PLCD4 Antibody
-
中文名稱:PLCD4兔多克隆抗體
-
貨號:CSB-PA866264LA01HU
-
規格:¥440
-
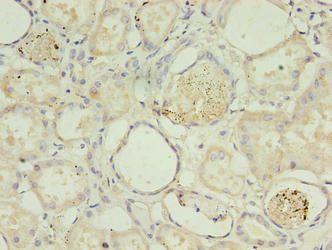
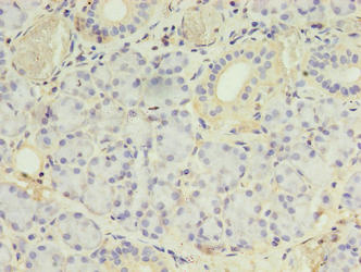
圖片:
-
其他:
產品詳情
-
產品名稱:Rabbit anti-Homo sapiens (Human) PLCD4 Polyclonal antibody
-
Uniprot No.:
-
基因名:
-
別名:1 phosphatidylinositol 4 5 bisphosphate phosphodiesterase delta 4 antibody; 1-phosphatidylinositol 4 antibody; 1-phosphatidylinositol-4 antibody; 5-bisphosphate phosphodiesterase delta-4 antibody; hPLCD4 antibody; MGC12837 antibody; Phosphoinositide phospholipase C delta 4 antibody; Phosphoinositide phospholipase C-delta-4 antibody; Phospholipase C delta 4 antibody; Phospholipase C-delta-4 antibody; PLC delta 4 antibody; PLC delta4 antibody; PLC-delta-4 antibody; PLCD4 antibody; PLCD4_HUMAN antibody
-
宿主:Rabbit
-
反應種屬:Human
-
免疫原:Recombinant Human 1-phosphatidylinositol 4,5-bisphosphate phosphodiesterase delta-4 protein (1-762AA)
-
免疫原種屬:Homo sapiens (Human)
-
標記方式:Non-conjugated
本頁面中的產品,PLCD4 Antibody (CSB-PA866264LA01HU),的標記方式是Non-conjugated。對于PLCD4 Antibody,我們還提供其他標記。見下表:
-
克隆類型:Polyclonal
-
抗體亞型:IgG
-
純化方式:>95%, Protein G purified
-
濃度:It differs from different batches. Please contact us to confirm it.
-
保存緩沖液:Preservative: 0.03% Proclin 300
Constituents: 50% Glycerol, 0.01M PBS, PH 7.4 -
產品提供形式:Liquid
-
應用范圍:ELISA, IHC
-
推薦稀釋比:
Application Recommended Dilution IHC 1:20-1:200 -
Protocols:
-
儲存條件:Upon receipt, store at -20°C or -80°C. Avoid repeated freeze.
-
貨期:Basically, we can dispatch the products out in 1-3 working days after receiving your orders. Delivery time maybe differs from different purchasing way or location, please kindly consult your local distributors for specific delivery time.
-
用途:For Research Use Only. Not for use in diagnostic or therapeutic procedures.
相關產品
靶點詳情
-
功能:Hydrolyzes the phosphatidylinositol 4,5-bisphosphate (PIP2) to generate 2 second messenger molecules diacylglycerol (DAG) and inositol 1,4,5-trisphosphate (IP3). DAG mediates the activation of protein kinase C (PKC), while IP3 releases Ca(2+) from intracellular stores. Required for acrosome reaction in sperm during fertilization, probably by acting as an important enzyme for intracellular Ca(2+) mobilization in the zona pellucida-induced acrosome reaction. May play a role in cell growth. Modulates the liver regeneration in cooperation with nuclear PKC. Overexpression up-regulates the Erk signaling pathway and proliferation.; Acts as a non-receptor guanine nucleotide exchange factor which binds to and activates guanine nucleotide-binding protein (G-protein) alpha subunit GNAI3.
-
基因功能參考文獻:
- Here, the authors report that the zebrafish/human phosphatidylinositol transfer protein Sec14l3/SEC14L2 act as GTPase proteins to transduce Wnt signals from Frizzled to phospholipase C (PLC). PMID: 28463110
- PLCdelta(1) and PLCdelta(4) are probably differentially regulated in distinct cellular compartments by PI(4,5)P(2) and the PH domain of PLCdelta(4) does not act as a localization signal PMID: 15037625
- Serial deletion analysis identified the core PLC-delta4 promoter region as being between -402 and -67, in which an E-box and an AP-1 binding site played important roles in the promoter activity. PMID: 17394098
-
亞細胞定位:Membrane; Peripheral membrane protein. Nucleus. Cytoplasm. Endoplasmic reticulum. Note=Localizes primarily to intracellular membranes mostly to the endoplasmic reticulum.
-
組織特異性:Highly expressed in skeletal muscle and kidney tissues, and at moderate level in intestinal tissue. Expressed in corneal epithelial cells.
-
數據庫鏈接:
Most popular with customers
-
-
YWHAB Recombinant Monoclonal Antibody
Applications: ELISA, WB, IHC, IF, FC
Species Reactivity: Human, Mouse, Rat
-
Phospho-YAP1 (S127) Recombinant Monoclonal Antibody
Applications: ELISA, WB, IHC
Species Reactivity: Human
-
-
-
-
-















