PIK3R5 Antibody
-
中文名稱:PIK3R5兔多克隆抗體
-
貨號:CSB-PA841225LA01HU
-
規格:¥440
-
圖片:
-
Immunofluorescence staining of HepG2 cells with CSB-PA841225LA01HU at 1:200, counter-stained with DAPI. The cells were fixed in 4% formaldehyde, permeabilized using 0.2% Triton X-100 and blocked in 10% normal Goat Serum. The cells were then incubated with the antibody overnight at 4°C. The secondary antibody was Alexa Fluor 488-congugated AffiniPure Goat Anti-Rabbit IgG(H+L).
-
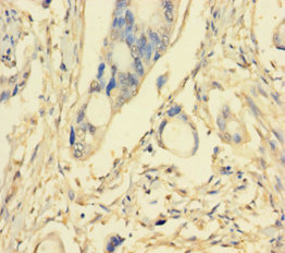
Immunohistochemistry of paraffin-embedded human pancreatic cancer using CSB-PA841225LA01HU at dilution of 1:100
-
-
其他:
產品詳情
-
產品名稱:Rabbit anti-Homo sapiens (Human) PIK3R5 Polyclonal antibody
-
Uniprot No.:
-
基因名:
-
別名:5-bisphosphate 3-kinase regulatory subunit antibody; F730038I15Rik antibody; FOAP 2 antibody; FOAP2 antibody; OTTHUMP00000135339 antibody; p101 antibody; P101 PI3K antibody; p101-PI3K antibody; Phosphatidylinositol 4 antibody; Phosphatidylinositol 4,5 bisphosphate 3 kinase regulatory subunit antibody; Phosphoinositide 3 kinase, regulatory subunit 5 antibody; Phosphoinositide 3 kinase, regulatory subunit 5, p101 antibody; Phosphoinositide 3 kinase, regulatory subunit, polypeptide p101 antibody; Phosphoinositide 3-kinase regulatory subunit 5 antibody; PI3 kinase p101 subunit antibody; PI3 kinase regulatory subunit 5 antibody; PI3-kinase p101 subunit antibody; PI3-kinase regulatory subunit 5 antibody; PI3R5_HUMAN antibody; PIK3 R5 antibody; PIK3R5 antibody; Protein FOAP 2 antibody; Protein FOAP-2 antibody; PtdIns 3 kinase p101 antibody; PtdIns 3 kinase regulatory subunit antibody; PtdIns-3-kinase p101 antibody; PtdIns-3-kinase regulatory subunit antibody
-
宿主:Rabbit
-
反應種屬:Human
-
免疫原:Recombinant Human Phosphoinositide 3-kinase regulatory subunit 5 protein (1-494AA)
-
免疫原種屬:Homo sapiens (Human)
-
標記方式:Non-conjugated
本頁面中的產品,PIK3R5 Antibody (CSB-PA841225LA01HU),的標記方式是Non-conjugated。對于PIK3R5 Antibody,我們還提供其他標記。見下表:
-
克隆類型:Polyclonal
-
抗體亞型:IgG
-
純化方式:>95%, Protein G purified
-
濃度:It differs from different batches. Please contact us to confirm it.
-
保存緩沖液:Preservative: 0.03% Proclin 300
Constituents: 50% Glycerol, 0.01M PBS, PH 7.4 -
產品提供形式:Liquid
-
應用范圍:ELISA, IHC, IF
-
推薦稀釋比:
Application Recommended Dilution IHC 1:20-1:200 IF 1:50-1:500 -
Protocols:
-
儲存條件:Upon receipt, store at -20°C or -80°C. Avoid repeated freeze.
-
貨期:Basically, we can dispatch the products out in 1-3 working days after receiving your orders. Delivery time maybe differs from different purchasing way or location, please kindly consult your local distributors for specific delivery time.
-
用途:For Research Use Only. Not for use in diagnostic or therapeutic procedures.
相關產品
靶點詳情
-
功能:Regulatory subunit of the PI3K gamma complex. Required for recruitment of the catalytic subunit to the plasma membrane via interaction with beta-gamma G protein dimers. Required for G protein-mediated activation of PIK3CG.
-
基因功能參考文獻:
- data argue for differential regulatory functions of the non-catalytic subunits and a specific Gbetagamma-dependent regulation of p101 in PI3Kgamma activation. PMID: 26173259
- PIK3R5 promoter hypermethylation is associated with oral squamous cell carcinoma. PMID: 25374236
- expression and activities of PI3Kgamma are modified differently by p87 and p101 in vitro and in living cells, arguing for specific regulatory roles of the non-catalytic subunits in the differentiation of PI3Kgamma signaling pathways. PMID: 24014027
- Our characterization of the PIK3R5 protein and findings suggest that it may play a role in the development of the cerebellum and vermis. PMID: 22065524
- p101 has a role in membrane recruitment and activation of PI3K gamma PMID: 12507995
- analysis of functional domains in the p101 regulatory subunit of phosphoinositide 3-kinase gamma PMID: 15611065
- Overexpression of p101 activates PI3Kgamma signaling and is associated with T-cell lymphomas PMID: 17486067
顯示更多
收起更多
-
相關疾?。?/div>Ataxia-oculomotor apraxia 3 (AOA3)亞細胞定位:Nucleus. Cytoplasm. Cell membrane; Peripheral membrane protein.組織特異性:Ubiquitously expressed with high expression in fetal brain compared to adult brain. Abundant expression is observed in cerebellum, cerebral cortex, cerebral meninges, and vermis cerebelli.數據庫鏈接:
Most popular with customers
-
-
YWHAB Recombinant Monoclonal Antibody
Applications: ELISA, WB, IHC, IF, FC
Species Reactivity: Human, Mouse, Rat
-
Phospho-YAP1 (S127) Recombinant Monoclonal Antibody
Applications: ELISA, WB, IHC
Species Reactivity: Human
-
-
-
-
-















