PIDD1 Antibody
-
中文名稱:PIDD1兔多克隆抗體
-
貨號:CSB-PA988465
-
規格:¥1100
-
圖片:
-
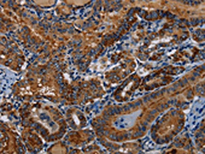
The image on the left is immunohistochemistry of paraffin-embedded Human thyroid cancer tissue using CSB-PA988465(PIDD1 Antibody) at dilution 1/30, on the right is treated with fusion protein. (Original magnification: ×200)
-
The image on the left is immunohistochemistry of paraffin-embedded Human brain tissue using CSB-PA988465(PIDD1 Antibody) at dilution 1/30, on the right is treated with fusion protein. (Original magnification: ×200)
-
-
其他:
產品詳情
-
Uniprot No.:
-
基因名:
-
別名:PIDD1 antibody; LRDD antibody; PIDD antibody; p53-induced death domain-containing protein 1 antibody; EC 3.4.21.- antibody; Leucine-rich repeat and death domain-containing protein) [Cleaved into: PIDD-N; PIDD-C; PIDD-CC] antibody
-
宿主:Rabbit
-
反應種屬:Human
-
免疫原:Fusion protein of Human PIDD1
-
免疫原種屬:Homo sapiens (Human)
-
標記方式:Non-conjugated
-
抗體亞型:IgG
-
純化方式:Antigen affinity purification
-
濃度:It differs from different batches. Please contact us to confirm it.
-
保存緩沖液:-20°C, pH7.4 PBS, 0.05% NaN3, 40% Glycerol
-
產品提供形式:Liquid
-
應用范圍:ELISA,IHC
-
推薦稀釋比:
Application Recommended Dilution ELISA 1:2000-1:5000 IHC 1:50-1:200 -
Protocols:
-
儲存條件:Upon receipt, store at -20°C or -80°C. Avoid repeated freeze.
-
貨期:Basically, we can dispatch the products out in 1-3 working days after receiving your orders. Delivery time maybe differs from different purchasing way or location, please kindly consult your local distributors for specific delivery time.
-
用途:For Research Use Only. Not for use in diagnostic or therapeutic procedures.
相關產品
靶點詳情
-
功能:Component of the DNA damage/stress response pathway that functions downstream of p53/TP53 and can either promote cell survival or apoptosis. Associated with CRADD and the CASP2 caspase, it forms the PIDDosome a complex that activates CASP2 and triggers apoptosis. Associated with IKBKG and RIPK1, it enhances sumoylation and ubiquitination of IKBKG which is important for activation of the transcription factor NF-kappa-B.
-
基因功能參考文獻:
- Whole exome sequencing (WES) of an affected fetus, and subsequent Sanger sequencing of the second fetus, revealed a homozygous frameshift variant in CRADD, which encodes an adaptor protein that interacts with PIDD and caspase-2 to initiate apoptosis PMID: 28686357
- NPM1-dependent nucleolar PIDDosome is a key initiator of the caspase-2 activation cascade. PMID: 28432080
- PIDD expression was lower in HCC tissues and HCC cell lines, compared with the adjacent non-tumorous tissues and LO2 normal hepatocytes. PIDD could serve as an independent prognostic factor to predict the survival of HCC patients. PIDD facilitated cell cycle progression and accelerated cell proliferation in HepG2 cells, while overexpression of PIDD resulted in cell cycle arrest at G1 phase in Hep3B cells. PMID: 26846109
- By sequestering PIDD at the kinetochore, BubR1 acts to delay PIDDosome formation until the next cycle, defining a new mechanism by which cells evade apoptosis during mitosis. PMID: 25936804
- The ATM phosphorylation of the PIDD DD enables a binary switch through which cells elect to survive or die upon DNA injury. PMID: 22854598
- PIDD performs key functions upon UV irradiation, including TLS, NHEJ, NF-kappaB activation and cell death. PMID: 21415862
- Hsp90 has a major role in controlling PIDD functional activity. PMID: 20966961
- a new splicing variant of PIDD named PIDD4 is reported. PMID: 21371439
- point mutations on RAIDD (R147E) and on PIDD (Y814A) exert a dominant negative effect on the formation of the PIDDosome, and that this effect cannot be applied after the PIDDosome has been formed PMID: 20406701
- Total caspase-2 is upregulated during tumour progression in renal cell carcinomas. PMID: 20208132
- activation of caspase-2 occurs in a complex that contains PIDD, whose expression is induced by p53, and RAIDD; increased PIDD expression resulted in spontaneous activation of caspase-2 and sensitization to apoptosis by genotoxic stimuli PMID: 15073321
- PIDD plays a critical role in DNA-damage-induced NF-kappaB activation, controlling the balance between life and death upon DNA damage. PMID: 16360037
- The functional consequences of the identified PIDD/nucleolin interaction remain to be elucidated, but may be related to a recently discovered new role for PIDD in the activation of NF-kappaB upon genotoxic stress. PMID: 16982033
- PIDD autoproteolysis marks the bifurcation between pro-death caspase-2 and pro-survival NF-kappaB pathway PMID: 17159900
- PIDD death domain (DD) and RAIDD DD assemble into an oligomeric complex. Within the PIDDosome, the interaction between PIDD and RAIDD is mediated by a homotypic interaction between their death domains. PMID: 17329820
- No correlation between Pidd expression and the p53 mutation status of oral squamous cell carcinoma, suggesting that Pidd expression may be regulated by p53-independent mechanisms. PMID: 17437012
- PIDD isoforms are capable of activating nuclear factor-kappaB in response to genotoxic stress, but only isoform 1 interacts with RIP-associated ICH-1/CED-3 homologous protein with a death domain and activates caspase-2. PMID: 17637755
- p53-mediated apoptosis occurs by a PIDD- and caspase 2-dependent mechanism, and p53's full transcriptional regulatory functions may be required only for events that are downstream of cytochrome c release PMID: 18238895
顯示更多
收起更多
-
亞細胞定位:Cytoplasm. Nucleus.
-
組織特異性:Ubiquitous.
-
數據庫鏈接:
Most popular with customers
-
-
YWHAB Recombinant Monoclonal Antibody
Applications: ELISA, WB, IHC, IF, FC
Species Reactivity: Human, Mouse, Rat
-
Phospho-YAP1 (S127) Recombinant Monoclonal Antibody
Applications: ELISA, WB, IHC
Species Reactivity: Human
-
-
-
-
-















