody; Phospholipid transfer protein antibody; Plasma phospholipid transfer protein antibody; Pltp antibody; PLTP_HUMAN antibody
-
宿主:Rabbit
-
反應種屬:Human
-
免疫原:Recombinant Human Phospholipid transfer protein (18-493AA)
-
免疫原種屬:Homo sapiens (Human)
-
標記方式:Non-conjugated
本頁面中的產品,PLTP Antibody (CSB-PA018212EA01HU),的標記方式是Non-conjugated。對于PLTP Antibody,我們還提供其他標記。見下表:
-
克隆類型:Polyclonal
-
抗體亞型:IgG
-
純化方式:>95%, Protein G purified
-
濃度:It differs from different batches. Please contact us to confirm it.
-
保存緩沖液:Preservative: 0.03% Proclin 300
Constituents: 50% Glycerol, 0.01M PBS, PH 7.4 -
產品提供形式:Liquid
-
應用范圍:ELISA, IHC
-
推薦稀釋比:
Application Recommended Dilution IHC 1:200-1:500 -
Protocols:
-
儲存條件:Upon receipt, store at -20°C or -80°C. Avoid repeated freeze.
-
貨期:Basically, we can dispatch the products out in 1-3 working days after receiving your orders. Delivery time maybe differs from different purchasing way or location, please kindly consult your local distributors for specific delivery time.
-
用途:For Research Use Only. Not for use in diagnostic or therapeutic procedures.
相關產品
靶點詳情
-
功能:Mediates the transfer of phospholipids and free cholesterol from triglyceride-rich lipoproteins (low density lipoproteins or LDL and very low density lipoproteins or VLDL) into high-density lipoproteins (HDL) as well as the exchange of phospholipids between triglyceride-rich lipoproteins themselves. Facilitates the transfer of a spectrum of different lipid molecules, including diacylglycerol, phosphatidic acid, sphingomyelin, phosphatidylcholine, phosphatidylinositol, phosphatidylglycerol, cerebroside and phosphatidyl ethanolamine. Plays an important role in HDL remodeling which involves modulating the size and composition of HDL. Also plays a key role in the uptake of cholesterol from peripheral cells and tissues that is subsequently transported to the liver for degradation and excretion. Two distinct forms of PLTP exist in plasma: an active form that can transfer phosphatidylcholine from phospholipid vesicles to HDL, and an inactive form that lacks this capability.
-
基因功能參考文獻:
- Study demonstrated that PLTP is overexpressed in synovial tissue of patients with chronic inflammatory rheumatisms, such as rheumatoid arthritis (RA), when compared to osteoarthritis patients (OA); and that RA but not OA patients displayed elevated levels of PLTP activity in synovial fluid, which were correlated with pro-inflammatory cytokine levels. PMID: 29565987
- These results indicate that PLTP and MASP-1 can serve as plasma biomarkers for the early diagnosis and treatment of Age-related macular degeneration , which is critical for preventing Age-related macular degeneration -related blindness. PMID: 27605007
- PLTP activity did not affect this metric. Thus, deviations in PLTP activity from the wild-type level reduce HDL mass and ex vivo cholesterol efflux capacity, but not the rate of macrophage cholesterol efflux to plasma or in vivo mRCT. PMID: 28137768
- serum CETP and PLTP activity in patients diagnosed with hypothyroidism, was examined. PMID: 27899788
- PLTP may regulate cigarette smoke extract-induced IL-8 expression via the ERK1/2 signaling pathway in human pulmonary epithelial cells PMID: 27596005
- LPL and PLTP appear to be novel glioma-associated proteins and play a role in the progression of human glioma PMID: 27864281
- association of PON-1 activity with PLTP activity was lost in analysis which included large HDL particles PMID: 26656640
- a novel association between PLTPa and PON1 activity PMID: 26009633
- The domain of apolipoprotein E4 required for PLTP activation resides within its amino-terminal 1-185 region. PMID: 26337529
- Elevated baseline plasma levels of PLTP are associated with an increased risk of long-term all-cause mortality in patients with diabetes and known or suspected coronary disease. PMID: 25710294
- This review summarizes the recent progresses made in the PLTP research field and focuses on the complexity of the implication of PLTP in obesity, insulin resistance and type 2 diabetes mellitus. [review] PMID: 25107452
- Elevated plasma PLTP activity may predict an increased risk of T2DM in men PMID: 25304745
- High systemic PLTP expression does not contribute significantly to a renal phenotype despite being implicated in systemic atherosclerosis in ApoE deficient mice. PMID: 25651711
- proteolytic cleavage of PLTP by cathepsin G may enhance the injurious inflammatory responses that occur in COPD PMID: 24532668
- PLTP is actively involved in lipid transfer, cholesterol efflux, HDL genesis, and remodeling at the blood-brain barrier. PMID: 24369175
- Lower plasma CETP or higher PLTP activity was each associated with a significantly increased risk of cardiovascular disease. PMID: 23477743
- Higher PLTP activity is associated with depressed LV systolic function in a dose-dependent manner. PMID: 23545183
- In all the models with ApoE deficiency, elevated human PLTP expression causes higher levels of diet-induced atherosclerosis coinciding with decreased plasma levels of HDL cholesterol. PMID: 23313246
- The physiological relevance of PLTP in intracellular lipid metabolism and signal transduction. [Review] PMID: 21736953
- PLTP mediates PL transfer and participates in reverse cholesterol transport pathways at the fetoplacental barrier. PMID: 22492872
