PKP2 Antibody
-
中文名稱:PKP2兔多克隆抗體
-
貨號:CSB-PA859116LA01HU
-
規格:¥440
-
圖片:
-
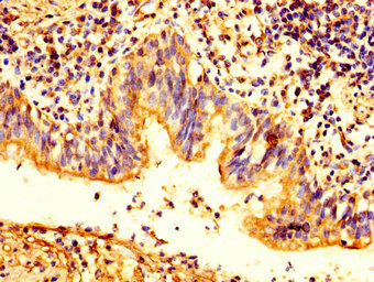
IHC image of CSB-PA859116LA01HU diluted at 1:200 and staining in paraffin-embedded human lung cancer performed on a Leica BondTM system. After dewaxing and hydration, antigen retrieval was mediated by high pressure in a citrate buffer (pH 6.0). Section was blocked with 10% normal goat serum 30min at RT. Then primary antibody (1% BSA) was incubated at 4°C overnight. The primary is detected by a biotinylated secondary antibody and visualized using an HRP conjugated SP system.
-
IHC image of CSB-PA859116LA01HU diluted at 1:200 and staining in paraffin-embedded human heart tissue performed on a Leica BondTM system. After dewaxing and hydration, antigen retrieval was mediated by high pressure in a citrate buffer (pH 6.0). Section was blocked with 10% normal goat serum 30min at RT. Then primary antibody (1% BSA) was incubated at 4°C overnight. The primary is detected by a biotinylated secondary antibody and visualized using an HRP conjugated SP system.
-
-
其他:
產品詳情
-
產品名稱:Rabbit anti-Homo sapiens (Human) PKP2 Polyclonal antibody
-
Uniprot No.:
-
基因名:
-
別名:ARVD 9 antibody; ARVD9 antibody; PKP 2 antibody; PKP2 antibody; PKP2_HUMAN antibody; Plakophilin-2 antibody; Plakophilin2 antibody
-
宿主:Rabbit
-
反應種屬:Human
-
免疫原:Recombinant Human Plakophilin-2 protein (61-183AA)
-
免疫原種屬:Homo sapiens (Human)
-
標記方式:Non-conjugated
本頁面中的產品,PKP2 Antibody (CSB-PA859116LA01HU),的標記方式是Non-conjugated。對于PKP2 Antibody,我們還提供其他標記。見下表:
-
克隆類型:Polyclonal
-
抗體亞型:IgG
-
純化方式:>95%, Protein G purified
-
濃度:It differs from different batches. Please contact us to confirm it.
-
保存緩沖液:Preservative: 0.03% Proclin 300
Constituents: 50% Glycerol, 0.01M PBS, pH 7.4 -
產品提供形式:Liquid
-
應用范圍:ELISA, IHC
-
推薦稀釋比:
Application Recommended Dilution IHC 1:200-1:500 -
Protocols:
-
儲存條件:Upon receipt, store at -20°C or -80°C. Avoid repeated freeze.
-
貨期:Basically, we can dispatch the products out in 1-3 working days after receiving your orders. Delivery time maybe differs from different purchasing way or location, please kindly consult your local distributors for specific delivery time.
-
用途:For Research Use Only. Not for use in diagnostic or therapeutic procedures.
相關產品
靶點詳情
-
功能:May play a role in junctional plaques.
-
基因功能參考文獻:
- Comparative analyses of the influenza-host protein interactomes identified PKP2 as a natural inhibitor of influenza A viruses polymerase complex. PMID: 28169297
- Results identified common and rare variants within plakophilin 2 protein (PKP2) to be associated with left ventricular mass (LVM). PMID: 29288195
- Our study describes various clinical parameters in ACM patients and a recessive plakophilin 2 mutation after a limited PKP2 gene sequencing. PMID: 29961461
- Authors show that the PKP2 gene encoding the desmosomal protein Plakophilin-2 is a novel direct transcriptional target of Wnt/beta-catenin in normal and colon cancer-associated fibroblasts. PMID: 29044515
- Human iPSC line was generated from patient-specific adipose tissue-derived mesenchymal multipotent stromal cells carrying two mutations in plakophilin-2 (PKP2) gene using non-integrative reprogramming method. PMID: 29034900
- The rare incidence of PKP2 mutation in sudden unexplained noctural death syndrome (SUNDS, 1%) supports the previous viewpoint that SUNDS is most likely an allelic disorder as Brugada syndrome PMID: 27122407
- Up-regulation of plakophilin-2 (PKP2) is correlated with the progression of glioma. Study uncovers a potential role for PKP2 in the pathogenic process of glioma, suggesting that PKP2 may be a promising therapeutic target of glioma. PMID: 28124385
- Screening for CNVs in desmosome genes is useful to identify the genetic basis of disease in clinically suspected ARVC patients. PMID: 28431057
- a novel homozygous Plakophilin 2-gene mutation has a role in advanced cardiomyopathy PMID: 29253866
- An intronic mutation of c.2577+1G>T in the PKP2 gene causes a nonsyndromic form of Arrhythmogenic Right Ventricular Cardiomyopathy without cutaneous Involvements. PMID: 28523642
- Data show that fetal pMSCs (mesenchymal stromal cells) expressing the highest levels of desmoglein 2, desmocollin 3 and plakophilin 2, followed by maternal pMSCs, while bmMSCs expressed the lowest levels. PMID: 28154962
- Results show the involvement of plakophilin 2 protein (PKP2) in two siblings with severe cardiomyopathy with ventricular non compaction. PMID: 27030002
- PKP2 c.419C>T did not associate with heart failure, arrhythmias, or premature death, with ARVC or HCM/DCM, or with effects in vitro, suggesting that this is not a disease-causing variant. PMID: 26264440
- Family members - desmosomal mutation carriers who restricted exercise at or below the upper bound of the American Heart Association goal were less likely to be diagnosed and had no Ventricular Tachycardia. PMID: 26321091
- Extreme variability in clinical penetrance for a splice-site PKP2 mutation was found in a Bangladeshi family. Some family members were affected by arrhythmogenic right ventricular cardiomyopathy, and some are asymptomatic. PMID: 25786693
- Data suggest juxtamembrane regions/domains of desmocollin-2 (DSC2), plakophilin 2 (PKP2), and plakophilin 3 (PKP3) are involved in desmosome formation in epithelial cells; DSC2 participates in desmosome formation in absence of desmoglein 2 (DSG2). PMID: 25972099
- Plakofilin2 mutation plays an important role in the pathogenesis of Brugada syndrome. PMID: 25889434
- PKP2 regulates Wnt activity during adipogenic and cardiomyogenic differentiation in arrhythmogenic right ventricular cardiomyopathy. PMID: 26995964
- Currently, 13 genes have been associated with the disease but nearly 40 % of clinically diagnosed cases remain without a genetic diagnosis. PMID: 25398255
- A heterozygous pathogenic variant in the plakophilin-2 (c.2392A>G, p.T798A) gene was found in an arrhythmogenic LV cardiomyopathy patient and his deceased mother who had had arrhythmogenic cardiomyopathy affecting both ventricles. PMID: 26260507
- Six variants of uncertain clinical significance in the PKP2, JUP, and DSG2 genes showed a deleterious effect on mRNA splicing, indicating these are ARVD/C-related pathogenic splice site mutations. PMID: 25087486
- Exercise test is valuable for the diagnosis of ARVC in patients with PKP2 gene mutation. PMID: 25936878
- Case Report: PKP2/DSP mutations in patient with Brugada syndrome and ventricular tachycardia. PMID: 25900994
- The introduction of the PKP2 R735X mutation into mice resulted in an exercise-dependent arrhythmogenic right ventricular cardiomyopathy. PMID: 25857910
- PKP2 haploinsufficiency contributes to pathogenesis in arrhythmogenic cardiomyopathy. PMID: 24704780
- mutations in PKP2 are associated with a later age of onset of arrhythmogenic right ventricular cardiomyopathy PMID: 24967631
- PKP2 is a novel activator of the EGFR signaling pathway. PMID: 25113560