- we provide evidences that induction of TGF-B1 production and Smad3 phosphorylation by Ox-LDL is mediated by Ras/ERK/PLTP pathway in human alveolar epithelial cells. PMID: 22034170
- diabetes-environment and diabetes-gene interactions govern plasma PLTP activity PMID: 21973210
- Pltp expression is increased in GDM with hyperglycemia and/or hyperinsulinemia contributing. High PLTP activity in fetal serum may enhance conversion of HDL into cholesterol-accepting particles, thereby increasing maternal-fetal cholesterol transfer. PMID: 22090281
- PLTP activity could contribute to elevated cardiovascular risk in the presence of obesity and insulin resistance PMID: 21481395
- PLTP has anti-inflammatory capabilities in macrophages. PMID: 21782857
- Increased PLTP activity in human tear fluid in dry eye syndrome patients suggests an ocular surface protective role for this lipid transfer protein. PMID: 21514421
- Data show that the removal of the carbohydrate chains had a quantitative impact on cellular secretion of PLTP and its phospholipid transfer activity. PMID: 21515415
- data show the existence of small inactive plasma PLTP complexes, and show that variation in the amount of the two clusters of inactive PLTP complexes and specific activity of active PLTP contribute to the variation in plasma PLTP specific activity. PMID: 21303701
- the SR-BI pathway contributes in unique ways to cholesterol metabolism and atherosclerosis susceptibility even in the presence of CETP PMID: 21454568
- Human PLTP expression in transgenic rabbits worsens atherosclerosis as a result of increased levels of atherogenic apoB-containing lipoproteins. PMID: 21252068
- CETP and PLTP activities were negatively related with the ratio of HDL-C/LDL-C. PMID: 20937151
- a dual role for PLTP in human tear fluid PMID: 20724654
- Our results indicate that there is no genetic association between PLTP and Alzheimer's disease PMID: 20714154
- PLTP was overexpressed in the ER-negative breast cancer group. PMID: 20805453
- Data show that biglycan (BGN) induces of phospholipid transfer protein (PLTP) in aortic valve interstitial cells via stimulation of Toll-like receptor 2, so increased BGN in stenotic valves contributes to the production of PLTP via TLR 2. PMID: 20382708
- A gene score based on 2 PLTP single nucleotide polymorphisms is associated with lower PLTP transcription and activity, an increased number of HDL particles, smaller HDL size, and decreased risk of cardiovascular disease PMID: 20644014
- apoA-I enhances the phospholipid transfer activity of PLTP secreted from macrophage foam cells without affecting the PLTP mass. PMID: 20534134
- PLTP was found to mediate transfer of anionic phospholipids to HDL/LDL lipoproteins thereby neutralizing the effect of procoagulant liposomes, resulting in a reduction of procoagulant activity. PMID: 20088939
- PLTP activity is strongly influenced by PLTP region polymorphisms and metabolic factors. PMID: 19965587
- serum PLTP is involved in the clearance of postprandial lipoproteins and this process is attenuated in diabetes. PMID: 20108050
- PLTP activity may represent a novel marker of left ventricular systolic dysfunction in patients with known or suspected coronary artery disease. PMID: 19446293
- Human PLTP expressed in plasma from transgenic mice contributes to the formation of pre beta-HDL, whereas the expression of human cholesterol ester transfer protein does not affect this process. PMID: 11716766
- This protein and pre-beta-high density lipoprotein are degraded by mast cell chymase, the high affinity efflux of cholesterol from macrophage foam cells is impaired. PMID: 12531890
- The phospholipid transfer protein gene is a liver X receptor target expressed by macrophages in atherosclerotic lesions. PMID: 12612088
- Elevation of PLTP activity results in rapid disposal of cholesterol from the body via increased conversion into bile acids and subsequent excretion. PMID: 12649089
- PLTP is expressed by macrophages, is regulated by cholesterol loading, and is present in atherosclerotic lesions PMID: 12730304
- elevated PLTP activity in hypertriglyceridemia is related to insulin resistance and not to increased PLTP mass PMID: 12754275
- HepG2-derived PLTP resembles in several aspects the high-activity form of PLTP found in human plasma PMID: 12810820
- PLTP is present in human atherosclerotic lesions, and its distribution suggests roles for PLTP in both cellular cholesterol metabolism and lipoprotein retention on extracellular matrix PMID: 12835223
- seminal PLTP concentrations represented 25% of the concentration measured in blood plasma; seminal PLTP activity was partially associated with prostasomes; higher PLTP activity was measured in seminal plasma samples with low seminal vesicle secretions PMID: 12837922
顯示更多
收起更多
-
亞細胞定位:Secreted. Nucleus.
-
蛋白家族:BPI/LBP/Plunc superfamily, BPI/LBP family
-
組織特異性:Widely expressed. Highest level of expression in the ovary, thymus and placenta, with moderate levels found in the pancreas, small intestine, testis, lung and prostrate. Low level expression in the kidney, liver and spleen, with very low levels found in t
-
數據庫鏈接:
Most popular with customers
-
YWHAB Recombinant Monoclonal Antibody
Applications: ELISA, WB, IHC, IF, FC
Species Reactivity: Human, Mouse, Rat
-
Phospho-YAP1 (S127) Recombinant Monoclonal Antibody
Applications: ELISA, WB, IHC
Species Reactivity: Human
-
-
-
-
-
-