- Missense mutations in plakophilin-2 cause sodium current deficit and associate with a Brugada syndrome phenotype. PMID: 24352520
- The copy number variations analysis identified a heterozygous deletion of about 122 kb on chromosome 12p11.21, including the entire plakophilin-2 gene and shared by all affected family members. PMID: 23486541
- Downstream Hippo molecules STE20-like protein kinases 1/2, large tumor suppressor kinases 1/2, and Yes-associated protein (YAP, the effector of the pathway) are phosphorylated, offering novel mechanisms for arrhythmogenic cardiomyopathy pathogenesis. PMID: 24276085
- These data uncover a potential role for PKP2 upstream of beta1 integrin and RhoA in integrating cell-cell and cell-substrate contact signaling in basal keratinocytes. PMID: 23884246
- Of a total of 715 Sudden cardiac death cases, seven (1.0%) carried one of the ten mutations assayed: three carried KCNH2 R176W, one KCNH2 L552S, two PKP2 Q59L, and one RYR2 R3570W. PMID: 23651034
- PKP2 gene mutation is associated with arrhythmogenic cardiomyopathy in a large Dutch family. PMID: 23270881
- Results show that PKP2 mutations are insufficient to cause ARVD due to variable expression and incomplete penetrance PMID: 23147395
- haploinsufficiency is the most likely cause for the genesis of dominant arrhythmogenic right ventricular cardiomyopathy due to mutations in PKP2 PMID: 22781308
- While many of the reported ARVC mutations are truncating mutations, the possibly damaging variant found in this family, is a missense alteration affecting a highly conserved residue 506 located in exon 7. PMID: 22170284
- The authors report on a pedigree of cases involving a mutation in the plakophilin 2 gene that was associated with the development of arrhythmogenic right ventricular cardiomyopathy. PMID: 22035158
- PKP2 mutations are not specific for arrhythmogenic right ventricular cardiomyopathy and may result in sudden unexpected death with negative autopsy. PMID: 22019812
- PKP2 gene upregulation is associated with bladder cancer invasion. PMID: 22119253
- PKP2A was shown to be the major isoform expressed in human heart tissue and PKP2B protein was undetectable; results strongly suggest that p.Arg490Trp and other variants located in PKP2 exon 6 may not be disease causing PMID: 21378009
- Mutant plakophilin-2 proteins were unable to disrupt established desmosomes when expressed in an E-cadherin-expressing epithelial cell model; they were unable to initiate de novo assembly of desmosomes in an N-cadherin-expressing epithelial cell model. PMID: 19533476
- Studies identified two mutations in DSG2, four in DSC2, two in DSP, four in JUP and seven in PKP2. PMID: 20864495
- Adherens junctions connecting cardiac myxoma cells show exactly such general acquisition of Pkp2. PMID: 20693980
- Data suggest that PKP2 may functionally link RhoA- and PKC-dependent pathways to drive actin reorganization. PMID: 20554761
- Reduced connexin43 expression and localization to the intercalated disk occurs in heterozygous human PKP-2 mutations, potentially explaining the delayed conduction and propensity to develop arrhythmias seen in this disease. PMID: 18662195
- Fifteen percent of Danish arrhythmogenic right ventricular cardiomyopathy/dysplasia patients carried PKP2 mutations. PMID: 19955750
- mutations in plakophylin-2 (PKP2) gene in ARVC PMID: 19880068
- Protein binding and functional characterization of plakophilin 2. Evidence for its diverse roles in desmosomes and beta -catenin signaling PMID: 11790773
- In 32 of 120 unrelated individuals with ARVC, we identified heterozygous mutations in PKP2, which encodes plakophilin-2, an essential armadillo-repeat protein of the cardiac desmosome. PMID: 15489853
- mutations in the desmosomal plakophilin-2 gene can cause arrhythmogenic right ventricular cardiomyopathy PMID: 16415378
顯示更多
收起更多
-
相關疾病:Arrhythmogenic right ventricular dysplasia, familial, 9 (ARVD9)
-
亞細胞定位:Nucleus. Cell junction, desmosome. Note=Nuclear and associated with desmosomes.
-
蛋白家族:Beta-catenin family
-
組織特異性:Detected in heart right ventricle (at protein level). Widely expressed. Found at desmosomal plaques in simple and stratified epithelia and in non-epithelial tissues such as myocardium and lymph node follicles. In most stratified epithelia found in the des
-
數據庫鏈接:
Most popular with customers
-
-
YWHAB Recombinant Monoclonal Antibody
Applications: ELISA, WB, IHC, IF, FC
Species Reactivity: Human, Mouse, Rat
-
Phospho-YAP1 (S127) Recombinant Monoclonal Antibody
Applications: ELISA, WB, IHC
Species Reactivity: Human
-
-
-
-
-















